先天性心臟血管病病因
病因 21三體綜合徵(一)遺傳因素已有許多證據表明遺傳因素的影響。患先心病的母親和父親其子女的先心病患病率分別為3%~16%和1%~3%遠高於人群的患病率。有些先心病有顯著的男女性別間發病差異。先心病中5%伴有染色體異常,3%伴有單基因突變。許多遺傳性疾病伴有先心病,如染色體異常病中21三體綜合徵(先天愚型、Down綜合徵等)、18三體綜合徵(Edward綜合徵等)、13三體綜合徵(Patau綜合徵等)等三體畸形病伴有先心病者分別占40%~45%、50%~100%和80%~90%;5染色體短臂缺失的貓叫綜合徵和性染色體異常的XO綜合徵(Turner綜合徵)分別有20%和35%伴先心病。單基因突變中常染色體顯性遺傳病的Holt-Oram綜合徵、Noonan綜合徵、Leop-ard綜合徵伴有先心者分別占100%、50%和50%;常染色體隱性遺傳病的Ellis-VanCreveld綜合徵和X連鎖遺傳病的Gorlin-Goltz綜合徵分別有50%和10%伴先心病。
(二)子宮內環境因素有引起先心病危險的因素包括:
病因 巨細胞病毒2.藥物妊娠早期用抗驚厥藥尤其是苯妥英和三甲雙酮,其他藥物如鋰鹽、黃體酮、華法林和苯丙胺等也可致心血管畸形。
3.高原環境高原地區氧分壓低,出生嬰兒患動脈導管未閉和心房間隔缺損者較多。
4.早產早產兒尤其體重在2500g以下者患心室間隔缺損和動脈導管未閉較多。前者與心室間隔在出生前無足夠時間完成發育有關;後者與早產兒血管收縮反應在出生後還不夠強,不足以使動脈導管關閉有關。
5.其他因素高齡(35歲以上)、營養不良、患糖尿病、苯酮尿病、高鈣血症的母親,羊膜病變、胎兒受壓、妊娠早期先兆流產,放射線的使用等都有致先心病的可能。
分型
傳統是根據病人有否紫紺,將先心病粗分為無紫紺型和紫紺型兩大類。通過血流動力學檢查,用病理解剖和病理生理相結合的方法來分類則比較完善,雖然一個病人同時有兩種或以上畸形者也非少見。
動脈導管未閉1.發生於右心的畸形有單純肺動脈口狹窄、肺動脈瓣關閉不全、原發性肺動脈擴張、其它肺動脈畸形(肺動脈缺如、左肺動脈異常起源於右肺動脈等)、原發性肺動脈高壓、雙側上腔靜脈(左側上腔靜脈永存)、下腔靜脈引流入奇靜脈系統等。
2.發生於左心的畸形有主動脈口狹窄、主動脈瓣關閉不全、二葉式主動脈瓣、主動脈縮窄、二尖瓣狹窄、二尖瓣關閉不全、三房心、主動脈弓及其分支的畸形等。
3.其他還有右位心、異位心和房室傳導阻滯等,均可合併其它先心病。
(二)有左至右分流類左右兩側血液循環途徑之間有異常的溝通,使動脈血從左側心腔的不同部位分流入靜脈血中,無紫紺。包括:
1.分流發生在心房水平有心房間隔缺損、部分性肺靜脈畸形引流等。
2.分流發生在心室水平有心室間隔缺損(包括左心室-右心房溝通)。
3.分流發生在大動脈水平有動脈導管未閉、主動脈-肺動脈間隔缺損等。
4.分流發生在主動脈及其分支與右心之間有主動脈竇動脈瘤破裂入右心、冠狀動脈右心室瘺、左冠狀動脈異常起源於肺動脈等。
5.分流發生在多處水平有心內膜墊缺損、心房心室聯合缺損、心室間隔缺損伴動脈導管未閉等。
艾森曼格綜合徵1.肺血流量減少和肺動脈壓減低者有法樂綜合徵、大血管錯位伴肺動脈口狹窄、右心室雙出口伴肺動脈口狹窄、單心室伴肺動脈口狹窄、主動脈乾永存而肺動脈細小、三尖瓣閉鎖、三尖瓣下移畸形伴心房間隔缺損、肺動脈瓣閉鎖、腔靜脈引流至左心房、肺動靜脈瘺等。
2.肺血流量增加者大血管錯位、右心室雙出口伴心室間隔缺損、主動脈乾永存而肺動脈粗大、完全性肺靜脈畸形引流、單心室伴低肺動脈阻力、單心房、三尖瓣閉鎖伴室間隔大缺損、心房間隔缺損伴腔靜脈引流至左心房等。
3.肺動脈壓增高者有艾森曼格綜合徵、右心室雙出口伴肺動脈阻力增高、主動脈瓣閉鎖、二尖瓣閉鎖、主動脈弓離斷、大血管錯位伴肺動脈高壓、單心室伴肺動脈阻力增高、完全性肺靜脈畸形引流伴肺動脈阻力增高等。
臨床表現
臨床表現 紫紺(一)症狀本病的症狀隨畸形的類別而不同,並隨畸形的嚴重度而輕重不一。常見的症狀有心悸、氣急、咳嗽、咯血、胸痛、容易疲勞、頭痛、頭暈、昏厥、紫紺、下蹲習慣和浮腫等,嬰兒病人還有吞咽困難、餵養不良、體重不增、嘔吐、易出汗、易患呼吸道感染等。其中呼吸道方面的症狀與肺充血、血液氧含量降低、氣管受壓或發生心力衰竭等有關。胸痛、容易疲勞和中樞神經症狀則與冠狀動脈、全身和腦部血和氧供應不足有關。紫紺與下蹲習慣常見於有右至左分流的病人,為動脈血氧飽和度低全身缺氧所致。水腫常在充血性心力衰竭中出現。消化系統的症狀主要由於食管受壓和充血性心力衰竭引起消化系統充血所致。增大的心臟或大血管壓迫其他器官(如喉返神經等)還可引起相應的症狀(如聲音嘶啞等)。
此外,本病常發生感染性心內膜炎並引起相應症狀。偶爾還有發生嚴重心律失常、血栓栓塞表現和突然死亡的。導致肺部血供不足的畸形,易於感染到肺結核。
(二)體徵多數的先心病有特徵性的心臟或血管雜音、異常心音和心音異常,這些雜音多數伴有震顫,其性質、主要聽診部位和分布範圍隨畸形的不同而各異。其它常見的體徵有發育不良、紫紺、杵狀指(趾)、胸廓畸形、心臟濁音界增大、心前區抬舉性搏動、血壓和脈搏變化等。其中紫紺、杵狀指(趾)見於有右至左分流的病人。心臟增大是引起本病病人胸廓畸形的主要原因,胸廓畸形以心前區向前隆突為主,也有胸脊柱後突或側突的,血壓可增高(如主動脈縮窄時上肢血壓增高)、降低(如嚴重主動脈口狹窄)或脈壓增寬(如動脈導管未閉等),引起相應的脈搏觸診改變。先心病病人全身血供較差,因而多數發育不良;但病變較輕的對發育可無影響,有些病類(如主動脈縮窄)病人身材反較高大。
診斷
先天性心臟血管病 彩超表現在病史詢問中,要注意心臟病起病年齡與何時被發現心臟有特徵性雜音,起病與被發現心臟有特徵性雜音的年齡愈小則先心病的可能性愈大。家庭史、產前母親健康狀況和病孩出生時的情況,對診斷都有參考價值。此外,對有感染性心內膜炎史的病人,要注意檢查有無先心病的存在。
症狀中咯血常反映大量左至右分流導致的肺充血或主動脈和左心病變導致的左心衰竭,故很有診斷價值;但也要注意到肺缺血類型的先心病(如肺動脈口狹窄、法樂綜合徵等),在肺血管和支氣管血管間側支循環建立後也可發生咯血。紫紺出現的年齡對鑑別幾種右至左分流的先心病很有幫助。法樂四聯症、動脈乾永存、完全性大血管錯位等,自幼出現紫紺;法樂三聯症、艾森曼格綜合徵等,則紫紺出現晚。單純發生右心衰竭而無前驅左心衰竭表現者常見於先心病的右心瓣膜病變類,或有肺動脈高壓者中,這種情況在其它心臟病(除肺心病外)是少見的。
體徵中最有診斷價值的是不同類別的先心病本身所具有的特殊雜音和其它心音改變。如在幼兒期即已發現這一雜音,則先心病的可能性極大。紫紺而伴有杵狀指(趾)的,提示紫紺已經存在多年;心臟增大而胸部局部隆起,常提示病人自幼即有心臟增大,先心病的可能性也很大。
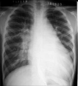
先天性心臟血管病 X線表現心臟導管檢查以及與之相結合進行的選擇性指示劑稀釋曲線測定和選擇性心血管造影,通過各心腔內壓力的測定和血標本氧含量的分析,向各心腔注入指示劑觀察其稀釋情況,注射造影劑觀察造影劑的流動和心血管腔的充盈顯影情況,可以比較直接地了解本病病人的病理生理和病理解剖改變,有確診和鑑別不同類型先心病的價值。
M型超聲心動圖和用扇形掃描法特別經食管記錄到的二維超聲心動圖,可探查到心臟的解剖和生理活動的影像,足以反映不同類型的先心病的解剖病變,是較好的無創性診斷方法,其中都卜勒加二維超聲、都卜勒彩色血流顯像和動態三維顯像診斷價值最大。
電腦化的磁共振和X線斷層顯像,可對心臟進行從心底部到心尖部多層次的橫切面和矢面顯像,有助於了解複雜的先心病的解剖和生理變化,其中磁共振斷層顯像對軟組織的顯像較X線斷層更佳。
治療
手術治療未施行手術、暫不宜施行手術或病變較輕而不考慮施行手術的病人,宜根據病情避免過度勞累,預防感染,注意個人衛生,以免引起心力衰竭、感染性心內膜炎或血栓栓塞等。如果發生,應及早予以內科治療。凡本病病人在施行任何其他手術的前後,包括拔牙、扁桃體切除等,都要套用抗生素以預防感染性心內膜炎。
