病因
特發性肺纖維化臨床表現
約15%的IPF病例呈急性,經過常因上呼吸道感染就診而發現進行性呼吸困難加重,多於6個月內死於呼吸循環衰竭。絕大數IPF為慢性型(可能尚有介於中間的亞急性型),雖稱慢性平均生存時間也只有3.2年。慢性型似乎並非急性型演變而來,確切關係尚不了解。
1.主要症狀
(1)呼吸困難勞力性呼吸困難並進行性加重、呼吸淺速可有鼻翼搧動和輔助肌參與呼吸,但大多沒有端坐呼吸。
(2)咳嗽、咳痰早期無咳嗽,以後可有乾咳或少量黏液痰,易有繼發感染。出現黏液膿性痰或膿痰,偶見血痰。
(3)全身症狀可有消瘦、乏力、食欲不振、關節酸痛等,一般比較少見,急性型可有發熱。
2.常見體徵
(1)呼吸困難和發紺。
(2)胸廓擴張和膈肌活動度降低。
(3)兩肺中下部Velcro囉音,具有一定特徵性。
(4)杵狀指趾。
(5)終末期呼吸衰竭和右心衰竭相應徵象。
診斷
(一)診斷技術
1.影像學檢查
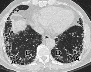
(1)常規X線胸 片攝片技術須注意穿透條件適當,套用中度增感屏,聚焦要小。早期肺泡炎X線上不能顯示異常;隨病變進展,X線表現出雲霧狀、隱約可見微小點狀的瀰漫性陰影,猶如磨玻璃。進一步進展則見纖維化愈趨明顯,從纖細的網織狀到粗大網織狀,或呈網織結節狀。晚期更有大小不等的囊狀改變,即蜂窩肺。肺容積縮小,膈肌上抬,葉間裂移位。
(2)CT對比解析度優於X線,套用高分辨CT(HRCT)可以進一步提高空間解析度,對於IPF的診斷,特別是早期肺泡炎與纖維化鑑別以及蜂窩肺的發現極有幫助。
(3)核素IPF常有肺泡毛細血管膜通透性增高。核素技術吸入99mTc-DTPA氣溶膠測定肺上皮通透性(LEP)可見T1/2縮短,有助於早期發現和診斷間質性肺病,對於IPF並無特異性。
2.肺功能檢查IPF的典型肺功能改變包括限制型通氣損害、肺容量縮小、肺順應性降低和彌散量降低。嚴重者出現PaO2下降和PA-aO2增寬。肺功能檢查與影像學技術有助於早期診斷,特別是運動試驗在影像學異常出現前即有彌散量降低和低氧血症。肺功能檢查可作動態觀察,對病情估價很有幫助,用於考核療效可能也是有用的。同樣,IPF的肺功能異常沒有特異性,無鑑別診斷價值。
3.支氣管肺泡灌洗回收液細胞總數增高,而中性粒細胞比例增加是IPF比較典型的改變,對診斷有幫助。目前仍主要用於研究。
4.肺活檢IPF早、中期的組織學改變有一定特點,而且間質性肺病病因甚多包括許多有明確病因可尋者,因此肺活檢對於本病確診和活動性評價十分有意義。首選套用纖支鏡作TBLB,但標本小,診斷有時尚有困難。必要時宜剖胸活檢。
(二)診斷的建立根據典型臨床表現和上述檢查,IPF診斷能夠成立。核心問題是排除其它間質性肺病包括原因已明或不明者。“特發性”或“隱原性”均用以表示原因不明,但不是所有原因不明和表現有肺纖維化的疾病都是IPF,如結節病。IPF是一個特定的疾病整體,雖然有可能它並不是一個均質單一的疾病。所以肺活檢對IPF的診斷是必要的。但在不能接(耐)受創傷性檢查者,只要有證據排除其它間質性肺病,建立IPF臨床診斷亦是能夠接受的。
(三)活動性判斷目前雖有很多研究,但是尚無確定指征。除肺活檢組織學評價外,據認為67Ga掃描、肺上皮通透性測定、支氣管肺泡灌洗液細胞數特別是淋巴細胞數以及介質測定對估計病變活動性有重要參考價值。雖然臨床表現、X線和CT徵象、肺功能變化與活動性並不完全平行,但病程長短、纖維化程度及有無蜂窩肺、肺功能損害輕重等對估計活動性仍是有幫助的。
診斷標準
(1)除外已知病因所致的間質性肺疾病,如職業接觸、室內外環境暴露、結締組織病和藥物性肺損害等。
(2)未行外科肺活檢的患者,胸部HRCT表現為肯定UIP型。
(3)行外科肺活檢的患者,結合HRCT和外科肺活檢符合特定的類型。
治療
藥物治療
(1)吡非尼酮:
截至目前,吡非尼酮是全球第一個獲批治療特發性肺纖維化的藥物,是國際指南推薦等級最高的治療IPF藥物,也是我國唯一獲得sFDA批准的用於IPF治療的藥物。吡非尼酮是2015年美國胸科學會/歐洲呼吸協會/日本胸科協會/拉丁美洲胸科協會聯合發布的《特發性肺纖維化臨床治療推薦指南》中推薦等級最高(條件推薦)的兩大藥物之一[13],也是全球第一個獲批用於特發性肺纖維化(IPF)的治療藥物。在我國,目前已被sFDA批准的用於IPF治療的藥物僅有一個,即艾思瑞®吡非尼酮膠囊。
吡非尼酮是一種多效性的吡啶類化合物,首次於1994年被Margolin等人證明具有抗纖維化特性,並於1999年被RaghuG等人證實對IPF患者具有一定治療效果。隨後,多項國際多中心臨床試驗結果顯示,吡非尼酮可改善IPF患者肺功能、無進展生存期(PFS)和六分鐘步行距離(6MWD),一定程度上降低病死率。目前,關於吡非尼酮治療特發性肺纖維化的機制暫未完全闡明,但根據現有的研究,可將其抗纖維化機制歸納為以下三個方面:
1.抗纖維化吡非尼酮能夠抑制轉化生長因子-β1(TGF-β1)基因的過度表達,減少TGF-β1的合成,減少血小板衍化生長因子(PDGF)和成纖維細胞生長因子(FGF)的生成,從而抑制成纖維細胞的增殖和膠原的合成,起到抗纖維化的作用。
2.抗炎吡非尼酮還能抑制腫瘤壞死因子α(TNF-α)、IL-1b和其他炎症因子的合成、釋放受體傳遞,從而減輕炎症反應。
3.抗氧化吡非尼酮還是一種強有力的羥自由基的清除劑。通過清除活性氧(ROS)抑制脂質過氧化物和減少組織正常結構的破壞,從而起到抗氧化作用。
艾思瑞®吡非尼酮膠囊,是由北京康蒂尼藥業有限公司自主研發,擁有多項國內及國際授權專利,於2011年9月獲得sFDA頒發的原研1.1類新藥證書,並於2014年2月正式上市銷售,是我國第一個治療肺纖維化的藥物。國內艾思瑞的各項實驗結果指標和國際試驗公布的結果一致,服用艾思瑞®治療的患者肺纖維化多項指標改善,特別顯著減少患者肺功能的動脈血氧飽和度和肺彌散量的下降。
非藥物治療
1.氧療:氧療可以改善患者的缺氧情況。雖然沒有直接證據證明氧療可影響伴有低氧血症IPF患者的預後,但從慢性阻塞性肺疾病得出的間接證據顯示,長程氧療對患者預後有顯著的改善作用。推薦參照慢性阻塞性肺疾病氧療指證,靜息狀態低氧血症(PaO2<55mmHg或SpO2<88%)的IPF患者應該接受長程氧療[12]。
2.機械通氣:IPF伴呼吸衰竭的患者大多數不採用氣管插管機械通氣治療。醫生應該權衡利弊,與患者及家屬充分溝通。機械通氣可能是極少數IPF患者與肺移植之間的過渡方式。無創正壓通氣可能改善部分IPF患者的缺氧,延長生存時間。對於預後不良的終末期肺纖維化患者,一般不主張氣管插管機械通氣治療[14]。
3.肺康復:肺康復是針對有症狀及日常活動能力下降的慢性肺病患者的一項全面干預治療手段,旨在減輕症狀,改善機體功能,穩定或延緩疾病發展,從而降低醫療費用。肺康復的內容包括呼吸生理治療,肌肉訓練(全身性運動和呼吸肌鍛鍊),營養支持,精神治療和教育。肺康復已經用於呼吸功能障礙的慢性阻塞性肺疾病患者的治療,IPF患者肺康復治療的研究雖然有限,但大多數IPF患者可以推薦接受肺康復治療,IPF患者肺康復的適應證、肺康復處方,以及肺康復對患者肺臟病理生理、生活質量和預後的影響值得進一步研究[13]。
4.肺移植:不斷發展的肺移植技術已經成為各種終末期肺疾病的主要治療手段。IPF患者接受肺移植可以提高生存率,改善生活質量,5年生存率達50%-56%[15]。國內已經有多家醫療機構開展肺移植,供體捐贈與資源共享網路的逐步健全,臟器移植準入制度的建立與完善,使IPF患者篩選和等待肺移植的登記隨訪成為可能。推薦符合肺移植適應證的IPF患者納入等待名單,進行移植前評估。IPF接受肺移植的時機,以及單肺或雙肺移植對IPF患者預後的影響,需要進一步研究。
併發症
可有繼發性感染肺原性心臟病、自發性氣胸,最終發生肺纖維化導致心肺功能衰竭。
預防
1.由於本病的病程緩慢,醫務人員應認真檢查明確診斷。
2.要鼓勵患者樹立戰勝疾病的信心,積極配合治療,並堅持治療。
3.加強體育鍛鍊,增強抗病能力,冬季應注意保暖。
4.注意調劑飲食增加營養;吸菸者必須戒菸。
預後
IPF為持續發展的疾病,預後差,其病程長短依賴於病情發展的快慢,急性型最短2周內死亡。最長的慢性型可長達15年。多數死於呼吸衰竭,只有少數患者經治療後病情穩定或長期緩解。
繼發性肺間質纖維化由全身性疾病引起者其發展速度、預後和原發疾病密切相關。由外因引起者,除去致病因素後肺間質纖維化可停止發展,預後較佳。
生活護理
1.特發性肺纖維化患者拒絕吸菸 。雖還無明確證據表明吸菸和肺纖維化之間有直接關係,但長期吸菸導致肺功能的下降,誘發多種肺部疾病的發生,可能造成特發性肺纖維化。
2.特發性肺纖維化患者應積極開展體育活動,加強體育鍛鍊,提高抗病能力,如做深呼吸、散步、練太極拳等。
3.特發性肺纖維化患者要遠離外源性過敏原,諸如:鳥類、動物(寵物或實驗飼養者)、木材加工、蔗糖加工、蘑菇養殖、發霉稻草暴露、以及春季花粉、農業殺蟲劑等。
4.特發性肺纖維化患者的飲食要多供給優質蛋白,多食蔬菜水果,補充維生素。忌辛辣、煎炸、過鹹等刺激性食物。忌菸酒。對某些已知會引起過敏、誘發哮喘的食物,應避免食用。
5.要保證特發性肺纖維化患者有足夠的休息時間。注意保暖,避免受寒,預防各種感染。注意氣候變化,特別是冬春季節,氣溫變化劇烈,及時增減衣物,避免受寒後加重病情。
6.雖然目前特發性肺纖維化的發病原因還不很明確,但生活環境無疑是一重要原因。家居環境房間要安靜,空氣要清新、濕潤、流通,避免煙霧、香水、空氣清新劑等帶有濃烈氣味的刺激因素,也要避免吸入過冷、過乾、過濕的空氣。
7.特發性肺纖維化患者的居室要經常打掃,但要避免乾掃,以免塵土飛揚。房間裡不宜鋪設地毯、地板膜,也不要放置花草。被褥、枕頭不宜用羽毛或陳舊棉絮等易引起過敏的物品填充,而且要經常曬,勤換洗。
8.不要忽視喘咳和感冒。氣喘是特發性肺纖維化患者最主要的症狀之一,這主要由缺氧引起。患者容易咳嗽,一般為乾咳,早期無痰。這樣的情況易被人認為是運動後的體力不支而被忽視。如果出現進行性的呼吸困難,喘憋加重,則應及時就診。
呼吸系統疾病盤點
呼吸內科疾病
| 研究範圍及進展呼吸內科是研究呼吸系統疾病的學科。它是既古老又年輕的學科,說它古老是因為,自從人類認識疾病以來,呼吸系統疾病就一直是危害人類健康的常見病和多發病,八十年代中期的統計資料表明,呼吸系統疾病仍然是導致死亡的主要疾病。在死亡的順序上排列第二。現在我們來認識一下這些可怕的疾病吧? |

