疾病概述
顱腦損傷①顱腦損傷引起的各類顱內血腫(如硬腦膜外、下血腫,腦內血腫,混合性血腫)。②各種自發性顱內出血及血腫。③顱內各種原發和轉移性腫瘤。④顱內膿腫。⑤顱內各種肉芽腫。⑥顱內各種寄生蟲病。⑦其它占位性病變。
詳詢起病緩急,注意症狀發生的先後次序,尤其是首發症狀。有無頭痛、頭暈、噁心、嘔吐、精神及意識障礙、癲癎發作或運動感覺障礙。
臨床表現
顱內壓增高①頭痛。顱內壓增高時其腦膜、重要的血管神經受牽拉引起。發病初起不典型,重時可逐漸呈持續性,甚至難以忍受。
②嘔吐。是腦幹移位和牽拉或腫瘤直接刺激延髓的嘔吐中樞,嘔吐呈噴射性,不伴有其他消化道症狀,常在頭痛劇烈時出現,嘔吐後頭痛稍緩解。兒童因腫瘤常發生在後顱凹,早期即可出現嘔吐,易被誤診為消化道疾病。
③視乳頭水腫。顱內壓增高,眼靜脈回流受阻,視乳頭邊界欠清、靜脈充血、滲出或出血。早期視力正常,中晚期因繼發性視神經萎縮而視力逐漸減退。
④癲癇發作。是占位性病變刺激皮層產生的異常放電。成年人的癲癇發作往往是占位性病變引起。
⑤復視、耳鳴、精神異常。
⑥腦疝。是顱內壓增高的晚期併發症。
手術是唯一可靠的選擇手段,可去除病變,緩解顱壓高,改善症狀,恢復腦功能。個別病變不能手術切除者可行顱內或顱外減壓術,緩解症狀,延長壽命。脫水藥物可暫時減輕顱高壓,緩解症狀。
症狀體徵
顱內占位性病變(1)額葉:①精神障礙:如思維貧乏、語無倫次、迫害妄想、情感淡漠、孤僻、欣快、哭笑,定向、記憶、計算、分析、理解力差,或痴呆、行為幼稚、懶散、不愛清潔、亂跑、謾罵、意識朦朧、嗜睡等。輕精神症狀,如失眠、多夢、健忘、情緒不穩、精神緊張、注意力不集中等。②癲癎:對側部分性運動性發作,包括皮層擴延性發作或持續部分性癲癎。③對側偏癱,單癱,面癱,運動性失語(主側半球),兩眼同向側視障礙,額葉性共濟失調(軀幹為重),強握、摸索反射,單側或雙側嗅覺缺失。病側原發性視神經萎縮,對側視盤水腫(Foster-Kennedy綜合徵)。
顱內占位性病變(2)顳葉:①癲癎:鉤回發作:先有難聞氣味,伴鼻吸氣、舐舌嘗味及咀嚼動作,繼之以迷夢樣夢境狀態,如似曾相識症或舊事如新症,也有全身性大發作、失神小發作。②精神障礙:焦慮、恐懼、淡漠、遲純、錯覺、幻覺、感知綜合障礙(如視物變形)等。③感覺性失語(主側半球),對側同向偏盲或上限象偏盲,對側肢體共濟失調。其他如錐體束征、瞳孔不等大等。
(3)頂葉:①癲癎:對側部分性感覺性癲癎。②偏身感覺障礙:對側偏身,上肢及肢體遠端較重,主要損害實體覺、圖形覺、兩點辨別覺、位置覺、對點單感等,而淺感覺多不受影響。③體象障礙:自體感知不能(失肢體感),病覺缺失(否認有偏癱),幻多肢。④結構性失用症:不能描繪簡單圖形,或不能以積木搭成圖形,可有半側空間疏忽遺漏,多數為左側空間,其特點為描繪圖形的一半或描繪在紙的一側(右側)。⑤其他:失寫、失算、左右不分及手指失認症(Gerstmann綜合徵)。失語、失讀、視覺性空間定向障礙(體外空間或環境方位的失認),如患者起床活動後找錯床位。對側同向偏盲或下象限盲。對側輕癱或偏側萎縮。
(4)枕葉:對側同向偏盲(中心視力可保存),兩側枕葉病變引起兩眼完全失明;但瞳孔對光反應仍保存,可有幻覺,單獨出現或為癲癎先兆,如間歇性閃光、暗點、圖案等。可有視覺變形、視覺失認(能見物體、圖畫而不認識)。
2.“中線”結構
其特點是腫瘤所在部位並不完全反映該部位損害的症狀,如不論腫瘤長在紋狀體或丘腦,一般而論很少有紋狀體或丘腦的症狀。其次常發生嚴重精神障礙,大多數病例無癲癎發作,缺乏明顯的單側功能喪失的症狀。
丘腦(2)丘腦:顱內壓增高症狀。①運動感覺障礙常見對側輕偏癱伴感覺缺損,但典型“丘腦綜合徵”往往缺如。可有步態不穩、共濟失調、眼震。侵犯基底核時則有不自主運動與肌強直,累及中腦、四疊體時可有眼球活動受限、同向運動障礙、瞳孔不等大、對光反應消失等,還可有耳鳴、單側耳聾(聽神經受壓)。②精神障礙:淡漠、抑鬱、躁狂、衝動、幻覺、妄想,記憶減退,可發展至嚴重痴呆,稱“丘腦性痴呆”。③內分泌失調:肥胖、多尿、月經不調等。④丘腦外側受損,常有明顯的神經體徵,且在腦室系統阻塞症狀之前出現,如輕偏癱、偏側性感覺障礙;丘腦內側受損,早期出現精神衰退,而客觀感覺改變缺如,或出現較晚。
(3)側腦室:腦室為“靜區”,腫瘤需長得足夠大時才產生症狀。顱內壓增高症狀,對側偏身感覺減退、偏盲和(或)輕偏癱,可伴步態不穩,肢體共濟失調、失語、失讀、性格改變、遺忘、抑鬱等。側腦室脈絡叢乳頭瘤,多見於兒童,病程短,急性起病者可能為乳頭瘤出血,嚴重時有蛛網膜下腔出血。
(4)胼胝體:①精神障礙:欣快、淡漠、記憶衰退、失定向力、痴呆,還可有嗜睡、遺忘。緘默等。②“胼胝體綜合徵”:左手失用症是重要體徵之一。③植物神經症狀:多汗,皮膚劃紋征,“雞皮”,呃逆,心動過速,體溫調節障礙。
小腦小腦半球:患側肢體共濟失調,如指鼻及跟膝脛試驗不穩準,快復輪替運動不能、辨距不良、回縮現象、構音困難、眼球震顫、肌張力減低,深反射遲鈍或消失,步態不穩、向患側跌倒等。
小腦蚓部:軀幹共濟失調為主,步態蹣跚,左右搖晃,站立不穩。
小腦橋腦角:眩暈、患側耳鳴、耳聾、面部感覺障礙、周圍性面癱、眼震及小腦性共濟失調,可出現聲音嘶啞、吞咽困難,對側錐體束征等。
4.腦幹
雖可引起特徵性的交叉性癱瘓(同側腦神經麻痹及對側肢體癱瘓)或交叉性感覺障礙,但腦幹橫徑不大,往往表現雙側顱神經和長束受損征。
(1)中腦(四疊體或頂蓋、大腦腳腳底及被蓋和松果體): ①顱內壓增高;除一般顱內壓增高症外,兒童叩診有“破壺”征。②眼球運動神經核上性、核性、核間性和核下性損害:早期有復視,松果體及四疊體最常見的體徵是兩眼同向仰視麻痹,偶而合併同向俯視麻痹,常伴瞳孔擴大及對光反應消失,此外,可見單側或雙側瞼下垂,內直肌、下直肌、下斜肌及上斜肌麻痹。③小腦結合臂損害:常見軀幹性共濟失調,偶而單側或雙側肢體共濟失調,肌張力低,水平型眼震。④錐體束損害:大腦腳底、被蓋部病變早出現、頂蓋病變晚出現痙攣性偏癱,至終末期則四肢癱。昏迷者有去大腦強直及強直性抽搐、頭後仰、角弓反張,體溫升高或降低。⑤精神症狀:嗜睡、易疲勞、記憶力衰退、性格改變等。
(2)橋腦和延髓:①嘔吐、呃逆、進食嗆咳、吞咽困難、聲音嘶啞、說話不清,可有括約肌障礙,面部感覺障礙,角膜反射消失,單側或雙側外展、面神經麻痹。咽反射消失,耳鳴及耳聾,水平或垂直型眼震。②錐體束損害出現較早,偏癱在腦神經麻痹的對側,可發展成四肢癱,單側或雙側小腦性共濟失調,感覺障礙不顯著,可有病灶對側痛覺與溫覺障礙,無顱內壓增高征或出現晚。③精神障礙,淡漠、嗜睡、衝動等。
顱內占位性病變(4)第四腦室:常有強迫頭位,頭位變動阻塞腦脊液通路時出現頭痛、嘔吐和眩暈,稱Bruns征(第四腦室棘球蚴病)。
5.蝶鞍區
垂體及其附近:①內分泌功能障礙:垂體功能亢進(巨人症、泌乳-閉經綜合徵、肢端肥大症),垂體功能減退(侏儒、粘液性水腫、陽萎、月經不調),庫欣綜合徵(向心性肥胖、紫紋、多毛、皮膚光薄、血壓和血糖增高、陽萎、閉經)等。②神經受壓症狀:視力減退、視神經萎縮、兩顳側偏盲、眼肌麻痹等。丘腦下部:尿崩症,肥胖性生殖器退化綜合徵,嗜睡,幼年時起病者可有性早熟症,間腦性癲癎(潮紅、出汗、流淚、流涎、發熱、瞳孔擴大、血壓升高、脈搏加快)等。
疾病檢查
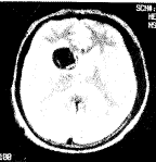
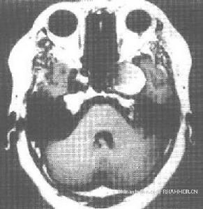
影像學檢查顱內占位性病變,如病變較小,又位於非重要功能區,臨床上可無症狀。若病變位於重要的腦功能區或病變範圍較大,臨床常出現顱壓增高的症狀(如頭痛、噁心、嘔吐等)和局灶性的神經體徵。較大的占位性病變,造成顱壓過高,壓迫腦組織,可造成肢體癱瘓,乃至形成腦疝。腦疝是危及患者生命的徵象,也是顱內占位性病變最嚴重的後果。
顱內占位性病變,常可通過影象學檢查獲得確診。影象學檢查包括頭顱CT掃描、核磁共振檢查及腦血管造影等。現代影象學檢查可顯示占位性病變的位置、大小、形態、數目,還能觀察到病變內部是否有囊變、壞死、鈣化、出血等。腦血管造影是根據血管的部位、形態的改變、循環時間的改變以及病理血管的出現等,間接了解病變的位置、大致形態、含血管是否豐富等。
治療方法
造影1術前準備 一般術前禁食12小時,做造影劑過敏試驗,必要時可給予鎮靜和止吐劑。
2操作方法 採用Seldinger技術,經一側股動脈穿刺,用特殊導管在X線監視下,經股動脈、腹主動脈、主動脈、頸總動脈或鎖骨下動脈,超選擇進入頸內動脈或椎動脈,插入腫瘤的滋養動脈血管內,用38%的離子型或非離子型造影劑高壓注射進行血管造影,當數字減影血管造影的圖像顯示該血管有腫瘤染色並證實是腫瘤滋養動脈後固定導管位置,用動脈輸液泵先將20%甘露醇20ml緩慢灌注,再將稀釋後的保爾佳和VM-26以每分鐘2-3ml的速度依次緩慢灌注。
3術後處理 回病房後平臥8-12小時,以防止股動脈穿刺點出血。術後水化治療5-7天,同時注意雙下肢皮溫及足背動脈的搏動。通常每月灌注1次,連續治療2-3個月後再根據患者複查CT結果及肝腎功能血象情況,制定下一步治療方案。
4結果 採用此項技術,患者的頭痛、頭暈、嘔吐、失語、嘴斜、半身癱瘓等症狀在灌注藥物24-48小時後開始出現不同程度的減輕,部分半身癱瘓的患者恢復生活自理。2個月後對患者進行頭部CT檢查,發現患者顱內腫瘤均有不同程度的縮小,且術中出血少,腫瘤組織部分壞死.顱內惡性轉移瘤最長目前已存活16個月,平均6-10個月,同時提高了生存質量.患者在灌注化療藥物後基本無噁心嘔吐等胃腸反應,患者無寒戰、胸悶、心慌等過敏反應,也無頭痛嗜睡等症狀發生。
