病因
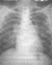
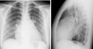
X光臨床表現
風濕性心臟病1、二尖瓣關閉不全
風濕性二尖瓣關閉不全患者,常僅有輕度症狀,當有風濕活動、感染性心內膜炎或腱索斷裂時症狀加重,75%的二尖瓣關閉不全患者發生房顫,房顫可增加左心房的壓力。左心室容量過大是引起二尖瓣關閉不全,患者心悸氣短的另一重要原因。病變的後期可有肺水腫、咯血和右心衰竭。
2、主動脈瓣狹窄
主動脈瓣狹窄患者在代償期可無症狀,瓣口重度狹窄的病人大多有倦怠、呼吸困難(勞力性或陣發性)、心絞痛、眩暈或暈厥,甚至突然死亡。
(1)心絞痛20%~60%的病人可發生心絞痛,且疼痛隨著年齡和瓣口嚴重程度的增加而增加。心絞痛的出現表明主動脈瓣口狹窄已相當嚴重。心絞痛可發生於勞累後,也可發生在靜息時,表明與勞累和體力活動不一定有關。
(2)眩暈或暈厥約30%的病人有眩暈或暈厥發生,其持續時間可短至1分鐘長達半小時以上。部分病人伴有阿-斯綜合徵或心律失常。眩暈或暈厥常發生於勞動後或身體向前彎曲時,有時在靜息狀態,突然體位改變或舌下含服硝酸甘油治療心絞痛時誘發。
(3)呼吸困難勞力性呼吸困難往往是心功能不全的表現,常伴有疲乏無力與靜脈壓陣發性升高。隨著心力衰竭的加重,可出現夜間陣發性呼吸困難、端坐呼吸、咳粉紅色泡沫痰。
(4)猝死20%~50%的病例可發生猝死,多數病例猝死前可有反覆心絞痛或暈厥發作,但亦可為首發症狀。其發生的原因可能與嚴重的、致命的心律失常,如心室顫動等有關。
(5)多汗和心悸此類患者出汗特別多,由於心肌收縮增強和心律失常,患者常感到心悸,多汗常在心悸後出現,可能與自主神經功能紊亂,交感神經張力增高有關。
3、三尖瓣狹窄
三尖瓣狹窄的臨床表現可因同時存在的二尖瓣狹窄而不甚顯著或與二尖瓣狹窄的症狀混淆。患者較易疲乏,常訴右上腹不適或脹痛及周身水腫。頸靜脈的明顯搏動常使患者頸部有一種撲動性不適感。此外,由於胃腸道的淤血,患者常訴食欲不振、噁心、嘔吐或噯氣等。少數患者還可發生暈厥,周期性發紺或胸骨後不適,可有呼吸困難。
4、三尖瓣關閉不全
無肺動脈高壓的三尖瓣關閉不全的症狀相對較輕。肺動脈高壓及三尖瓣關閉不全並存時,心輸出量降低,右心衰竭症狀明顯。可表現為乏力,全身水腫,腹腔積液及肝淤血引起的右季肋區和右上腹脹痛。有頸部或腹部靜脈搏動感,特別在體力勞動或情緒激動時更為明顯。有時可有眼球搏動,部分患者可有輕度黃疸。許多三尖瓣關閉不全患者中,病情逐漸發展時,由並發存在的二尖瓣病變所引起的肺瘀血可減輕,但虛弱、乏力及其他心輸出量下降症狀卻變得明顯。
5、聯合瓣膜病變
聯合瓣膜病變有以下幾種組合形式:同一病因累及2個或2個以上瓣膜,最常見為風濕引起的二尖瓣和主動脈瓣或其他瓣膜病變;其他為感染性心內膜炎可同時侵犯二尖瓣、主動脈瓣、三尖瓣或肺動脈瓣。
病變源於1個瓣膜,隨著病情發展可影響或累及另一個瓣膜,導致相對性狹窄或關閉不全。如風濕性二尖瓣狹窄可引起肺動脈高壓,肺動脈高壓可使心室壓力負荷過重,引起右心室擴大而導致三尖瓣關閉不全。2種或2種以上病因累及不同瓣膜,如風濕性二尖瓣病並發感染性主動脈瓣炎。聯合瓣膜病變對心功能能的影響是綜合性的。多的瓣膜病變比單個瓣膜病預後更差。手術治療效果往往較單純性瓣膜病差。
檢查
風濕性心臟病根據所侵犯的瓣膜的不同,查體時出現相應的體徵,晚期則表現為心功能失代償或併發症的體徵。
(1)心臟普遍增大,心動過速與體溫不成比例,心尖部第一心音減弱,舒張期奔馬律。心尖部Ⅱ級以上高調,收縮全期雜音,並可有柔和、短促的低調舒張中期雜音;
(2)雙肺底可出現細濕囉音等心力衰竭體徵;
(3)部分有心包摩擦音,可同時伴有胸膜摩擦音;
(4)關節紅、腫脹,活動受限;
(5)少數患者在軀幹或四肢的內側皮膚可見淡紅色環形紅斑,中央蒼白;在大關節伸側,尤其是肘、膝及腕關節,枕骨區或胸、腰椎棘突等部位可見2~5mm的皮下小結,無壓痛,不與皮膚粘連,可移動;
(6)兒童可見手足無意識不協調的動作、擠眉弄眼等舞蹈症表現;
(7)心外的風濕表現:可有胸膜炎、肺炎、腹膜炎、腎炎、脈管炎、腦病等表現。
2、輔助檢查
(1)都卜勒超聲心動圖作為一種無創方法,已經是評價各瓣膜病變的主要手段之一,不僅可以測定心腔大小,心室功能,也可以測定跨瓣膜壓差、瓣膜開口面積、肺動脈壓力等指標。
(2)X線檢查可以了解心臟大小和肺部的改變。
(3)心電圖可明確患者的心律,有無心肌缺血改變,是否合併有心房顫動等。
(4)心血管造影對部分年齡大於45歲的病人,心電圖提示有心肌缺血改變者,心血管造影檢查者可以明確有無合併冠狀動脈病變。
診斷
根據病因、臨床表現及影像學檢查即可做出診斷。治療
腸溶阿斯匹林1、無症狀期的風濕性心臟病的治療
治療原則主要是保持和增強心臟的代償功能,一方面應避免心臟過度負荷,如重體力勞動、劇烈運動等,另一方面亦需動靜結合,適當做一些力所能及的活動和鍛鍊,增強體質,提高心臟的儲備能力。適當的體力活動與休息,限制鈉鹽的攝入量及呼吸道感染的預防和治療。注意預防風濕熱與感染性心內膜炎。合併心衰時,使用洋地黃製劑,利尿劑和血管擴張劑。
2、風濕性心臟病的手術治療
對慢性風濕性心瓣膜病而無症狀者,一般不需要手術;有症狀且符合手術適應證者,可選擇作二尖瓣閉式擴張術或人工瓣膜置換術。
手術適應證:無明顯症狀的心功能Ⅰ級患者不需手術治療。心功能Ⅱ、Ⅲ級患者應行手術治療。心功能Ⅳ級者應先行強心、利尿等治療,待心功能改善後再行手術。伴有心房纖顫、肺動脈高壓、體循環栓塞及功能性三尖瓣關閉不全者亦應手術,但手術危險性增大。有風濕活動或細菌性心內膜炎者應在風濕活動及心內膜炎完全控制後6個月再行手術。
3、風濕性心臟病併發症的治療
(1)心功能不全的治療。
(2)急性肺水腫的搶救。
(3)心房顫動的治療。
預防
1、防治鏈球菌感染防止因呼吸道感染引起風濕活動、加重病情。
2、勞逸結合
病人症狀不明顯時可適當做些輕體力活,適當的運動和體力勞動可增加心臟的代償能力,但不要參加重體力勞動,以免增加心臟負擔。病人伴有心功能不全或風濕活動時應絕對臥床休息,一切生活均應由家人協助。對病人態度要和藹、避免不良刺激。不少風濕性心臟病患者精神緊張,情緒激動時,容易突然發生心動過速,增加心臟負擔,造成心功能不全。
3、合理飲食
心功能不全者應控制水分的攝入,飲食中適量限制鈉鹽。每日以10克以下為宜,切忌食用鹽醃製品。減少高脂肪飲食;緩進飲料;服用利尿劑者應吃些水果如香蕉、桔子等;戒刺激性飲食和興奮性藥物;節制性生活。
4、不宜作劇烈活動
應定期門診隨訪,房顫的病人不宜作劇烈活動。在適當時期要考慮行外科手術治療,何時進行,應由醫生根據具體情況定。
5、如需拔牙或作其他小手術
術前應採用抗生素預防感染。
生理學常見疾病
| 人體主要體統包括:心血管、呼吸、泌尿、生殖、神經系統、內分泌系統,認識疾病因包括以下幾個方面:疾病的病因、發病機制和病理改變,以及各系統疾病在發展嚴重時可能出現的共性病理過程。 |

