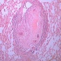
在結核病時,因病灶中含脂質較多,壞死區呈黃色,狀似乾酪,稱為乾酪樣壞死(caseous necrosis)。
鏡下為無結構顆粒狀紅染物,不見壞死部位原有組織結構的殘影,甚至不見核碎屑,是壞死更為徹底的特殊類型凝固性壞死。