疾病概述
浸潤型肺結核肺結核中最常見的一種類型,其症狀、體徵及X線表現可因病變的性質、範圍、發展階段的不同而有很大差異見於成年人,病灶多在鎖骨上下,呈片狀或絮狀,邊界模糊,病灶可呈乾酪樣壞死灶,引發較重的毒性症狀,而成乾酪性(結核性)肺炎,壞死灶被纖維包裹後形成結核球。
經過適當治療的病灶,炎症吸收消散,遺留小乾酪灶,鈣化後殘留小結節病灶,呈現纖維硬結病灶或臨床痊癒。有空洞者,也可經治療吸收縮小或閉合,有不閉合者,也無存活的病菌,稱為“空洞開放癒合”。
疾病病因感染結核桿菌。
病體體徵
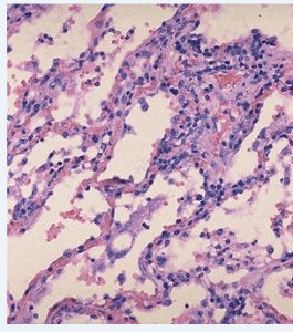
浸潤型肺結核原發感染經血行播散(隱蔽形成菌血症)而潛伏在肺內的結核菌多數逐漸死亡,僅當人體免疫力降低時,潛伏在病灶內的結合開始有機會繁殖,形成以滲出與細胞浸潤為主、伴有程度不同的乾酪樣病灶,稱為浸潤型肺結核(內源性感染)。原發病灶亦可能直接進展成浸潤型肺結核。
此外,與排菌肺結核患者密切接觸,反覆經呼吸道感染,亦可因再感染而法身浸潤型肺結核(外源性感染),但較少見,也不致發生菌血症。浸潤型和多未成年患者,起病緩慢,早期及病灶較小者,往往無明顯症狀及體徵,常由健康檢查或因其他原因作胸部X線檢查而發現。臨床症狀視其病灶範圍及人體反應性而定。病灶部位多在鎖骨上下,X線顯示為片狀、絮狀陰影,邊緣模糊。當人體處於過敏狀態,且有大量結合菌進入肺部時,病灶乾酪樣壞死、液化,進而形成空洞及病灶的支氣管播散。浸潤型肺結核伴大片乾酪樣壞死灶時,常呈急性進展,出現嚴重毒性症狀,臨床上稱為乾酪樣(或結核性)肺炎。乾酪樣壞死灶部分消散後,周圍形成纖維包膜;或空洞的引流支氣管阻塞,空洞內乾酪物難以排出,凝成球形病灶,稱“結核球”。
當病變處於炎症滲出、細胞浸潤,甚至乾酪樣壞死階段,經恰當的抗結核化學治療,炎症吸收消散,遺留細小的乾酪樣病灶經纖維包圍,逐漸時水乾燥,甚至鈣化,成為殘留的結節狀病灶,稱纖維硬結病灶或臨床痊癒。有效的化學治療能使空洞逐漸縮、閉合,或空洞的組織缺損雖仍存在,而其中的結核菌已接近全部消滅,稱“空洞開放癒合”。
診斷檢查
診斷檢查一、結核菌檢查是確診肺結核最特異性的方法,痰中找到結核菌是確診肺結核的主要依據。塗片抗酸染色鏡檢快速簡便在我國非典型分枝桿菌尚屬少見,故抗酸桿菌樣應,肺結核診斷基本即可成立。直接厚塗片陽性率優於薄塗片,為目前普通採用。螢光顯微鏡檢查適合於大量標本快速檢查。無痰或兒童不會咳嗽,可採用清晨的胃洗液找結核菌,承認亦可通過纖支鏡進差,或從其涮洗液汁中國查找結核菌。
痰軍陽性表明其病灶是開放性的,輿論傳染性。若排菌量多(每毫升10萬個以上),直接塗片易呈陽性,為社會傳染源於痰菌量較少(每毫升1萬個以下),可用集菌法。培養法更為精確,除能了解結核菌有無生長繁殖能力外,且可作藥物敏感試驗與菌型鑑定。結核菌生長緩慢,使用改良羅氏培養基,通常需4-8周才能報告。
培養雖較費時,但精確可靠,特異性高,若塗片陰性或診斷有疑問時,培養尤其重要,培養菌株進一步作藥物敏感性測定,可為治療特別是復治時提供參考。將標本在體外用聚合酶鏈反應(PCR)法,使所含微量結核菌DNA得到擴增,用電泳法檢出,1個結核菌約含1fgDNA,40個結核菌即可有陽性結果。該法不必體外預培養,特異性強,2天即可出報告,快速、簡便,並可鑑定菌型,不足之處是可能出現假陽性或假陰性。
影像學檢查
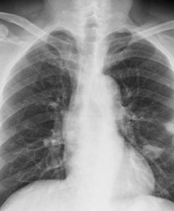
肺部影像二、影像學檢查胸部X線檢查可以發現肺內病變的部位、範圍,有無空洞或空洞大小,洞壁厚薄等。X線對各類結核病變的透過度不同,通過X線檢查大致能估計結核病灶的病理性質,並能早期發現肺結核,以及判斷病情發展及治療效果,有助於決定治療方案。必須指出,不同病因引起的肺內病變,可能呈現相似的X線影像,故亦不能僅憑X線檢查輕易確定肺結核的診斷。
X線攝片結合透視有助於提高診斷的準確性,可發現肋骨、縱隔、膈肌或被心臟遮蓋的細胞病灶,並能觀察心、肺、膈肌的動態。肺結核的X線表現包括:纖維鈣化的硬結病灶,表現為密度較高、邊緣清晰的斑點、條索取或者結節;浸潤性病灶,表現為密度較單,邊緣模糊的雲霧狀陰影;乾酪樣病灶,表現為密度較高,濃淡不一,有環形邊界透光區的空洞等。
肺結核病灶通常在肺上部、單側或雙側,促成時間較長,且有多種不同性質的病灶混合存在及肺內播散跡象。凡X線胸片上顯示滲出性或滲出增殖性病灶、乾酪樣肺炎、乾酪樣病灶、空洞(除淨化空洞外),均提示為活動性病變;增殖性病變、纖維包裹緊密的乾酪硬結灶火及纖維鈣化灶等,均屬非活動性病變。
活動性病灶的痰中仍可找到結核菌。由於肺結核病變多為混合性,在未達到完全增殖或纖維鈣化時,均仍應考慮為活動性。肺部CT檢查對於發現微小或隱蔽性病變,了解病變範圍及肺病變鑑別等方面均有幫助。
結核菌素檢查三、結核菌素(簡稱結素)試驗是診斷結核感染的參考指標。
舊結素(OT)是結核菌的代謝產物,由液體培養長出的結核菌提煉而成,主要含有結核蛋白。OT抗原不純,可能引起非特異性反應。在人群中作普查時,可用1:2000的OT稀釋液0.1ml(51U),在左前臂屈側作皮內注射,經48-72小時測量皮膚硬結直徑,如小於5mm為陰性,5-9mm為弱陽性(提示結核菌或結核分枝桿菌感染),10-19mm為陽性反應,20mm以上或局部出現水泡與壞死者為強陽性反應。
結素的純蛋白衍化物(PPD)由舊結素濾液中提取結核蛋白精製而成,為純結素,不產生非特異性反應。國際上常用的PPD-RT23,已經取代OT。我國從人型結核菌製成PPD(PPD-C)及從卡介苗製成BCG-PPD,純度均較好,已廣泛用於臨床診斷,皮內注射0.1ml(5IU)硬結平均直徑≥5bm為陽性反應。結素試驗除引起局部皮膚反應外,偶可引起全身反應。臨床診斷通常使用51U,如無反應,可在一周后再用5IU(產生結素增強效應),如仍為陰性,大致可除外結核感染。
結素試驗仍是結核病綜合診斷中常用手段之一,有助於判斷有無結核菌感染。若呈強陽性反應,常表示為活動性結核病。結素試驗對嬰幼兒的診斷價值較成人為大,因年齡越小,自己感染率越低;3歲以下強陽性反應者,應視為有新近感染的活動性結核病,有必要進行治療。如果2年內結素反應從<10mm增加至100mm以上,並增加6mm以上時,可認為有新感染。結素試驗陰性反應除表示沒有結核菌感染外,尚應考慮以下情況。結核菌感染後需4-8周才建立充分變態反應,在該變態反應產生之前,結素試驗可呈陰性。套用糖皮質激素等免疫抑制藥物,或營養不良,麻疹、百日咳等患者,結素反應亦可暫時消失。嚴重結核病及各種重危患者對結素無反應,或僅出現弱陽性,與人體免疫力及變態反應暫時受抑制有關,待病情好轉,可轉為陽性反應。其他如淋巴細胞免疫系統缺陷(如敗血病、淋巴瘤、結節病、艾滋病等)前者或年老體衰者的結素反應亦常為陰性。
其他檢查四、其他檢查結核病患者血像通常無改變,嚴重病理常有繼發性貧血,急性粟粒型肺結核對白細胞總數減低或出現類白血病反應。血陳增快常見於活動性肺結核,但並無特異性診斷價值,血沉正常亦不能排除活動性肺結核。患者無痰或痰菌陰性而需與其他疾病鑑別時,用酶聯免疫吸附試驗(ELISA法)檢出患者血清中特異性抗體,可能對肺外結核的診斷提供參考。纖支鏡檢查對於發現支氣管內膜結核、了解有無腫瘤、吸取分泌物、解除阻塞或作病原菌及脫落細胞檢查,以及取活組織病理檢查等,均有重要診斷價值。淺表淋巴結活檢,有助於結核的鑑別診斷.
近年來,套用分子生物學及基因工程技術,以非培養方法來檢出與鑑定臨床標本中的結核菌,展示其敏感、快速及特異性高等優點,如核算探針、染色體核算指紋等。
辨別診斷
結核菌痰結核菌檢查不僅是診斷肺結核的主要依據,亦是考核療效、隨訪病情的重要指標。肺結核病患者痰液可呈間歇排菌,故應連續多次查產。
X線檢查是診斷肺結核的必要手段,對早期診斷、確定病變部位、範圍、性質、了解其演變及選擇治療等均具有重要價值。
在臨床診斷中,我國先用的分類法包括四部分,即肺結核類型、病變範圍及空洞部位、痰菌檢查、活動性及轉歸。
肺結核分為五型一、肺結核分為五型I型:原發性肺結核;Ⅱ型:血行播散型肺結核;Ⅲ型:浸潤型肺結核;Ⅳ慢性纖維空洞型肺結核;Ⅴ型:結核性胸膜炎。
病變範圍及空洞部二、病變範圍及空洞部位按右、左側,分上、中、下肺野記述。右側病變記在橫線以上,左側病變記錄再生橫線以下。一側無病變者,已“(一)”表示。以第2和第4前肋下緣內端將兩肺分為上、中、下肺野。有空洞者,在相應肺野部位加“0”號。
痰結核菌檢查痰菌三、痰結核菌檢查痰菌陽性或陰性,分別以(+)或(-)表示,以“塗”、“集”或“培”分別代表塗片、集菌或培養法。患者無痰或未查痰者,註明“無痰”或未查。
活動性及轉歸
活動性及轉歸在判斷肺結核的活動性及轉歸時,應綜合患者的臨床表現、肺部病變、空洞及痰菌等。按肺結核病變的活動程度可將其分為三期:
進展期
(一)進展期應具備下述一項:新發現的活動性病變;病變較前惡化、增多;新出現空洞或空洞增大;痰菌陽性。
好轉期
(二)好轉期具有以下一項為好轉:病變較前吸收;空洞閉合或縮小;痰菌轉陰。
穩定期
(三)穩定期病變無活動性改變,空洞閉合,痰菌連續陰性(每月至少查痰1次)達6個月以上。如空洞仍存在,則痰軍需連續陰性1年以上。
開放性肺結核是指肺結核進展期與部分好轉期患者,其痰中經常有結核菌排出,具有較強的傳染性,故必須隔離治療。
活動性肺結核進展期與部分好轉期患者,其痰中經常有結核菌排出,具有較強的傳染性,故必須隔離治療。
活動性肺結核是指滲出性浸潤病變或變質性病變如乾酪樣壞死、空洞形成、支氣管播散及血行播散粟粒型結核,臨床上症狀比較突出。進展期與好轉期舉屬活動性肺結核,其中進展期患者除少數(如急性血行播散米粒型結核)外,幾乎均有排菌。部分好轉期患者亦仍排菌,均屬開放性肺結核。另外一般部分好轉期患者痰菌陰性則不屬開放性。活動性肺結核凡痰中排菌者均需隔離治療。
穩定期患者屬非活動性肺結核,列為初步臨床治癒;若經觀察兩年,病變仍穩定與痰菌持續陰性,可視為臨床治癒;如仍有空洞存在,則需觀察3年以上,如無變化,亦可視為臨床治癒。
鑑別
肺結核的臨床與X線表現,常與多種非結核性肺病相似,甚易誤診。必須強調認真根據病史、相關實驗室檢查資料、X線片等綜合分析,必要時尚需動態觀察、審慎鑑別。
肺癌
肺癌中央型肺癌常有痰中帶血,肺門附近有陰影,與肺門淋巴結結核相似。
周圍型肺癌可呈球狀、分葉狀塊影,需與結核久鑑別。肺癌多見於40歲以上嗜煙男性;常無明顯毒性症狀,多有刺激性咳嗽、胸痛及進行性消瘦。X線胸片示結核球周圍可有衛星病灶、鈣化,而癌腫病灶邊緣常有切痕、毛刺。
胸部CT掃描對鑑別兩者常有部分幫助,中央型肺癌的CT所見有支氣管內軟組織密度塊影附著在一側增厚支氣管壁扇上面,腫塊輪廓不規整、肺段及肺葉支氣管不規則狹窄、縱隔淋巴結腫大等。
結合痰結核菌、脫落細胞檢查及通過纖支鏡檢查及活檢等,常能及時鑑別。
肺癌與肺結核的並存,亦需注意發現。
臨床上難以完全排除肺癌者,結合具體情況必要時可考慮剖胸探查,以免貽誤治療時機。
肺炎
典型肺炎球菌肺炎與浸潤型肺結核區別不難。而病情進展較快的浸潤型肺結核,擴大到整個肺葉,形成乾酪樣肺炎,易被誤診為肺炎球菌肺炎。前者起病急驟、高熱、寒戰、胸痛伴氣急,咳鐵鏽色痰,X線徵象病變常局限與一夜,抗生素治療有效。乾酪樣肺炎則多有結核中毒症狀,起病較慢,咳黃色粘液痰,X線徵象病變多位於右上葉、後段,呈雲絮狀,密度不均,可出現蟲蝕樣空洞,抗結核治療有效果,痰中易找到結核菌。
有輕度咳嗽、低熱的支原體肺炎、病毒性肺炎或過敏性肺炎(嗜酸性粒細胞肺浸潤症)在X線上的炎症徵象,與早期浸潤型肺結核相似,對這類一時難以鑑別的病例,不宜急於抗結核治療。支原體肺炎通常在短時間內(2-3周)可自行消散;過敏性肺炎的肺內浸潤陰影常呈遊走性,血中嗜酸性粒細胞增多。
肺膿腫
肺膿腫空洞多見於肺下葉,膿腫周圍的炎症浸潤較嚴重,空洞內常有液平面。肺結核空洞則多發生在肺上葉,空洞壁較薄,洞內很少有液平面。此外,肺膿腫起病較急,高熱,大量膿痰,痰中無結核菌,但有多種其他細菌,血白細胞總數嗜中性粒細胞增多,抗生素治療有效慢性纖維空洞型結核合併感染時易與慢性肺膿腫混淆,後者痰結核菌陰性。
支氣管擴張
有慢性咳嗽、咯痰及反覆咯血史,需與慢性纖維空洞型肺結核鑑別。但支氣管擴張的痰結核菌陰性,X線胸片多無異常發現及或者僅見局部肺紋理增粗或捲髮狀陰影,CT有助確診。
慢性支氣管炎
老年慢支症狀酷似慢性纖維空洞型肺結核,且近年老年人肺結核的發病率有所增高,需認真鑑別兩者,及時X線檢查有助確診。
其他發熱性疾病
各型肺結核常有不同類型的發熱,因為肺結核常是臨床上發熱原因不明的主要鑑別之一。
傷寒、敗血症、白血病、縱隔淋巴瘤及結節病等與結核病有諸多相似。傷寒有高熱、血白細胞計數減少及肝脾大等臨床表現,易與急性粟顆型結核混淆。但傷寒熱型常呈稽留熱,有相對緩脈、皮膚玫瑰疹,血清傷寒凝集試驗陽性,血、糞便傷寒桿菌培養陽性。敗血症起病急、寒戰及馳張熱型,白細胞及中性粒細胞胞增多,常有近期皮膚感染,瘡癤擠壓史或尿路,膽道等感染史,皮膚常見瘀點,病程中出現遷徙病灶或感染性休克,血或骨髓培養可發現致病菌。急性米粒型肺結核有發熱、肝脾大,起病數周后出現特異性X線表現。偶見血象呈類白血病反應或單核細胞異常增多,需與白血病鑑別。後者多有明顯出血傾向,骨髓塗片及動態X線胸片隨訪有助確立診斷。
成人支氣管淋巴結核常表現為發熱劑肺門淋巴結腫大,應與結節病、縱隔淋巴瘤等鑑別。結核病患者結素試驗陽性,抗結核治療有效;而淋巴瘤發展迅速,常有肝脾及淺表淋巴結腫大,確診常需依賴活檢。結節病通常不發熱,肺門淋巴結腫大多為雙側性,結素試驗陰性,唐皮質激素治療有效,必要時應作活檢以明確診斷。
以上所述,僅是少數主要的常見疾病,在具體鑑別時既需要全面掌握與分析患者具備的肺結核的診斷依據,又應熟悉此類易被混淆疾病的特點。儘量做到檢查既要有針對性,又要認真動態觀察與嚴格對比與判斷。
病變性質、範圍、類型、治療合理與否及機體免疫功能等差異而有不同。癒合方式有以下幾種:①吸收(消散),滲出性病變因肺組織結構未破壞可完全吸收(消散)而痊癒;②纖維化,病變吸收過程中伴纖維組織增生,嗜銀成纖維細胞顯著增多並發生膠原纖維化;最後形成條索狀或星芒狀瘢痕而癒合;③鈣化,指乾酪樣壞死性結核時,當機體抵抗力增強,病灶中結核菌低下,繁殖力減弱時,碳酸鈣和磷酸鈣沉積於壞死灶內,病灶失水、乾燥而形成鈣化;④形成纖維乾酪灶,較大幹酪樣病變不易完全吸收或纖維化、鈣化,而是由灶周增生的纖維與肉芽組織包繞,形成纖維乾酪灶,較大的成為結核瘤,雖可長期穩定,但病灶內可長期有靜止或冬眠狀態的結核菌存活而藥物又難以滲透至病灶內發揮殺滅細菌作用,成為復燃的根源;⑤空洞癒合,空洞形成是乾酪樣壞死病變液化後排空所致,其癒合可由周圍纖維增生並漸收縮而使之閉合;亦可因與空洞相同的支氣管阻塞,洞內空氣吸收,使洞壁纖維化與壞死組織機化而閉合。此種癒合並不可靠,其內常有結核菌長期生存,空洞內壁有志氣管上皮延伸被覆,稱淨化空洞或開放癒合。
肺結核的臨床治癒是指上述各種形式的癒合而使病灶穩定,並停止排菌、結核毒性症狀完全消失,但病灶內人可能有結合菌存活,尤其是纖維乾酪灶及支氣管阻塞形成的空洞閉合,常有靜止狀態的結合菌潛伏生存,一旦機體抵抗力下降,結核菌有再次活躍的可能,並繁殖而造成復燃與播散,此種情況並非真正的痊癒,故僅能稱為臨床治癒。
肺結核痊癒是指病灶徹底消除,包括完全吸收或手術切除,或在上述種種形式的癒合後確證病灶內已無結核菌存活,亦即病理學上的真正的治癒,才能稱結核病痊癒。
治療方案
浸潤型肺結核抗結核化學藥物治療對控制結核病起決定作用,合理化療可使病灶內細菌消滅,最終達到痊癒。休息與營養療法僅起輔助作用。
一、抗結核化學藥物治療(簡稱化療)
(一)化療原則化療的主要作用在於縮短傳染期、降低死亡率、感染率及患病率。對於每個具體患者,則為達到臨床及生物學治癒的主要措施,合理化療是指對活動性結核病堅持早期、聯用、適量、規律和全程使用敏感藥物的原則。所謂早期主要指早期治療患者,一旦發現和確診後立即給藥治療;聯合是指根據病情及抗結核藥的作用特點,聯合兩種以上藥物,以增強與確保療效;適量是指根據不同病情及不同個體規定不同給藥劑量;規律即患者必須嚴格按照化療方案規定的用藥方法,有規律地堅持治療,不可隨意更改方案或無故隨意停藥,亦不可隨意間斷用藥;全程乃指患者必須按照方案鎖定的療程堅持治滿療程,短期化療通常為6-9個月。一般而言,初治患者安全上述原則規範治療,療效高達98%,復發率低於2%。
活動性肺結核是化療的適應證。對硬結已久的病灶則不需化療。至於部分硬結、痰菌陰性者,可觀察一階段,若X線病人無活動表現、痰菌仍陰性、又無明顯結核病毒性症狀,亦不必化療。
1、早期:聯用、適量、規律和全程用藥活動性病灶處於滲出階段,或有乾酪樣壞死,甚至形成空洞,病灶內結核菌A群菌為主,生長代謝旺盛,抗結核藥物常可發揮最大的殺菌或抑菌作用。病灶局部血運豐富、藥物濃度亦當,有助於促使炎症成分吸收、空洞縮小或閉合、痰菌轉陰。故對活動性病灶早期合理化療,效果滿意。
實驗證明肺內每1g乾酪灶或空洞組織中約有結核菌106-1010。從未接觸過抗結核藥物的結核菌,對藥物的敏感性並不完全相同。大約每105-106個結核菌中可有1個菌因為基因突變而對異煙肼或鏈黴素耐藥。同時對該兩種藥物均耐藥者約在1011個結核菌中僅1個,同時耐3種藥的菌則更少。可見如單一用一種藥物治療,雖可消滅大部分敏感菌,但有可能留下少數耐藥菌繼續繁殖,最終耐藥菌優勢生長。如聯用兩種或兩以上藥物,耐藥菌減少,
效果較單藥為佳。耐藥劑量要適當。藥量不足,組織藥物難以達到有效濃度,且細菌易產生繼發性耐藥。藥量過大則易產生不良反應。結核菌生長緩慢,有時僅偶爾繁殖(B、C菌群),因此應使藥物在體內長期保持有效濃度。規律地全程用藥,不過早停藥,是化療成功的關鍵。
2、藥物與結核菌血液中(包括巨噬細胞內)藥物濃度在常規劑量下,達到試管內最低抑菌濃度(MIC)的10倍以上時才能起殺菌作用,否則僅有抑菌作用。常規用量的異煙肼及利福平在細胞內外運能達到該水平,稱全殺菌劑。鏈黴素及吡嗪醯胺亦是殺菌劑,但鏈黴素在偏鹼的環境中才能發揮最大作用,且很少滲入吞噬細胞,對細胞內結核菌無效。吡嗪醯胺雖可滲入巨噬細胞,但僅在偏酸性環境中才有殺菌作用,故兩者都只能作為半殺菌劑。乙胺丁醇、對氨基水楊酸鈉等均為抑菌劑,常規劑量時藥物濃度均不能達到MIC的10倍以上,加大劑量則容易發生不良反應。
早期病灶內的結核菌大部分在細胞外,此時異煙肼的作用最強,鏈黴素次之。炎症使組織局部pH下降,細菌代謝減慢(C菌群),連同一些被吞噬在細胞內的結核菌(B菌群),均對利福平及吡嗪醯胺敏感。殺滅此類殘留菌(B菌群),有助於減少日後復發。
(二)化療方法
1、“標準”化療與短程化療過程常規採用12-18個月療法,稱“標準”化療,但因療效過長,許多患者不能完成,療效受到限制。自利福平問世後,與其他藥物聯用,發現6-9個月療法(短程化療)與標準化療效果相同,故目前廣泛採用短程化療,但該方案中要求必須包括兩種殺菌藥物,異煙肼及利福平,具有高強殺菌(對A菌群)及滅菌(對B、C菌群)效果。
2、間歇用藥、兩階段用藥實驗表明,結核菌與藥物接觸數小時後,常延緩數天生長。因此,有規律地每周用藥3次(間歇用藥),能達到與每天用藥同樣的效果。在開始化療的1-3個月內,每天用藥(強化階段),以後每周3次間歇用藥(鞏固階段),其效果與每日用藥基本相同,有利於監督用藥,保證完成全程化療。使用每周3次用藥的間歇療法時,仍聯合用藥,每次異煙肼、利福平、乙胺丁醇等劑量可適當加大;但鏈黴素、對氨基水楊酸鈉、乙硫異煙胺等不良反應較多,每次用藥劑量不宜增加。
3、督導用藥抗結核用藥至少半年,偶需長達一年半,患者常難以堅持。醫護人員按時督促用藥,加強訪視,取得患者合作尤為必要。強化階段每日一次用藥,即可形成高峰血藥濃度,較每日分次用藥療效尤佳,且方便著,提高患者堅持藥率及完成全程.
疾病預防
控制傳染源、切斷傳染途徑及增強免疫力降低易感性等,是控制結核病流行的基本原則。卡介苗可保護未受感染者,使受感染後不易發病,即使發病也易癒合。有效化學藥物治療(化療)對已患病者,能使痰菌較快陰轉之前,尚須嚴格消毒隔離,避免傳染。為此,抓好發現患者、正確治療與接種卡介苗等均至關重要,各級防治網可為落實上述各項措施提供保證。
一、防治系統建立與健全各級防癆組織是防治工作的關鍵。
二、發現患者結核病的傳染源是非排菌患者。一個塗片陽性排菌者,每年可傳染5-10人。
三、管理患者對肺結核患者進行登記,加強管理。
四、治療場所合理的抗結核藥物治療不僅可治癒結核病,且使痰菌陰轉,消除傳染源。
五、卡介苗接種
卡介苗(BCG)是活的無毒力牛型結核菌疫苗,接種後可使人體產生對結核菌的獲得性免疫力。其接種對象是未受感染的新生兒、兒童及青少年。已受結合軍感染者(結素試驗陽性)已無必要接種。
接種方法:液體菌苗的有效期為4-6周,凍乾菌苗有效期1年。菌苗應在低溫(2-10℃)及避光條件下運輸、保存(“冷鏈”);不可用過期失效菌苗。接種部位一律取左上臂三角肌外緣下端。常用皮內注射法,接種後結素反應陽轉率高達90%以上。接種卡介苗後2-3周,一般局部出現紅腫、破潰,數周內自行結痂痊癒。
發病機理
浸潤型肺結核浸潤性肺結核多見於曾受過結核感染的成年人。一般認為與原髮結核有密切關係,也可認為是原髮結核的發展後果。它是過去潛伏的、尚未癒合的原發病灶及早期血型播散病灶的重行活動引起的。只有少數人是因為與開放性肺結核病長期接觸而感染髮病(即外源性感染)。
浸潤性肺結核的病灶往往以肺尖及肺尖下部的浸潤,包括滲出性肺炎和灶邊反應開始。即使早期發現的病變,病灶雖然輕微,但往往已經發展到一定地步的乾酪樣變和纖維包圍,因此常見的早期病灶是程度不等的炎症浸潤和纖維結節的混合性病灶。病變有時自行癒合,病人毫無症狀,僅在檢查中發現肺尖部的結節病灶。根據人體的抵抗力及細菌的數量與毒力,浸潤性肺結核的炎症病灶可以通過滲出物的消散、吸收,結核結節的纖維化、玻璃樣變及乾酪樣變的纖維包圍、鈣化而趨於癒合;也可以發生乾酪樣壞死、液化、空洞形成和病灶的支氣管播散而發展惡化。病灶往往有好轉和不良發展同時存在,在炎症滲出成分消散的同時也可出現新鮮的炎症滲出病灶。結核結節也可以發生在壞死病灶的周圍,在X線上看來成為硬性的結節灶。
如果抵抗力很差,或感染的菌量特別多,則肺部產生成葉的乾酪樣壞死,繼而引起單個或多個空洞,形成乾酪樣肺炎。原髮結核的乾酪樣淋巴結破潰到支氣管後,細菌大量侵襲肺組織,亦可引起乾酪樣肺炎。
一般浸潤性肺結核病灶具有臨床重要意義的是乾酪樣結節和空洞性病灶。乾酪樣結節病灶是原來的乾酪樣壞死病灶伴隨其周圍的結核結節而形成的,在癒合過程中形成了纖維包膜;或者是空洞的引流支氣管阻塞而引起的阻塞性空洞。乾酪樣結節病灶一般比較大,直徑超過1.5-2.0cm就稱為結核球(即結核瘤)。這些乾酪樣病灶雖然含菌量極少,但不能保證可以癒合,它們很有可能液化、破潰而導致病灶的惡性發展及支氣管的播散。阻塞性空洞所導致的結核球,一旦支氣管的阻塞情況解除,會立即使空洞復現。空洞性病灶由於其內壁壞死層上有大量的生長活躍的細菌,很容易導致病灶的惡化和播散。
在抗結核藥物的作用下,空洞逐漸縮小而閉合。有時空洞壁纖維堅硬,或空洞-支氣管接口的上皮化,皆可阻礙空洞的閉合。
有時因為引流支氣管的黏膜上皮向空洞內壁延伸生長,甚至完全覆蓋空洞內壁,使空洞形成囊狀的空腔,這就是所謂的"空洞的開放癒合",即空洞的組織缺損依然存在,,但組織變化已經屬於癒合,痰菌也是陰性的,也稱為"開放-菌陰"的病灶,要達到纖維包圍的乾酪樣病灶癒合,應連續進行抗結核治療,但目前看來,因為西藥的副作用、細菌耐藥及藥物很難穿透纖維包膜而使病灶達到有效藥物濃度等因素,治療效果不很理想,有必要同時採取抗結核的中藥共同調理、治療。
呼吸內科疾病
| 研究範圍及進展呼吸內科是研究呼吸系統疾病的學科。它是既古老又年輕的學科,說它古老是因為,自從人類認識疾病以來,呼吸系統疾病就一直是危害人類健康的常見病和多發病,八十年代中期的統計資料表明,呼吸系統疾病仍然是導致死亡的主要疾病。在死亡的順序上排列第二。現在我們來認識一下這些可怕的疾病吧? |

