概述
肺泡蛋白沉著症肺泡蛋白沉著症(PAP)主要發生於20~60歲原來身體健康的人,PAP偶可發生於接觸無機粉塵(如二氧化矽、鋁、鈦)的病人以及因卡氏肺囊蟲,慢性感染,多種出血性惡性腫瘤,骨髓及外骨髓增殖性疾病或免疫抑制的病人。這種相關性的意義尚不清楚。
病理變化限於肺臟.典型的表現是肺泡上皮和間質細胞正常,但肺泡內充填著含各種血清和非血清蛋白的無定形PAS染色陽性顆粒。肺泡內脂含量高,可能是因為肺泡磷脂的清除異常。間質纖維化少見。病理過程可能為瀰漫性或局限性,可能進展亦可能穩定,或自行消失。最常受累的是肺基底部和後部,偶爾侵犯前段,胸膜和縱隔不受影響。
臨床表現
肺泡蛋白沉著症相關書籍X線表現為肺門周圍瀰漫性肺泡浸潤,呈蝶狀,雙側不一定十分對稱,極似肺水腫。
經常見患者伴咳嗽、咳白色黏液痰,住院治療;近來精神差、睡眠欠佳、體重下降約10kg,口唇及指(趾)端發紺。經抗炎、對症、吸氧治療未見明顯好轉,轉上級醫院行肺穿刺活檢,確診為肺泡蛋白沉著症並雙肺感染。
住院期間體溫、呼吸、心率、血壓正常,全身淺表淋巴結不大。血生化檢查:丙氨酸氨基轉移酶50~70u/L,門冬氨酸氨基轉移酶51~61u/L,略有升高。紅細胞容積46%,平均紅細胞體積107fl,平均血紅蛋白量35pg略有升高。
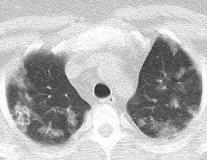
影像學表現:雙肺瀰漫性大片狀實變,分布不均勻,其內見小囊狀透亮區呈蜂窩狀改變;實變陰影之間可見不規則片狀透亮區,可見索條狀背景,表現大片狀肺實變與大片狀代償肺氣腫並存;雙肺門明顯濃大,結構不清;心外形正常,雙側膈頂光整正常,雙側肋膈角正常。
肺泡蛋白沉著症肺泡蛋白沉著症是少見呼吸系統病,首先由Rose於1958年報導。主要發生於20~60歲原來身體健康的人,病理上是以肺泡及終末呼吸性細支氣管內沉積大量的表面活性蛋白及脂質為特徵。原發性與繼發性兩類,原因不明,可能與粉塵吸入、機體免疫功能下降、酗酒、感染等因素引起脂質代謝障礙有關。有研究表明巨細胞病毒、卡氏肺孢子蟲、組織胞漿菌感染等均可發現有肺泡內高蛋白沉著,但很難確認感染是原發致病因素還是繼發於肺泡蛋白沉著症。
本病起病隱匿,臨床症狀不一,有的無症狀,有的可出現嚴重的進行性加重的呼吸困難和咳嗽、咳痰,咳嗽、咳痰程度及性質一般與繼發感染的程度和類型有關;患者肺活量、殘氣量、功能餘氣量、肺總量和一氧化碳彌散力一般輕度下降,肺外症狀不甚明顯。臨床實驗室檢查出現紅細胞功能增強,本例血生化檢查丙氨酸氨基轉移酶和門冬氨酸氨基轉移酶略有升高。儘管影像學表現有一定特點(本病起病緩慢,肺部瀰漫性實變,無心臟改變,無肺淤血及肺部間質性改變)。凡發現肺部大量實變,而臨床症狀輕微者,應當想到此病。但其表現差異性大,最終確診還有賴於穿刺活檢。
病因病理
肺泡癌雖然啟動因素尚不明確,但基本上同意發病過程為脂質代謝障礙所致。即由於機體內、外因素作用引起肺泡表面活性物質的代謝異常。到目前為止,研究較多的有肺泡巨噬細胞活力,動物實驗證明巨噬細胞吞噬粉塵後其活力明顯下降,而病員灌洗液中的巨噬細胞內顆粒可使正常細胞活力下降,經支氣管肺泡灌洗治療後,其肺泡巨噬細胞活力可上升。而研究未發現Ⅱ型細胞生成蛋白增加,全身脂代謝也無異常。因此目前一般認為本病與清除能力下降有關。
病理改變:巨檢顯示肺臟可明顯變硬,重量增加。肺實變與代償 肺氣腫 並存。光鏡下肺泡結構基本正常,肺泡內充滿細顆粒狀、無結構的PAS染色陽性蛋白樣物質,Ⅱ型細胞增生、肥大,胞漿內板層小體增多,板層小體成同心圓狀排列。巨噬細胞數目及體積也明顯增加。肺間質可有纖維化出現,有作者提到鎖骨上淋巴結內可查及蛋白樣物質。
流行病學:男女之比為2~3∶1,可發生於任何年齡,多數在20~50歲之間。起病隱匿,主要症狀為進行性氣促。約1/3病例有低熱,大部分有咳嗽,痰呈乳白色泡沫狀,有時見塊狀、膠凍狀或管型咳出。體檢可有呼吸運動減弱,叩診輕度濁音,肺內明顯的病理性支氣管呼吸音,偶有濕羅音。重症有杵狀指、紫紺及肺動脈高壓的表現。
X線表現為肺門周圍瀰漫性肺泡浸潤,呈蝶狀,雙側不一定十分對稱,極似肺水腫。
診斷
肺泡蛋白沉著症相關藥物肺泡蛋白沉著症表現是非特異性的,應與以下疾病相鑑別:①特發性肺間質纖維化;②肺泡癌;③粟粒性肺結核;④肺實質性疾病如病毒性肺炎支原體肺炎及衣原體肺炎
診斷:胸部X線表現為向心性肺泡浸潤但無心衰表現當疑及本病。支氣管肺泡灌洗髮現為混濁,乳白或黃色液體,其沉澱中有大量無結構的嗜伊紅體,則診斷可明確。如結合支氣管鏡肺活檢則診斷更確定。目前極少需開胸肺活檢。有報告認為測定痰中表面活性蛋白A是一種簡便的輔助診斷手段。
PAP為原因不明的少見病,無特異性臨床表現,極易誤診。本文有8例曾被誤診,誤診時間最長達2年。早期診斷可以縮短療程,減少肺纖維化,減輕病人的痛苦,因此如何提高PAP的早期診斷率就顯得十分重要。目前對該病的診斷技術有很大進展,現將情況分述如下:
1、血清LDH水平增高 據報導約有25%的PAP病人血清LDH升高,最高可達正常值的2~3倍,而其它肺部瀰漫性疾病很少有LDH增高2倍以上,提示血清LDH測定對PAP診斷有一定的參考價值。本文有7例血清LDH增高,其中5例增高2倍以上,與國外Ramirez報導相似,惜本組病人未作進一步的LDH的連續測定,未能明確LDH與肺部病變衍化的關係。
2、肺內分流增加 Martin等研究了12例PAP病人,在吸入100%的純氧時,其肺內分流量達20%,而對照組的35例平均肺內分流量僅為8.9%,兩組間存在顯著差異。因而有學者認為,如果在吸入100%純氧時肺內分流≥14%,結合血清LDH升高,有助於PAP診斷。因條件限制,本組病人未作此項檢查。
3、胸部CT/HRCT檢查 PAP的X線胸部檢查無特異性,不能有效地將PAP與卡氏肺孢子蟲肺炎(PCP)、IPF等區分開。新出現的CT和HRCT為PAP的診斷提供了一個有效的手段。典型的PAP在CT上表現為肺部多變的斑片狀陰影,其邊緣清楚,在肺野中呈地圖樣表現。PAP在HRCT中則呈現出毛玻璃樣改變,小葉內和小葉間隙增厚,因其邊緣為多邊形,故呈碎石路樣改變(Crazy-Paring)。這些表現有一定的特徵性,雖然其有時也可見於PCP和肺結節病,但通過詢問病史和對臨床表現進行分析,就可予以區分。本文9例中有3例作CT/HRCT檢查,結果與文獻報導相似。因此,可以認為將病史、臨床表現和CT/HRCT檢查結合起來,大部分PAP病人不必進行肺活檢及BALF檢查即可診斷。
肺泡蛋白沉著症相關書籍5、經纖維支氣管鏡肺活檢 Rubmskin對6例PAP病人進行經纖支鏡肺活檢,其中5例得到確診,僅1例因標本較小未能診斷,改行開胸肺活檢。本文5例行經纖支鏡肺活檢,確診率為100%,稍高於文獻報導。經纖支鏡肺活檢施術方便,病人痛苦小,陽性率高,將取代大部分開胸肺活檢。
6、近年來國內外學者對PAP病人的BALF和血清中肺表面活性蛋白-A、肺表面活性蛋白-D(SP-A、SP-D)濃度進行測定,發現SP-A、SP-D在PAP病人的BALF、血清中都有明顯增高,而且有較好的特異性。BALF和血清SP-A、SP-D的檢測有望成為診斷PAP的一個新的有效手段。
總之,在遇到有原因不明的呼吸困難、胸部X線片示瀰漫性病變、肺功能主要為限制性通氣功能障礙的病人時,應考慮PAP診斷,結合進一步測定血清LDH和肺內分流量、肺CT/HRCT檢查,大部分病人即可診斷;部分病人需進行BLAF光鏡檢查/經纖支鏡肺活檢得到確診。僅少數病人需行開胸/經胸腔鏡肺活檢才能明確診斷。
治療措施
血清提取肺泡蛋白沉著症(Pulmonaryalveolarproteinosis,PAP)是一少見呼吸病,以肺泡及終末呼吸性細支氣管內沉著大量的表面活性蛋白及脂質為特徵。根據發病,可將其分為原發性PAP與繼發性PAP兩類。繼發性PAP的治療原則為治療原發病。
對於原發PAP,明確有效的治療方法是支氣管肺泡灌洗,即通過灌洗清除肺泡內沉著的蛋白質和脂質。其效果取決於肺灌洗量,分次單側全肺盥洗較纖支鏡盥洗效果好。然而,當患者肺功能嚴重損害時則無法接受這一治療方法。其原因是盥洗一側肺內很少有可交換的氣體,結果引起低氧血症甚至呼吸衰竭。雖然可選擇體外循環或在高壓氧艙進行全肺灌洗,但會增加費用和併發症,也不便於操作。此外,灌注結束時肺內殘留的液體可達0.5-1.0升,需2-3天才能吸收乾淨,也會影響患者呼吸功能。
為克服這些不足,自1999年始我們試用了自己改良的全麻密閉加壓給氧分側肺盥洗術,與以往方法的差別是我們的方法中有2個重要的改良:1、肺盥洗時給予密閉加壓給氧。向肺內灌注生理鹽水至單側肺總量後,手動擠壓給氧同時保持呼氣末正壓5厘米水柱,使其中純氧和肺泡內盥洗液充分混合30-60次後再回收盥洗液。2、在首次和結束前的兩次盥洗液中,均在生理鹽水盥洗液中加入腎上腺素(1mg/L)。
第一個改良有三個有益作用:(1)使盥洗液與肺泡充分接觸,增加盥洗效果;(2)改善氧合功能,特別適合單側肺通氣不能保持氧分壓在安全範圍者。因為它可以使純氧混合在液體中,充分與肺泡接觸而增加氧合。如果術中氧飽和度降低,除調整非盥洗肺的吸氧濃度和呼吸支持參數外,還應增加盥洗肺側的給氧擠壓時間。(3)在盥洗肺側加壓給氧的同時,可由於肺泡內壓的升高而減少分流量和改善動脈血氧分壓。第二個改良的有益作用是在生理鹽水盥洗液中加入腎上腺素後,不但有利於舒張支氣管和回收盥洗液;而且有利於吸收肺泡內殘留液體,減少其對呼吸功能的影響。
症狀少或沒有症狀的病人不需治療,但應注意觀察有無病情的加重,因其可導致呼吸衰竭。最有效的治療是通過雙腔支氣管插管,使用1~2l加溫的0.9%氯化鈉液體反覆多次對一側肺進行灌洗和抽空。僅用於有明顯症狀和低氧血症的病人。通常病人在全麻下,每隔3~5天灌洗一側肺,有的病人灌洗一次後便不出現症狀或浸潤,有的則需6~12月灌洗一次,持續多年。
試用過許多藥物,有不同程度的效果,包括碘化鉀,四丁酚醛和水解蛋白酶(如胰蛋白酶和鏈激酶-鏈道酶)。全身皮質類固醇使用無效,且可增加繼發感染可能。
預後
肺泡蛋白分子分析本病常出現呼吸功能不全而致殘者,最有效的療法為支氣管肺泡灌洗;文獻介紹部分患者可自愈、治療後好轉,有的肺部陰影可長期存在,部分病例治療後陰影部分可完全消失,有的患者可能因為治療不及時導致肺功能進行性損害或(和)伴隨肺部感染、呼吸衰竭而死亡。
2、注意鍛鍊身體提高免疫力
肺泡蛋白沉著症呼吸內科疾病
| 研究範圍及進展呼吸內科是研究呼吸系統疾病的學科。它是既古老又年輕的學科,說它古老是因為,自從人類認識疾病以來,呼吸系統疾病就一直是危害人類健康的常見病和多發病,八十年代中期的統計資料表明,呼吸系統疾病仍然是導致死亡的主要疾病。在死亡的順序上排列第二。現在我們來認識一下這些可怕的疾病吧? |
