概述
肺泡蛋白沉積症病因
病因不明。本病為對吸入的化學刺激物的非特異性過敏性反應;有學者認為與機體免疫缺陷有關;本症又常伴有各種真菌及細菌感染;本症偶可見家族性,提示與遺傳因素有關;有一小部分先天性PAP與肺泡表面活性物質蛋白B缺乏有關。病理
肺大部分呈實變,胸膜下可見黃色或黃灰色結節,切面有黃色液體滲出。鏡檢示肺泡及細支氣管內有嗜酸PAS強陽性物質充塞,是Ⅱ型肺泡細胞產生的表面活性物質磷脂與肺泡內液體中的其它蛋白質和免疫球蛋白的結合物,肺泡隔及周圍結構基本完好。電鏡可見肺泡巨噬細胞大量增加,吞噬肺表面活性物質,胞漿腫脹,呈空泡或泡沫樣外觀。臨床表現
發病多隱襲,典型症狀為活動後氣急,以後進展至休息時亦感氣急,咳白色或黃色痰、乏力、消瘦。繼發感染時,有發熱、膿性痰。少數病例可無症狀,僅X線有異常表現。呼吸功能障礙隨著病情發展而加重,呼吸困難伴紫紺亦趨嚴重。
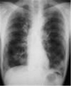
胸部X線表現為從兩側肺門向外放散的彌散性邊緣模糊細小結節陰影,常融合成片狀,病灶之間有代償性氣腫或形成小透亮區。
檢查
實驗室檢查
(1)痰液檢查PAS染色可見PAS陽性蛋白質顆粒,含有針葉狀結晶分層小體。但因小兒痰液常被吞入消化道而無法收集,且痰液受口腔分泌物污染,混雜脫屑細胞和其他蛋白質,故診斷價值不大。(2)血液檢查在無肝臟病變情況下,血清乳酸脫氫酶(LDH)常升高;恢復健康時,LDH即轉為正常。血常規檢查,有半數病例淋巴細胞減少,可見血清IgA降低。
其他輔助檢查
(1)X線檢查典型X線胸片可見肺門周圍細小瀰漫性羽毛狀浸潤陰影,從肺門向肺邊緣擴散,呈蝴蝶狀,略似肺水腫;或表現為軟狀低密度的結節狀陰影,呈蝶形分布。有時兩肺下葉顯示浸潤性病變,或有些患者開始時呈結節狀密度增深影,從兩下葉浸潤進展為整個大葉實變。病灶之間有代償性肺氣腫或形成小透亮區。縱隔明顯增寬,X線酷像肺水腫,但無K-B線。(2)胸部CT檢查尤其是高分辨CT對PAP有很大診斷價值。病變肺組織常呈毛玻璃樣改變,葉間葉內胸膜增厚而不規則。
(3)肺功能測定顯示限制性通氣功能障礙,肺活量下降。呈彌散功能障礙。動脈血氣分析提示血氧飽和度減低及慢性鹼中毒。
(4)支氣管肺泡灌洗液(BALF)檢查 典型的肺泡灌洗液呈乳狀或濃稠淺黃液體。在光鏡下見炎症細胞間有大量形態不規則、大小不等的嗜酸性顆粒狀脂蛋白樣物質,PAS染色陽性。


