疾病類型
顱內和椎管內血管畸形屬先天性中樞神經系統血管發育異常,可分為五種類型:
1、動靜脈畸形(AVM);
2、海綿狀血管瘤;
3、毛細血管擴張;
4、靜脈畸形;
5、靜脈曲張。
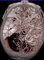
在上述五類血管畸形中以動靜脈畸形最常見,占顱內幕上血管畸形的62.7%.占幕下血管畸形的42.7%。顱內動靜脈畸形(AVM)是一團發育異常的病態腦血管.其體積可隨人體發育而生長。由一支或幾支彎曲擴張的動脈供血和靜脈引流而形成的一個血管團,小的直徑不及1cm,大的可達10cm。畸形血管團內有腦組織,其周圍腦組織因缺血而萎縮,呈膠質增生帶,有時伴陳舊性出血。畸形血管表面的蛛網膜色白且厚。顱內AVM可位於大腦半球的任何部位,呈楔形其尖端指向側腦室。
症狀體徵
1.出血 畸形血管破裂可導致腦內、腦室內和蛛網膜下控出血,出現意識障礙.頭痛嘔吐等症狀.但小的出血臨床症狀不明顯。出血多發生在腦內,有1/3引起蛛網膜下腔出血,占蛛網膜下腔出血的9%,決於顱內動脈瘤。據報導,30%一65%的AVM首發症狀是出血。出血的好發年齡為20—40歲。一般認為單支供應動脈供血、體積小、部位深在.以及後顱窩AVM容易急性破裂出血。婦女妊娠期,AVM破裂的危險性增大。近年研究發現,在各年齡組未破裂的AVM,每年出血率為2%左右。年青病人AVM出血的危險高於老年病人。AVM再出血率和出血後死亡率都低於顱內動脈瘤。這是由於出血源多為病理循環的靜脈,壓力低於腦動脈壓。另外,出血較少發生在基底池,繼發出血後的腦血管痙攣也少見。
2.抽搐 成人21%一67%以抽搐為首發症狀,一半以上發生在30歲前,多見於額、顳部AVM。額部AVM多發生抽搐大發作,頂部以限局性發作為主。AVM發生抽搐與腦缺血、病變周圍進行性膠質增生,以及出血後的含鐵血黃素刺激大腦皮層有關。14%一22%出過血的AVM會發生抽搐。早期抽搐可服藥控制發作,但最終藥物治療無效,抽搐很難控制。由於長期頑固性癲癇發作,腦組織缺氧不斷加重,致使病人智力減退。
3.頭痛 一半AVM病人曾有頭痛史。頭痛可呈單側局部,也可全頭痛.間斷性或遷移性。頭痛可能與供血動脈、引流靜脈以及竇的擴張有關,有時與AVM小量出血、腦積水和顱內壓增高有關。
4.神經功能缺損 未破裂出血的AVM中,有4%一12%為急性或進行性神經功能缺損。腦內出血可致急性神經功能缺損。由於AVM盜血作用或合併腦積水.病人神經功能缺損呈進行性,表現為運動、感覺、視野以及語言功能障礙。個別病人可有頭顱雜音或三叉神經痛。
5.兒童大腦大靜脈畸形也稱大腦大靜脈動脈瘤,可以導致心衰和腦積水。
診斷檢查
顱內動靜脈畸形1.頭部CT 經加強掃描AVM表現為混雜密度區,大腦半球中線結構無移位。在急性出血期,CT可以確定出血的部位及程度。
2.頭部MRI 因病變內高速血流表現為流空現象,另外,MRI能顯示良好的病變與腦解剖關係,為切除AVM選擇手術入路提供依據。
3.腦血管造影是確診本病的必須手段。全腦血管造影並連續拍片.可了解畸形血管團大小、範圍、供血動脈、引流靜脈以及血流速度有時還可見由對側頸內動脈或椎基底動脈系統的盜血現象。
4.腦電圖檢查 患側大腦半球病變區及其周圍可出現慢波或棘波。對有抽搐的病人術中腦電圖監測,切除癲癇病灶,可減少術後抽搐發作。
治療方案
1.手術切除為治療顱內AVM的最根本方法,不僅能杜絕病變再出血,還能阻止畸形血管盜血現象,從而改善腦血流。只要病變位於手術可切除部位均應進行開顱切除。
顱內動靜脈畸形套用顯微手術技術,顱內AVM手術切除效果滿意。 對AVM出血形成血腫的急診病人,有條件者應在術前完成腦血管造影,以明確畸形血管情況。病人已發生腦疝,無條件行腦血管造影,可緊急開顱手術.先清除血腫降低顱壓.搶救生命,待二期手術再切除畸形血管。未行血管造影貿然切除畸形血管是危險的。
2.對位於腦深部重要功能區如腦幹、間腦等部位的AVM,不適宜手術切除。手術切除後殘存的AVM,直徑小於3cm,可考慮Y-刀或X-刀治療,使畸形血管內皮緩慢增生,血管壁增厚.形成血栓而閉塞、但在治療期間.仍有出血可能。
飲食注意
1、宜選用清淡、高蛋白、高熱量、易消化、富含粗纖維的低脂飲食。
2、多進食粗纖維食物,保持大便通暢。
3、戒菸酒,禁食辛辣、生冷等刺激性食物和興奮性飲料。
4、術前禁食8~10小時,禁飲6~8小時。
5、麻醉清醒後6小時,無吞咽障礙方可進少量流質飲食,以後逐漸改為軟食。
6、血壓高的病人,堅持在醫生指導下服藥。不可隨意更改藥量或停服藥物,以免血壓升高、誘發出血。
疾病預防
控制血壓,避免誘發因素。

