原發性支氣管肺癌原發性支氣管肺癌疾病分類
腫瘤科,呼吸內科
疾病別名
肺癌
疾病概述
中央型肺癌 原發性支氣管肺癌本病多在40歲以上發病,發病年齡高峰在60-79歲之間。男女患病率為2.3:1。種族、家屬史與吸菸對肺癌的發病均有影響。在我國腫瘤死亡,肺癌在男性占常見惡性腫瘤的第一位,在女性中占第五位。病因迄今尚未明確。肺癌的臨床表現與其部位、大小、類型、發展的階段、有無併發症或轉移有密切關係。主要症狀包括以下幾方面。
一、由原發腫瘤引起的症狀:
(一)咳嗽。為常見的早期症狀。
(二)咯血。
(三)喘鳴。
(四)胸悶、氣急。
(五)體重下降。消瘦為腫瘤的常見症狀之一。
(六)發熱。一般腫瘤可因壞死引起發熱,多數發熱的原因是由於腫瘤引起的繼發性肺炎所致,抗生素藥物治療療效不佳。
二、腫瘤局部擴展引起的症狀:(一)胸痛。(二)呼吸困難。(三)咽下困難。(四)聲音嘶啞。
疾病描述
原發性支氣管肺癌簡稱肺癌,肺瘤細胞源於黏膜或腺體,常有區域性淋巴結轉移和血行播散,早期常有刺激性咳嗽、痰中帶血等呼吸道症狀,病情進展速度與細胞生物特性有關。肺癌為當前世界各地最常見的惡性腫瘤之一,是一種安全威脅人民健康和生命的疾病。半個世紀以來世界各國肺癌的發病率得有明顯增高的趨勢。WHO1997年報告:肺癌居癌症死因第一位,選世界每年有138萬肺癌新病例,其中女性39萬,男性99萬。全世界每年98.9萬人死於肺癌。1999天再次報告肺癌是癌症第一位死亡原因。全世界幾乎所有國家,男性肺癌的發病率都在上升,然而,在吸菸率降低的芬蘭、英國、美國,近年肺癌發病率趨勢於下降。我國1990-1992年癌症死亡調查結果顯示:90年代肺癌死亡率為7.17/10萬人口,90年代為15.19/10萬人口。20年的變化,肺癌死亡率增加111.85%。在我國肺癌死亡占癌症死亡病因的第三位,城市占第一位,農村為第四位。
症狀體徵
肺癌的臨床表現與其部位、大小、類型、發展的階段、有無併發症或轉移有密切關係。有5%-15%的患者於發現肺癌時無症狀,主要症狀包括以下幾方面。
一、由原發腫瘤引起的症狀
(一)咳嗽
為常見的早期症狀,腫瘤在氣管內可有刺激性乾咳或少量粘液痰。肺泡癌可有大量粘液痰。腫瘤引起遠端支氣管狹窄,咳嗽加重,多為持續性,且呈高音調金屬音,是一種特徵性的阻塞性咳嗽。當有繼發感染時,痰量增加,且呈粘液膿性。
(二)咯血
由於癌組織血管豐富常引起咯血。以中央型肺癌多見,多為痰中帶血或間斷血痰,常不遺引起患者重視而延誤早期診斷。如侵蝕大血管,可引起大咯血。
(三)喘鳴 由於腫瘤引起支氣管部分阻塞,約有2%的患者,可引起局限性喘鳴。
(四)胸悶、氣急
贅瘤引起支氣管狹窄,特別是中央型肺癌;或腫瘤轉移到肺門淋巴結,腫大的淋巴結壓迫主支氣管或隆突;或轉移至胸膜,發生
原發性支氣管肺癌(五)體重下降
消瘦為腫瘤的常見症狀之一。腫瘤發展到晚期,由於腫瘤毒素和消耗的原因,抗生素藥物治療療效不佳。
(六)發熱
一般腫瘤可因壞死引起發熱,多數發熱的原因是由於腫瘤引起的繼發性肺炎所致,抗生素藥物治療療效不佳。
二、腫瘤局部擴展引起的症狀
(一)胸痛
約有30%的腫瘤直接侵犯胸膜、肋骨和胸壁,可引起程度的胸痛。戳腫瘤位於胸膜附近時,則產生不規則的鈍痛或隱痛,疼痛於呼吸、咳嗽時加重。肋骨、脊柱受侵犯時,則有壓痛但,而與呼吸、咳嗽無關。腫瘤壓迫肋間神經,胸痛可累及其分布區。
(二)呼吸困難 腫瘤壓迫大氣道,可出現吸氣性呼吸困難。
(三)咽下困難 癌侵犯或壓迫史官可引起咽下困難,尚可引起支氣管-食管瘺,導致肺部感染。
(四)聲音嘶啞 癌直接壓迫或轉移至縱隔淋巴結腫大後壓迫喉返神經(多見左側),可發生聲音嘶啞。
(五)上腔靜脈壓迫綜合徵
癌侵犯縱隔,壓迫上腔靜脈時,上腔靜脈回流受阻,產生頭面部、頸部和上肢水腫以及胸前部淤血和靜脈曲張,可引起頭痛和頭昏和眩暈。
(六)Horner綜合徵
位於肺言部的肺癌稱上溝癌(Pancoast癌)可壓迫頸部交感神經,引起並側眼瞼下垂、瞳孔縮小、眼球內陷,側額部和胸壁無汗或少汗。也常有腫瘤壓迫臂叢造成以腋下為主、向上肢內側分設的火灼樣疼痛,在夜間尤甚。
三、由癌遠處轉移引起的症狀
(一)肺癌轉移至腦、中樞神經系統時,可發生頭痛、嘔吐、眩暈、復視、共濟失調、腦神經麻痹、一側肢體無力甚至半身不遂等神經系統症狀。嚴重時可出現顱內高壓的症狀。
(二)轉移至骨骼,特別是肋骨、脊柱骨、骨盆時,則有局部疼痛和壓痛。
(三)轉移至肝時,可有厭食、肝區疼痛、肝大、黃疸和腹水等。
(四)肺癌轉移至淋巴結
鎖骨上淋巴結陳
原發性支氣管肺癌四、癌作用於其他系統引起的肺外表現
包括內分泌、神經肌肉、結締組織、血液系統和血管的異常改變,又稱副癌綜合徵。有下列幾種表現:
1、肥大性肺性骨關節病
常見於肺癌,也見於胸膜局限性間皮瘤和肺轉移癌(胸腺、子宮、前列腺的轉移)。多侵犯上下肢長骨遠端,發生杵狀指(趾)和肥大性骨關節病。前者具有發生快、指端疼痛、甲床著為環繞紅暈的特點。兩者常同時存在,多見於鱗癌。切除肺癌後,症狀可減輕或消失,腫瘤復發又可出現。
2、分泌促性激素 引起男性乳房發育,常伴有肥大性肺性骨關節病。
3、分泌促腎上腺皮質激素樣物 可引起Cushing綜合徵,表現為肌力減弱、浮腫、高血壓、尿糖增高等。
4、分泌抗利尿激素
引起稀釋性低鈉血症,表現為食慾不佳、噁心、嘔吐、乏力、嗜睡、定向障礙等水中毒症狀地稱旁利尿激素分泌失調綜合徵(SIADHS)。
5、神經肌肉綜合徵
包括小腦皮質變性、脊髓小腦變性、周圍神經病變、重症肌無力和肌病等。發生原因不明顯。這些症狀與腫瘤的部位有無轉移無關它可以發生於腫瘤出現前數年,也可作為一症狀與腫瘤同時發生;在手術切除後尚可發生,或原有症狀無改變,它可發生於各型肺癌,但多見於小細胞未分化癌。
6、高鈣血症
肺癌可因轉移而致骨骼破壞,或由異生性甲狀旁腺樣激素引起。高血鈣可與嘔吐、噁心、嗜睡、煩渴、多尿和精神紊亂等症狀同時發生,多見於鱗癌。肺癌手術切除,血鈣可恢復正常,腫瘤復發又可引起血鈣增高。
此外在燕麥細胞癌和腺癌追還可見到因5-羥色胺分泌過多造成的類癌綜合徵,表現為哮鳴樣支氣管痙攣、陣發展形成心動過速、水樣腹瀉、皮膚潮紅等。還可有黑色棘皮症及皮肌炎、掌跖皮膚過度狡化症、硬皮症,以及栓塞性靜脈炎、非細菌性栓塞性心內膜炎、血小板減少性紫癲、毛細血管病性滲血性貧血等肺外表現。
疾病病因
發病機制迄今尚未
原發性支氣管肺癌一、吸菸
已經工人吸菸是肺癌的重要危險因素,1999年WHO年報,幾乎所謂肺癌患者的發病與吸菸有關。國內的調查均證明80%-90%的男性肺癌與吸菸有關,女性約19.3%-40% 。吸菸者肺癌死亡需比不吸菸者高10-13倍。吸菸量越多,吸菸年限越長,開始吸菸年齡越早,肺癌死亡率越高。戒嚴使患肺癌的危險性隨戒菸年份的延長而逐漸降低,戒菸持續15年才與不吸菸者相近。吸紙菸者比吸雪茄、菸斗者患病率高。經病理學證實,吸菸與支氣管真皮細胞纖毛脫落、真皮細胞增生、鱗狀上皮發生、核道導形變密切相關。動物實驗也證明,吸入紙菸的煙可使田鼠、狗誘發肺癌。紙菸中含有各種致癌物質,如苯並芘,為致癌的主要物質。
被動吸菸也容易引起肺癌。1979年第四界國際肺癌會議中報告中丈夫吸菸者肺癌危險性增加50%,其危險度水丈夫的吸菸量增加而增高,停止吸菸則減少。上海市進行了人群發病的1500對配對調查說明肺癌和被動吸菸的危害性只存在於18歲以前接觸吸菸者,而18歲以後與被動吸菸的相關不大。
二、職業致癌因子
已被確認的致人類肺癌的職業因素包括石棉、無機砷化合物、二氯甲醚、鉻及其些化合物、鎳冶煉、氡及氡子體、芥子體、氯乙烯、煙煤、焦油和石油中的多環芳烴、菸草的嘎熱產物等。約15%的美國男性肺癌和5%女性肺癌與職業因素有關;在石棉廠工作的吸菸工人肺癌死亡率為一般吸菸者的8倍,是不吸菸也不接觸石棉者的92倍。可見石棉有致癌作用,還說明吸菸與石棉有致癌的協同作用。
三、空氣污染
空氣污染包括室內小環境和室外大環境污染。如室內被動吸菸、燃料燃燒和烹調過程中可能產生的致癌物。有資料表明,室內用煤,接觸煤煙或和不完全燃燒物為肺癌的危險因素,特別是對女性腺癌,烹調時加熱所釋放出的油煙霧也是致癌因素,不可忽視。
城市中汽車廢氣、工業廢氣、公路瀝青都有致癌物質春天,其中主要是苯並芘。有資料統計,城市肺癌發病率明顯高於農村,大城市又比中、小城市的發病率高。上海某橡膠廠12年前瞻性調查分析,表明橡膠行業的防老劑雖然是橡膠工人患肺癌增高的一個原因,但步入吸菸危害性大,吸菸和橡膠職業有明顯相加作用。雲南錫礦中肺癌發病特別高,井下工人肺癌發病率435.44/10萬,與吸菸因素平衡後,吸菸仍為致礦工患肺癌的主要因素。因此,城市大氣污染應包括吸菸、職業暴露等因素。
四、電離輻射
大劑量電離輻射可引起肺癌,輻射的不同射線產生的效應也不同,如日本廣島釋放的是種子和α射線,長崎則僅有α射線,前者患肺癌的危險性高於後者。美國1978年報告一般人群中電離輻射的來源約49.6%來自自然界,44.6%為醫療照射,來自X線診斷的電離輻射可占36.7%。
五、飲食與營養
動物實驗證明維生素A及其衍生物β胡蘿蔔素能夠抑制化學致癌物誘發的腫瘤。一些調查報告認為攝取食物中維生素A含量少或血清維生素A含量低時,患肺癌的危險性高。維生素A能作為抗氧化劑直接抑制甲基旦蒽、苯並芘、亞硝酸銨的致癌作用和
原發性支氣管肺癌六、其他
美國癌症學會將結核列為肺癌發病因素之一。有結核病史,尤其是結核瘢痕者,男性患肺癌的危險是正常人群的5倍,女性患肺癌的危險是正常人群的10倍。有結核病史肺癌的主要組織學類型是腺癌。
近年研究表明,肺癌的發生與某些癌基因的活化及抗癌基因的丟失密切相關。
此外,病毒的感染、真菌毒素(黃麴黴菌)、機體免疫功能的低落、內分泌失調以及家族遺傳等因素對肺癌的發生可能也起一定的作用。
病理生理
一、按解剖學部位分類
(一)中央型肺癌
發生在段支氣管以上至主支氣管的癌稱為中央型,約占3/4,以鱗狀上皮細胞癌和小細胞未分化癌較多見。
(二)周圍型肺癌 發生在段支氣管以下的癌稱為周圍型,約占1/4,以腺癌較為多見。
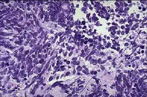
二、按組學分類
目前國內外對癌組織學分類仍不十分統一,但豆薯按細胞分化程度和形態特徵分為鱗狀上皮細胞癌、小細胞未分化癌、大細胞未分化癌和腺癌。
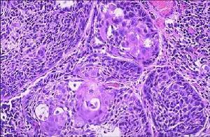
(一)鱗狀上皮細胞癌(簡稱鱗癌)
鱗狀包括梭形細胞癌,是最常見的類型,約占原發性肺癌40%-50%。多見於老年男性,與吸菸關係非常密切。以中央型肺癌多見,並有向管腔內生長的傾向,常早期引起支氣管狹窄,導致肺不張,或阻塞性肺炎。癌組織易變性、壞死,形成空洞或癌性肺膿腫。鱗癌生長緩慢,轉移晚,手術切除的機會相對多,5年生存率較高,但對放射治療(簡稱放療)、化學藥物治療(簡稱化療)不如小細胞未分化癌敏感。
由於支氣管黏膜柱狀上皮細胞受慢性刺激和損傷、纖毛喪失、基底細胞鱗狀化生、不典型增生和發育不全,最易突變成癌。典型的鱗癌細胞大,呈多形性,胞漿豐富,有角化傾向,核畸形,染色深,細胞間橋多見,常呈鱗狀上皮樣排列。電鏡檢查,癌細胞間有大量核粒和張力纖維束相連線。
(二)小細胞未分化癌(簡稱小細胞癌)
小細胞癌包括燕麥細胞型、中間細胞型、符合燕麥細胞型。是肺癌中惡性程度最高的一種,占原發性肺癌的10%-15%。患者年齡較輕,多在40-50歲左右,多有吸菸史。多發生於肺門附近的大支氣管,傾向於黏膜小層生長,常侵犯管外肺實質,易與肺門、縱隔淋巴結融合成團塊。癌細胞生長快,侵襲力強,遠處轉移早。手術時發現60%-100%血管受侵犯,屍檢證明80%-100%有淋巴結轉移,常轉移至腦、肝、骨、腎上腺等臟器。本型對放療和化療比較敏感。
癌細胞多為類圓形和棱形,胞漿少,類似淋巴細胞。燕麥細胞型和中間型可能起源於神經外胚層的Kulchitsky為細胞或嗜銀細胞。核細、胞漿內含有神經分泌型顆粒,具有內分泌和化學受體功能,能分泌5-羥色胺、兒茶酚胺、組胺、激肽等肽類物質,可引起副癌綜合徵。
(三)大細胞未分化癌(大細胞癌)
包括巨細胞癌和透明細胞。可發生在肺門附近或肺邊緣的支氣管。細胞較大,但大小不一,常呈多角形或不規則性形,呈實行巢狀排列,常見大片出血性壞死;癌細胞核大,核仁明顯,核分裂象常見,胞漿豐富,可分巨細胞型和透明細胞性。巨細胞型癌細胞團周圍常德有關多核巨細胞核炎症細胞浸潤。透明細胞型易被誤診為轉移性腎腺癌。大細胞癌轉移較小細胞未分化癌晚,手術切除機會較大。
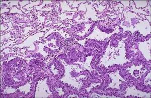
(四)腺癌
腺癌包括眼泡狀、乳頭狀、細支氣管-肺泡癌和實體瘤伴粘液形成。女性多見,災難性亦有增多趨勢。與吸菸關係不大,多生長在肺邊緣小支氣管的粘液腺,因此在周圍型肺癌中以腺癌為最常見。腺癌約占原發性肺癌25%。腺癌傾向於管外生長,但也可循泡壁蔓延,常在肺邊緣部形成直徑2-4cm的腫塊。腺癌富血管,故局部浸潤和血行轉移較鱗癌早。易轉移至肝、腦和骨,更易累及胸膜而引起胸腔積液。
典型的腺癌細胞,呈腺體或乳頭狀結構,細胞大小比較一致,圓形或橢圓形,胞漿豐富,常含有粘液,核大,染色深,常有核仁,核膜比較清楚。
(五)其他 類癌、支氣管腺體癌等。
診斷檢查
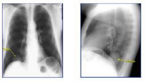
一、胸部X線檢查
本項檢查是發現腫瘤的最重要的一種方法。可通過X線透視,正、側位胸部X線攝片,發現塊影或可以腫塊陰影。進一步選用高電壓攝片、體層攝片、CT、磁共振顯像(MRI)、支氣管或血管造影等檢查,以明顯腫塊的形態、部位範圍及與心臟大血管的關係,了解肺門的縱隔淋巴結的腫大情況,支氣管阻塞、變形的程度以及肺癌有無轉移性病灶以提供診斷和治療的依據。肺癌的胸部X線檢查表現有如下幾種主要形式。
(一)中央型肺癌
多為一側肺門類圓形陰影,邊緣多多毛糙,有始有分葉表現;或為單側性不規則的肺門部腫塊,癌與專一性肺門或縱隔淋巴結融合而成的表現;也可以肺不張或阻塞性肺炎並存,形成所謂“S”型的典型肺癌的X線徵象。肺不張、阻塞性肺炎、預先性肺氣腫皆由於癌對氣管完全阻塞或部分阻塞引起的間接徵象。在體層攝片、支氣管造影可見到支氣管部分不規則增厚、狹窄、中斷或腔內腫物;視支氣管阻塞的不同程度可見有師尾狀、杯口狀況或者截平狀中斷。腫瘤發展至晚期侵犯鄰近器官和轉移淋巴結腫大,可見得有關肺門淋巴結腫大、縱隔塊狀影和氣管向健側移位;隆凸下淋巴結腫大可引起左右支氣管的壓跡、氣管分叉的高度變鈍和增寬以及食管中段局部受壓等;壓迫膈神經引起膈麻痹,可出現膈高位和矛盾運動;侵犯心包時,可引起心包積液等晚期徵象。
(二)周圍型肺癌
常呈預先性小斑片狀陰影,邊緣不清,密度較淡,易誤診為炎症或結核。如動態觀察腫塊增大呈圓形或類圓形時,密度增高,邊緣清楚常呈分葉狀,有切跡或毛刺,尤其是細毛刺或長短不等的毛刺。如癌向肺門淋巴結蔓延,可見其間的引流淋巴乾增粗呈套索狀,伊可引起肺門淋巴結腫大。如發生癌性空洞,其特點為口動壁較厚,多偏心,內壁不規則,凹凸不平,也可伴有液平面。易侵犯胸膜,引起胸腔積液,也易侵犯肋骨,引起骨質破壞。
(三)細支氣管-肺泡癌
有兩種類型的表現。結節型與周圍型肺癌的圓型病灶不易區別。瀰漫型者為兩肺大小不等的結節狀播散病灶,邊界清楚,密度較深,隨病情發展增多和增大。常伴有增深和網織狀陰影。表現頗似血行播散型肺結核,應予鑑別。
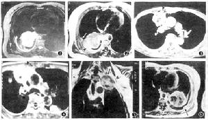
二、電子計算X線機體層顯象(CT)
CT的優點在於能發現X線進差不能顯示的解剖結果,特別對於位於在心臟後、脊柱旁溝和在肺尖、近膈面下及肋骨頭部位極有幫助。還可辨認有無肺門和縱隔淋巴結腫大。如縱隔淋巴結直徑大於20mm,腫瘤侵入最個脂肪間隙或包繞大血管,則基本不能手術。CT還能腫瘤有無直接侵犯鄰近器官。螺鏇CT對病灶大於3mm者多能發現。它對轉移癌的發現率比普通斷層高。
三、磁共振顯像(MRI)
MRI在肺癌的診斷價值基本與CT相似,在某些方面優於CT,但有些方面又不如CT。如MRI在明確腫瘤與大血管之間關係明顯優於CT,在發現小病灶(<5mm)方面由遠不如螺鏇CT。在鈣化灶顯示方面也很困難,且MRI易受呼吸偽影干擾,一些維持生命的設施如氧氣瓶、呼吸機等不能代入磁場。因此,病情為重或嚴重呼吸困難者,一般不宜選用MRI檢查。有心臟起搏器者為絕對禁證。因此,MRI只適用於如下幾種情況:臨床上確診為肺癌,需進一步了解腫瘤部位、範圍,特別是了解肺癌與心臟大血管、支氣管胸壁的關係,評估手術切除可能性者;疑為肺癌而胸片及CT均為陰性者;了解肺癌放療後腫瘤復發與肺纖維化的情況。
四、放射性核素掃描檢查
利用腫瘤細胞攝取放射性核素的數量與正常組織之間的差異,進行腫瘤的定位、定性診斷,方法簡便、無創新目前套用的方法有兩種,一種是放射性核樹腫瘤陽性顯像,另一種是分設免疫腫瘤顯像。前者以腫瘤的標記化合物作為顯像劑進行腫瘤顯像,雖性能穩定,但特異性差。後者以放射性核素標記腫瘤抗原或其新管抗原製備的特異抗體為顯像劑進行腫瘤定位診斷,它的特異性高,但製備過程複雜,影響因素多,穩定性不如前者。近年發展了正電子發射計算機體層掃描技術(PET),採用18C乙酸等可以較準確地對<1cm的肺癌及肺癌最個淋巴結有無轉移進行診斷。
五、痰脫落細胞檢查
當懷疑肺癌時,胸部X線檢查之後的下一個診斷步驟,為獲取組織標本進行組織學檢查痰細胞學檢查的陽性率取決於標本是否符合要求、細胞學家的水平高低、腫瘤類型以及送標本的次數(以3-4年為宜)等因素,非小細胞癌的陽性率較小細胞肺癌的陽性率高,一般在70%-80%左右。
六、纖維支氣管鏡檢查
無對明確腫瘤的存在和獲取組織供組織學診斷均具有重要意義。對位於近端氣道內的腫瘤經纖支鏡刷檢結合鉗夾活檢陽性率為90%-
原發性支氣管肺癌 原發性支氣管肺癌七、開胸肺活檢
若經痰細胞學檢查、支氣管鏡檢查和針刺活檢均未蒙確立細胞學診斷,則考慮開胸肺活檢,但必須根據患者年齡、肺功能、手術併發症等仔細權衡利弊後決定。
此外在某些情況下,組織學診斷可對轉移病灶施行活檢而作出,如肝、淋巴結、骨骼或骨髓等。腫瘤累及胸膜時胸腔穿刺結合胸膜活檢診斷率可高達90%。
八、其他檢查
癌相關抗原,如癌胚抗原,神經肽類和神經元類等檢查對於發現肺癌均缺乏特異性,對判斷轉移或復發均無肯定的套用價值。
診斷:肺癌的治療效果取決於肺癌的早期明確診斷,一般依靠詳細的病史詢問、體格檢查和有關的輔助檢查,進行綜合判斷,約80%-90%的患者可以得到確診。
肺癌的早診斷包括兩方面的重要因素,其一是患者對肺癌的防治知識應得到普及,得任何可以的肺癌症狀及時進一步檢查;其二是醫務人員對肺癌的早期徵象提高警惕,避免漏診、誤診。對高發癌區有高危因素的人群宜定期或有可以徵象時進行防癌或排除癌腫的有關檢查。特別對40歲以上長期重度吸菸(吸菸指數>400年支)有下列情況者作為可以肺癌對於進行有關排癌檢查:無明顯誘因的刺激性咳嗽持續2-3周,治療無效;或原則有關慢性呼吸道疾病,咳嗽性質改變者;持續或反覆在短期內痰中帶血而無其他原因可解釋者;反覆發作的同一部位的肺炎,特別是段性肺炎;原因不明的肺膿腫,無中毒症狀,無大量膿痰,無異物吸入史,抗感染治療效果不綿竹者;原因不明的四肢關節疼痛及杵狀指(趾);X線的局限性肺氣腫或段、葉性肺不張,鼓勵性圓形病灶和單側性肺門陰影增大者;原有肺結核病灶已穩定,而形態或性質發生改變者;無中毒症狀的胸腔積液,尤以血性、進行性增加者;尚有一些上述的肺外表現的症狀、若有懷疑時,需進行比要的輔助檢查。影像學是發現肺癌徵象的常用而有價值的方法,細胞學和病理學檢查是肺癌確診的必要手段。
預後:肺癌的預後取決於早期發現,及早治療。隱蔽形成肺癌早期治療可獲痊癒。一般認為鱗癌預備後面較好,腺癌次之,小細胞未分化癌較差。近年來採用綜合治療後小細胞未分化癌的預後有很大改善。
鑑別診斷
肺癌的鑑別診斷是將肺癌與某些肺部相關疾病加以區分,以更好的診斷肺癌,取得最佳的治療方法.因為肺癌常與某些肺部疾病共存,或其影像學形態表現與某些疾病相類似,故常易誤診或漏診,必須及時進鑑別,以利早期診斷,應與下列疾病鑑別。
一、肺結核
1. 肺結核球 好發於年輕患者,一般無明顯症狀,多位於結核好發部位,上葉後段和下葉背段。病灶邊界清,可有包膜,內容密度高,可能含有鈣化點,周圍有纖維結核灶,在一般觀察中多無明顯改變。如有空洞形成,多為中心性空洞,洞壁規則、較薄,常需與周圍型肺癌相鑑別。
2. 肺門淋巴結結核 易與中央型肺癌相混淆,應當加以區分。肺門淋巴結結核一般常見於兒童或老年人,多有發熱,咳嗽,咳血,胸悶,氣急等結核症狀,結核真菌試驗多呈強陽性。抗結核藥物治療一般有效。中央型肺癌其特殊的X線徵象,可通過體層攝片、CT、MRI和纖支鏡檢查等加以鑑別。
3. 急性粟粒性肺結核 應與瀰漫性肺泡癌相鑑別。粟粒性肺結核發病年齡多見於年輕人,有發熱,咳嗽,咳血,體重下降等全身中毒症狀。進行X光診斷時在X片上會發現病灶為大小一致,分布均勻,密度較淡的粟粒結節。而肺泡癌兩肺多有大小不等的結節狀播散病灶,邊緣清析、密度較深、進行性發展和擴散,常伴有進行性呼吸困難,胸悶氣促。根據臨床、實驗室等資料進行綜合判斷可以鑑別。
二、肺炎
肺炎發病比較急,
原發性支氣管肺癌三、肺膿腫
肺膿腫應與癌性空洞繼發感染相鑑別。原發性肺膿腫發病比較急,中毒症狀很明顯,常有寒戰、高熱、咳嗽、咽喉腫痛、咳大量膿臭痰,周圍血象白細胞總數和中性粒細胞分類計數較高。X線診斷胸片上空洞壁薄,內有液平,周圍有炎症改變。癌性空洞常先有咳嗽,咯血,身體無力等腫瘤症狀,然後出現咳膿痰、發熱等繼發感染的症狀。胸片可見癌腫塊影有偏心空洞,壁厚,內壁較凹凸不平。結合纖支鏡檢查和痰脫落細胞檢查可以鑑別。
胸腔積液以滲出性胸膜炎最為常見,一般發生於中輕年患者,以結核症狀最為常見.中老年胸腔積液,尤其是血性胸液,要慎重考慮惡性病變與惡性腫瘤向胸膜或縱隔淋巴結轉移,可引起胸腔積液.結核性胸膜炎常有發熱,咳嗽,咽部不適等全身症狀,抗結核藥物效果比較明顯.惡性腫瘤胸腔積液為胸液多成血性,大量,增長迅速,常有肺癌,乳腺癌轉移至胸膜所致.
治療方案
肺癌的治療是根據患者的機體狀況、腫瘤的病理類型、侵犯的範圍和發展趨向,合理地、有計畫地套用現有的治療手段,以期較大幅度地提高治癒率和患者的生活質量。根據肺癌的生物學特點及預備後,大多數臨床腫瘤學家將肺癌分為非小細胞肺癌(包括鱗癌、腺癌、大細胞癌)和小細胞肺癌兩大類。非小細胞肺癌與小細胞肺癌的治療原則不同。非小細胞肺癌治療原則:I-IIIa期以手術為主的綜合治療,IIIb期放療為主的綜合治療,IV期化療為主。小細胞肺癌的治療原則:以化療為主,輔助以手術和(和)放療。
一、手術治療
局限性腫瘤切除術可取得相當於廣泛切除者的療效,一般推薦肺葉切除術。肺段切除術和楔形切除等範圍更小的手術,一般僅用於外周性病變患者或肺功能不良者。因此,今近年來有擴大手術治療的適應證,縮小手術切除的範圍以及氣管隆凸成型術等技術的新進展。
非小細胞肺癌I期和II期患者應行以治癒為目標的手術切除治療,對以同側縱隔淋巴結受累為特徵的III期患者應行原發病灶及受累淋巴結手術切除治療。Narke報告對819例N2者採用其創造的胸內淋巴結圖逐個清除淋巴結,術後5年生存率可高達48%。胸壁受侵犯亦行手術治療,術後5年生存率可達17%-20%。對肺上溝癌尚無縱隔淋巴結或全身轉移者應行手術前放療及整體手術切除。對T4N2或M1認為是擴大手術的禁忌證。一般N0者手術後5年生存率33.7%-53.7%,N1者為17.4%-31%,N2者為8.9-23%。鱗癌比腺癌和大細胞癌術後效果好,腫瘤直徑小於3.5cm者,術後5年生存率為50%左右,把包膜完整的比穿破者效果好。
小細胞肺癌90%以上在就診時已有胸內或遠處轉移,在確診時11%-47%有骨髓轉移,14%-51%有腦轉移。此外,尚有潛在性血道、淋巴道微轉移灶。因此,國內主張先化療、後手術,5年生存率28.9%-51%,而單一手術的5年生存率僅8%-12%。肺功能為評估患者是否應行手術紙老時需要考慮的另一重要因素。若用力肺活量超過2L,且第一用力呼氣量(FEV1)占用肺活量的50%以上,可考慮行手術治療。
二、化學藥物治療(簡稱化療)
小細胞肺癌對於化療有高度的反應
原發性支氣管肺癌化療獲得緩解後,約25%-50%出現局部復發。由於小細胞肺癌有3個亞型,即純化小細胞肺癌型、小細胞-大細胞和混合型,後兩種因混有非小細胞肺癌,化療只殺傷小細胞肺癌型,剩下的對化療不敏感的非小細胞肺癌是構成復發的原因之一。因此,化療緩解後局部治療亦很重要。
化療結合局部治療後,尚殘存微轉移灶,因此繼續全身化療有其重要性如一組59例小細胞肺癌化療緩解後作手術切除,術後11例未用化療,均於13個月內死亡,而餘48例術後化療者5年生存率達33.2%。
對小細胞肺癌有活力的化療藥物,要求它們對未用過化療患者的緩解率為20%,已治者要求>10%,以往經常採用的環磷醯胺+阿黴素+長春新鹼組成的CAV方案,其緩解率高達78.6%,也有用CVA+VP-16者,對病變超過同側胸腔和所有N2,即廣泛期患者有較好作用。VP-16取代CAV方案的ADM,廣泛期患者者的中樞期得到改善。對未經治療的小細胞肺癌患者CAV+VP-16,二者的緩解率分別為53%和48%,近年國外在研究VM-26或CBP為主的聯合治療方案。
三、放射治療(簡稱放療)
放射線對癌細胞有殺傷作用。癌細胞受照射後,射線可直接作用於DNA分子,引起斷裂;射線引起的電離物質又可使癌細胞發生變性,被吞噬細胞吞噬,最後被成纖維細胞所代替。但放療的生物效應受細胞群的增殖動力學的影響。
放療可分為根治性和姑息性兩種。根治性對於病灶局限、因解剖原因不變手術或患者不願意手術者,有報導少部分患者5年無腫瘤復發。若輔以化療,可提高療效。姑息性放療目的在於抑制腫瘤的發展,延遲腫瘤擴散和緩解症狀對控制骨專一性疼痛、骨髓壓迫、上腔靜脈壓迫綜合徵和支氣管阻塞及腦轉移引起的症狀有肯定的療效,可使60%-80%咯血症狀和90%的腦轉移症狀獲得緩解。放療對小細胞癌效果較好,其次為鱗癌和腺癌,其放射劑量以腺癌最大,小細胞癌最小。一般40-70Gy為宜,肺鱗癌50-65Gy,肺腺癌60-70Gy,小細胞肺癌50-60Gy,分5-7周照射。常用的放射線有直線加速器產生的高能X線和60鈷機產生的γ四弦。精心制定照射方案嚴密觀察病情動態變化,照射劑量和療程,常可
原發性支氣管肺癌對全身情況太差,有嚴重心、肺、肝、腎功能不全者應列禁忌。重症阻塞性肺氣腫患者,易並發放射性肺炎、使肝功能受損害,宜慎重套用。放射性肺炎可用糖皮質激素治療。
四、其他局部治療方法
近幾年來用許多餘步治療分子來緩解患者的症狀和控制腫瘤的發展。如經支氣管動脈(或)肋間動脈灌注加栓塞治療、經纖支鏡用電刀切割瘤體、雷射燒灼及血卟啉衍生物(HPD)靜脈注射後,用Nd:YAG雷射局部照射產生光動力方面,使瘤組織變性壞死。此外,經纖支鏡引導腔內置入放療作近距離照射也取得較好的效果。
五、生物緩解調解劑(BRM)
BRM為小細胞肺癌提供了一種新的治療手段,如小劑量干擾素(2×106U)每周3次間歇療法。轉移因子、左鏇咪唑、集落刺激因子(CSF)在肺癌的治療中都能增加機體對化療、放療的耐受性,提高療效。六、生物靶向治療
依據已知腫瘤發生中涉及的異常分子和基因,設計和研製針對特定分子和基因靶點的藥物,選擇性殺傷腫瘤細胞,這種治療方法稱為腫瘤藥物靶向治療。在非小細胞肺癌治療中有EGFR受體拮抗劑,如吉非替尼,厄羅替尼,西妥西單抗。
七、中醫藥治療
祖國醫學也許多單方、方劑在肺癌的治療中,可以與西藥治療起協同作用。減少患者對放療、化療的反應,提高機體抗病能力,在鞏固療效,促進、恢復機體功能中起到輔助作用。
護理
常見的護理
肺癌晚期患者需要臥床休息,對於那些呼吸有困難的患者則需要進行姿勢的調整,讓患者儘量半坐著。
做好患者的精神護理,如果患者精神不好,那么治療效果會大打折扣,患者也可能對未來沒有信心,護理好患者的精神,那么患者會有信心自己會痊癒,會充滿信心,積極配合治療。
患者的護理,居住環境也是非常重要的,不能是那種吵鬧不休的房間,一定要注意應該是那些舒適、安靜、清潔的環境,還要讓患者的睡眠保證充足、良好。
最重要的是注意患者的身體變化,還要注意觀察患者的放化療、手術等等治療後的副作用。比如聲音嘶啞、食慾不好、噁心、嘔吐等等一系列的不良症狀,如果出現這些不良症狀一定要及時進行處理。同時一定要注意不要讓患者出現交叉感染的情況。
飲食護理
患者的飲食護理也是非常重要的,這方面對於提高患者的免疫力和抵抗力非常重要。醫生提醒,患者應該多吃清淡的食物,蔬菜和水果,要儘量避免讓患者食用那些有刺激性的食物,煎炸食物,含有高脂肪的食物。醫生強調,患者在治療前後2個小時不能吃東西。有的患者可能出現吞咽困難的事情,這就需要讓患者吃一些流質食物,患者要慢些吃東西,方便消化;也可以根據患者的喜好進行調配食物,少量多餐,來維持體力,恢復免疫力。同時患者需要補充足夠的水分。
如果患者出現咳嗽、胸痛的時候,這就需要醫生對患者進行處理,止咳鎮痛。針對不同的症狀處理的方法是不同的。
對於患者出現的疼痛的護理,可以分散患者的注意力,讓患者減輕壓力,可以聽音樂以減輕疼痛;護理人員需要傾聽患者的傾訴,讓患者把自己身體的不適表達出來,這樣可能患者的疼痛會減輕很多;晚期的肺癌患者會出現難以忍受的疼痛,這就需要進行*物治療。
飲食規律
肺癌患者應忌食煙、酒,海鮮(不包括海蜇、海參、海帶、牡蠣)、雞肉等,辛辣、燥熱、刺激性食物;儘量少吃油炸、燻烤及醃製食物。宜進食富含蛋白質、碳水化合物的食品,如瘦肉、蛋類、河魚、河蝦、豆製品以及各種穀類。經常食用一些具有抗肺癌作用的食物,如:薏米、杏仁、菱、牡蠣、海蜇、茯苓、山藥、大棗、香菇、核桃、甲魚、獼猴桃、金針菜、泥鰍、綠茶等。同時,某些維生素及微量元素也具有抑癌作用,如:維C能夠阻礙致癌物質的形成;維A能夠有效防止正常細胞發生癌變;鋅、鎂、硒等微量元素可抑制癌細胞的發展。肺癌患者食譜搭配技巧?除此之外,肺癌患者還應遵循“辨證施食”的原則,也就是根據自身疾病、體質來確定適合自身的合理飲食。比如痰濕較重的患者則不宜多服人參等補益藥,陰虛體質或熱毒壅盛的患者則應儘量少進食性味燥熱的飲食或藥物。
疾病預防
肺癌的預防一方面積極選擇和採取有效措施減少或避免吸入含有致癌物質污染的空氣和粉塵,如動員戒菸,禁止公共場所吸菸,預防大氣污染,加強有害粉塵作業的防護等。另一方面對高發患者群進行重點普查,早期發現及時治療。

