顱內壓增高綜合症病因
(一)腦水腫
顱內壓增高綜合症 病因2、細胞毒性腦水腫。多由於腦缺血缺氧或各種中毒引起的腦水腫。缺血、缺氧或中毒,神經元、膠質細胞和血管內皮細胞膜上的鈉泵障礙,鈉、氯離子進入細胞內合成氯化鈉,細胞內滲透壓增加,水分大量進入細胞內而引起細胞內水腫。常見於腦缺血缺氧、一氧化碳及有機磷水毒性、敗血症、毒血症及水電解質失衡等。此類水腫以灰質明顯。
3、間質性腦水腫。由於腦室系統內壓力增加,使水分與鈉離子進入腦室周圍的細胞間隙,見於阻塞性腦積水。
4、滲透壓性腦水腫。當血漿滲透壓急劇下降時,為了維持滲透壓平衡,水分子由細胞外液進入細胞內,引起腦水腫。
(二)腦脊液量增加 由於腦脊液循環通路阻塞或腦脊液生成過多(如脈絡膜叢乳頭狀瘤、側腦室內炎症等)、腦脊液吸收減少(如顱內靜脈竇血栓形成、蛛網膜下腔出血、蛛網膜粘連等)均可致腦脊液量增加,引起顱內壓增高。
(三)顱內容積量增加 腦外傷後腦血管擴張,顱內占位性病變,高血壓腦病,呼吸道梗阻、呼吸中樞衰竭時CO2積聚(高碳酸血症)引起的腦血管擴張、腦血容量增加,均可引起顱內壓增高。
發病機制
顱內壓增高綜合症臨床表現
顱內壓增高由於病因不同而有急性和慢性之分、局部和全腦之分,其臨床症狀有輕重之分。
臨床表現 頭痛(一)顱內壓增高的症狀
1、頭痛。急性顱內壓增高者突然出現頭痛,慢性者頭痛緩慢發展。多為跳痛、脹痛或爆裂樣痛,用力、咳嗽、噴嚏、排便可使頭痛加重。平臥或側臥頭低位亦可使頭痛加重,坐姿時減輕。早期頭痛在後半夜或清辰時明顯,隨後頭痛為持續性伴陣發性加劇。頭痛機理可能與顱內壓增高使顱內痛覺敏感組織受到刺激或牽拉有關。
2、嘔吐。多在頭痛劇烈時發生,常呈噴射狀,與進食無關,伴有或不伴有噁心。兒童患者多見。其機理可能系顱內壓增高刺激延髓嘔吐中樞所致。後顱凹腫瘤,嘔吐多見。
3、視神經乳頭水腫。視神經乳頭水腫早期表現為眼底視網膜靜脈擴張、視乳頭充血、邊緣模糊,繼之生理凹陷消失,視乳頭隆起(可達8~10屈光度),靜脈中斷,網膜有滲出物,視乳頭內及附近可見片狀或火焰出血。早期視為正常或有一過性黑蒙,如顱內壓增高無改善,可出現視力減退,繼發性神經萎縮,以致失明。視乳頭水腫的機理,主要為顱內蛛網膜腔腦脊液壓和增高,使視神經鞘內腦脊液壓力增高,進而視神經受壓,軸漿流動緩慢或停止,視乳頭腫脹。
4、脈搏、血壓及呼吸的變化。急性或亞急性顱內壓增高時,脈搏緩慢(50~60次/分),若壓力繼續增高,脈搏可以增快。顱內壓迅速增高時血壓亦常增高。呼吸多為頻率改變,先深而慢,隨後出現潮式呼吸,也可淺而快,過度換氣亦不少見。
5、意識及精神障礙。顱內壓急劇增高時可致昏迷,或呈不同程度的意識障礙,如意識模糊、嗜睡等,慢性顱內壓增高時,輕者記憶力減退、注意力不集中,重者可呈進行性痴呆、情感淡漠、大小便失禁。老年及中年患者精神症狀多見。
6、其它。癲癇大發作、眩暈、一側或兩側外展神經麻痹、雙側病理反射或抓握反射陽性等。
(二)腦疝形成
當顱內壓增高超過一定的代償能力或繼續增高時,腦組織受擠壓並向鄰近阻力最小的方向移動,若被擠入硬膜或顱腔內生理裂隙,即為腦疝形成。疝出的腦組織可壓迫周圍重要的腦組織結構,當阻塞腦脊液循環時使顱內壓進一步升高,危及生命安全。臨床常見的腦疝以下二種。
小腦幕切跡疝(1)意識障礙。由清醒逐漸進入嗜睡,甚至昏迷,或由淺昏迷突然發展為中度或深度擀迷。系腦幹受壓,腦血流量減少,網狀結構上升性激活系統機能受損所致。
(2)瞳孔變化。早期病灶側瞳孔可短暫縮小,隨後患側瞳孔逐漸散大,對光反射遲鈍或消失。當腦疝終末期時,瞳孔明顯散大,對光反應消失,眼球固定不動(動眼神經損害)。
(3)癱瘓。病灶對側肢體出現癱瘓,系大腦腳錐體束受損害所致。晚期也可呈去大腦強直,系中腦嚴重受壓、缺血、損害網狀結構下行性抑制系統所致。
(4)生命體徵改變。初期呼吸深而慢,繼之出現潮式呼吸,過度換氣或雙吸氣;晚期呼吸不規律,淺快而弱直至
枕骨大孔疝2、枕骨大孔疝。多見於後顱凹占位病變,也可見於小腦幕切跡疝的晚期。顱內壓增高使小腦扁桃體向下疝入枕骨大孔,按發展的快慢,分為慢性型和急性型兩種。
(1)慢性型。早期有枕部疼痛,頸項強直,舌咽、迷走、副神經、舌下神經輕度損害,患者意識清楚。偶可出現四肢強直、呼吸輕度抑制、病情發展超出代償能力後,生命體徵迅速惡化並出現昏迷等。
(2)急性型。可突然發生,也可由於腰穿,用力等促使原有的慢性型枕骨大孔疝急劇加重所致。由於延髓生命中樞受壓,小腦供血障礙,顱內壓迅速增高(第四腦到中孔阻塞),臨床上出現嚴重枕下痛及頸項強直、眩暈、吞咽困難、肌張力降低,四肢馳緩性癱瘓,呼吸及循環迅速進入衰竭狀態。也可突然昏迷,呼吸停止,爾後心跳停止。
診斷
(一)確定有無顱內壓增高
顱內壓增高有急性亞急性和慢性之分。一般病程緩慢的疾病多有頭痛、嘔吐、視乳頭水腫等症狀,初步診斷顱內壓增高不難。而急性、亞急性腦疾病由於病程短,病情發展較快,多伴有不同程度的意識障礙,且無明顯視乳頭水腫,此時確診有無顱內壓增高常較困難,需要進行下列檢查予以確定。
1、眼底檢查。在典型的視乳頭水腫出現之前,常有眼底靜脈充盈擴張、搏動消失,眼底微血管出血,視乳頭上下緣可見灰白色放射狀線條等改變。
2、嬰幼兒顱內壓增高早期可發現前囟的張力增高,顱縫分離,叩診如破水壺聲音。
3、脫水試驗治療。20%甘露醇250毫升快速靜脈滴注或速尿40毫克靜脈推注後,若頭痛,嘔吐等症狀減輕,則顱內壓增高的可能性較大。
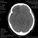
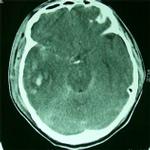
顱內壓增高綜合症 CT表現對疑有嚴重顱內壓增高,特別是急性,亞急性起病有局限性腦損害症狀的患者,切忌盲目腰穿檢查。只有在診斷為腦炎或腦膜炎和無局限性腦損害之蛛網膜下腔出血症,方可在充分準備後行腰穿檢查。
(二)明確病因
根據病史和起病的緩急,內科系統和神經系統檢查的發現,必要的實驗室檢查,初步確定顱內壓增高的病變和病因是完全可能的。常見的病因如下幾種。
1、顱腦外傷。腦內血腫和腦挫裂傷等。
2、顱內腫瘤和顱內轉移瘤等。
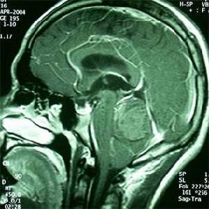
腦包蟲病4、顱內炎症和腦寄生蟲病。各種腦炎、腦膜炎、腦膿腫、腦豕囊蟲病、腦肺吸蟲病、腦包蟲病等。
5、顱腦畸形。如顱底凹陷、狹顱症、導水管發育畸形、先天性小腦扁桃體下疝畸形等。
6、良性顱內壓增高。
7、腦缺氧。心搏驟停、肺性腦病、癲癇連續狀態等。
8、其它。肝、腎機能衰竭、血液病、高血壓腦病、各種中毒、過敏性休克等。
治療
(一)病因治療
(二)對症治療 主要在降低顱內壓。維持有效有血液循環和呼吸機能,增強腦細胞對病損作耐受性。
降顱壓 脫水治療(1)脫水療法。脫水療法是降低顱內壓、減輕腦組織水腫、防止腦疝形成的關鍵。成人常用20%甘露醇250毫升,快速靜滴,每4~6小時一次。主要在於高滲溶液在血一腦之間形成滲透壓差,儘快地將腦內水分轉入血液循環,並非單純通過利尿作用。心、腎功能不全者慎用,防止發生肺水腫和加重心腎功能衰竭,甘露醇不僅可以降低顱內壓和減輕腦水腫,還可改善腦及體循環,防止自由基的產生,增強神經細胞耐受缺氧的能力,促進腦機能的恢復。10%甘油葡萄糖液或10%甘油生理鹽水溶液500毫升靜滴,於2~3小時內靜脈滴完,1~2次/日,或按每日1克/公斤計量,與等量鹽水或桔汁混勻,分三次口服或鼻飼。甘油靜脈滴注或口服多用於慢性顱內壓增高患者。高滲性脫水劑的劑量應適當掌握,並非越大越好,一般血滲透壓升高31mosm,如用大劑量甘露醇,使血滲透壓>310mosm,即可能引起酸中毒,腎功能衰竭和高滲性昏迷。
(2)利尿劑。主要是抑制腎小管對鈉、氯、鉀的重吸收,從而產生利尿作用。由於大量利尿使機體脫水從而降低顱內壓。速尿40~60毫克靜脈注射或50%葡萄糖40毫克+速尿40~60毫克靜推1~3次/日,也可加入甘露醇內快速靜滴;口服劑量一次20~40毫克,3/日。利尿酸鈉,成人一次用量25~50毫克加入10%葡萄糖20毫升中緩慢靜注。還可套用醋唑磺胺,成人0.25~0.5克,2~3/日,口服,用於慢性顱內壓增高患者。利尿劑和脫水劑的套用,因排鉀過多,應注意補鉀。
(3)腎上腺皮質激素。腎上腺皮質激素能改善血腦屏障,降低其通透性,加強對水、電解質代謝的調節功能,穩定細胞膜功能和減輕細胞膜的損害;改善局部腦血流量,減輕病變區周圍水腫;減少腦脊液生成;增強非特異性抗炎和解毒作用。套用腎上腺皮質激素時,應注意有無禁忌症,如潰瘍病、糖尿病等,因其有抑制免疫機能,合併感染者慎用。常用藥物有地塞米松20~40毫克加入5~10%葡萄糖液250~500毫升內靜脈滴注1/日,或氫化考地松200~300毫克加入5~10%葡萄糖250~500毫升靜脈滴注1/日,短期套用後,改為口服,並逐漸減量停藥。脫水治療時應適當限制液體入量,成人每日輸入量一般不超過2000毫升,天熱多汗,發熱或頻繁嘔吐以及腹瀉患
手術2、減壓手術。減壓手術在套用脫水劑和利尿劑無效後,或顱內壓增高發生腦危象早期時套用,可選用顳肌下減壓,枕下減壓。也可腦室穿刺引流或腦室分流術。
3、其它療效。低溫療法,低熱能降低腦部代謝,減少腦耗氧量,降低顱內壓。常用腦局部降溫,用冰帽或冰袋.冰槽頭部降溫。
