簡介
成人呼吸窘迫綜合症急性呼吸窘迫綜合徵(acuterespiratorydistresssyndrome,ARDS)是指嚴重感染、創傷、休克等肺內外襲擊後出現的急性、進行性缺氧性呼吸衰竭。以肺泡毛細血管損傷為主要表現,屬於急性肺損傷(acutelunginjury,ALI)是嚴重階段或類型。其臨床特徵呼吸頻速和窘迫,進行性低氧血症,X線呈現瀰漫性肺泡浸潤。本症與嬰兒呼吸窘迫綜合徵頗為相似,但其病因和發病機制不盡相同,故提出成人呼吸窘迫綜合徵(adultrespiratorydistresssyndrome)的命名。現在稱為急性呼吸窘迫綜合徵,縮寫仍是ARDS。
命名由來
ARDS曾有許多名稱,如休克肺、瀰漫性肺泡損傷、創傷性濕肺、成人呼吸窘迫綜合徵(adultrespiratorydistresssyndrome,ARDS)。其臨床特徵呼吸頻速和窘迫,進行性低氧血症,X線呈現瀰漫性肺泡浸潤。本症與嬰兒呼吸窘迫綜合徵頗為相似,但其病因和發病機制不盡相同,為示區別,1972年Ashbauth提出成人呼吸窘迫綜合徵(adultrespiratorydistresssyndrome)的命名。現在注意到本徵亦發生於兒童,故歐美學者協同討論達成共識,以急性(acute)代替成人(adult),稱為急性呼吸窘迫綜合徵,縮寫仍是ARDS。
病因
肺毛細血管誘發ARDS的原發病或基礎疾病或始動致病因子很多歸納起來大致有以下幾方面:
1.休克各種類型休克,如感染性、出血性心源性和過敏性等,特別是革蘭陰性桿菌敗血症所致的感染性休克。
2.創傷多發性創傷,肺挫傷,顱腦外傷燒傷、電擊傷、脂肪栓塞等
3.感染 肺臟或全身性的細菌、病毒、真菌原蟲等的嚴重感染。
4.吸入有毒氣體如高濃度氧、臭氧、氨氟、氯、二氧化氮光氣、醛類、煙霧等
5.誤吸胃液(特別是pH值<2.5溺水、羊水等。
6.藥物過量巴比妥類、水楊酸、氫氯噻嗪秋水仙鹼、阿糖胞昔、海洛因美沙酮、硫酸鎂、特布他林鏈激酶、螢光素等。毒麻藥品中毒所致的ADRS在我國已有報導,值得注意
7.代謝紊亂肝功能衰竭尿毒症、糖尿病酮症酸中毒。急性胰腺炎2%-18%並發急性呼吸窘迫綜合徵
8.血液系統疾病大量輸人庫存血和錯誤血型輸血、DIC等。
9.其他子痛或先兆子癇、肺淋巴管癌。肺出血一腎炎綜合徵系統性紅斑狼瘡、心肺復甦後,放射治療器官移植等。
綜上所述創傷、感染、休克是發生ADRS的三大誘因占70%-85%,多種致病因子或直接作用於肺,或作用於遠離肺的組織造成肺組織的急性損傷,而引起相同的臨床表現。直接作用於肺的致病因子如胸部創傷、誤吸、吸人有毒氣體各種病原微生物引起的嚴重肺部感染和放射性肺損傷等;間接的因素有敗血症。休克、肺外創傷藥物中毒、輸血、出血壞死型胰腺炎體外循環等。
發病機理
ARDS的病因各異,但是病理生理和臨床過程基本上並不依賴於特定病因,共同基礎是是肺泡-毛細血管的急性損傷。肺損傷可以是直接的,如胃酸或毒氣的吸入,胸啊創傷等導致內皮或上細胞物理化學性損傷。而更多見的則是間接性肺損傷。雖然肺損傷的機制迄今未完全闡明,但已經確認它是系統性炎症反應綜合徵的一部分。在肺泡毛細血管水平由細胞和體液介導的急性炎症反應,涉及兩個主要過程即炎症細胞的遷移與聚集,以及炎症介質的釋放,它們相輔相成,作用於肺泡毛細血管膜的特定成分,從而導致通透性增高。
炎症細胞的遷移與聚集
幾乎所有肺內細胞都不同程度地參與ARDS的發病,而作為ARDS急性炎症最重要的效應細胞之一的則是多形核白細胞(PMNs)。分離人且間質中僅有少量PMNs,約占1.6%。在創傷、膿毒血症、急性胰腺炎、理化刺激或體外循環等情況,由於內毒素脂多糖(LPS)、C5a、白細胞介素-8(IL-8)等因子作用,PMNs在肺毛細血管內大量聚集,首先是附壁流動並黏附於內皮細胞,再經跨內皮移行到肺間質,然後藉肺泡上皮脫屑而移至肺泡腔。這一過程有多種黏附分子的參與和調控。PMNs呼吸暴發和釋放其產物是肺損傷的重要環節。肺泡巨噬細胞(Ams)除作為吞噬細胞和免疫反應的抗原遞呈細胞外,也是炎症反應的重要效應細胞,參與ARDS的發病,經刺激而激活的AMS釋放IL-1、腫瘤壞死因子-α(TNF-α)和IL-87等促使PMNs在肺趨化和聚集很可能是ALI的啟動因子。血小板聚集和微栓塞是ARDS常見病理改變,推測血小板聚集和微栓塞是ARDS常見病理改變,推測血小板及其產物在ARDS如病機制中也起著重要作用。近年發現肺毛細血管和肺泡上皮細胞等結構細胞不單是靶細胞,也能參與炎症免疫反應,在ARDS在次級炎症反應中具有特殊意義。
炎症介質釋放
炎症細胞激活和釋放介質是同炎症反應伴隨存在的,密不可分,這裡僅為敘述方便而分開討論。以細菌LPS刺激為例,它與巨噬細胞表面受體結合,引起細胞脫落和細胞小器釋放眾多介質,包括:①脂類介質如花生四烯酸代謝產物、血小板活化因子(PAF);②反應性氧代謝物有超氧陰離子(O2-)、過氧化氫(H2O2)、羥根(OH·)和單體氧(IO2),除H2O2外,對稱氧自身虛誇。③肽類物質如PMNs/Ams蛋白酶、補體底物、參與凝血與纖溶過程的各種成份、細胞因子,甚至有人將屬於黏附分子冢族的整合素也列如此類介質。前些年對前兩類介質研究甚多,而近年對肽類介質尤其是炎前細胞因子和黏附分子更為關注,它閃可能是啟動和推動ARDS“炎症瀑布”、細胞趨化、跨膜遷移和聚集、炎症反應和次級介質釋放的重要介導物質。
肺泡毛細血管損傷和通透性增高
維持和調節毛細血管結構完整性和通透性的成分包括細胞外基質、細胞間連線、細胞骨架以及胞飲運輸與細胞底物的相互作用。ARDS的直接和間接損傷對上述每個環節都可以產生影響。氧自身基、蛋白酶、細胞因子、花生四烯酸代謝產物以及高荷電產物(如中性粒細胞主要陽離子蛋白)等可以通過下列途徑改變膜屏障的通透性;⑴裂解基底膜蛋白和(或)細胞粘附因子;⑵改變細胞外系纖維基質網結構;⑶影響細胞骨架的纖絲系統,導致細胞變形和連線撕裂。
病理生理
基本病理生理
需要指出的是,一般都認為ARDS的損傷及其病理改變是瀰漫性的,而近年來從影像學和套用惰性氣體測定氣體交換的研究表明,肺損傷並非過去理解的那樣瀰漫和均一,因此提出一個“兩室模型”:一室為接近正常的肺,對於所施加於它的壓力和通氣反應並無異者;二室為病肺,其擴張和通氣減少,但接受不成比例的血流。在早期兩室中許多可開放的肺單位可以隨著所施壓力的增加或體位的改變而互換,因此表態壓力-窖曲線顯著滯後和呈雙相形態。早期肺水腫使肺泡容量減少,從某種意義上說只是充盈氣量減少,而非肺容量本身降低,在功能殘氣位總的肺和胸廓容量均在正常範圍,特異性肺順應性(specificcompliance)即順應性/肺容量也屬正常。
氧耗-氧供的病理性依賴和多器官功能衰竭
近年來一些研究發現在ARDS存在氧耗-氧供(Vo2Qo2)關係異常,並認為這上ARDS和多器官功能衰竭的共同病理生理基礎。健康人氧供可以有變化,即使減少,而器官的氧攝取和消耗維持相對穩定,即在臨界閾值以上器官氧耗並不依賴氧供。乃是因為局部代償作用和灌注毛細血管截機種增加和氧攝取增加所致。在ARDS這種代償機制耗竭,在所有氧供水平都出現氧耗對氧供的絕對依賴或病理性依賴。這種病理現象在肺表現為VA/Q比例失調,在肺外器官則為組織與毛細血管間氧交換障礙。Vo2/Qo2關係異常導致細胞氧合和代謝障礙,引起損傷。氧供求失衡源於局部代償機制耗竭,其解釋一說是血流重新分布,流向低拉耗器官如骨骼肌,引起重要臟器氧供不敷需要;另一種廉潔是重要器官毛細血管內皮損傷,組織水腫,彌散距離增大以及毛細胞截面積減少。引起損傷的基本原因是炎症細胞的普遍激活和介質釋放。目前比較傾向於後一觀點,並認為ARDS和多器官功能衰竭具共同的發病機制,由於肺毛細血管床特別豐富,往往成為炎症損傷的最先靶器官。ARDS早期搶救有效或引起系統性炎症反應的病因被自限或控制,則病程僅表現為ARDS而不出現多器官功能衰竭。ARDS發展或演變為多器官衰竭,感染可能是最重要的觸發或推動因素。
病理改變
各種病因所致的ARDS病理變化基本相同,可以分為滲出、增生和纖維化三個相互關聯和部分重疊的階段。
滲出期
見於發病後第一周。肺呈暗紅或暗紫的肝樣變,可見水腫、出血。重量明顯增加。24小時內鏡檢見肺微血管充血、出血、微血栓,肺間質和肺泡內有蛋白質水腫液及炎症細胞浸潤。若為感性病因引起者,肺泡腔PMNs聚集和浸潤更為明顯。72小時後由血漿蛋白凝結、細胞碎化、纖維素形成透明膜,灶性或大片肺泡萎陷不張。在急性滲出期Ⅰ型細胞受損壞死。
增生期
損傷後1~3周,肺Ⅱ型上皮細胞增生覆蓋剝落的基底膜,肺泡囊和肺泡管可見纖維化,肌性小動脈出現纖維細胞性內膜增生,導致血管腔截面積減少。
纖維化期
生存超過3~4周的ARDS患者肺泡隔和氣腔壁廣泛增厚,散在分隔的膠原結締組織增生致瀰漫性不規則纖維化。肺血管床發生廣泛管壁纖維增厚,動脈變形扭曲,肺行血管擴張。即使非感染性病因引起的ARDS,在後期亦不避免地合併肺部感染,常見有組織壞死和微小膿腫。
臨床表現
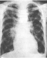
除與有關相應的的發病徵象外,當肺剛受損的數小時內,患者可無呼吸系統症狀。隨後呼吸頻率加快,氣促逐漸加重,肺部體徵無異常發現,或可聽到吸氣時細小濕囉音。X線胸片顯示清晰肺野,或僅有肺紋理增多模糊,提示血管周圍液體聚集。動脈血氣分析示Pao2和PaCO2偏低。隨著病情進展,患者呼吸窘迫,感胸部緊束,吸氣費力、紫紺,常伴有煩躁、焦慮不安,兩肺廣泛間質浸潤,可伴奇靜脈擴張,胸膜反應或有少量積液。由於明顯低氧血症引起過度通氣,PaCO2降低,出現呼吸性鹼中毒。呼吸窘迫不能用通常的氧療使之改善。如上述病情繼續惡化,呼吸窘迫和紫紺繼續加重,胸片示肺部浸潤陰曩大片融合,乃至發展成“白肺”。呼吸肌疲勞導致通氣不足,二氧化碳瀦留,產生混和性酸中毒。心臟停搏。部分患者出現多器官衰竭。
輔助檢查
X線胸片肺功能測定
1.肺量計測定肺容量和肺活量,殘氣,功能殘氣均減少。呼吸死腔增加,若死腔量/潮氣量(VD/VT)>0.6,提示需機械通氣。
2.肺順應性測定:在床旁測定的常為胸肺總順應性,套用呼氣末正壓通氣的患者,可按下述公式計算動態順應性(Cdyn)順應性檢測不僅對診斷、判斷療效,而且對監測有無氣胸或肺不張等合併症均有實用價值。
Cdyn=潮氣量
最大氣道內壓-呼氣末正壓
3.動脈血氣分析PaO2降低,是ARDS診斷和監測的常用指標。根據動脈血氧分析可以計算出肺泡動脈氧分壓差(PA-aO2)、靜動脈血分流(Qs/Qt)、呼吸指數(PA-aO2/PaO2),氧合指數(PaO2/FiO2)等派生指標,對診斷和評價病情嚴重程度十分有幫助。如Qs/Qt增被提倡用於病情分級,以高於15%,25%和35%分別劃分為輕、中、重不同嚴重程度。呼吸指數參照範圍0.1~0.37,>1表明氧合功能明顯減退。>2常需機械通氣。氧合指數參照範圍為53.2~66.7kPa(400~500mmHg),ARDS時降至26.7kPa(200mmHg)。
肺血管通透性和血流動力學測定
1.肺水腫液蛋白質測定ARDS時,肺毛細血管通透性增加,水分和大分子蛋白質進入間質或肺泡,使水腫液蛋白質含量與血漿蛋白含量之比增加,若比值>0.7,考慮ARDS,<0.5為心源性肺水腫。
2.肺泡-毛細血管膜通透性(ACMP)測定套用雙核素體內標記技術,以113銦(113In)自體標記轉鐵蛋白,用以測定肺的蛋白質積聚量,同時以99m鎝(99mTc)自體標記紅細胞,校正胸內血流分布的影響。分別算出113銦、99m鎝的肺心放射計數比值,觀察2小時的變化得出血漿蛋白積聚指數。健康人參考值為0.138×10-3/min。
3.血流動力學監測通過通入四腔漂浮導管,可同時測定並計算肺動脈壓(PAP)、肺動脈毛細血管楔壓(PCWP)、肺循環阻力(PVR)、PVO2、CVO2、Qs/Qt及熱稀法測定心輸出量(CO)等,不僅對診斷、鑑別診斷有價值,而且對機械通氣治療,特別是PEEP對循環功能影響,亦為重要的監測指標。ARDS患者平均脈動脈壓增高>2.67kPa,肺動脈壓與肺毛細血管楔壓差(PAP-PCWP)增加(>0.67kPa),PCWP一般<1.18kPa(12cmH2O),若>1.57kPa(16cmH2O),則為急性左心衰竭,可排除ARDS。
4.肺血管外含水量測定目前用染料雙示蹤稀釋法測定,由中心靜脈或右心導管管注入5cm靛氰綠染料葡萄糖液10ml,然後在股動脈通過與熱敏電阻連線的導管記錄熱稀釋曲線,並用密度計檢測染料稀釋曲線,再通過微機處理計算肺水量,可用來判斷肺水腫的程度,轉歸和療效,但需一定設備條件。
診斷
至今由於缺乏特異的檢測指標,給早期早期帶來困難。凡有可能引起ARDS的各種基礎疾病或誘因,一旦出現呼吸改變或血氣異常,均應警惕有本徵發生的可能。建立診斷綜合臨床、實驗室及輔助檢查,必要的動態隨訪觀察,並排除類似表現的其他疾病。為疾病統計和科研需要,必須依據確定的診斷標準。歷年來曾有各家提出的各種診斷標準,差別甚大。歐美學者在1992年分別在美國和歐洲的學術會議上商討、1992年同提出、並在1994年各種雜誌發表的關於ALI和ARDS定義和診斷標準,最近在我國被廣泛介紹和推薦。
ARDS診斷標準
除規定PaO/FiO≤26.7kPa(200mmHg)外,其餘指標與ALI相同。
1995年全國危重急救學學術會議(廬山)仿照上述標準提出中國ARDS分期診斷標準如下:
1.有誘發ARDS的原發病因。
2.先兆期ARDS的診斷應具備下述5項中的三項:⑴呼吸頻率20~25次/分。⑵(FiO20.21)PaO2≤9.31kPa(≤70mmHg),>7.8kPa(60mmHg)⑶PaO2/FiO2≥39.9kPa(≥300mmHg)⑷PA-aO2(FiO20.21)3.32~6.65kPa(25~50mmHg)⑸胸片正常。
3.早期ARDS的診斷應具備6項中3項。
⑴呼吸頻率>28次/分。 ⑵(FiO20.21)PaO2≤7.90kPa(60mmHg)>6.60kPa(50mmHg) ⑶PaCO2<4.65kPa(35mmHg) ⑷PaO2/FiO2≤39.90kPa(≤300mmHg)>26.60kPa(>200mmHg) ⑸(FiO21.0)PA-aO2>13.30kPa(>100mmHg)<26.60kPa(<200mmHg)⑹胸片示肺泡無實變或實變≤1/2肺野。
4.晚期ARDS的診斷應具備下述6項中3項:
⑴呼吸窘迫,頻率>28次/分。⑵(FiO20.21)PaO2≤6.60kPa(≤50mmHg)⑶PaCO2>5.98kPa(>45mmHg)⑷PaO2/FiO2≤26.6kPa(≤200mmHg)⑸(FiO21.0)PA-aO2>26.6kPa(>200mmHg)⑹胸片示肺泡實變≥1/2肺野。
中華醫學會呼吸病學分會1999年制定的診斷標準如下:
1、有ALI/ARDS的高危因素。
2、急性起病、呼吸頻數和(或)呼吸窘迫。
3、低氧血症:ALI時動脈血氧分壓(PaO2)/吸入氧分數值(FiO2)≤300mmHg;ARDS時PaO2/FiO2≤200mmHg;
4、胸部X線檢查顯示兩肺浸潤陰影。
5、PAWP≤18mmHg,或臨床上能除外心源性肺水腫。
同時符合以上5項條件者,可以診斷ALI或ARDS.
鑑別診斷
本病須與大片肺不張、自發性氣胸、上呼吸氣道阻塞、急性肺拴塞和心源性肺水腫相鑑別,通過詢問病史、體檢和胸部x線檢查等可作出鑑別。心源件肺水腫患者臥位情時呼吸困難加重。咳粉紅色泡沫樣痰,雙肺底有濕哆音,對強心、利尿等治療效果較好;若有困難,可通過測定PAwP、超產心動閣檢查來鑑別。
治療措施
ARDS治療的關鍵在於原發病及其病因,如處理好創傷,遲早找到感染灶,針對病的菌套用敏感的抗生素,制止炎症反應進一步對肺的損作;更緊迫的是要及時糾正患者嚴重缺氧,贏得治療基礎疾病的寶貴時間。在呼吸支持治療中,要防止擬壓傷,呼吸道繼發感染和氧中毒等併發症的發生。根據肺損傷的發病機制,探索新的藥理治療也是研究的重要方向。
呼吸支持治療
1.氧療糾正缺氧刻不容緩,可採用經面罩持續氣道正壓(CPAP)吸氧,但大多需要藉助機械通氣吸入氧氣。一般認為FiO2>0.6,PaO2仍<8kPa(60mmHg),SaO2<90%時,應對患者採用咱氣末正壓通氣PEEP為主的綜合治療。
2.機械通氣
⑴呼氣末正壓通氣(PEEP)1969年Ashbaugh首先報導使用PEEP治療5例ARDS患者,3例存活。經多年的臨床實踐,已將PEEP作為搶救ARDS的重要措施。PEEP改善ARDS的呼吸功能,主要通過其吸氣末正壓使陷閉的支氣管和閉合的肺泡張開,提高功能殘氣(FRC)。
PEEP為0.49kPa(5cmH2O)時,FRC可增加500ml。隨著陷閉的肺泡復張,肺內靜動血分流降低,通氣/血流比例和彌散功能亦得到改善,並對肺血管外水腫分嘏產生有利影響,提高肺順應性,降低呼吸功。PaO2和SaO2隨PEEP的增加不斷提高,在心排出量不受影響下,則全身氧運輸量增加。經動物實驗證明,PEEP從零增至0.98kPa(10cmH2O),肺泡直徑成正比例增加,而胸腔壓力變化不大,當PEEP>0.98kPa,肺泡直徑變化趨小,PEEP>1.47kPa(15cmH2O),肺泡容量很少增加,反使胸腔壓力隨肺泡壓增加而增加,影響靜脈血回流,尤其在血容量不足,血管收縮調節功能差的情況下,將會減少心輸出量,所以過高的PEEP雖能提高PaO2和SaO2,往往因心輸出量減少,反而影響組織供氧。過高PEEP亦會增加所胸和縱膈氧腫的發生率。最佳PEEP應是SaO2達90%以上,而FiO2降到安全限度的PEEP水平〔一般為1.47kPa(15cmH2O)〕。患者在維持有效血容量、保證組織灌注條件下,PEEP宜人低水平0.29~0.49kPa(3~5cmH2O)開始,逐漸增加至最適PEEP,如PEEP>1.47kPa(15cmH2O)、SaO2<90%時,可能短期內(不超過6h為宜)增加FiO2,使SaO2達90%以上。應當進一步尋找低氧血症難以糾正的原因加以克服。當病情穩定後,逐步降低FiO2至50%以下,然後再降PEEP至≤0.49kPa(5cmH2O),以鞏固療效。
⑵反比通氣(IRV)即機械通氣呼(I)與呼(E)的時間比≥1:1。延長正壓吸氣時間,有利氣體進入阻塞所致時間常數較長的肺泡使之復張,恢復換氣,並使快速充氣的肺泡發生通氣再分布,進入通氣較慢的肺泡,改善氣體分布、通氣與血流之比,增加彌散面積;縮短呼氣時間,使肺泡容積保持在小氣道閉合的肺泡容積之上,具有類似PEEP的作用;IRV可降低氣道峰壓的PEEP,升高氣道平均壓(MAP),並使PaO2/FiO2隨MAP的增加而增加。同樣延長吸氣末的停頓時間有利血紅蛋白的氧合。所以當ARDS患者在PEEP療效差時,可加試IRV。要注意MAP過高仍有發生氣壓傷和影響循環功能、減少心輸出量的副作用,故MAP以上不超過1.37kPa(14cmH2O)為宜。套用IRV,時,患者感覺不適難受,可加用鎮靜或麻醉劑。
⑶機械通氣併發症的防治機械氣本身最常見和致命性的併發症為氣壓傷。由於ARDS廣泛炎症、充血水腫、肺泡萎陷,機械通氣往往需要較高吸氣峰壓,加上高水平PEEP,增加MAP將會使病變較輕、順應性較高的肺單位過度膨脹,肺泡破裂。據報告當PEEP>2.45kPa(25cmH2O),並發氣胸和縱隔氣腫的發生率達14%,病死率幾乎為100%。現在一些學者主張低潮氣量、低通氣量,甚至允許有一定通氣不足和輕度的二氧化碳瀦留,使吸氣峰壓(PIP)<3.92kPa(40cmH2O)<1.47kPa(15cmH2O),必要時用壓力調節容積控制(PRVCV)或壓力控制反比通氣壓力調節容積控制〔PIP,<2.94~3.43kPa(30~35cmH2O)〕。因外也有採用吸入一氧化氮(NO)、R氧合膜肺或高頻通氣,可減少或防止機械通氣的氣壓傷。
3.膜式氧合器ARDS經人工氣道機械通氣、氧療效果差,呼吸功能在短期內又無法糾正的場合下,有人套用體外膜肺模式,經雙側大隱靜脈根啊用擴張管擴張扣分別插入導管深達下腔靜脈。現發展了血管內氧合器/排除CO2裝置(IVOX),以具有氧合和CO2排除功能的中空纖維膜經導管從股靜脈插至下腔靜脈,用一負壓吸引使氮通過IVOX,能改善氣體交換。配合機械通氣可以降低機械通氣治療的一此參數,減少機械通氣併發症。
維持適宜的血容量
創傷出血過多,必須輸血。輸血切忌過量,滴速不宜過快,最好輸入新鮮血。庫存1周以上血液含微型顆粒,可引起微栓塞,損害肺毛細血管內皮細胞,必須加用微過濾器。在保證血容量、穩定血壓前提下,要求出入液量輕度負平衡(-500~-1000ml/d)。為促進水腫液的消退可使用呋噻米(速尿),每日40~60mg。在內皮細胞通透性增加時,膠體可滲至間質內,加重肺水腫,故在ARDS的早期不宜給膠體液。若有血清蛋白濃度低則當別論。
腎上腺皮質激素的套用
它有保護毛細血管內皮細胞、防止白細胞、血小板聚集和粘附管壁形成微血栓;穩定溶酶體膜,降低補體活性,抑制細胞膜上磷脂代謝,減少花生四烯酸的合成,阻止前列腺素及血栓素A2的生命;保護肺Ⅱ型細胞分泌表面活性物質;具抗炎和促使肺間質液吸收;緩解支氣管痙攣;抑制後期肺纖維化作用。目前認為對刺激性氣體吸入、外傷骨折所致的脂肪栓塞等非感染性引起的ARDS,早期可以套用激素。地塞米松60~80mg/d,或氫化考的松1000~2000mg/d,每6h1次,連用2天,有效者繼續使用1~2天停藥,無效者遲早停用。ARDS伴有敗血下或嚴重呼吸道感染忌用激素。
糾正酸鹼和電解質紊亂
與呼吸衰竭時的一般原則相同。重在預防。
營養支持
ARDS患者處於高代謝狀態,應及時補補充熱量和高蛋白、高脂肪營養物質。應儘早給予強有力的營養支持,鼻飼或靜脈補給,保持總熱量攝取83.7~167.4kJ(20~40kCal/kg)。
其他治療探索
1.肺表面活性物質替代療法目前國內外有自然提取和人工製劑的表面活性物質,治療嬰兒呼吸窘迫綜合徵有較好效果,外源性表面活性物質在ARDS僅暫時使PaO2升高。
2.吸NONO即血管內皮細胞衍生舒張因子,具有廣泛生理學活性,參與許多疾病的病理生理過程。在ARDS中的生理學作用和可能的臨床套用前景已有廣泛研究。一般認為NO進入通氣較好的肺組織,擴張該區肺血管,使通氣與血流比例低的血流向擴張的血管,改善通氣與血流之比,降低肺內分流,以降低吸氧濃度。另外NO能降低肺動脈壓和肺血管阻力,而不影響體循環血管擴張和心輸出量。有學者報導,將吸入NO與靜脈套用阿米脫林甲醯酸(almitrinebismyslate)聯合套用,對改善氣體交換和降低平均肺動脈壓升高有協同作用。後者能使通氣不良的肺區血管收縮,血流向通氣較好的肺區;並能刺激周圍化學感受器,增強呼吸驅動,增加通氣;其可能產生的肺動脈壓升高可被NO所抵消。目前NO套用於臨床尚待深入研究,並有許多具體操作問題需要解決。
3.氧自由基清除劑、抗氧化劑以及免疫治療根據ARDS發病機制,針對發病主要環節,研究相應的藥物給予干預,減輕肺和其它臟器損害,是目前研究熱點之一。
過氧化物岐化酶(SOD)、過氧化氫酶(CAT),可防止O2和H2O2氧化作用所引起的急性肺損傷;尿酸可抑制O2、OH的產生和PMNs呼吸暴發;維生素E具有一定抗氧化劑效能,但會增加醫院內感染的危險。
脂氧化酶和環氧化酶途徑抑制劑,如布洛芬等可使血栓素A2和前列腺素減少,抑制補體與PMNs結合,防止PMNs在肺內聚集。
免疫治療是通過中和致病因子,對抗炎性介質和抑制效應細胞來治療ARDS。目前研究較多的有抗內毒素抗體,抗TNF、IL-1、IL-6、IL-8,以及抗細胞黏附分子的抗體或藥物。
併發症
引發心肌病急性呼吸窘迫綜合徵患者病後不久,數天或數周后病情未得緩解時,可由於氧供不足引起出現其他器官的併發症。缺氧時間過長可引起嚴重的併發症如腎功能衰竭,如未獲及時治療,可因嚴重缺氧而死亡。由於急性呼吸窘迫綜合徵患者防禦肺部感染的能力低下,在其患病過程中常常出現細菌性肺炎。
預防
對高危的患者應嚴密觀察,加強監護,一但發現呼吸頻速,PaO2降低等肺損傷表現,在治療原發開門見山時,應早期給予呼吸支持和其它有效的預防及干預措施,防止ARDS進一步發展和重要臟器損傷。
預後
ARDS的預後除與搶救措施是否得當有關外,常與患者原發病、併發症以及對治療的反應有關。如嚴重感染所致的敗血症得不到控制,則預後極差。骨髓移植並發ARDS死亡率幾乎100%。若並發多臟器功能衰竭預後極差,且與受累器官的數目和速度有關,如3個臟器功能衰竭持續1周以上,病死率可高達98%。經積極治療後,若持續肺血管阻力增加,示預後不良。脂肪栓塞引起的ARDS,經積極處理,機械通氣治療可獲得90%存活。刺激性氣體氣體所致的急性肺水腫和ARDS,一般脫離現場,治療及時,亦能取得較好的療效。另ARDS患者若經PEEP0.98(10cmH2O)治療後,PaO2明顯上升,預後較好。ARDS能迅速得到緩解的病人,大部分能恢復正常。在40%肺功能異常的ARDS恢復者中,20%示阻塞性通氣損害、30%彌散量降低,25%運動時PaO2下降。
護理
急性呼吸窘迫綜合徵(ARDS)是急性呼吸衰竭的一種類型。病人原來心肺功能正常,但由於肺外或肺內的原因引起急性滲透性肺水腫和進行性缺氧性呼吸衰竭。臨床表現為突發性、進行性呼吸窘迫,氣促、紫紺,常伴有煩躁、焦慮表情、出汗等。ARDS的治療包括改善換氣功能及氧療、糾正缺氧、及時去除病因、控制原發病等。常見護理問題有:①低效型呼吸型態;②氣體交換受損;③心輸血量減少;④潛在併發症--氣壓傷;⑤有皮膚完整性受損的危險;⑥有口腔黏膜改變的危險;⑦潛在併發症--水、電解質平衡紊亂;⑧焦慮。

