概述
肺出血肺出血-腎炎綜合徵可能系病毒感染和/或吸入某些化學性物質引起原發性肺損害。由於肺泡壁毛細血管基膜和腎小球基底膜存在交叉反應抗原,故可以引起繼發性腎損傷。
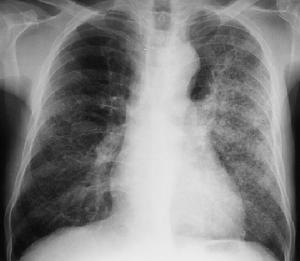
發病前不少患者有呼吸道感染,以後有反覆咯血,大多數出現在腎臟病變之前。X線檢查見兩肺有瀰漫性或結節狀陰影,自肺門向周圍擴散,肺尖及近膈肌處清晰,常一側較重,有的無咯血史,但經痰含鐵血黃素及胸片檢查證實有出血。在咯血時肺彌散功能減退,出現低氧血症,貧血常見。
腎臟表現:每例均有蛋白尿、紅細胞及管型,可有肉眼血尿。
治療措施:同新月體腎炎,採取綜合療法。血漿置換與皮質激素和環磷醯胺等合併使用,即可清除和降低血清抗腎基膜抗體濃度,同時可清除對體內組織有損傷的物質α、β補體等。血漿置換和激素免疫抑制劑無效病例,可考慮雙腎切除。肺出血明顯者以腹膜透析為宜。
病因
肺出血目前已公認腎臟發病原理為抗基底膜抗體型腎炎的免疫反應過程由於某些發病因素原發性損傷肺泡間隔和肺毛細血管基膜後者刺激機體產生抗肺基膜抗體在補體等作用下引起肺泡一系列免疫反應由於肺泡壁基膜和腎小球基底膜間存在交叉抗原故內源性抗肺基膜抗體又能與腎小球基底膜起免疫反應損傷腎小球肺表面瀰漫性出血切面可見水腫和陳舊的出血鏡檢見肺泡內出血肺泡腔內常有吞噬含鐵血黃素的吞噬細胞局灶性肺泡纖維組織增殖免疫螢光檢查顯示肺泡間隔和肺毛細血管基膜有免疫球蛋白和C3呈線狀沉積腎臟病理改變似急進性腎小球腎炎此外早期腎小球毛細血管呈局灶和節段性壞死後期腎小球周圍有淋巴細胞浸潤為一特點
生理
由於呼吸道病毒感染,吸入化學物質(烴或一氧化碳)等因素,引起患者肺泡基底膜抗原性變,產生抗基底膜抗
肺出血診斷
肺出血發病前不少患者有呼吸道感染以後有反覆咯血大多數出現在腎臟病變之前長者數年(最長可達12年)短者數月少數則在腎炎後發生X線檢查見兩肺有瀰漫性或結節狀陰影自肺門向周圍擴散肺尖及近膈肌處清晰常一側較重有的無咯血史但經痰含鐵血黃素及胸片檢查證實有出血在咯血時肺彌散功能減退出現低氧血症貧血常見
腎臟表現:每例均有蛋白尿紅細胞及管型可有肉眼血尿腎功能減退然而進展速度不一有的患者可在1~2日內呈現急性腎功能衰竭大多數在數周至數月內發展至尿毒症少數演變較慢有穩定在原水平或緩解以後又復發者
血清學檢查:抗腎小球基膜抗體效價均增高而其他自身抗體均陰性個別病例有免疫球蛋白增高抗基膜抗體濃度不一定和肺腎病變的嚴重度成比例
根據反覆咯血血尿X線徵象及痰中含鐵血黃素細胞陽性即可作出診斷單純有肺部表現則要和特發性肺含鐵血黃素沉著症鑑別候腎臟症狀出現後診斷較易但要和壞死性血管炎有肺及腎表現者尿毒症伴咯血者鑑別
檢查
肺出血2 血清學檢查 初選試驗可包括抗核抗體(ANA)譜抗雙鏈(ds)DNA抗中性粒細胞胞漿抗體(ANCA)抗基底膜(GBM)抗體和抗磷脂抗體SLE患者可有高滴度ANA和dsDNA而補體水平降低Goodpasture綜合徵的循環抗GBM抗體陽性ANCA包括核周型(P-ANCA)和細胞漿型兩種前者為針對髓過氧化物酶(MPO)彈力酶和乳鐵蛋白的抗體後者針對的抗原為分布在細胞漿的絲氨酸蛋白3(PR3)即C-ANCA顯微鏡下多動脈炎Churg-Strauss血管炎和寡免疫性腎小球腎炎(PIGN)可出現P-ANCA陽性
3 組織學檢查活檢部位的選擇取決於具體疾病如診斷韋氏肉芽腫可進行鼻或鼻竇活檢侵入性小診斷價值又高
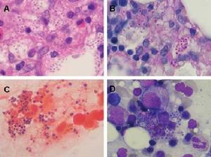
4 腎活檢 除了常規光鏡檢查外通常需要進行直接免疫螢光染色免疫介導的肺泡出血綜合徵同時有腎受累時則腎病理為壞死性腎小球腎炎組織學改變的程度不同從輕的系膜增厚至嚴重的新月體性腎小球腎炎腎動脈血管炎則很少各
肺出血5 氣管鏡檢查肺泡出血患者可能沒有明顯咯血氣管鏡和肺泡灌洗(BAL)檢查有助確診肺泡出血排除感染和氣道局部病變引起的出血從而幫助鑑別診斷和尋找病因根據BAL的回收液血性程度逐漸增加可肯定為活動性出血此外顯微鏡檢查發現含鐵血黃素細胞也具有肯定肺泡出血的價值
6 肺活檢經支氣管肺活檢對於DAH的診斷價值有限為明確病因需開胸肺活檢肺活檢僅適用於經常規檢查仍未明確病因且病情相對穩定能夠耐受單側肺萎陷的患者嚴重肺出血和呼衰病人不適宜開胸肺活檢肺活檢術後可伴發感染和氣胸.
治療
肺出血預防
肺出血相關詞條
呼吸內科疾病
| 研究範圍及進展呼吸內科是研究呼吸系統疾病的學科。它是既古老又年輕的學科,說它古老是因為,自從人類認識疾病以來,呼吸系統疾病就一直是危害人類健康的常見病和多發病,八十年代中期的統計資料表明,呼吸系統疾病仍然是導致死亡的主要疾病。在死亡的順序上排列第二。現在我們來認識一下這些可怕的疾病吧? |
