疾病概述
血行播散型肺結核血行播散型肺結核由原髮型肺結核發展而來,也可由其它結核乾酪樣灶破潰到血源引起。急性粟粒型肺結核是急性全身血行播散型結核病的一部分。起病急,有全身中毒症狀,常伴髮結核性腦膜炎。x線顯示肺內病灶呈粟粒狀,均勻散布於兩肺,但透視下多不明顯。結核菌少量分批進入肺內時,形成亞急性或慢性播散型肺結核,x線顯粟粒影大小不均,新舊不等,對稱分布在兩肺上中部,臨床症狀不多,常在體檢時發現肺內穩定、硬結病灶。 血行播散型肺結核,為結核桿菌血行播散的結果。多見於兒童,成人亦可發生。在臨床上分兩個類型:①急性血行播散型肺結核或急性粟粒性肺結核;②亞急性或慢性血行播散型肺結核。在小兒最多見者為急性粟粒性肺結核;年齡較大的兒童常表現亞急性或慢性血行播散型肺結核。
本病是各型肺結核中較嚴重者,多由原髮型肺結核發展而來,但在成人大多由肺或肺外結核病灶(如泌尿生殖器官的乾酪樣病灶)破潰至血管所引起。
發病原因
早在1882年,德國細菌學家科赫(Robert Koch,1843-1910)就已證明結核菌是結核病的病原菌。對人體有致病力者為人型結核桿菌和牛型結核桿菌。結核桿菌的抵抗力較強,除有耐酸、耐鹼、耐酒精的特性外,對於冷、熱、乾、燥、光線以及化學物質等都有較強的耐受力。濕熱對結核菌的殺菌力較強,在65℃30min,70℃10min,80℃5min即可殺死。乾熱殺菌力較差,乾熱100℃需20min以上才能殺死,因此乾熱殺菌,溫度需高、時間需長。痰內的結核菌在直接太陽光下2h內被殺死,而紫外線僅需10min。相反在陰暗處可存活數月之久、痰液內的結核菌如用5%的石炭酸(苯酚)或20%漂白粉液消毒,則需24h方能生效。結核菌不產生內、外毒素。其致病性可能與細菌在組織細胞內大量繁殖引起的炎症,菌體成分和代謝物質的毒性以及機體對菌體成分產生的免疫損傷有關。
臨床表現
症狀
急性血行播散型肺結核是結核菌引起的敗血症,起病急,常有明顯的結核中毒症狀。常為高熱呈稽留熱或弛張熱型,部分患者有盜汗、消瘦、乏力、納差、全身不適等表現 ; 呼吸道症狀常有咳嗽、咳痰、部分患者有咯血、胸痛等表現。消化道症狀表現為納差、腹脹、腹瀉、便秘等 , 此外,女性患者尚有閉經等表現。合併結核性腦膜炎時,出現頭痛、嘔吐等高顱壓、腦膜刺激征的表現,嚴重者可出現嗜睡、昏迷等神志改變。慢性或亞急性血行播散型肺結核起病緩慢,病程遷延。臨床症狀可表現發熱、盜汗、乏力,結核中毒症狀較急性輕,呼吸系症狀可能較明顯。
體徵
可有淺層淋巴結腫大和肝脾腫大。中晚期肺內病灶可融合,形成空洞,可聞及濕囉音。也可並發自發性氣胸、縱隔氣腫、肺外結核(如結核性腦膜炎和其它漿膜結核、骨關節結核等),此時有相應症狀及體徵。
發病機制
血行播散型肺結核小兒機體過敏狀態較高,尤其是血管系統的高度過敏狀態,血管壁的通透性增強。當機體免疫力減弱時,主要是原發灶或氣管支氣管旁的乾酪性淋巴結侵入血管,大量結核菌侵入血循環,隨著其入侵的途徑、數量、次數及間隔時間長短產生菌血症,並通過血管壁和血管內膜侵入肺間質和肺實質形成粟粒結節。由於結核菌入侵血流的途徑的不同,其發生的部位及類型也不一樣。當結核菌侵入肺動脈、支氣管動脈經右心入小循環則引起粟粒型肺結核。當結核菌侵入肺靜脈,經左心進入大循環播散到周身器官,如肺腦、肝、脾、腎腸以及腦膜、胸膜、腹膜及心包膜等則引起全身性粟粒結核。此外在急性傳染病後,機體免疫力降低或長期大量套用免疫抑制劑後,使結核病灶惡化進展,促進病變侵蝕血管而增加大量結核桿菌進入血流的機會,均可導致本病。
臨床症狀
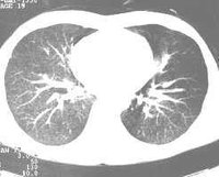
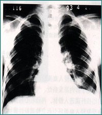
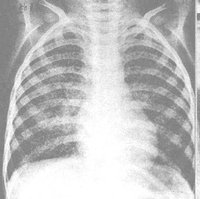
血行播散型肺結核急性粟粒型結核是急性全身血行播散型結核病的一部分,起病急,有全身毒血症狀,常伴髮結核性腦膜炎,X線顯示雙肺在濃密的網狀陰影上,滿布境界清晰的粟粒狀陰影,直徑約2mm,大小及密度大體相等。病初胸片可能無明顯粟粒狀影,或僅僅有關瀰漫性網狀改變易誤診為傷寒、敗血症等其他發熱性疾病。若人體抵抗力較強,少量結核菌分批經血液循環進入肺部,其血行播散灶常大小不均勻、新舊不等,在雙肺上中部分部呈對稱性分布,稱為亞急性過慢性血行播散型肺結核。其病情發展緩慢,通常無顯著中毒症狀,患者可無自覺症狀,偶於X線檢查時才被發現。此時病灶較穩定或已硬結癒合。
疾病類型
血行播散型肺結核(1)急性血行播散型肺結核或急性粟粒性肺結核,是由於結核菌從病灶經由血行播散的結果。大量結核菌同時或在極短時間內相繼進入血流所引起。因此,急性粟粒性肺結核,不過是全身粟粒性結核病在肺部的表現。急性粟粒性結核,不僅只侵犯肺臟,它可以引起全身粟粒性改變。最常見的併發症是結核性腦膜炎,還可引起肝、脾、腎、骨等的粟粒樣結節病變。臨床症狀可見:急起高熱、盜汗、軟弱無力,乾咳、呼吸困難、發紺,腹痛、腹瀉或便秘;少數可有頭痛、噁心、嘔吐、嗜睡、意識障礙等。體徵不明顯或有肺部乾、濕細小羅音,輕度肝脾腫大,少數可有腦膜刺激征及腦脊液改變。主要特點是:呼吸道症狀不明顯而肺部X線拍片可見密度均勻一致,分布一致,大小一致的粟粒結節,但嬰幼兒由於病灶容易融合成點狀陰影、邊緣模糊,且大小不一,而呈雪花狀。此時白細胞升高,中性粒細胞增多及核左移,呈類白血病反應。血沉加快,胃洗出液中容易找到結核菌。雖然發病急、中毒症狀重,如能及時治療,預後還是好的,治癒率可達85%以上。
(2)亞急性或慢性血行播散型肺結核,年齡較大的兒童常表現為此類型。因結核菌少量多次地進入血循環,同時患者有相當的免疫力,所以,發病較緩慢,病程遷延。臨床症狀可見:一般發熱、盜汗、乏力,中毒症狀較急性粟粒性肺結核為輕,呼吸系症狀可能較明顯,但亦可能僅有胸片改變而無明顯症狀。體徵雙肺上中部或有輕度濁音與濕羅音;血沉增快;痰結核菌陽性或陰性;X線顯示:雙肺上中野有大小不一,密度不等,分布不均的結節陰影。病灶有呈增殖性;有呈浸潤性;也可融合溶解出現空洞。此外,尚有纖維條索狀陰影和代償性肺氣腫。如能及時治療,預後較好。如有廣泛纖維化,則可影響心肺功能。
診斷檢查
血行播散型肺結核實驗室和其他檢查: 1、結核菌檢查是確診肺結核最特異性的方法,痰中找到結核菌是確診肺結核的主要依據。塗片抗酸染色鏡檢快速簡便在中國非典型分枝桿菌尚屬少見,故抗酸桿菌樣應,肺結核診斷基本即可成立。直接厚塗片陽性率優於薄塗片,為普通採用。螢光顯微鏡檢查適合於大量標本快速檢查。無痰或兒童不會咳嗽,可採用清晨的胃洗液找結核菌,承認亦可通過纖支鏡進差,或從其涮洗液汁中查找結核菌。痰菌陽性表明其病灶是開放性的,輿論傳染性。若排菌量多(每毫升10萬個以上),直接塗片易呈陽性,為社會傳染源於痰菌量較少(每毫升1萬個以下),可用集菌法。培養法更為精確,除能了解結核菌有無生長繁殖能力外,且可作藥物敏感試驗與菌型鑑定。結核菌生長緩慢,使用改良羅氏培養基,通常需4-8周才能報告。培養雖較費時,但精確可靠,特異性高,若塗片陰性或診斷有疑問時,培養尤其重要,培養菌株進一步作藥物敏感性測定,可為治療特別是復治時提供參考。將標本在體外用聚合酶鏈反應(PCR)法,使所含微量結核菌DNA得到擴增,用電泳法檢出,1個結核菌約含1fgDNA,40個結核菌即可有陽性結果。該法不必體外預培養,特異性強,2天即可出報告,快速、簡便,並可鑑定菌型,不足之處是可能出現假陽性或假陰性。
2、影像學檢查胸部X線檢查可以發現肺內病變的部位、範圍,有無空洞或空洞大小,洞壁厚薄等。X線對各類結核病變的透過度不同,通過X線檢查大致能估計結核病灶的病理性質,並能早期發現肺結核,以及判斷病情發展及治療效果,有助於決定治療方案。必須指出,不同病因引起的肺內病變,可能呈現相似的X線影像,故亦不能僅憑X線檢查輕易確定肺結核的診斷。X線攝片結合透視有助於提高診斷的準確性,可發現肋骨、縱隔、膈肌或被心臟遮蓋的細胞病灶,並能觀察心、肺、膈肌的動態。肺結核的X線表現包括:纖維鈣化的硬結病灶,表現為密度較高、邊緣清晰的斑點、條索取或者結節;浸潤性病灶,表現為密度較單,邊緣模糊的雲霧狀陰影;乾酪樣病灶,表現為密度較高,濃淡不一,有環形邊界透光區的空洞等。肺結核病灶通常在肺上部、單側或雙側,促成時間較長,且有多種不同性質的病灶混合存在及肺內播散跡象。凡X線胸片上顯示滲出性或滲出增殖性病灶、乾酪樣肺炎、乾酪樣病灶、空洞(除淨化空洞外),均提示為活動性病變;增殖性病變、纖維包裹緊密的乾酪硬結灶火及纖維鈣化灶等,均屬非活動性病變。活動性病灶的痰中仍可找到結核菌。由於肺結核病變多為混合性,在未達到完全增殖或纖維鈣化時,均仍應考慮為活動性。肺部CT檢查對於發現微小或隱蔽性病變,了解病變範圍及肺病變鑑別等方面均有幫助。
3、結核菌素(簡稱結素)試驗是診斷結核感染的參考指標。
舊結素(OT)是結核菌的代謝產物,由液體培養長出的結核菌提煉而成,主要含有結核蛋白。OT抗原不純,可能引起非特異性反應。在人群中作普查時,可用1:2000的OT稀釋液0.1ml(51U),在左前臂屈側作皮內注射,經48-72小時測量皮膚硬結直徑,如小於5mm為陰性,5-9mm為弱陽性(提示結核菌或結核分枝桿菌感染),10-19mm為陽性反應,20mm以上或局部出現水泡與壞死者為強陽性反應。
結素的純蛋白衍化物(PPD)由舊結素濾液中提取結核蛋白精製而成,為純結素,不產生非特異性反應。國際上常用的PPD-RT23,已經取代OT。中國從人型結核菌製成PPD(PPD-C)及從卡介苗製成BCG-PPD,純度均較好,已廣泛用於臨床診斷,皮內注射0.1ml(5IU)硬結平均直徑≥5bm為陽性反應。結素試驗除引起局部皮膚反應外,偶可引起全身反應。臨床診斷通常使用51U,如無反應,可在一周后再用5IU(產生結素增強效應),如仍為陰性,大致可除外結核感染。
結素試驗仍是結核病綜合診斷中常用手段之一,有助於判斷有無結核菌感染。若呈強陽性反應,常表示為活動性結核病。結素試驗對嬰幼兒的診斷價值較成人為大,因年齡越小,自己感染率越低;3歲以下強陽性反應者,應視為有新近感染的活動性結核病,有必要進行治療。如果2年內結素反應從<10mm增加至100mm以上,並增加6mm以上時,可認為有新感染。結素試驗陰性反應除表示沒有結核菌感染外,尚應考慮以下情況。結核菌感染後需4-8周才建立充分變態反應,在該變態反應產生之前,結素試驗可呈陰性。套用糖皮質激素等免疫抑制藥物,或營養不良,麻疹、百日咳等患者,結素反應亦可暫時消失。嚴重結核病及各種重危患者對結素無反應,或僅出現弱陽性,與人體免疫力及變態反應暫時受抑制有關,待病情好轉,可轉為陽性反應。其他如淋巴細胞免疫系統缺陷(如敗血病、淋巴瘤、結節病、愛滋病等)前者或年老體衰者的結素反應亦常為陰性。
4、其他檢查結核病患者血像通常無改變,嚴重病理常有繼發性貧血,急性粟粒型肺結核對白細胞總數減低或出現類白血病反應。血陳增快常見於活動性肺結核,但並無特異性診斷價值,血沉正常亦不能排除活動性肺結核。患者無痰或痰菌陰性而需與其他疾病鑑別時,用酶聯免疫吸附試驗(ELISA法)檢出患者血清中特異性抗體,可能對肺外結核的診斷提供參考。纖支鏡檢查對於發現支氣管內膜結核、了解有無腫瘤、吸取分泌物、解除阻塞或作病原菌及脫落細胞檢查,以及取活組織病理檢查等,均有重要診斷價值。淺表淋巴結活檢,有助於結核的鑑別診斷。
血行播散型肺結核隨著套用分子生物學及基因工程技術,以非培養方法來檢出與鑑定臨床標本中的結核菌,展示其敏感、快速及特異性高等優點,如核算探針、染色體核算指紋等。 診斷:痰結核菌檢查不僅是診斷肺結核的主要依據,亦是考核療效、隨訪病情的重要指標。肺結核病患者痰液可呈間歇排菌,故應連續多次查產。X線檢查是診斷肺結核的必要手段,對早期診斷、確定病變部位、範圍、性質、了解其演變及選擇治療等均具有重要價值。
在臨床診斷中,中國先用的分類法包括四部分,即肺結核類型、病變範圍及空洞部位、痰菌檢查、活動性及轉歸。
1、肺結核分為五型I型:原發性肺結核;Ⅱ型:血行播散型肺結核;Ⅲ型:浸潤型肺結核;Ⅳ慢性纖維空洞型肺結核;Ⅴ型:結核性胸膜炎。
2、病變範圍及空洞部位按右、左側,分上、中、下肺野記述。右側病變記在橫線以上,左側病變記錄再生橫線以下。一側無病變者,已“(一)”表示。以第2和第4前肋下緣內端將兩肺分為上、中、下肺野。有空洞者,在相應肺野部位加“0”號。
3、痰結核菌檢查痰菌陽性或陰性,分別以(+)或(-)表示,以“塗”、“集”或“培”分別代表塗片、集菌或培養法。患者無痰或未查痰者,註明“無痰”或未查。
4、活動性及轉歸在判斷肺結核的活動性及轉歸時,應綜合患者的臨床表現、肺部病變、空洞及痰菌等。按肺結核病變的活動程度可將其分為三期:
(1)進展期應具備下述一項:新發現的活動性病變;病變較前惡化、增多;新出現空洞或空洞增大;痰菌陽性。
(2)好轉期具有以下一項為好轉:病變較前吸收;空洞閉合或縮小;痰菌轉陰。
(3)穩定期病變無活動性改變,空洞閉合,痰菌連續陰性(每月至少查痰1次)達6個月以上。如空洞仍存在,則痰軍需連續陰性1年以上。
開放性肺結核是指肺結核進展期與部分好轉期患者,其痰中經常有結核菌排出,具有較強的傳染性,故必須隔離治療。
活動性肺結核進展期與部分好轉期患者,其痰中經常有結核菌排出,具有較強的傳染性,故必須隔離治療。活動性肺結核是指滲出性浸潤病變或變質性病變如乾酪樣壞死、空洞形成、支氣管播散及血行播散粟粒型結核,臨床上症狀比較突出。進展期與好轉期舉屬活動性肺結核,其中進展期患者除少數(如急性血行播散米粒型結核)外,幾乎均有排菌。部分好轉期患者亦仍排菌,均屬開放性肺結核。另外一般部分好轉期患者痰菌陰性則不屬開放性。活動性肺結核凡痰中排菌者均需隔離治療。
穩定期患者屬非活動性肺結核,列為初步臨床治癒;若經觀察兩年,病變仍穩定與痰菌持續陰性,可視為臨床治癒;如仍有空洞存在,則需觀察3年以上,如無變化,亦可視為臨床治癒。
疾病診斷
1.易患人群:機體免疫功能低下患者如糖尿病、結締組織病、分娩、長期使用激素或抗癌 藥物、臟器移植等患者具有易患因素。
2.臨床有明顯的結核中毒表現 , 畏寒、高熱、盜汗、虛弱、有呼吸道症狀及體徵。
3.部分患者有腦膜刺激征、肝脾大、類白血病反應等表現。
4.x 線胸片兩肺見典型粟粒陰影 。胸CT急性血行播散型肺結核表現為直徑1-3mm大小、密度及分布均勻的粟粒結節;而亞急性和慢性患者表現以上中肺野為主的3-7mm大小、密度及分布不均勻的結節。結節的邊界多數尚清晰,但也有表現邊界模糊;結節隨機分布於肺小葉、小葉間隔及胸膜下。
5.痰結核桿菌陽性仍是診斷的金標準 ,但痰菌陽性率不高。對於痰菌陰性的患者結合血沉、血像改變、血 IFN-γ體外釋放試驗、TB-PCR 、 TB-Ab 、 LAMIgG 、 PPDIgG等免疫學檢查 , 纖維支氣管鏡檢查 ( 刷檢、 鉗檢、灌洗 ) 活體組織檢查包括淋巴結活檢、纖維支氣管鏡肺活檢、肝及骨髓活檢等以及診斷性抗結核治療反應而臨床可診斷。
鑑別診斷
血行播散型肺結核肺結核的臨床與X線表現,常與多種非結核性肺病相似,甚易誤診。必須強調認真根據病史、相關實驗室檢查資料、X線片等綜合分析,必要時尚需動態觀察、審慎鑑別。 1、肺癌:中央型肺癌常有痰中帶血,肺門附近有陰影,與肺門淋巴結結核相似。周圍型肺癌可呈球狀、分葉狀塊影,需與結核久鑑別。肺癌多見於40歲以上嗜煙男性;常無明顯毒性症狀,多有刺激性咳嗽、胸痛及進行性消瘦。X線胸片示結核球周圍可有衛星病灶、鈣化,而癌腫病灶邊緣常有切痕、毛刺。胸部CT掃描對鑑別兩者常有部分幫助,中央型肺癌的CT所見有支氣管內軟組織密度塊影附著在一側增厚支氣管壁扇上面,腫塊輪廓不規整、肺段及肺葉支氣管不規則狹窄、縱隔淋巴結腫大等。結合痰結核菌、脫落細胞檢查及通過纖支鏡檢查及活檢等,常能及時鑑別。肺癌與肺結核的並存,亦需注意發現。臨床上難以完全排除肺癌者,結合具體情況必要時可考慮剖胸探查,以免貽誤治療時機。
2、肺炎:典型肺炎球菌肺炎與浸潤型肺結核區別不難。而病情進展較快的浸潤型肺結核,擴大到整個肺葉,形成乾酪樣肺炎,易被誤診為肺炎球菌肺炎。前者起病急驟、高熱、寒戰、胸痛伴氣急,咳鐵鏽色痰,X線徵象病變常局限與一夜,抗生素治療有效。乾酪樣肺炎則多有結核中毒症狀,起病較慢,咳黃色粘液痰,X線徵象病變多位於右上葉、後段,呈雲絮狀,密度不均,可出現蟲蝕樣空洞,抗結核治療有效果,痰中易找到結核菌。
有輕度咳嗽、低熱的支原體肺炎、病毒性肺炎或過敏性肺炎(嗜酸性粒細胞肺浸潤症)在X線上的炎症徵象,與早期浸潤型肺結核相似,對這類一時難以鑑別的病例,不宜急於抗結核治療。支原體肺炎通常在短時間內(2-3周)可自行消散;過敏性肺炎的肺內浸潤陰影常呈遊走性,血中嗜酸性粒細胞增多。
3、肺膿:腫肺膿腫空洞多見於肺下葉,膿腫周圍的炎症浸潤較嚴重,空洞內常有液平面。肺結核空洞則多發生在肺上葉,空洞壁較薄,洞內很少有液平面。此外,肺膿腫起病較急,高熱,大量膿痰,痰中無結核菌,但有多種其他細菌,血白細胞總數嗜中性粒細胞增多,抗生素治療有效慢性纖維空洞型結核合併感染時易與慢性肺膿腫混淆,後者痰結核菌陰性。
4、支氣管擴張有慢性咳嗽、咯痰及反覆咯血史,需與慢性纖維空洞型肺結核鑑別。但支氣管擴張的痰結核菌陰性,X線胸片多無異常發現及或者僅見局部肺紋理增粗或捲髮狀陰影,CT有助確診。
5、慢性支氣管炎老年慢支症狀酷似慢性纖維空洞型肺結核,且老年人肺結核的發病率有所增高,需認真鑑別兩者,及時X線檢查有助確診。
血行播散型肺結核6、其他發熱性疾病個型肺結核常有不同類型的發熱,因為肺結核常是臨床上發熱原因不明的主要鑑別之一。傷寒、敗血症、白血病、縱隔淋巴瘤及結節病等與結核病有諸多相似。傷寒有高熱、血白細胞計數減少及肝脾大等臨床表現,易與急性粟顆型結核混淆。但傷寒熱型常呈稽留熱,有相對緩脈、皮膚玫瑰疹,血清傷寒凝集試驗陽性,血、糞便傷寒桿菌培養陽性。敗血症起病急、寒戰及馳張熱型,白細胞及中性粒細胞胞增多,常有近期皮膚感染,瘡癤擠壓史或尿路,膽道等感染史,皮膚常見瘀點,病程中出現遷徙病灶或感染性休克,血或骨髓培養可發現致病菌。急性米粒型肺結核有發熱、肝脾大,起病數周后出現特異性X線表現。偶見血象呈類白血病反應或單核細胞異常增多,需與白血病鑑別。後者多有明顯出血傾向,骨髓塗片及動態X線胸片隨訪有助確立診斷。成人支氣管淋巴結核常表現為發熱劑肺門淋巴結腫大,應與結節病、縱隔淋巴瘤等鑑別。結核病患者結素試驗陽性,抗結核治療有效;而淋巴瘤發展迅速,常有肝脾及淺表淋巴結腫大,確診常需依賴活檢。結節病通常不發熱,肺門淋巴結腫大多為雙側性,結素試驗陰性,唐皮質激素治療有效,必要時應作活檢以明確診斷。 以上所述,僅是少數主要的常見疾病,在具體鑑別時既需要全面掌握與分析患者具備的肺結核的診斷依據,又應熟悉此類易被混淆疾病的特點。儘量做到檢查既要有針對性,又要認真動態觀察與嚴格對比與判斷。
預後:肺結核的臨床治癒與痊癒有不同的含義。肺結核病變經治療或輕微病變未經治療運可癒合。其癒合方式因病變性質、範圍、類型、治療合理與否及機體免疫功能等差異而有不同。癒合方式有以下幾種:①吸收(消散),滲出性病變因肺組織結構未破壞可完全吸收(消散)而痊癒;②纖維化,病變吸收過程中伴纖維組織增生,嗜銀成纖維細胞顯著增多並發生膠原纖維化;最後形成條索狀或星芒狀瘢痕而癒合;③鈣化,指乾酪樣壞死性結核時,當機體抵抗力增強,病灶中結核菌低下,繁殖力減弱時,碳酸鈣和磷酸鈣沉積於壞死灶內,病灶失水、乾燥而形成鈣化;④形成纖維乾酪灶,較大幹酪樣病變不易完全吸收或纖維化、鈣化,而是由灶周增生的纖維與肉芽組織包繞,形成纖維乾酪灶,較大的成為結核瘤,雖可長期穩定,但病灶內可長期有靜止或冬眠狀態的結核菌存活而藥物又難以滲透至病灶內發揮殺滅細菌作用,成為復燃的根源;⑤空洞癒合,空洞形成是乾酪樣壞死病變液化後排空所致,其癒合可由周圍纖維增生並漸收縮而使之閉合;亦可因與空洞相同的支氣管阻塞,洞內空氣吸收,使洞壁纖維化與壞死組織機化而閉合。此種癒合並不可靠,其內常有結核菌長期生存,空洞內壁有志氣管上皮延伸被復,稱淨化空洞或開放癒合。
肺結核的臨床治癒是指上述各種形式的癒合而使病灶穩定,並停止排菌、結核毒性症狀完全消失,但病灶內人可能有結合菌存活,尤其是纖維乾酪灶及支氣管阻塞形成的空洞閉合,常有靜止狀態的結合菌潛伏生存,一旦機體抵抗力下降,結核菌有再次活躍的可能,並繁殖而造成復燃與播散,此種情況並非真正的痊癒,故僅能稱為臨床治癒。
肺結核痊癒是指病灶徹底消除,包括完全吸收或手術切除,或在上述種種形式的癒合後確證病灶內已無結核菌存活,亦即病理學上的真正的治癒,才能稱結核病痊癒。
併發症
最常見並發肺外結核。結核性腦膜炎占首位,其次是結核性胸膜炎、結核性腹膜炎、骨結核、淋巴結核等肺外結核。自發性氣胸、急性呼吸窘迫綜合徵在急性血行播散型肺結核患者中也可見。
疾病治療
1. 全身治療
急性和亞急性血行播散型肺結核是重癥結核病,應給予合理的營養(選用富含蛋白質和維生素的食物),注意休息。
2.抗結核化學治療
抗結核藥物套用的原則和方案見第五章“結核病的化學治療”。急性和亞急性血行播散型肺結核強化期3個月,採用異煙肼(H)、利福平(R)、吡嗪醯胺(Z)及鏈黴素(S)或乙胺丁醇(E);鞏固期9個月,採用異煙肼(H)、利福平(R)或加用乙胺丁醇,即3HRZ S(E)/9HR(E)方案。
若合併結核性腦膜炎或重要臟器的肺外結核、糖尿病、免疫功能嚴重損害的患者,應適當延長化療總療程。
3.腎上腺糖皮質激素
腎上腺糖皮質激素用於中毒症狀嚴重有呼吸困難,重症急性和亞急性血行播散型肺結核患者,在套用有效抗結核藥物的同時可使用腎上腺糖皮質激素。成人常用潑尼松每日30㎎~40㎎,小兒為每日1㎎/㎏,清晨頓服或分次服用,3~4周后逐漸減量,療程8~10周。可減輕中毒症狀,降低變態反應,減輕炎症,促進滲出病變吸收,但激素不能縮短結核病療程,應注意激素的不良反應。
輔助治療
1、免疫治療
血行播散型肺結核患者常常免疫功能低下,尤其是重症患者提高細胞免疫功能,提高吞噬細胞的吞噬能力,對消滅結核分枝桿菌有積極意義。目前研究最為活躍且比較成熟的兩類免疫製劑有細胞因子製劑如干擾素-γ(IFN-γ)和白細胞介素-2(IL-2)和母牛分枝桿菌菌苗等。
2、中醫藥治療
中醫藥通過辨證論治,對每個結核病患者進行機體調節來提高其免疫功能,改善患者的全身狀況及臨床症狀,從而達到輔助治療耐藥結核病的作用。
3、營養支持治療
結核病可導致營養不良、貧血。因此,對血行播散型肺結核患者給予營養支持治療很有必要。重度營養不良者可予補充脂肪乳劑、白蛋白等。
飲食注意
飲食要富於營養,宜吃高蛋白、高維生素飲食,要多食含維生素多的蔬菜和水果。富含蛋白質的食物有:動物類食品,如雞、鴨、鵝肉,瘦豬牛羊肉等;植物類食品,如麵粉、豆類食物及大豆製品,食用時要煮熟煮爛,切忌生硬不易消化,不利於人體吸收。忌食辛辣。儘量少吃或不吃海鮮,因為抗癆藥有增高血尿酸的副作用,而海鮮會加劇血尿酸增高作用,而且抗結核治療期間容易出現過敏; 有菸酒嗜好者應堅決戒除;對因抗結核藥物副作用致藥物性肝病患者,指導其應避免進食過高熱量的食品, 如煎、炸食物、朱古力等,以防肝臟脂肪變性,妨礙肝細胞的修復。
疾病護理
患者及家屬掌握痰的處理方法和簡便易行的消毒隔離措施,養成不隨地吐痰的習慣,患者儘量不到公共場所。生活起居要有規律,根據病情至少全休3-6個月,病情穩定後可適當安排工作。加強營養,調節免疫,避免受涼。每天保證8-10小時睡眠。家人要督促患者按時服藥。
專家觀點
1.血行播散型肺結核臨床表現不典型,容易誤診。 對於發現肺內粟粒結節的患者,以下情況者應高度警惕血播肺結核的可能:①反覆發熱,抗生素治療效果欠佳;②高危人群出現結核中毒症狀或發熱和/或呼吸道症狀③頭痛、嘔吐伴或不伴呼吸道症狀;④發熱伴全身多組淋巴結腫大;⑤不明原因的肝脾腫大;⑥老年患者不明原因的乏力、消瘦。
2. 血行播散型肺結核斷明確後要規律的抗結核治療,療程至少12個月,合併肺外結核者,療程至少18個月。在醫生指導下治療用藥要足量、足療程,不能過早停藥。
3. 對抗結核藥物的不良反應要知曉。抗結核治療期間,每月要複查血常規和肝腎功能,2-3個月胸部X線檢查或CT檢查。抗結核治療期間出現不適要隨時就診。
治療方法
血行播散型肺結核抗結核化學藥物治療對控制結核病起決定作用,合理化療可使病灶內細菌消滅,最終達到痊癒。休息與營養療法僅起輔助作用。 一、抗結核化學藥物治療(簡稱化療)
(一)化療原則化療的主要作用在於縮短傳染期、降低死亡率、感染率及患病率。對於每個具體患者,則為達到臨床及生物學治癒的主要措施,合理化療是指對活動性結核病堅持早期、聯用、適量、規律和全程使用敏感藥物的原則。所謂早期主要指早期治療患者,一旦發現和確診後立即給藥治療;聯合是指根據病情及抗結核藥的作用特點,聯合兩種以上藥物,以增強與確保療效;適量是指根據不同病情及不同個體規定不同給藥劑量;規律即患者必須嚴格按照化療方案規定的用藥方法,有規律地堅持治療,不可隨意更改方案或無故隨意停藥,亦不可隨意間斷用藥;全程乃指患者必須按照方案鎖定的療程堅持治滿療程,短期化療通常為6-9個月。一般而言,初治患者安全上述原則規範治療,療效高達98%,復發率低於2%。
活動性肺結核是化療的適應證。對硬結已久的病灶則不需化療。至於部分硬結、痰菌陰性者,可觀察一階段,若X線病人無活動表現、痰菌仍陰性、又無明顯結核病毒性症狀,亦不必化療。
1、早期:聯用、適量、規律和全程用藥活動性病灶處於滲出階段,或有乾酪樣壞死,甚至形成空洞,病灶內結核菌A群菌為主,生長代謝旺盛,抗結核藥物常可發揮最大的殺菌或抑菌作用。病灶局部血運豐富、藥物濃度亦當,有助於促使炎症成分吸收、空洞縮小或閉合、痰菌轉陰。故對活動性病灶早期合理化療,效果滿意。
實驗證明肺內每1g乾酪灶或空洞組織中約有結核菌106-1010。從未接觸過抗結核藥物的結核菌,對藥物的敏感性並不完全相同。大約每105-106個結核菌中可有1個菌因為基因突變而對異煙肼或鏈黴素耐藥。同時對該兩種藥物均耐藥者約在1011個結核菌中僅1個,同時耐3種藥的菌則更少。可見如單一用一種藥物治療,雖可消滅大部分敏感菌,但有可能留下少數耐藥菌繼續繁殖,最終耐藥菌優勢生長。如聯用兩種或兩以上藥物,耐藥菌減少,效果較單藥為佳。耐藥劑量要適當。藥量不足,組織藥物難以達到有效濃度,且細菌易產生繼發性耐藥。藥量過大則易產生不良反應。結核菌生長緩慢,有時僅偶爾繁殖(B、C菌群),因此應使藥物在體內長期保持有效濃度。規律地全程用藥,不過早停藥,是化療成功的關鍵。
2、藥物與結核菌血液中(包括巨噬細胞內)藥物濃度在常規劑量下,達到試管內最低抑菌濃度(MIC)的10倍以上時才能起殺菌作用,否則僅有抑菌作用。常規用量的異煙肼及利福平在細胞內外運能達到該水平,稱全殺菌劑。鏈黴素及吡嗪醯胺亦是殺菌劑,但鏈黴素在偏鹼的環境中才能發揮最大作用,且很少滲入吞噬細胞,對細胞內結核菌無效。吡嗪醯胺雖可滲入巨噬細胞,但僅在偏酸性環境中才有殺菌作用,故兩者都只能作為半殺菌劑。乙胺丁醇、對氨基水楊酸鈉等均為抑菌劑,常規劑量時藥物濃度均不能達到MIC的10倍以上,加大劑量則容易發生不良反應。
早期病灶內的結核菌大部分在細胞外,此時異煙肼的作用最強,鏈黴素次之。炎症使組織局部pH下降,細菌代謝減慢(C菌群),連同一些被吞噬在細胞內的結核菌(B菌群),均對利福平及吡嗪醯胺敏感。殺滅此類殘留菌(B菌群),有助於減少日後復發。
血行播散型肺結核(二)化療方法 1、“標準”化療與短程化療過程常規採用12-18個月療法,稱“標準”化療,但因療效過長,許多患者不能完成,療效受到限制。自利福平問世後,與其他藥物聯用,發現6-9個月療法(短程化療)與標準化療效果相同,故廣泛採用短程化療,但該方案中要求必須包括兩種殺菌藥物,異煙肼及利福平,具有高強殺菌(對A菌群)及滅菌(對B、C菌群)效果。
2、間歇用藥、兩階段用藥實驗表明,結核菌與藥物接觸數小時後,常延緩數天生長。因此,有規律地每周用藥3次(間歇用藥),能達到與每天用藥同樣的效果。在開始化療的1-3個月內,每天用藥(強化階段),以後每周3次間歇用藥(鞏固階段),其效果與每日用藥基本相同,有利於監督用藥,保證完成全程化療。使用每周3次用藥的間歇療法時,仍聯合用藥,每次異煙肼、利福平、乙胺丁醇等劑量可適當加大;但鏈黴素、對氨基水楊酸鈉、乙硫異煙胺等不良反應較多,每次用藥劑量不宜增加。
3、督導用藥抗結核用藥至少半年,偶需長達一年半,患者常難以堅持。醫護人員按時督促用藥,加強訪視,取得患者合作尤為必要。強化階段每日一次用藥,即可形成高峰血藥濃度,較每日分次用藥療效尤佳,且方便著,提高患者堅持藥率及完成全程。
(三)抗結核藥物理想的抗結核藥物具有殺菌、滅菌或較強的抑菌作用,毒性低,不良反應少,價廉,使用方便,藥源充足。經口服或注射後藥物能在血液中達到有效濃度,並能滲入吞噬細胞、腹膜或腦級液內,療效迅速而持久。
1、異煙肼(H)殺菌力強、可以口服、不良反應少、價廉等優點。其作用主要是抑制結核菌脫氧核糖核酸(DNA)的合成,並阻礙細菌細胞扇的合成。口服後,吸收快,滲入組織,通過血腦屏障,殺滅細胞內外的代謝活躍或靜止的結核菌。胸水、乾酪樣病灶及腦脊液中的藥物濃度亦相當高。常用劑量為成人每日300mg(或每日4-8mg/kg),一次口服;小兒每日5-10mg/kg(每日不超過300mg)。結核性腦膜炎及急性粟性型結核時劑量可適當增加(加大劑量時有可能並發周圍神經炎,可用維生素B6每日300mg預防;但大劑量維生素B6亦可影響異煙肼的療效,故使用一般劑量異煙肼時,無必要家用維生素B6),待急性毒性症狀緩解後可恢復常規劑量。異煙肼在體內通過乙醯化滅活,乙醯化速度常有個體差異,快速乙醯化者血藥濃度較低,有認為間歇用藥時須增加劑量。
本藥常規劑量很少發生不良反應,偶見周圍神經炎、中樞神經系統中毒(興奮或抑制)、肝臟損害(血清病氨酸氨基轉移霉升高)等。單用異煙肼3個月,痰菌耐藥率可達70%。
2、利福平(R)為利福黴素的半合成衍生物,是廣譜抗生素。其殺滅結核菌的機制在於抑制菌體的RNA合成。利福平對細胞內、外代謝旺盛及偶爾繁殖的結核菌(A、B、C菌群)均有作用,常與異煙肼聯合套用。成人每日1次,空腹口服450-600mg。本藥不良反應輕微,處消化道不適、流感症候群外,偶爾有關短暫性肝功能損害。長效利福黴素類衍生物如利福噴丁在人體內半衰期長,每周口服一次,療效與每日服用利福平相仿。螺鏇哌啶利福復黴素(利福布丁)對某些已對其他抗結核藥物失效的菌株(如鳥複合分枝桿菌)的作用較利福平強。
3、鏈黴素(S)為了廣譜氨基糖苷類抗生素,對結核菌有殺菌作用,能幹擾結核菌的酶活性,阻礙蛋白合成。對細胞內的結核菌作用較小。劑量:成人每日肌肉注射1g(50歲以上或腎功能減退者可用0.5-0.75g),間歇療法為每周2次,每次肌肉注射1g。妊娠婦女慎用。
鏈黴素的主要不良反應為第8對顱神經損害,表現為眩暈、耳鳴、耳聾,嚴重者應及時停藥,腎功能嚴重減損者不宜使用。其他過敏反應有皮疹、剝脫性皮炎、藥物熱等,過敏性休克較少見。單獨用藥易產生耐藥性。其他氨基糖苷類抗生素如卡那黴素、捲曲黴素、紫黴素等雖亦有抗結核作用,但效果均不及鏈黴素,不良反應相仿。
4、吡嗪醯胺(Z)能殺滅吞噬細胞內,酸性環境中的結核菌。劑量:每日1.5g,分3次口服。偶見高尿酸血症、關節痛、胃腸不適及肝損害等不良反應。
5、乙胺丁醇(E)對結核菌有抑菌作用,與其他抗結合藥物聯用時,可延緩細菌對其他藥物產生耐藥性。劑量:25mg/kg,每日1次口服,8周后改為15mg/kg,不良反應甚少為其優點,偶有胃腸不適。劑量過大時可引起球後視神經炎、視力減退、視野縮小、中心盲點等,一旦停藥多能恢復。
6、對氨基水楊酸鈉(P)為抑菌藥,與鏈黴素、異煙肼或其他抗結核藥聯用,可延緩對其他藥物發生耐藥性。其抗菌作用可能在結核菌葉酸的合成過程中與對氨苯甲酸(PABA)競爭,影響結核菌的代謝。劑量:成人每日8-12g,每2-3次口服。不良反應有食慾減退、噁心、嘔吐、腹瀉等。本藥飯後服用可減輕胃腸道反應,亦可每日12g加於5%-10%葡萄糖液500ml中避光靜脈滴注,1個月後仍改為口服。
(四)化療方案視病情輕重、有無痰菌和細菌耐藥情況,以及經濟狀況、藥源供應等,選擇化療方案。無論選擇何種,必須符合前述化療原則方能奏效。
1、初治方案未經抗結核藥物治療的病例中,有的痰結核菌陽性(塗陽),病情較重,有傳染性;也有的塗片陰性,病變範圍不大,所用化療方案亦有強弱不同。
初治塗陽病例,不論其培養是否為陽性,均可用以異煙肼(H)、利福平(R)及吡嗪醯胺(Z)組合為基礎的6個月短成化療方案。痰菌常很快轉陰,療程短,便於隨訪管理。
血行播散型肺結核(1)前2個月強化期用鏈黴素(或乙胺丁醇)、異煙肼、利福平及吡嗪醯胺,每日1次;後4個月繼續用4個月繼續用異煙肼及利福平,每日1次,以2S(E)HRZ/4HR表示。 (2)亦可在鞏固期隔日用藥(即每日用藥3次),以2S(E)HRZ/4H3R3。(右下角數字為每周用藥次數)。
(3)亦可全程間歇用藥,以2S3(E3)H3R3Z3/4H3R3表示。
(4)強化期用異煙肼、鏈黴素及對氨基水楊酸鈉(或乙胺丁醇),鞏固期用2種藥10個月,以2HSP(E)/10HP(E)表示。
(5)強化期1個月用異煙肼、鏈黴素,鞏固期11個月每周用藥2次,以1HS/11H2S2表示。
以上(1)、(2)、(3)為短程化療方案,(4)、(5)為“標準方案”。若條件許可,儘量使用短程化療方案。
初治塗陰培陰患者,除粟粒性肺結核或有明顯空洞患者可採用初治塗陽的方案外,可用以下化療方案:①2SHRZ/ZH2R2;②3H2R2Z2/2H2R2(全程隔日套用);③1SH/11HP(或E)。
初治患者,國際防癆及肺病聯合會推薦的適用於國家防癆的化學方案,可供制定治療方案時參考。
2、復治方案初治化療不合理,結核菌產生繼發耐藥,痰菌持續陽性,病變遷延反覆。復治病例應選擇聯用敏感藥物。藥物敏感試驗有助於選擇用藥,但費時較久、費用較大。臨床上多根據患者以往用藥情況,選擇過去未用過的或很少用過的,或曾規則聯合使用過藥物(可能其致病仍對之敏感),另訂方案,聯合二種或二種以上敏感藥物。
復治病例,一般可用以下方案:
(1)2S(E)HRZ/2HR,督促化療,保證規律用藥。6個月療程結束時,若痰菌仍未轉陰,鞏固期可延長2個月。如延長治療仍痰菌持續陽性,可採用下列復治方案。
(2)初治規則治療失敗的患者,可用2S3H3Z3E3/6H3R3E3。
(3)慢性排菌者可用敏感的一線藥與二線藥聯用,如卡那黴素(K)、丙硫異煙胺(1321Th)、捲曲黴素(Cp),應嚴密觀察藥物不良反應,療程以6-12個月為宜。氟喹諾酮類有中等度抗結核作用,對常用藥物已產生耐藥的病例,可將其加入聯用方案。若痰菌轉陰轉,或出現嚴重不良反應,均為停藥指征。
(五)病情判斷與療效考核、治療失敗
1、病情與療效考核按病變的活動程度已如前述可分為進展期、吸收好轉期及穩定期。一般吸收好轉期及穩定期為病情好轉,進展期為惡化。其判斷應根據臨床症狀、X線表現及排菌情況綜合分析。
(1)臨床症狀:注意觀察有無午後低熱、夜間盜汗、食欲不振、全身乏力、體重下降等結核惡化症狀及其程度變化。此類症狀減輕或消失提示病情好轉;若症狀顯著或由輕度變重則表明病情惡化;此外,咳嗽、咯血等呼吸系統症狀的變化亦可作為參考。
(2)X線檢查:是判斷病情不可缺少的指標,亦是監測病情轉歸的重要依據,對無明顯臨床症狀的患者則主要依靠X線檢查,X線既可確定病灶位置、範圍,性質,又可前後對照觀察動態變成。雲絮狀浸潤性病變吸收、消散、範圍縮小;或轉為密度增高、邊界清楚的增殖性病變如纖維化、鈣化;原有空洞縮小、閉合等均表示病情好轉或痊癒。反之,由增殖性病變轉為滲出性病變,為浸潤性病變範圍擴大,發生支氣管播散或急性、亞急性血行播散,出現乾酪樣壞死病灶、空洞形成等均為病情惡化表現。
(3)痰菌:肺結核患者痰內排菌與否是判斷病情程度及考核療效的重要指標。且痰菌檢查特異性高,較少受認為因素干擾。若痰菌持續陽性,則為開放性肺結核,提示病變活動程度高,且為結核病的社會傳染源,對周圍人群構成威脅。經治療後反覆檢查,發現結合菌量減少或陰轉,表明為好轉期;如每月至少查痰1次,連續6個月均陰性,則表明進出穩定期。此後若再次出現排菌,為病變惡化的表現。血沉加速提示病變活躍、惡化;但活動性肺結核並非均有血沉增速,而病變好轉,穩定期患者的血沉幾乎均正常。
2、治療失敗療程結束時痰菌未能陰轉,或在療程中轉陽,X線心室病灶未吸收、穩定,而進一步惡化,說明治療失敗,形成所謂難治性肺結核。究其產生原因,除感染耐藥結核菌、用藥不規範、間斷用藥或單藥治療外,尚與部分患者得化療藥物過敏,不能使用化療藥物或因化療藥物的嚴重不良反應難以堅持治療、機體免疫力低下(HIV感染者),體制極差等因素有關。
耐藥結核病(DR-TB)特別是耐多藥結核病(MDR-TB)的流行嚴重,正在使抗結核治療面臨新挑戰。1994年WHO及國際防癆肺病聯合會開始了抗結合藥物耐藥性檢測選求規劃,歷時3年的工作結果顯示,代表全世界20%人口的五大洲中35個國家的檢測發現雙耐HR的MRD-TB占2%-14%,大多數屬於單藥、不規則、不合理聯合方案治療等認為因素造成的繼發性多耐藥。在結核病控制工作薄弱的國家,原發性多藥耐藥亦呈上升趨勢。一旦發生耐多藥結核病後,其所使用的化療費用價貴、效差,不良反應嚴重,治療費用可為新塗陽肺結核患者的100倍。堅持合理使用化療方案,採取綜合防治措施,提高機體免疫功能等,有助於防止耐藥結核病的發生。
為有效地防止治療失敗,化療方案必須正確制定,患者應在督導下堅持早期、適量、規律、全程聯用敏感藥物。只有在已發生嚴重不良反應或確已證實細菌已產生耐藥性的情況下,才改換新的化療方案。新方案應包括兩種以上敏感藥物。
血行播散型肺結核二、對症治療 (一)毒性症狀結核病的毒性症狀在有效抗結核治療1-2周內多可消失,通常不必特殊處理乾酪樣肺炎、急性米粒性肺結核、結核性腦膜炎有高熱等嚴重結核毒性症狀,或結核性胸膜炎伴大量胸腔積液者,均應臥床休息及儘早使用抗結核藥物。亦可在使用有效抗結核藥物的同時,家用糖皮質激素(常用潑尼松,每日15-20mg,分3-4次口服),以減輕炎症及過敏反應,促進滲液吸收,減少纖維組織形成及胸膜粘連。待毒性症狀減輕後,潑尼松劑量遞減,至6-8周停藥。糖皮質激素無抑菌作用,而能抑制機體免疫力,單獨使用時有可能促使結核病變擴散。糖皮質激素對已形成的胸膜增厚及粘連並無作用。因此,應在有的抗結核治療基礎上慎用。
(二)咯血若僅痰中帶血或小量咯血,以對症治療為主,包括休息、止咳、鎮靜,常用藥物有噴托維林、土根散、可待引、卡巴克絡(安絡血)等。年老體衰、肺功能不全者,慎用強鎮咳藥,以免因抑制反射及呼吸中樞,使血塊不能排出而引起窒息。要除外其他咯血原因,如二尖瓣狹窄、肺部感染、肺梗死、名血機制障礙、自身免疫性疾病等。
中等或大量咯血時應嚴格臥床休息,胸部分置冰袋,並配血備用。取側臥位,輕輕將存留在氣管內的積血咳出。垂體後葉素10U加於20-30ml生理鹽水或葡萄糖液中,緩慢靜脈注入(15-20分鐘),然後以10-40U於5%葡萄糖液500ml中靜脈點滴維持治療。垂體黑葉素有收縮小動脈、包括心臟冠狀動脈及毛細血管的作用,減少肺血流量,從而減輕咯血。該藥尚可收縮子宮及平滑肌,故忌用於高血壓、冠狀動脈粥樣硬化性心臟病的患者及孕婦。注射過快可引起噁心、遍意、心悸、面色蒼白等不良反應。
若咯血量過多,可酌情適量輸血。大咯血不止者,可經纖支鏡發現出血部位,用去甲腎上腺素2-4mg+4℃生理鹽水10-20ml局部滴入。或用支氣管放置Fogarty氣囊導管(外徑1mm,充氣0.5-5.0ml)堵塞出血部位止血。此外尚可用Kinoshita方法,用凝血酶或纖維蛋白原經纖支鏡灌洗止血治療,必要時應做好搶救的充分準備。反覆大咯血用上述方法無效,對側肺無活動性病變,肺功能儲備尚可,又無明顯禁忌證者,可在明確出血部位的情況下考慮肺葉、段切除術。
咯血窒息是咯血致死的主要原因,需嚴加防範,並積極準備搶救,咯血窒息前症狀包括胸悶、氣憋、唇甲發紺、面色蒼白、冷汗淋漓、煩躁不安。搶救措施中應特別注意保持呼吸道通暢,採取頭低較高45°的俯臥位,輕拍背部,迅速排出積血,並儘快挖出或吸出口、咽、喉、鼻部血塊。必要用硬質氣管鏡吸引、氣管插管或氣管切開,以解除呼吸道阻塞。
三、手術治療外科手術已較少套用於肺結核治療。對大於3cm的結核球與肺癌難以鑑別時,復治的單側纖維厚壁空洞、長期內科治療未能使痰菌陰轉者,或單側的毀損肺伴支氣管擴張、已喪失功能並有反覆咯血或繼發感染者,可做肺葉或全肺切除。結核性膿胸和(或)支氣管胸膜瘺經內科治療無效且伴同側活動性肺結核時,宜作肺葉-胸膜切除術。手術治療禁忌證有:支氣管黏膜活動性結核病變,而又不在切除範圍之內者;全身情況差或有明顯心、肺、肝、腎功能不全者。
預後預防
控制傳染源、切斷傳染途徑及增強免疫力降低易感性等,是控制結核病流行的基本原則。卡介苗可保護未受感染者,使受感染後不易發病,即使發病也易癒合。有效化學藥物治療(化療)對已患病者,能使痰菌較快陰轉之前,尚須嚴格消毒隔離,避免傳染。為此,抓好發現患者、正確治療與接種卡介苗等均至關重要,各級防治網可為落實上述各項措施提供保證。
1、防治系統建立與健全各級防癆組織是防治工作的關鍵。
2、發現患者結核病的傳染源是非排菌患者。一個塗片陽性排菌者,每年可傳染5-10人。
3、管理患者對肺結核患者進行登記,加強管理。
4、治療場所合理的抗結核藥物治療不僅可治癒結核病,且使痰菌陰轉,消除傳染源。
5、卡介苗接種卡介苗(BCG)是活的無毒力牛型結核菌疫苗,接種後可使人體產生對結核菌的獲得性免疫力。其接種對象是未受感染的新生兒、兒童及青少年。已受結合軍感染者(結素試驗陽性)已無必要接種。
接種方法:液體菌苗的有效期為4-6周,凍乾菌苗有效期1年。菌苗應在低溫(2-10℃)及避光條件下運輸、保存(“冷鏈”);不可用過期失效菌苗。接種部位一律取左上臂三角肌外緣下端。常用皮內注射法,接種後結素反應陽轉率高達90%以上。接種卡介苗後2-3周,一般局部出現紅腫、破潰,數周內自行結痂痊癒。

