概述
疾病別名 :肺炎支原體肺炎
所屬部位 :胸部
就診科室 :呼吸內科、傳染科
症狀體徵 :頭痛、咳嗽、咳痰、囉音、胸痛
支原體是一種比細菌小、又比病毒大的微小微生物,是引起支原體肺炎的常見病原體。支原體肺炎約占各種肺炎的10%,嚴重的支原體肺炎也可導致死亡。
病原體常存在於帶菌者的鼻咽部,主要經飛沫傳染。支原體肺炎多發生於青少年,秋、冬季節發病較多。通常為散發性,偶可流行。患者起病較急,可有發熱、頭痛、全身不適等一般症狀及劇烈咳嗽,咳少量粘痰。
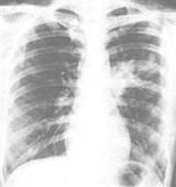
X線顯示肺部有形態多樣的浸潤影,呈節段性分布。外周血白細胞計數輕度增高。痰、鼻分泌物及咽喉拭子培養出肺炎支原體可確診。
病因
支原體構造 支原體為動物多種疾病的致病體,已發現8種類型其中只有肺炎支原體肯定對人致病,主要是呼吸系統疾病。由口、鼻分泌物經空氣傳播引起散發和小流行的呼吸道感染,主要見於兒童和青少年,現在發現在成人中亦非少見秋冬季較多。呼吸道感染有咽炎和支氣管炎,少數累及肺支原體肺炎約占非細菌性肺炎的1/3以上,或各種肺炎的10%。
肺炎支原體在發病前2~3天直至病癒數周皆可在呼吸道分泌物中發現。它通過接觸感染,長在纖毛上皮之間不侵入肺實質,其細胞膜上有神經氨酸受體,可吸附於宿主的呼吸道上皮細胞表面抑制纖毛活動和破壞上皮細胞,同時產生過氧化氫進一步引起局部組織損傷。其致病性可能與患者對病原體或其代謝產物的過敏反應有關感染後引起體液免疫,大多成年人血清中都已存在抗體,所以很少發病。
病理
肺部病變呈片狀或融合性支氣管肺炎或間質性肺炎伴急性支氣管炎。肺泡內可含少量滲出液,並可發生灶性肺不張肺實變和肺氣腫。肺泡壁和間隔有中性粒細胞和大單核細胞浸潤。支氣管黏膜細胞可有壞死和脫落並有中性粒細胞浸潤。胸膜可有纖維蛋白滲出和少量滲液。
表現
肺炎支原體感染人體後,經過2~3周的潛伏期,繼而出現臨床表現,約1/3的病例也可無症狀。它起病緩慢,發病初期有咽痛、頭痛、發熱、乏力、肌肉酸痛、食慾減退、噁心、嘔吐等症狀。發熱一般為中等熱度,2~3天后出現明顯的呼吸道症狀,突出表現為陣發性刺激性咳嗽,以夜間為重,咳少量黏痰或黏液膿性痰,有時痰中帶血,也可有呼吸困難、胸痛。發熱可持續2~3周,體溫正常後仍可遺有咳嗽。
支原體肺炎患者雖然自感症狀較重,但胸部體檢一般無明顯異常體徵。鼻部輕度鼻塞、流涕,咽中度充血。耳鼓膜常有充血,約15%有鼓膜炎。頸淋巴結可腫大。約10%~15%病例發生少量胸腔積液。除呼吸系統的表現外,支原體肺炎可伴發多系統、多器官損害。皮膚損害可表現為斑丘疹、結節性紅斑、水皰疹等。胃腸道系統可見嘔吐、腹瀉和肝功損害。血液系統損害較常見溶血性貧血。中樞神經系統損害可見多發性神經根炎、腦膜腦炎及小腦損傷等。心血管系統病變偶有心肌炎及心包炎。
支原體肺炎患者胸部X線檢查變化很大,病變可很輕微,也可很廣泛。體徵輕微而胸片陰影顯著,是本病特徵之一。血常規檢查白細胞高低不一,大多正常,有時偏高。
支原體肺炎的臨床表現和胸部X線檢查並不具特徵性,單憑臨床表現和胸部X線檢查無法做出診斷。若要明確診斷,需要進行病原體的檢測。目前,國內支原體肺炎的診斷主要依靠血清學檢測。
症狀體徵
臨床症狀如頭痛乏力、肌痛、鼻咽部病變咳嗽、胸痛、膿痰和血痰肺部X線表現和化驗室檢查如冷凝集試驗等有助診斷。
支原體肺炎的症狀與表現 起病較緩慢多數為咽炎、支氣管炎的表現,10%為肺炎症狀主要有寒戰、發熱、乏力頭痛、周身不適,刺激性乾咳伴有粘痰、膿痰,甚至血痰重者可有氣短,劇咳時有胸痛;也可有噁心、食欲不振嘔吐,腹瀉及關節痛、心肌炎、心包炎、肝炎、周圍神經炎腦膜炎、皮膚斑丘疹等肺外表現。
潛伏期2~3周起病緩慢,約1/3病例無症狀。以支管-支氣管炎肺炎、耳鼓膜炎等的形式出現,而以肺炎最重發病初有乏力、頭痛、咽痛發冷、發熱、肌肉酸痛食慾減退、噁心、嘔吐等頭痛顯著。發熱高低不一,可高達39℃2~3天后出現明顯的呼吸道症狀,如陣發性刺激性咳嗽,咳少量粘痰或粘液膿性痰有時痰中帶血。發熱可持續2~3周。熱度恢復正常後尚可遺有咳嗽伴胸骨下疼痛,但無胸痛。
檢查診斷
體檢鼻咽部及結膜充血水腫,可有頸部淋巴結腫大,皮疹;胸部體徵多不明顯肺部聽診可有細濕羅音,偶有胸膜磨擦音及胸水征。
輕度鼻塞流涕,咽中度充血。耳鼓膜常有充血約15%有鼓膜炎。頸淋巴結可腫大。少數病例有斑丘疹紅斑或唇皰疹。胸部一般無明顯異常體徵,約半數可聞乾性或濕性羅音約10%~15%病例發生少量胸腔積液。
輔助檢查(一)X線胸片為肺紋理增多,肺實質可有多形態的浸潤形,以下葉多見也可,呈斑點狀,斑片狀或均勻模糊陰影約1/5有少量胸腔積液。
(二)病原學檢查:肺炎支原體的分離難以廣泛套用,無助於早期診斷。
(三)血清學檢查:血清病原抗體效價>1:32鏈球菌MG凝集試驗,效價≥1:40為陽性,連續兩次4倍以上增高有診斷價值血清間接試驗>1:32,間接螢光試驗>1:66,間接免疫螢光抗肺炎支原體IgG>1:16抗肺炎支原體IgM>1:8,親和素酶聯免疫吸附試驗,可直接檢測肺炎支原體抗原24小時內可獲結果,均有診斷意義。
病情一般較輕有時可重,但很少死亡。發熱3天至2周咳嗽可延長至6周左右。有10%復發,肺炎見於同一葉或同一葉少數病人紅細胞冷凝集滴度效價在1∶500以上。/可有相當的血管內溶血,溶血往往見於退熱時或發生於受涼時。
鑑別診斷
浸潤型肺結核病毒性肺炎
原發感染經血行播散(隱蔽形成菌血症)而潛伏在肺內的結核菌多數逐漸死亡,僅當人體免疫力降低時,潛伏在病灶內的結合開始有機會繁殖,形成以滲出與細胞浸潤為主、伴有程度不同的乾酪樣病灶,稱為浸潤型肺結核(內源性感染)。原發病灶亦可能直接進展成浸潤型肺結核。此外,與排菌肺結核患者密切接觸,反覆經呼吸道感染,亦可因再感染而法身浸潤型肺結核(外源性感染),但較少見,也不致發生菌血症。浸潤型和多未成年患者,起病緩慢,早期及病灶較小者,往往無明顯症狀及體徵,常由健康檢查或因其他原因作胸部X線檢查而發現。臨床症狀視其病灶範圍及人體反應性而定。病灶部位多在鎖骨 上下,X線顯示為片狀、絮狀陰影,邊緣模糊。當人體處於過敏狀態,且有大量結合菌進入肺部時,病灶乾酪樣壞死、液化,進而形成空洞及病灶的支氣管播散。浸潤型肺結核伴大片乾酪樣壞死灶時,常呈急性進展,出現嚴重毒性症狀,臨床上稱為乾酪樣(或結核性)肺炎。
細菌性肺炎
常有受寒、勞累等誘因或伴慢性阻塞性肺病、心力衰竭等基礎疾病,三分之一患者病前有上呼吸道感染史。多數起病較急。部分革蘭陰性桿菌 肺炎、老年人肺炎、醫院內肺炎起病隱匿。發熱常見,多為持續高熱,抗生素治療後熱型可不典型。咳嗽、咳痰甚多,早期為乾咳,漸有咳痰,痰量多少不一。痰液多呈膿性,金葡菌 肺炎較典型的痰為黃色膿性;肺炎鏈球菌肺炎為鐵鏽色痰;肺炎桿菌 肺炎為磚紅色粘凍樣;綠膿桿菌 肺炎呈淡綠色;厭氧菌感染常伴臭味。抗菌治療後發展至上述典型的痰液表現已不多見。咯血少見。部分有胸痛,累及胸膜時則呈針刺樣痛。下葉肺炎刺激膈胸膜 ,疼痛可放射至肩部或腹部,後者易誤診為急腹症。全身症狀有頭痛、肌肉酸痛、乏力,少數出現噁心、嘔吐、腹脹、腹瀉等胃腸道症狀。重症患者可有嗜睡、意識障礙、驚厥等神經系統症狀。體檢病人呈急性病容,呼吸淺速,部分有鼻翼動。常有不同程度的紫紺和心動過速。少數可出現休克 (在24小時內血壓驟降至10.6/6.7kpa以下甚至測不出,伴煩躁、面色蒼白、四肢厥冷、少尿、心動過速和心音減弱等),多見於老年。肺炎鏈球菌 肺炎常伴口唇單純皰疹。早期胸部體徵可無異常發現或僅有少量濕羅音。隨疾病發展,漸出現典型體徵。單側肺炎可有患側呼吸運動減弱、叩診音濁、呼吸音降低和濕性羅音。實變體徵常提示為細菌性感染。老年人肺炎、革蘭陰性桿菌肺炎和慢性支氣管炎 繼發肺炎,多同時累及雙側,查體有背部兩個肺濕性羅音。血白細胞總數和中性粒細胞多有升高。老年體弱者白細胞計數可不增高,但中性粒百分比仍高。肺部炎症顯著但白細胞計數不增高常提示病情嚴重。動脈血氧分壓常顯示下降。
併發症
病情一般較輕有時可重,但很少死亡。發熱3天至2周咳嗽可延長至6周左右。可有血管內溶血,溶血往往見於退熱
時或發生於受涼時。極少數病例可伴發中樞神經症狀例如腦膜炎、腦膜腦炎、多發生神經根炎甚至精神失常等。出血性耳鼓膜炎、胃腸炎關節炎、血小板減少性紫癜、溶血性貧血心包炎、心肌炎、肝炎也有發現。
支原體肺炎患者除呼吸系統的表現外,有時還可伴發多系統、多器官的損害:
2.偶見非特異性肌痛及遊走性關節痛;
3.胃腸道系統可見嘔吐、腹瀉和肝功損害;
4.血液系統損害較常見溶血性貧血;
5.中樞神經系統損害可見多發性神經根炎、腦膜腦炎及小腦損傷等;
耐藥性
1 耐藥肺炎支原體已經出現:中國老百姓有著非常不好的用藥習慣,只要一有那裡不舒服,就要用抗生素類藥物如紅黴素類、頭孢類、青黴素類等。肺炎支原體是引起呼吸道感染常見的病原體,同其他細菌一樣,為了自己的生存以不同方式來改變自己,不斷去適應外界的環境,這樣肺炎支原體的耐藥性就慢慢產生了。近年來在臨床上分離得到了對紅黴素耐藥的肺炎支原體,使醫生常規用紅黴素等常規的抗生素治療支原體肺炎已經不起作用,影響了對肺炎支原體感染的治療,耐藥肺炎支原體感染患者與非耐藥肺炎支原體感染患者相比,表現為“三長”即發熱時間長,病程長,住院時間長。耐藥肺炎支原體感染患者尤其對兒童的健康危害更大。支原體肺炎好發於秋冬季節,一般呈散發,也可發生小流行。起病緩慢,常有劇烈頭痛,畏寒、發熱、厭食、乏力等。咽痛、頑固性刺激性咳嗽,有時咳嗽遷延日久。少數患者可並發中樞神經系統病症。肺部體徵不多,僅有小水泡。X線所見多有肺浸潤性陰影。紅細胞冷凝集素試驗陽性。血清肺炎支原體抗性陽性。痰、咽拭子培養有肺炎支原體生長。青黴素治療無效。
治療
治療原則
支原體肺炎的治療原則是以抗感染為主要措施,輔以祛痰、化痰,以減輕咳嗽症狀。患兒需要住院監護與治療,以防發生窒息及嚴重呼吸困難。抗感染是以紅黴素、阿奇黴素和羅紅黴素等大環內酯類為首選藥物,用藥療程不應少於2周,以有效殺滅微生物,防止病情反覆。治療用藥
能夠阻止細胞核蛋白合成的大環內酯類抗生素如 紅黴素 、 克拉黴素 、 阿奇黴素 等,是治療支原體肺炎的首選抗生素,尤其是 克拉黴素 、 阿奇黴素 的胃腸道副作用少,療效好,用藥方便。而且這些藥物對衣原體感染也很有效,同時可用於治療大多數常見的下呼吸道感染。預防保健
預防
1 1.常洗手;
2.不要抽菸;
3.清理布滿灰塵或長有黴菌的地方時務必戴口罩;
4.注射肺炎球菌疫苗可以預防化膿性鏈球菌肺炎,兒童還應該接種Hib(B型流感流感嗜血桿菌)疫苗;
5.到醫院時,儘可能地戴口罩,防止呼吸道的交叉感染;
6.緩慢降熱:運動後應先擦乾汗水,注意保暖;
7.常喝溫開水;
8.預防肺炎,一般人群室內溫度應保持在18℃至20℃之間,如果家有老年人或是兒童,室溫在22℃至24℃之間為佳。室內濕度也以在50%至70%為宜。
9.保持室內空氣新鮮。以中等住房面積為例,在冬季,一套80平方米左右的住房,在無大風的情況下,開窗通風9分鐘後即可起到置換室內外空氣一次的作用;
10.多吃些含維生素A豐富的動物肝臟以及胡蘿蔔、南瓜、甜薯和番茄等,柑橘類水果則是維生素C最好的來源;
11.在肺炎的高發季節中,老年人要儘量避免長期臥床。
保健病室應保持空氣流通,室溫維持在20℃左右,濕度以60%為宜。給予足量的維生素和蛋白質,經常飲水及少量多次進食。保持呼吸道通暢,及時清除上呼吸道分
泌
物,經常變換體位,減少肺淤血,以利炎症吸收及痰液的排出。為避免交叉感染,輕症肺炎可在家中或門診治療,對住院患兒應儘可能將急性期與恢復期的患兒分
開,細菌性感染與病毒性感染分開。
支原體感染可以造成小流行,故應注意呼吸道隔離。秋冬季房間也要定期開窗通風,保持室內空氣新鮮。多喝溫水,飲食以易消化、營養豐富的食物為宜。多開展戶外活動,進行身體鍛鍊,尤其加強呼吸運動鍛鍊,以改善呼吸功能。在寒冷季節或氣候驟變外出時,要及時增添衣服,以防受寒感冒。
生理學常見疾病
| 人體主要體統包括:心血管、呼吸、泌尿、生殖、神經系統、內分泌系統,認識疾病因包括以下幾個方面:疾病的病因、發病機制和病理改變,以及各系統疾病在發展嚴重時可能出現的共性病理過程。 |

