疾病描述
休克性肺炎病理病機
其發病機理至今尚未完全闡明,目前已普遍認為由於細菌毒素直接或通過神經作用於血管引起周圍血管阻力增加,毛細血管前括約肌痙攣,微循環處於停滯狀態,形成短路,發生嚴重的血循環障礙導致生命重要器官(腦、心、腎、肝等)的血流灌注不足,而生命重要器官細胞本身利用氧能力衰竭是導致休克的主要原因。毒血症對心臟損害可使心排血量降低,又因在嚴重感染時腎上腺皮體內分泌活動加強,最終使其機能衰竭是加重休克不可忽視的又一重要因素。
臨床表現
臨床主要有肺部感染和休克的表現。多數患者有咳嗽、咳痰,全身不適;肺部體徵多不典型。休克常突然發生,表現為:血壓下降、面色蒼白、四肢厥冷、冷汗淋漓、脈搏細速、口唇及肢體皮膚紫紺、尿少或無尿、表情淡漠、意識模糊不清、煩躁不安、或嗜睡甚至昏迷。如無其他原因解釋而突然休克的患者,尤其是青壯年,應考慮本病的可能。診斷檢查
病史症狀
除有呼吸系統症狀外,伴有低血壓、外周循環衰竭、神志改變、尿閉等症狀。體檢發現
有低血壓和神志恍惚或淡漠、面色蒼白、四肢厥冷、口唇或指端發紺、脈搏細速、冷汗,血壓降低等外周循環衰竭體徵;肺部有肺炎相應的體徵。輔助檢查
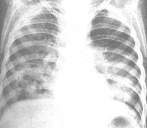
(一)X線胸片,肺部有炎性浸潤陰影(應避免搬動宜床旁拍片)。(二)病原學檢查:應儘快做痰塗片和培養,明確致病菌。
(三)血白細胞計數和中性粒細胞多增高,可有核左移。
(四)血氣分析PaO2,PH值,標準碳酸氫鹽(SB)實際碳酸氫鹽(AB)可降低,血清乳酸可增高呈代謝性酸中毒;重症可有尿常規和肝腎功能的損害。
治療措施
尋找病原,控制感染,儘早選用聯合抗菌素,開始劑量要大,有休克者選有半衰期短、對腎臟損害較輕的抗菌素,一旦腎功有改變應減少劑量,延長給藥時間。一般治療
平臥、吸氧、注意保曖。抗菌治療
應以早期、廣譜和有效為原則.病原菌未確定前,可選用派拉西林(氧哌嗪青黴素)、替門汀(替卡西林加克拉維酸鉀);頭孢呋辛、頭孢噻肟、頭孢哌酮,環丙沙星、氧氟沙星等進行治療(參見細菌性肺炎)。獲得病原菌培養和藥敏試驗結果後再調整抗菌藥物。抗休克治療
無腎功能不全者,根據患者的心率、血壓、和尿量可快速輸液800-1000ml待血壓回升,尿量>30ml/h後減慢輸液速度,24小時補液量可達3000-4000ml,液體選擇以晶體液(生理鹽水、5%糖鹽水、平衡鹽)為主,必要時可適當補充膠體溶液如白蛋白、全血等。常用者為低分子左鏇糖酸24小時最多不超過100ml。在補充血容量基礎上酌情套用血管活性藥物,多巴胺、多巴酚丁胺、間羥胺或東莨菪鹼等。糾正酸中毒
補鹼量按1mmol=0.3×(正常-HCO3-測得-HCO3)×體重(kg)計算(1mmol=2.1ml4%碳酸氫鈉)。先輸入計算量的1/3,再根據病情和血氣值補充。也可用11.2%的乳酸鈉和3.63%的三羥甲基氨甲烷糾正酸中毒。腎上腺皮質激素
氫化考的松200~600mg/d或地塞米松10~30mg/d,分次加入液體中靜滴,療程3~5天。同時加用雷尼替丁150mg,1~2次/d,預防應激性潰瘍。
抗休克糾正心衰
儘早補充血容量,以右鏇糖酐為首選擴容劑。24小時內可給1000毫升靜滴以消除紅細胞凝集,減低血液黏度,改善微循環,同時給4%-5%碳酸氫鈉,此藥除糾正酸中毒外,亦有擴容作用。選用調節血管收縮功能藥物。擴容後血壓仍不回升者,應考慮調節心血管藥物,可選用羥酪胺(多巴胺),苄胺唑林,異丙腎上腺素。抗膽鹼藥物,阿托品,654-2。有心衰及肺水腫時可給快速強心藥物西地蘭、毒毛鏇花子苷靜注。早期較輕患者可用血管收縮藥物如間羥胺,多巴胺去甲腎上腺素,苯腎上腺素等。如血管收縮藥物療效不佳或病情有惡化,則宜及早改用擴張血管藥物。(在抗休克治療中有條件可測中心靜脈壓以協助估計心功能及血容量變化。)腎上腺皮質激素的套用,靜滴氫化可的松100-300毫克或地塞米松10-20毫克。吸氧改善氣體交換,充分排痰,保持呼吸道通暢。補充能量合劑,ATp、輔酶A。治療休克過程中注意水和電解質平衡。

