病理概述
腦動靜脈畸形主要是腦血管發育障礙。胚胎第3周時,原始腦血管網開始分化為動脈和靜脈及動靜脈之間的毛細血管網。原始動靜脈並行排列,緊密鄰接,如果此時腦血管正常發育受阻,動靜脈之間形成直接溝通,其間無毛細血管網相隔,即形成動靜脈畸形。有人發現動靜脈畸形中的動脈業已發育成熟,而靜脈內皮細胞在形態上停留於胚胎時期的水平,認為動靜脈畸形是靜脈發育障礙所致。
動靜脈畸形是由一團動脈、靜脈及動脈化的靜脈(動靜脈瘺)樣血管組成,動脈直接與靜脈交通,其間無毛細血管。
腦動靜脈畸形由於畸形血管的盜血,使其周圍腦組織供血減少,因而出現盜血症狀。盜血是由於動靜脈瘺造成的,在腦血管造影上極易顯示。
腦動靜脈畸形是一種先天性疾患。動靜脈畸形的出血與其體積的大小及其引流靜脈的數目、狀態有關,即中小型(<4cm)的容易出血;引流靜脈少、狹窄或缺乏正常靜脈引流者容易發生出血。至於與年齡、性別、供血動脈數目、部位似無明顯的關係。大的腦動靜脈畸形是由血管組分隔構成,各組皆有自己的供血動脈及引流靜脈。各血管組之間並不交通。
症狀體徵
視網膜下腔出血1、病史青年人有自發性蛛網膜下腔出血或腦內出血史,平時有頭痛、癲癇發作和一側肢體無力時,更應懷疑本病,常為突然發病,並有誘因。
2、體檢出血者應檢查有無腦膜刺激征,有無顱內雜音和由於盜血引起的神經功能缺失體徵。
3、腰椎穿刺測量顱內壓;了解腦脊液是否血性並作紅細胞計數。
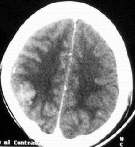
4、頭顱CT可見局部混合密度區,增強後可見不規則增強區,並可見迂曲擴張血管,還可以發現血腫和腦萎縮局部鈣化等繼發性改變。
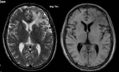
5、頭顱MRI或MRA可見病變區無信號迂曲成團血管影,MRA可見供血動脈、畸形血管團及引流靜脈。
6、經顱超聲檢查(TCD)供血區域大動脈血流速度增快,搏動指數降低。
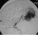
7、選擇性全腦血管造影(DSA)可了解AVM的部位、供血動脈、畸形血管團大小以及引流靜脈,了解是否伴有動脈瘤、靜脈瘤、動靜脈瘺及腦盜血情況。必要時加做頸外動脈造影,以了解是否有頸外動脈參與供血。
8、鑑別診斷需與海綿狀血管瘤,癲癎,血供豐富的膠質瘤,靜脈性血管畸形及煙霧病鑑別。
主要依靠特殊檢查,尤其是腦血管造影檢查。
①腦電圖。無特異價值。也可表現為局限性不正常,也可表現為病變對側半球或整個大腦不正常,這主要是盜血現象所致。波形多為慢波(δ或θ波)。可有棘波。
②顱骨平片。1/4病例可見線狀、環狀或不規則的鈣化。1/10病例可見顱骨血管溝擴大,有時也見棘孔或破裂孔擴大。
腦動靜脈畸形④電子計算機X射線斷層成像(CT),在增強的CT檢查時80%病例可見畸形病變。CT不能代替血管造影,但可發現腦的併發症如腦萎縮(盜血所致)、血腫、梗塞和腦積水等。
⑤磁共振成像(MRI)。由於流空效應,大多數動靜脈畸形呈無信號的紆曲成團的血管影,在MR上呈黑色。對腦血管造影不能顯示的隱匿性動靜脈畸形MR及CT可互相補充予以確診。
⑥腦血管造影。是診斷動靜脈畸形的重要手段。是必須進行的檢查方法。不僅能確定診斷而且還為治療提供依據。造影常顯示不規則曲張扭纏的畸形血管團,並可顯示供血動脈和引流靜脈。引流靜脈常在動脈期即可過早顯影。但仍有一部分小的或隱匿型動靜脈畸形不能被造影發現(約11%)。數字減影、放大造影、連續攝片、立體血管造影等更有助於診斷。
治療方案
腦動靜脈畸形2、血管內栓塞治療對病變深在,位於重要功能區或高血流病變,宜行栓塞治療。常用栓塞劑有NBCA和絲線、線段或微粒,但單純栓塞治療只能治癒一小部分病變,可在部分栓塞後再行顯微手術切除。
3、立體定向放射外科治療即X刀或γ刀,無創傷,但價格昂貴,顯效慢,適用於深部直徑小於3cm病變或手術與栓塞後殘餘病變。
4、伽瑪刀治療腦動靜脈畸形伽瑪刀治療效果是肯定的,一年後閉合率達80%以上。根據以往的經驗,血管巢直徑小於4厘米者療效可靠,而且副作用反應很小。但有些病例畸形血管團直徑較大,又位於重要功能區,不宜行手術治療,血管內治療再通率高,而且往往需多次治療,這就為伽瑪刀治療提供了機會,隨著伽瑪刀治療大病灶經驗的積累,伽瑪刀技術的不斷改進,伽瑪刀可通過熱成型膜定位,多次治療,使巨大腦動靜脈畸形的伽瑪刀治療已經成為可能。
5、非手術治療適用於巨大型位於重要功能區、伴蛛網膜下腔出血而無血腫者,措施有:①避免誘發因素,如劇烈情緒波動,禁菸酒等。②預防與控制癲癇發作。③防止再出血。④對症治療。
病因病理
主要是腦血管發育障礙。胚胎第3周時,原始腦血管網開始分化為動脈和靜脈及動靜脈之間的毛細血管網。原始動靜脈並行排列,緊密鄰接,如果此時腦血管正常發育受阻,動靜脈之間形成直接溝通,其間無毛細血管網相隔,即形成動靜脈畸形。有人發現動靜脈畸形中的動脈業已發育成熟,而靜脈內皮細胞在形態上停留於胚胎時期的水平,認為動靜脈畸形是靜脈發育障礙所致。
動靜脈畸形是由一團動脈、靜脈及動脈化的靜脈(動靜脈瘺)樣血管組成,動脈直接與靜脈交通,其間無毛細血管。
由於畸形血管的盜血,使其周圍腦組織供血減少,因而出現盜血症狀。盜血是由於動靜脈瘺造成的,在腦血管造影上極易顯示。
臨床表現
腦動靜脈畸形(1)出血
這是顱內動靜脈畸形最常見的症狀,半數以上在16-35歲之間發病。出血與季節無關,通常發生在正常活動時。懷孕期間的出血危險增加。
(2)癲癇
可在顱內出血時發生,也可單獨出現。動靜脈畸形病人發生癲癇原因是:動靜脈短路使腦局部缺血,鄰近腦組織膠質樣變;顳葉動靜脈畸形的點火作用(Kindlingeffect)。
(3)頭痛
多數是顱內出血的結果,除此而外,約43%的病人在出血前即有持續性的或反覆發作性頭痛,往往是頑固性頭痛。
(4)局灶症狀
由血管畸形部位、血腫壓迫、腦血液循環障礙及腦萎縮區域而定。
(5)其他症狀
顱內血管吹風樣雜音、精神症狀、眼球突出、血管雜音、繼發性顱內高壓、復視、心衰等症狀。
疾病治療
腦動靜脈畸形手術方法有:
①供血動脈結紮術。對不能切除的病變,可開顱找到主要供血動脈予以結紮。此法治療不徹底,術後常復發。
②外科栓塞術。用大小不同的栓子及栓塞劑,通過動脈注入腦的主要動脈(頸內動脈),藉助血流優勢作用,栓塞其供血動脈。因供血動脈與畸形病變間角度的關係,大腦中動脈供血的畸形適於行此療法。此法有一定盲目性,有時改善,近來可通過特殊導管將栓塞物質直接送到畸形的供血動脈,予以栓塞,是一種頗具前途的方法。
③手術切除病變。是最為理想而徹底的方法。隨著手術顯微鏡的套用和顯微外科技術的改進,此法越來越被人們採用。靠近病變分離時,儘量保護腦組織,避免損傷鄰近動脈。在切除大型高血流量的病變後,常發生腦組織急性血管源性水腫、血漿及紅細胞外滲的危險情況,這稱為“正常灌注壓突破”。原因是高血流量的動靜脈瘺被切除(阻斷)後,周圍正常腦組織的毛細血管床灌注壓突然增高,這些血管因長期處於低灌注壓狀態而喪失血管自動調節功能,對突然的高灌注壓和高流量不能產生收縮反應反而呈麻痹擴張,故而造成廣泛滲血水腫。因此對高流量和盜血嚴重的病變應採取分次手術的方法。
④γ-手術刀療法。是一種多放射源(201個)用立體定向原理,聚焦於病變部位,進行大劑量放射線一次照射的方法。此療法為無創性療法,對於位置較深、在鄰近重要結構區、不能手術的動靜脈畸形,尤為實用。
腦動靜脈畸形的主要治療方法有:1、開顱手術切除,2、血管內栓塞,3、放射治療(包括普通放療和立體定向放射治療)。單純血管內栓塞的治癒率只有10%左右,因此栓塞法多作為其他兩種方法的輔助,它可以去除出血的危險因素、使病變縮小,以利手術切除和提高放射治療的效果,或增加保守治療的安全性。新材料的發展有望提高單純栓塞的治癒率。
疾病危象
腦動靜脈畸形1.從部位上看,位於基底節和深部的AVM易出血。因為常常經深部靜脈引流,而其較易狹窄,故造成靜脈高壓後導致出血。
2.直徑小於2cm或直接供血動脈短而粗的AVM易出血.原因為畸形動脈在組織學:為薄壁血管結構,此時直接來自供血動脈的灌注壓力衰減較少,容易造成破裂出血。
3.AVM並發灶內和灶旁動脈瘤易出血。這些動脈瘤是真性還是假性動脈瘤尚不能確定,但在結構上可能與畸形血管一樣不完整,更容易破裂。
4.引流靜脈細小或數目較少的AvM易出血。由於AV^,中的血流速度較正常為快,血流量相對較大,若不能及時經引流靜脈凹流,則易造成畸形團內的灌注壓升高,而引起破裂出血。
5.累及腦室內的AVM易出血。因其周圍環繞腦脊液,游離度較大.不像腦內AVM鄰近腦組織,具有一定的支撐作用,易受畸形II“L管內外”壓力差變化的影響而發生出血。另外.大型AVM造成大量的血液盜流,常使毗鄰的腦組織缺血、缺氧,引起昏睡和其他神經功能障礙。位於運動區或其附近的AVM可直接引起癲癇發作,累及硬膜的AVM常引起頭痛甚至蛛網膜下腔出血.
用藥安全
手術治療2、手術適應症:病人有下述情況之一,而造影檢查確定畸形血管可以切除者:
(1)自發性蛛網膜下腔出血史。
(2)癲癇頻發,藥物治療效果不佳者。
(3)有進行性神經系統定位性損害症狀或智力減退者(盜血綜合徵)。
(4)合併顱內血腫或顱內高壓者。
3、手術禁忌證:
(1)腦深部、內囊、基底節、腦幹等處的動靜脈畸形。
(2)廣泛性或多發性動靜脈畸形。
(3)偶然發現,無症狀者。
(4)60歲以上老年,伴有心、腎、呼吸系統嚴重疾病者。
4、腦動靜脈畸形的主要目的是防止出血、清除血腫、改善盜血和控制癲癇,治療方法包括:
(1)畸形血管切除術;
(2)血管內栓塞治療;
(3)γ刀放射治療。
5、臨床表現主要為腦局部缺血及反覆出血。具體如下:
(1)出血:常無明確發病誘因,病人常以畸形血管破裂出血,形成腦內血腫或蛛網膜下腔出血為首發症狀,占52%-70%,往往發病突然,與病人的體力活動及情緒波動有關。
(2)缺血:見於巨型病變,多因長期大盜血而引起全腦性萎縮導致智力障礙,有時表現為進行性輕度偏癱等腦功能障礙。
(3)癲癇:是淺表的AVM僅次於出血的主要臨床表現,其發生率為28%-64%,與AVM的部位和大小有關。
(4)頭痛:約60%的病人平時有血管性頭痛,可能由於血管擴張所引起。

