病因
交通事故、摔傷、跌傷、打擊傷、火器傷、爆炸傷等各種顱腦創傷均可造成腦挫裂傷。
腦挫裂傷常發生於暴力打擊的部位和對沖部位,尤其是後者,多見於額、顳的前端和腦底部,這是由於腦組織在顱腔內的滑動及碰撞所引起的;腦實質內的挫裂傷常因腦組織變形和剪應力損傷引起,以挫傷和點狀出血為主。
對沖性腦挫裂傷以枕頂部受力時產生對側或雙側額底、額極、顳底和顳極的廣泛性損傷最為常見,這主要與前顱底和蝶骨嵴表面粗糙不平,在外力作用使對側額底、額極、顳底和顳極的撞擊於其,產生相對摩擦而造成損傷所致。
臨床表現
1.意識障礙
大多傷後立即昏迷,常以傷後昏迷時間超過30分鐘作為判定腦挫裂傷的參考時限,長期昏迷者多有廣泛的腦皮質損害或腦幹損傷。
2.局灶症狀
傷及額、顳葉前端等“啞區”可無明顯症狀,傷及腦皮層可有相應的癱瘓、失語、視野缺損、感覺障礙和局灶性癲癇等徵象,有新的定位體徵出現時應考慮顱內繼發性損害可能。
3.顱內高壓
為腦挫裂傷的最常見表現,如傷後持續劇烈頭痛、頻繁嘔吐,或一度好轉後再次加重,應明確有無血腫、水腫等繼發性損害。
4.生命體徵改變
早期表現為血壓下降、脈搏細弱和呼吸淺快,如持續性低血壓應除外複合傷,如血壓升高、脈壓加大、脈搏洪大有力、脈率變緩、呼吸加深變慢,應警惕顱內血腫、腦水腫和腦腫脹的發生;持續性高熱多伴有下丘腦損傷。
5.腦膜刺激征
與蛛網膜下腔出血有關,表現為閉目畏光、捲曲而臥,可有傷後早期低熱、噁心、嘔吐,1周后症狀消失。
檢查
1.頭顱X線平片
可了解有無骨折,有助於判斷致傷機制和傷情。
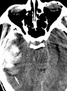
2.CT
為首選檢查方法,可用於:①顯示挫裂傷的部位、程度和有無繼發性出血和水腫等表現,根據腦室和腦池的大小和形態間接評估顱內壓的高低,必要時需反覆多次CT掃描,以動態觀察腦水腫的演變並發現遲發性顱內血腫。②腦挫傷的CT表現為低密度腦水腫中出現多發散在的斑點狀高密度出血灶,腦室受壓移位等。③常伴隨蛛網膜下腔出血,表現為廣泛的蛛網膜下腔和腦池,甚至腦室出現高密度影,以大腦縱裂出血的條索狀窄高密度影最常見,尤其在兒童患者更為明顯。④瀰漫性腦損傷常表現為腦水腫和腦腫脹,CT表現為普遍性密度減低。⑤高分辨CT對小區域的腦幹損傷診斷仍有困難。
3.MRI
對腦幹、胼胝體、腦神經的顯示,對微小挫傷灶、軸索損傷和早期腦梗死的顯示,對處於CT等密度階段的血腫的診斷和鑑別診斷有重要意義。
4.腰椎穿刺
可了解腦脊液中是否含血,可測定顱內壓,但有明顯顱內壓增高者應列為禁忌。
5.其他檢查
(1)腦血管造影 已少用。
(2)腦電圖 主要用於對預後的判斷或癲癇的監測。
(3)腦幹誘發電位 對分析腦功能受損,特別是腦幹損傷平面的判定有重要參考價值。
(4)放射性核素檢查 主要用於腦挫裂傷後期併發症(如血管栓塞、動靜脈瘺、腦脊液漏和腦積水)的診斷。
診斷
患者多有明確外傷史,有陽性體徵者可根據定位徵象和昏迷情況大致判斷受損的部位和程度,意識障礙嚴重者常需依靠CT掃描和其他檢查明確診斷,以CT檢查為首選。
鑑別診斷
鑑別診斷主要需與硬膜下血腫、硬膜外血腫和自發性腦內血腫相鑑別。前兩者常與腦挫裂傷並存,根據CT表現可予以鑑別。自發性腦內血腫患者常見於中老年人,多有高血壓、糖尿病等病史,出血部位以基底節區(中年人,高血壓性腦出血)或枕葉(高齡患者,腦動脈澱粉樣變性)常見,可資鑑別。
治療
1.治療原則
單純腦挫裂傷一般以非手術治療為主,儘早的合理治療是減少傷殘率、降低死亡率的關鍵;有繼發性顱內血腫或難以控制的顱內高壓者才需手術。
2.非手術治療
(1)一般處理 輕、中型腦挫裂傷者主要予以對症處理、防治腦水腫、密切觀察病情和進行顱內壓監護,必要時複查CT掃描。已處於昏迷狀態的中、重型患者,除上述治療外,應予以多參數生理監護和專科護理,予以側臥位,將床頭抬高15~30°,保持呼吸道通暢並吸氧,短期內(3~5天)不能清醒者宜及早行氣管切開,注意及時複查血液生化和心、肺、肝、腎功能的評估。 、
(2)特殊處理 傷後早期即出現中樞性高熱、頻繁去腦強直、間腦發作或持續性癲癇者,應及早開始亞低溫治療。瀰漫性腦腫脹好發於青少年,一旦發生可採取過度換氣、激素和強力脫水,同時冬眠降溫、降壓。瀰漫性血管內凝血應予以輸新鮮血液、補充凝血因子和血小板,肝素抗凝或抗纖溶環酸對抗過量纖溶治療。
(3)降低顱內高壓 早期予以過度換氣、大劑量激素,並在顱內壓監護下進行脫水治療,傷情嚴重者予以亞低溫冬眠療法。嚴重腦外傷後常出現血液黏度的顯著增高,可使用低分子右旋糖酐0.5g/(kg·d)靜脈輸注施行等容量或高容量血液稀釋療法,以維持血液的黏度在“最適合紅細胞比容值”(0.3~0.4)水平。
(4)腦功能恢復治療 當病情較穩定時即應給予神經功能恢復的藥物,同時開始功能鍛鍊,如高壓氧、理療、按摩、針灸和被動的或主動的功能訓練。
3.手術治療
(1)手術指征 腦挫裂傷一般不需要手術治療,但伴有顱內血腫30ml以上,CT示有占位效應、非手術治療效果欠佳,或顱內壓監護壓力超過4.0kPa(30mmHg)或順應性較差時,應及時開顱清除血腫。
(2)腦損傷的治療 腦挫裂傷嚴重,因挫碎腦組織和腦水腫而致進行性顱內壓增高達5.33kPa(40mmHg),經降顱壓處理無效者,應開顱清除碎爛腦組織,行內、外減壓和/或腦池、腦室引流。
(3)治療併發症 腦挫裂傷後期並發腦積水時,應先行腦室外引流,待查明病因後再予以相應處理。

