疾病簡介
大葉性肺炎大葉性肺炎,別名球菌肺炎,大葉性肺炎是由肺炎雙球菌等細菌感染引起的呈大葉性分布的肺部急性炎症。大葉性肺炎大葉性肺炎屬急性感染性呼吸系統疾病。大多為肺炎雙球菌所致,少數由葡萄球菌和肺炎桿菌等引起。主要臨床表現是起病急驟,寒顫、高熱、胸痛、咳嗽、氣急,咯吐混少量血液或呈鐵鏽色痰;嚴重者可有嗜睡、煩躁,甚至譫妄、昏迷、休克。常見誘因有受涼、勞累或淋雨受寒、淋雨、醉酒或全身麻醉手術後、鎮靜劑過量等。屬於中醫“風溫”、“肺脹”等範疇。肺炎球菌肺炎是由肺炎雙球菌引起的急性肺實質炎症。好發於青壯年男性和冬春季節。主要病理改變為肺泡的滲出性炎症和實變。臨床症狀有突然寒戰、高熱、咳嗽、胸痛、咳鐵鏽色痰。血白細胞計數增高;典型的X線表現為肺段、葉實變。病程短,及時套用青黴素等抗生素治療可獲痊癒。
病因
多種細菌均可引起大葉肺炎,但絕大多數為肺炎鏈球菌,其中以Ⅲ型致病力最強。肺炎鏈球菌為口腔及鼻咽部的正常寄生菌群,若呼吸道的排菌自淨功能及機體的抵抗力正常時,不引發肺炎。
當機體受寒、過度疲勞、醉酒、感冒、糖尿病免疫功能低下等使呼吸道防禦功能被削弱,細菌侵入肺泡通過變態反應使肺泡壁毛細血管通透性增強,漿液及纖維素滲出,富含蛋白的滲出物中細菌迅速繁殖,並通過肺泡間孔或細支氣管向鄰近肺組織蔓延,波及一個肺段或整個肺葉。大葉間的蔓延系帶菌的滲出液經葉支氣管播散所致。
大葉肺炎病變起始於局部肺泡,並迅速蔓延至一個肺段或整個大葉。臨床上起病急驟,病程大約一周,常以高熱、惡寒開始,繼而出現胸痛、咳嗽、咳鐵鏽色痰,呼吸困難,並有肺實變體徵及外周血白細胞計數增高等。
大葉性肺炎是肺炎鏈球菌感染引起的一個肺葉或一個肺段範圍內的肺泡炎。近年由於大量強有力抗生素的使用,典型的大葉性肺炎已較少見到。一般當氣候驟變,機體抵抗力下降時發病。冬春季多見,主要見於3歲以上兒童,因此時機體的免疫功能也就是防禦能力逐漸成熟,能使病變局限於一個肺葉或一個肺段而不致擴散。一般大葉性肺炎起病急,表現為突然高熱、胸痛、食欲不振、疲乏、煩躁,少數患兒可有腹痛,有時被誤診為闌尾炎。重症的患兒出現中毒性腦病症狀,驚厥、譫妄及昏迷;甚或出現感染性休克。
病理變化
大葉性肺炎大葉性肺炎其病變主要為肺泡內的纖維素性滲出性炎症。一般只累及單側肺,以下葉多見,也可先後或同時發生於兩個以上肺葉。典型的自然發展過程大致可分為四個期:
1.充血水腫期 主要見於發病後1~2天。肉眼觀,肺葉腫脹、充血,呈暗紅色,擠壓切面可見淡紅色漿液溢出。鏡下,肺泡壁毛細血管擴張充血,肺泡腔內可見漿液性滲出物,其中見少量紅細胞、嗜中性粒細胞、肺泡巨噬細胞。滲出物中可檢出肺炎鏈球菌,此期細菌可在富含蛋白質的滲出物中迅速繁殖。
2.紅色肝變期 一般為發病後的3~4天進入此期。肉眼觀,受累肺葉進一步腫大,質地變實,切面灰紅色,較粗糙。胸膜表面可有纖維素性滲出物。鏡下,肺泡壁毛細血管仍擴張充血,肺泡腔內充滿含大量紅細胞、一定量纖維素、少量嗜中性粒細胞和巨噬細胞的滲出物,纖維素可穿過肺泡間孔與相鄰肺泡中的纖維素網相連,有利於肺泡巨噬細胞吞噬細菌,防止細菌進一步擴散。
3.灰色肝變期 見於發病後的第5~6天。肉眼觀,肺葉腫脹,質實如肝,切面乾燥粗糙,由於此期肺泡壁毛細血管受壓而充血消退,肺泡腔內的紅細胞大部分溶解消失,而纖維素滲出顯著增多,故實變區呈灰白色。鏡下,肺泡腔滲出物以纖維素為主,纖維素網中見大量嗜中性粒細胞,紅細胞較少。肺泡壁毛細血管受壓而呈貧血狀態。滲出物中肺炎鏈球菌多已被消滅,故不易檢出。
4.溶解消散期 發病後1周左右,隨著機體免疫功能的逐漸增強,病原菌被巨噬細胞吞噬、溶解,嗜中性粒細胞變性、壞死,並釋放出大量蛋白溶解酶, 使滲出的纖維素逐漸溶解,肺泡腔內巨噬細胞增多。溶解物部分經氣道咳出,或 經淋巴管吸收,部分被巨噬細胞吞噬。肉眼觀,實變的肺組織質地變軟,病灶消失,漸近黃*色,擠壓切面可見少量膿樣混濁的液體溢出。病灶肺組織逐漸淨化,肺泡重新充氣,由於炎症未破壞肺泡壁結構,無組織壞死,故最終肺組織可完全恢復正常的結構和功能。
臨床表現
1.起病急驟,寒戰、高熱、胸痛、咳嗽、咳鐵鏽色痰。病變廣泛者可伴氣促和發紺。
2.部分病例有噁心、嘔吐、腹脹、腹瀉。
3.重症者可有神經精神症狀,如煩躁不安、譫妄等。亦可發生衰竭,並發感染性休克,稱休克型(或中毒性)肺炎。
4.急性病容,呼吸急促,鼻翼煽動。部分患者口唇和鼻周有皰疹。
5.充血期肺部體徵呈現局部呼吸活動度減弱,語音震顫稍增強,叩診濁音,可聽及捻發音。
實變期可有典型體徵,如患側呼吸運動減弱,語音共振、語顫增強,叩診濁音或實音,聽診病理性支氣管呼吸音;消散期叩診逐漸變為清音,支氣管呼吸音也逐漸減弱代之以濕性囉音。
病理聯繫
疾病早期,患者因毒血症而出現高熱、寒戰,外周血白細胞計數增高。因肺泡腔內有漿液性滲出物,故聽診可聞及濕性囉音,X線檢查肺紋理增粗。當肺組織發生實變時,臨床上則出現叩診呈濁音、觸覺語顫增強及支氣管呼吸音等典型實變體徵。由於肺泡腔充滿滲出物,使肺泡換氣功能下降,出現發紺等缺氧症狀及呼吸困難。以後滲出物中的紅細胞被巨噬細胞吞噬、破壞,形成含鐵血黃素混於痰中,使痰液呈鐵鏽色。隨著肺泡腔中紅細胞被大量纖維素和嗜中性粒細胞取代,痰液的鐵鏽色消失。並發纖維素性胸膜炎時可出現胸痛,聽診可聞及胸膜摩擦音。X線檢查可見段性或大葉性分布的均勻密度增高陰影。隨著病原菌被消滅,滲出物溶解、液化和清除,臨床症狀減輕,肺實變灶消失。X線表現為散在不均勻的片狀陰影。若不出現併發症,本病的自然病程為2周左右,若早期套用抗生素可縮短病程。
檢查
1.輔助檢查
(1)一般患者檢查專案以檢查框限“A”為主。
(2)重症者須與其他病原菌肺炎鑑別。檢查專案可包括檢查框限“A”、“B”或“C”。
2.實驗室檢查
血白細胞計數(10~20)×10∕L,中性粒細胞多在80%以上,並有核左移,細胞內可見中毒顆粒。年老體弱、酗酒、免疫功能低下者白細胞計數可不增高,但中性粒細胞的百分比仍高。痰直接塗片作革蘭染色及莢膜染色鏡檢,如發現典型的革蘭染色陽性、帶莢膜的雙球菌或鏈球菌,即可初步做出病原診斷。痰培養24~48小時可以確定病原體。聚合酶鏈反應及螢光標記抗體檢測可提高病原學診斷率。
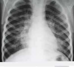
3.X線檢查
早期僅見肺紋理增粗或受累的肺段、肺葉稍模糊。隨著病情進展,肺泡內充滿炎性滲出物,表現為大片炎症浸潤陰影或實變影,在實變陰影中可見支氣管充氣征,肋膈角可有少量胸腔積液,在消散期,X線顯示炎性浸潤逐漸吸收,可有片狀區域吸收較快,呈現“假空洞”征,多數病例在起病3~4周后才完全消散。老年患者病灶消散較慢,容易出現吸收不完全而成為機化性肺炎。
診斷依據
大葉性肺炎1.本病好發於青壯年男性和冬春二季。
2.起病前多有誘因存在,約半數病例先有上呼吸道病毒感染等前驅表現。
3.突然起病寒戰、高熱。
4.咳嗽、胸痛、呼吸急促,鐵鏽色痰。重症患者可伴休克。
5.肺實變體徵。重症患者血壓常降至10.5/6.5KPa(80/50mmHg)以下。
7.痰塗片可見大量革蘭氏陽性球菌。
8.痰、血培養有肺炎球菌生長。
9.血清學檢查陽性(協同凝集試驗、對流免疫電泳檢測肺炎球菌莢膜多糖抗原)。
10.胸部X線檢查顯示段或葉性均勻一致的大片狀密度增高陰影。
11.血氣分析檢查有PaO2及PaCO2下降,原有慢性阻塞性肺疾病的患者PaCO2可上升。
鑑別診斷
1.乾酪性肺炎
有結核病史,起病緩慢,白細胞計數正常。痰中可找到結核桿菌。X線檢查肺部可有空洞形成。
2.肺癌繼發感染
年齡較大,起病緩慢,中毒症狀不明顯,可持續有痰中帶血,X線檢查及纖維支氣管鏡檢查或協助診斷。
3.急性肺膿腫
常咯大量膿痰,X線檢查有液平面的空洞形成,可資鑑別。
治療
1.抗菌素治療
青黴素、磺胺類藥、紅黴素、潔古黴素、先鋒黴素IV號。
2.對症治療
(1)高熱者一般不使用阿司匹林、撲熱息痛等退燒藥,避免因嚴重脫水引起低血容量性休克。
(2)疼痛及嚴重煩躁不安者可予以水合氯醛鎮靜治療者亦不使用古柯鹼、安定等抑制呼吸類藥物。
(3)咳嗽咳痰者套用氯化銨合劑。
(4)保持水電解質平衡。
(5)休克呼吸衰竭及時作相應處理。
(6)顱內高壓者可使用利尿劑。
3.療效評價
(1)治癒症狀、體徵消失,血白細胞總數正常,肺部陰影完全吸收。
(2)好轉症狀、體徵基本消失,血白細胞總數及分類正常,肺部陰影大部分吸收。
(3)未愈症狀、體徵無好轉。
4.應急處理
(1)臥床休息,給予高熱量、多維生素及易消化食物飲食,鼓勵病人多喝水或菜湯以補充水分。
(2)全身套用大劑量抗生素如青黴素、氨苄青黴素等。
(3)高熱者可在頭、腋下、膕窩等處放置冰袋或冷水袋,全身溫水或酒精擦浴等物理降溫處理,必要時口服解熱藥物如APC、消炎痛等。
(4)神志恍惚或昏迷者,及時清除口腔內異物,保持呼吸道通暢。
(5)休克者應平臥,頭稍低,並速送醫院搶救。
預防
1.注意預防上呼吸道感染,加強耐寒鍛鍊。
2.避免淋雨、受寒、醉酒、過勞等誘因。
3.積極治療原發病,如慢性心肺疾病、慢性肝炎、糖尿病和口腔疾病等,可以預防大葉性肺炎。
求醫網大葉性肺炎專題
大葉性肺炎求醫網(www.qiuyi.cn)創立於2000年,是北京時代網創科技發展有限公司核心平台,我們力求打造中國最專業的醫療網站。求醫網正在努力為患者提供方便、快捷和專業的線上諮詢服務,同時建立海量信息庫為患者提供最全面的醫療信息資訊…… 詳細 >>
本詞條全部內容由詞條認領機構及智願者共同編輯,互動百科權威評審。
生理學常見疾病
| 人體主要體統包括:心血管、呼吸、泌尿、生殖、神經系統、內分泌系統,認識疾病因包括以下幾個方面:疾病的病因、發病機制和病理改變,以及各系統疾病在發展嚴重時可能出現的共性病理過程。 |

