肺動靜脈瘺
肺動靜脈瘺為先天性肺血管畸形。血管擴大紆曲或形成海綿狀血管瘤,肺動脈血液不經過肺泡直接流入肺靜脈,肺動脈與靜脈直接相通形成短路。1897年首先由Churton發現描述,稱為多發性肺動脈瘤。1939年Smith套用心血管造影證實本病。文獻命名較多,如肺動靜脈瘤,肺血管擴張症(haemagiectasis of the lung),毛細血管擴張症伴肺動脈瘤(haemonreac telangiectasia with pulmonary artery aneurysm)。另外,本病有家族性,與遺傳因素有關,如遺傳性出血性毛細血管擴張症(Rendu-Osler-Weber病)。 --------------------------------------------------------------------------------
肺動靜脈瘺這種畸形是由各種不同大小和不等數目的肺動脈和靜脈直接連線。常見者動脈1支、靜脈2支。二者之間不存在毛細血管床。病變血管壁肌層發育不良,缺乏彈力纖維,又因肺動脈壓力促使病變血管進行性擴張。肺動靜脈瘤是一種肺動靜脈分支直接構通類型,表現為血管扭曲、擴張,動脈壁薄,靜脈壁厚,瘤呈囊樣擴大,瘤同分隔,可見血栓。病變可位於肺的任何部位,瘤壁增厚,但某區內皮層減少,變性或鈣化,為導致破裂的原因。另有右肺動脈與左房直接交通,為少見特殊類型。
病變分布於一側或二側肺,單個或多個,大小可在1mm或累及全肺,常見右側和二側下葉的胸膜下區及右肺中葉。本病約6%伴有Rendu-Osler-Weber綜合徵(多發性動靜脈瘺,支氣管擴張或其他畸形,右肺下葉缺如和先天性心臟病)。
主要病理
生理是靜脈血從肺動脈分流入肺動脈,其分流量可達18~89%,以致動脈血氧飽和度下降。一般無通氣障礙,PCO2正常。多數病例因低氧血症而致紅細胞增多症,又因肺、體循環直接交通,易致細菌感染、腦膿腫等併發症輔助檢查
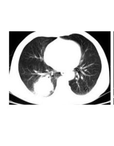
X線表現心影大小正常,但分流量大的肺動靜脈瘺則有心臟擴大。約50%病例在胸片上顯示單個或多個腫塊狀、球狀、結節狀、斑點狀陰影,大小不一,位於1個或多個肺野。病變血管呈繩索樣不透光陰影,從瘺處向肺門延伸,鈣化少見。肋骨侵蝕可因肋間動脈擴大所致,但不常見。透視時病人做Valsalva動作。引起胸內壓增高時,則見動靜脈瘤縮小。定位性診斷依靠心血管造影。
心導管檢查和心血管造影
動脈血氧飽和度下降。心搏出量和心腔壓力正常也無心內分流存在。顏料稀釋試驗可用於測試分流量和部位,注意避免導管進入瘺內,警惕破裂危險。在肺動脈注射造影劑可顯示動靜脈瘺的部位和大小,可見擴張、伸長、扭曲的血管。
鑑別診斷
(1)肺內轉移瘤肺動靜脈瘺尤其是多發性的肺動靜脈瘺,其胸部CT顯示肺部有多處的占位病變,極易誤診為肺內轉移瘤,應根據其病歷還有血氣分析等資料進行辨別,尤其要分清楚兩者在CT上的區別。
(2)肺結核
PAVF與其他類型肺結核的主要鑑別要點有:
(1)肺結核多有發熱、納差、乏力、盜汗等中毒症狀,而PAVF則少見;
(2)活動性肺結核病人血紅細胞沉降率及白細胞多輕至中度升高,而PAVF一般無明顯變化;
(3)肺結核病人PPD試驗多強陽性,而PAVF一般陰性;
(4)肺結核病人在X線胸片上的病灶多位於肺上葉尖、後段或下葉背段,而PAVF常位於兩下肺葉及中葉近胸膜髒層;
(5)肺結核病人痰檢抗酸酐菌多陽性,而PAVF病人均為陰性。另外,給予抗結核治療後,肺結核病人的症狀很快好轉,複查X線胸片(或胸部CT)亦可見病灶有吸收,但PAVF病人的症狀及肺部病灶則無明顯變化。
(3)支氣管擴張
支氣管擴張及肺動靜脈瘺在臨床症狀上有許多相同之處,如反覆地咳嗽、咯血,因此臨床診斷時應對兩者進行鑑別。一般來說,如果有以下幾個特點時,都應考慮肺動靜脈瘺:
①胸片上可見一個或多個圓形或卵圓形密度均勻的腫塊,邊界清楚,可有分葉徵象,有時在腫塊的近心端可見兩個條索狀陰影與肺門相連,這就是肺動靜脈瘺的流入和流出血管;
②透視下可見肺門血管搏動,作Valsalva操作法(緊閉聲門的持續而用力的呼氣)由予胸內壓升高,流入胸腔的血液減少,可見圓形陰影顯著縮小;
③患者可有紫紺,杵狀指(趾)及紅細胞增多征,確診可行肺動脈造影,可以看到瘺的大小,部位及血管數等特徵。
併發症
(1)肺不張主要因術後咳嗽無力,支氣管內分泌物及小的凝血塊排出不暢,引起支氣管堵塞,患者感覺氣短或憋氣,聽診肺部局部呼吸音弱或消失,氣管可偏向患側,床旁胸部X線透視可予以證實。術後應經常鼓勵和協助患者作有效咳嗽,咳出堵塞支氣管的帶血稠痰,痰液不易咳出,可將沐舒坦15mg加蒸餾水30ml霧化吸入,每日2次。如不成功可經鼻孔插入橡皮導管,通過聲門到達氣管,輕輕來回移動,以刺激氣管黏膜,引起患者反射性咳嗽,將痰咳出。如再不成功,則需進行床旁纖維支氣管鏡檢查及吸引,一般能使肺復張。
(2)膿胸
原因:(1)術中操作不慎使癌瘤、膿腫或結核空洞破潰,污染了胸腔,如在關胸前未徹底沖洗胸腔或患者體質極弱,抵抗力低,胸膜腔可以感染成膿胸;(2)肺切除後余肺表面細小支氣管瘺,如肺段切除後的粗糙面及楔形切除術後的肺縫合邊緣長期不封閉癒合,則易感染胸膜腔形成膿胸。尤其術後呼吸功能不全,需用呼吸機作持續輔助呼吸時,由於肺內有一定的壓力,瘺口更不易癒合,久之易形成膿胸。高熱者一旦形成膿胸,應及早行閉式引流或胸腔穿刺抽膿以使肺復張及閉合膿腔。(3)血胸
原因:(1)胸膜粘連離斷處出血或溢血;(2)胸壁血管損傷後出血,因來自體循環壓力較高不易止血;(3)肺部大血管損傷,多因結紮線脫落,出血迅猛,常來不及搶救。再次開胸止血的適應證:(1)術後胸腔閉式引流管的血量>300ml/h,或5h內平均>200ml/h;(2)引流出的血液很快凝固,表明胸內有較大的活動性出血;(3)床旁X線胸片患側有大片的密度增高影,余肺受壓,縱隔向健側移位,患者感到呼吸困難,表明胸內有較多的凝血塊,需開胸清除;(4)患者有失血性休克,雖輸全血及採取抗休克措施,但失血症狀無改善。出現以上任何一項情況,應立即配合醫生進行救治,並迅速建立靜脈通道,輸注止血藥物,密切觀察血壓、脈搏、呼吸,做好搶救準備,同時備好足量全血,爭取及早開胸探查、止血。
(4)支氣管胸膜瘺
一般發生在術後7~10d,患者刺激性咳嗽明顯,痰中常帶陳舊血,出現患側液氣胸。胸膜穿刺所得為感染性內容與咳出的痰類似。穿刺後向胸腔內注入2ml美藍液,如果咳出藍染的痰液,則進一步證實為瘺。一旦發生支氣管瘺,很快感染胸腔形成膿胸,需及時行胸腔閉式引流術及全身給以廣譜抗生素治療,以控制感染。 (5)呼吸功能不全
主要發生在術前肺功能較差的患者。由於癌症需作肺切除術者,術前應有足夠的估計和準備。開胸手術完畢,即在手術台上作好氣管切開,返回病房即開始用呼吸機輔助呼吸,一般5~7d後即可脫離呼吸機。如果術前肺功能較好,術後因肺分泌物多,咳痰不暢,或肺部出現炎症而引起呼吸功能不全,應及早在床旁行氣管切開,連線呼吸機作輔助呼吸。
(6)循環系統意外
肺切除術後由於循環系統意外而死亡者約占切除總例數的015%,多因急性心肌梗死或肺動脈栓塞死亡。這種意外並不與肺切除範圍成正比,且多發生在肺葉或段切除術後,有的患者術前無心臟病史,患者家屬及醫生思想上毫無準備,多在術後3~5d無任何預兆的情況下突然發生,很少有能搶救而復生者。2、其它常見的嚴重併發症還有肺動靜脈破裂、胸腔出血、細菌性心內膜炎、腦膿腫、栓塞等。
肺動靜脈瘺有時會發生咯血、胸痛其它症狀。咯血是由於毛細血管擴張性病變位於支氣管黏膜的病損或肺動靜脈瘺的破裂而引起。胸痛可因病變破裂出血位於肺臟層胸膜下或血胸所致。約25%病例出現神經系統症狀,如抽搐、語言障礙、復視、暫時性麻木等,這可因紅細胞增多、低氧血症、血管栓塞、腦膿腫和大腦毛細血管擴張病變出血而引起。在家族性遺傳有關的出血性毛細血管擴張症者常有出血症狀,如鼻衄、咯血、血尿,陰道和消化道出血。因瘺的存在也可並發細菌性心內膜炎。在病變區細心聽診,約50%病例可聽到收縮期雜音或雙期連續性雜音,其特徵為雜音隨吸氣增強,呼氣減弱。其他還有杵狀指趾、紅細胞增多、紅細胞壓積增高、動脈血氧飽和度下降。

