綜述
介入放射學(Interventional Radiology) 一詞由Margulis於1967年首次提出。是二十世紀七十年代後期迅速發展起來的一門邊緣性學科。它是在醫學影像設備的引導下,以影像診斷學和臨床診斷學為基礎,結合臨床治療學原理,利用導管、導絲等器材對各種疾病進行診斷及治療的一系列技術。即:在影像醫學(X線、超聲、CT、MRI)的引導下,通過經皮穿刺途徑或通過人體原有孔道,將特製的導管或器械插至病變部位進行診斷性造影和治療。或組織採集,進行細胞學細菌學及生化檢查。
介入放射學是在影像診斷學、選擇或超選擇性血管造影、細針穿剌和細胞病理學等新技術基礎上發展起來的。它包括兩個基本內容:①以影診斷學為基礎,利用導管等技術,在影像監視下對一些疾病進行非手術治療。②在影像監視下,利用經皮穿剌、導管等技術,取得組織學、細菌學、生理和生化資料,以明確病變的性質。
可以這樣理解:介入放射學是在影像醫學的引導下,為現代醫學診療提供了新的給藥途徑和手術方法。與傳統的給藥途徑和手術方法相比較,具有更直接有效、更簡便微創。
介入放射學是近80年代初傳入我國,並迅速發展起來的一門融醫學影像學和臨床治療於一體的新興邊緣學科,涉及人體消化、呼吸、骨科、泌尿、神經、心血管等多個系統疾病的診斷和治療。尤其對以往認為不治或難治的病症(各種癌症、心血管疾病),介入開拓了新的治療途徑,且簡便、安全、創傷小、合併症少、見效快。它是在影像學方法的引導下採取經皮穿刺插管,對患者進行藥物灌注、血管栓塞或擴張成形等"非外科手術"方法診斷和治療各種疾病。由於其在疾病診療方面擁有傳統的內、外科學不具備的(具有微創性;可重複性強;定位準確;療效高、見效快;併發症發生率低;多種技術的聯繫套用簡便易行)等獨有特點,在現代醫療診治領域已迅速確立其重要地位。在一九九六年十一月國家科委、衛生部、國家醫藥管理局三大部委聯合召開"中國介入醫學戰略問題研討會"正式將介入治療列為與內科、外科治療學並駕齊驅的第三大治療學科,稱之為介入醫學(Interventional Medicine)。可以預見,隨著介入醫學的不斷發展,該學科將會象內科、外科等臨床學科一樣,細分為神經介入科、心臟介入科、消化介入科等。
介入放射學的發展與普及,使患者有了更多的康復機會,日益成為人們選擇性治療的首選方法,倍受患者關注和歡迎。
發展史
國外
《介入放射學理論與實踐》在國外始於60年代,大多是在Seldinger穿刺插管技術的基礎上發展而來,目前它
不但用於血管系統疾病和出血的治療,並廣泛用於其他系統多種疾病的診斷和治療。
(1)最早Lussenhop和Spence在X線引導下套用導管栓塞了一例AVM。
(2)1964年 Dotter和 Judkin推出一種經皮穿刺共軸擴張導管系統,擴張周圍血管直到血管再通,但由於並發出血和栓塞機會多,沒能推廣套用。
(3)1973年 Gruntzing發明雙腔帶囊擴張導管,達到擴張狹窄血管的目的,從而使經皮腔內血管成形術(PTA)得到發展。
(4)在心臟介入治療方面,1966年 Rashkind創導心房間膈開口術,1967年 Postmann套用PDA關閉術,20年來發展到治療 ASD、 VSD關閉術,肺動脈瓣狹窄擴張,肺 AV瘺栓塞等。
(5)在治療腫瘤方面,1972年Rosch對肝、腎惡性腫瘤進行栓塞,70年代 Maddison和 Spigos對脾進行部分栓塞治療脾亢。
(6)1969年 Kaude經皮肝穿作膽道外引流,1978年 Hoevels作膽道內外引流及內支架治療膽道狹窄。
(7)1970年 Christoffersen和1972年 Oscarson在X線或CT、超聲引導下行實質臟器的細針穿刺活檢,膿腫引流等。
國內
(1)1973年上海第一醫學院中山醫院在國內首先報導經皮穿刺插管術行選擇性冠狀動脈造影的試驗。
(2)1978年上海華山醫院趙偉鵬和陳星榮報告套用國產穿刺針,導管做腎動脈造影。
(3)1982年上海華山醫院首先報告PVA治療一例股動脈狹窄。
(4)1983年北京宣武醫院報告10例套用PTA治療腎動脈狹窄。
(5)1986年天津醫學院附屬醫院、阜外醫院、中國醫大武漢第三醫院報告套用雙腔氣囊治療腎動脈狹窄。
(6)1980—1985年上海華山醫院報告腎動脈栓塞治療腎癌,中山醫院林貴套用不同栓塞劑栓塞肝、腎動脈的試驗研究,武漢醫學院馮敢生等套用中藥白芨作栓塞劑的試驗研究,他們的研究開創了介入放射學的祖國傳統醫學相結合的新途徑。林貴、孫大、彭勃等報告肝動脈栓塞治療肝癌,動脈栓塞治療脾亢及超選擇頸外動脈栓塞術等。
(7)1981年上海中山醫院,第三人民醫院報導經皮穿刺膽道造影及膽汁外引流(PTCD)1985年報導經皮插管引流治療腹腔膿腫,肝膿腫,腎盂引流及經T管網籃取石等。
(8)1984—1986年報告在X線,B超,CT引導下經皮穿刺活檢術,對單純依靠影像難以確診的病變提供了病理學證據。
(9)白求恩國際和平醫院1978年開始做選擇性腹腔動脈造影,同年開展了支氣管動脈栓塞治療大咯血,是國內開展較早的單位之一。
介入放射學治療方法
介入放射學治療70年代後在國外十分風行,形成了放射學的新領域。近幾年來,在我國也正在崛起,並在腫瘤治療上發揮著積極的作用,成為不可缺少的新的治療方法。現常用的方法如下:
(1)經動脈灌注抗癌藥物 由動脈內注入抗癌藥物,使腫瘤內藥物濃度比一般周圍靜脈給藥要高得多,使療效明顯提高,而全身不良反應明顯減輕。它適用於治療肝癌、肺癌,也用於治療頭頸部腫瘤、胃癌、膽管腫瘤、胰腺癌、盆腔腫瘤及四肢惡性腫瘤。
(2)動脈栓塞療法 將導管插入腫瘤的供血動脈內,選擇適當的栓塞劑,填塞供血動脈,截斷瘤體的血液供應,使瘤體梗死。它適用於肝、腎以及盆腔腫瘤的治療,也適用於腫瘤所致的出血緊急治療。
(3)經導管減壓術 它主要用於緩解腫瘤對膽管或尿道的壓迫所造成的梗阻症狀。由於此法比外科手術創傷小,尤其適用於年老體弱的患者,因而受到較廣泛的套用。
分類
簡述
介入放射學沙龍病例討論介入放射學按目的可分為介入診斷學和介入治療學;按技術可分為:血管性介入放射學(藥物灌注;栓塞技術;成形支架;濾器技術等)和非血管放射介入學(穿刺活檢;引流技術;異物取除;腔道
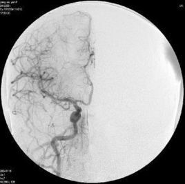
支架等);按臨床套用範圍可分為腫瘤介入放射學、非腫瘤介入放射學、神經介入放射學等等。雖然CT、MR、B超對某些血管病已具有診斷價值,但血管造影仍是診斷的金標準,尤其辨別出血管動脈、細小血管病變和血流的動態觀察等仍然不可被替代。在某些血管病、腫瘤的治療上介入治療已成為首選,如腎動脈狹窄,肝癌的治療等。特別是對血管外一些管道狹窄性病變的開通如食管、膽管、氣管、泌尿系狹窄甚至鼻淚管狹窄都有明顯療效。
介入放射學的技術分類
一、血管介入放射學
亦稱介入性血管造影學(Interventional angiography),是指在診斷性血管造影的同時,自導管向血管管腔內注射藥物或某些物質或施行某種措施,以達治療目的。常用血管介入技術有三種。
1、血管內灌注藥物治療
(1)血管收縮治療經導管向有關動脈內滴注加壓素,以控制胃腸道出血,例如食道胃靜脈曲張出血、胃黏膜瀰漫性出血及結腸憩室出血等等。
(2)腫瘤化療導管留置於供應腫瘤的動脈,滴注化療藥物,使局部用藥濃度加大,避免或減輕化療引起的全身反應。
2、經導管血管栓塞法(Transcatheter embolization)
經原血管造影的導管或特製的導管,將栓塞物送至靶血管內,一是治療內出血如外傷性臟器出血、潰瘍病、腫瘤或原因未明的臟器出血。另一是用栓塞法治療腫瘤,因腫瘤循環部分或全部被栓塞物阻斷,以達控制腫瘤之生長,或作為手術切除的一種治療手段;亦可用於非手術臟器切除,例如注射栓塞物質於脾動脈分支內,即部分性脾栓塞,以治療脾功亢進,同時不影響脾臟的免疫功能。
常用的栓塞物質如自體血凝塊、明膠海綿、無水酒精、聚乙烯醇、液體矽酮、不鏽鋼圈、金屬或塑膠小球及中藥白芨等。
3、經皮腔內血管成形術(Percutaneous transluminal angioplasty,PTA)
60年代開始套用於動脈,使狹窄的血管擴張,70年代研製雙腔氣囊導管成功後,得到廣泛套用,多用於髂、股、膕動脈及腎動脈。腎動脈PTA(或PTPA)多用於腎源性高血壓,使狹窄腎動脈擴張,從而降低血壓。PTA亦可用於冠狀動脈,稱為經皮腔內冠狀動脈成形術(Percutaneous transluminal coronary angioplasty,PTCA),使硬化的冠狀動擴張,以達到治療冠心病的目的。PTA使用的導管為帶膠囊的雙腔導管,將膠囊段置於狹窄血管處,囊內注入含有造影劑的液體,加壓至3~6個大氣壓,每次持續10—15o。加壓可重複3~4次,多數能使狹窄血管達到擴張的效果。
PTA多用於動脈粥樣硬化性狹窄的血管,其機理是粥樣斑塊受壓,內膜和中層撕裂、伸展,使管腔增寬。其他原因的血管狹窄,如多發性大動脈炎,先天性血管狹窄,有時也可用PTA治療。
二、非血管性介入放射學
1、經皮穿刺活檢(Percutaneous needle biopsy,PNB)
使用細針(22~23號,外徑0.6~0.7mm)經皮直接穿刺身體各部位病變區,由於針頭有特殊裝置,便於取出病變的活檢標本。也可用細針直接抽吸病變的組織碎塊,再作活檢。
胸部PNB用以診斷肺臟、縱隔和胸壁病變,對肺內球形病籵及縱隔包塊的定性診斷有重要意義,準確率可達85%。較常見的併發症為氣胸、出血、但用細針的併發症甚少,腹部PNB套用較多,肝、膽、胰、脾、腎及腹後壁包塊均可,診斷準備性亦高;骨骼穿刺須用較粗骨穿針,可診斷骨腫瘤。此外還用於穿刺甲狀腺腫塊,眶內腫塊等等。
為保證針刺安全到達待查病變處,須用電視螢屏、CT、B超、及有關造影檢查,以便指引穿刺方向。
2、經皮穿刺引流
(1)經皮肝穿膽道引流(Percutaneous transhepatic choledochus drainage,PTCD或PTD)由於惡性(如膽管癌、胰頭癌)或良性(如總膽管結石)病變,引起肝外膽道梗阻,臨床出現黃疸。PTCD可行膽道內或膽道外膽汁引流,故而緩解梗阻,減輕黃疸,為根治手術提供有利條件。行PTCD前需先做經皮肝穿膽管造影(Percutaneous transhepatic),確定膽管梗阻的部位、程度、範圍與性質。PTCD有內外引流之分,通過PTC的穿刺針引入引導鋼絲,而後拔出穿刺外地,沿引導鋼絲送進末段有多個側孔的導管,導管在梗阻段上方的膽管內,其內口亦在該處,膽汁經導管外口連續引流,是為外引流;若導管通過梗阻區,留置於梗阻遠端的膽管內或進入十二指腸,膽汁則沿導管側孔流入梗阻下方的膽管或十二指腸,是為內引流。
(2)經皮腎穿腎盂造瘺術(Percutaneous transrenal pyelotomy)主要用於尿路梗阻引流,也可利用造瘺術的導管將腎盂或輸尿管內結石向下推移,送至膀胱排出。造瘺術方法同上,使用細針經皮穿腎,進入腎盂,先做經皮順行腎盂造影(Percutaneous antigrade pyelography)觀察尿路形態、狹窄或梗阻部位及其程度,而後沿穿刺針送進引導鋼絲,再將導管插入,留置於腎盂內。
按臨床套用分類
1、血管性疾病:
(1)PTA +Stent治療血管狹窄。
(2)溶栓+PTA和(或)Stent治療血管狹窄。
(3)套用栓塞材料,鋼圈,內支架治療動脈瘤、AVM、動靜脈瘺,血管性出血。
(4)套用穿刺術+PTA+Stent治療門脈高壓症,布加氏綜合症。
(5)套用栓塞術或血管加壓素治療胃腸道血管出血。
(6)下腔靜脈濾器預防下肢、腹盆部血栓脫落。
2、心臟疾病:
(1)套用閉合傘治療ASD、VSD。
(2)套用鋼圈或粘堵劑治療PDA。
(3)套用球囊擴張治療肺動脈瓣、二尖瓣狹窄。
(4)套用PTA+Stent治療冠狀動脈狹窄。
(5)射頻消融治療心動過速。
(6)心臟起搏器治療各種心率過緩。
3、腫瘤:
(1)選擇性腫瘤供血動脈灌注化療+栓塞治療惡性腫瘤。
(2)經皮穿刺注入無水酒精、沸水治療惡性腫瘤。
(3)套用栓塞術治療海綿狀血管瘤,蔓狀血管瘤,子宮肌瘤,骨肉瘤,鼻咽部纖維血管瘤等。
(4)熱消融治療肝癌,肺癌。
4、非血管性疾病:
(1)套用PTA+Stent或單純PTA治療消化道,泌尿道、膽道、氣道、鼻淚管狹窄。
(2)套用栓塞術或經輸卵管注入硬化劑治療宮外孕。
(3)套用擴張術治療輸尿管狹窄。
5、穿刺活檢術:
套用特製穿刺針抽吸或取組織進行病理檢查。
按所套用的設備分類
1. 在X線透視引導下。
2. 在CT引導下。
3. 在B超引導下。
4. 在MRI引導下。
診療範圍
介入放射學診療範圍:一、全身各部位血管造影;二、各類腫瘤的治療:如肝癌、肺癌、食管癌、腎癌、胰腺癌、各種轉移性腫瘤及婦科腫瘤、骨腫瘤等;三、肝血管瘤栓塞術和肝、腎囊腫、膿腫抽吸硬化術;四、各種動脈瘤、血管畸形的栓塞治療及血管閉塞性疾病PTA或支架置入;五、非血管性管腔狹窄:食管良惡性狹窄、胃腸吻合口狹窄、膽道梗阻支架置入;六、子宮肌瘤、宮外孕、輸卵管阻塞引起的不孕症;七、各系統病變經皮細針穿刺活檢;八、其它:股骨頭壞死、脾功能亢進、消化道出血、婦產科急性大出血、支氣管擴張大咯血、腔靜脈濾器植入(預防或治療肺梗塞)。
所用器材和材料
1、器械:各種特製導管、導絲、穿刺針、血管鞘、球囊、活檢針。
2、材料:內支架、栓塞材料(水劑,粘膠,明膠海綿,真絲線段,各種特製微顆粒如PVA,可脫性球囊,鋼圈等)、濾器、引流導管。
存在問題
1、介入治療技術的規範化問題。
2、國產介入相關的器械,器具不能適應臨床工作和發展的需要,主要依靠進口。
3、介入治療的學術和專業水平在各地發展不平衡。
4、面臨微創外科(minimally invasive surgery)的挑戰。
圖書信息
介入放射學書 名: 介入
放射學
作者:郭啟勇
出版社: 人民衛生出版社
出版時間: 2010年8月1日
開本: 16開
定價: 32.00元
內容簡介
《介入放射學(第3版)》內容簡介:隨著醫學的發展,醫學教育及醫療人才的培養越來越體現出其重要意義,這也是醫學可持續發展的基石。醫學教材的編寫是提高醫學教育水平、強化醫學人才培養的重要手段。隨著醫學分科越來越細緻化、專業化,各領域醫學分支均需要相應的教材來保證並促進自身的進步,正是基於這樣的精神,2000年第1版《介入放射學》教材編寫完畢,在10餘年來得到了廣大讀者的大力支持,達到了使學生掌握基礎理論、基本知識和基本技能的目的,促進了介入放射學教育自身及本領域醫療人才的迅速發展。
介入放射學是在影像診斷領域裡發展速度最快的一個學科,也是醫學領域裡發展速度最快的學科之一,10年來,介入放射學得到了長足的發展,相關的技術、理念也隨之不斷完善和發展。本書總結了第1版教材的成功經驗,在詳盡介紹了介入放射學相關器材、藥物,尤其是近年來得到廣泛套用的全新器材和藥物的基礎上,繼續將穿刺引流術、血管栓塞及灌注術、管腔成形術作為三大基礎介入放射學治療技術進行闡述,著重介紹各種介入方法的概念、具體操作方法、適應證、併發症和臨床套用,即使學生掌握操作要領,又能靈活運用這些方法去解決臨床具體問題。同時介紹了一些值得嘗試的新方法,進一步開拓讀者的視野。體現了醫學教材“思想性、科學性、先進性、啟發性和適用性”辨證統一的指導思想。
圖書目錄
第一章 總論
第一節 介入放射學的發展簡史
一、世界介入放射學發展簡史
二、我國介入放射學發展簡史
第二節 介入放射學所需器材
一、影像監視設備
二、使用器材
第三節 介入放射學使用藥物
一、血管收縮與擴張藥物
二、止血與抗凝、溶栓藥物
三、抗腫瘤藥物
第四節 栓塞物質
一、生物栓塞物質
二、海綿類
三、簧圈類
四、可脫落球囊
五、組織壞死劑
六、微粒、微球、微囊類
七、碘油
八、中藥類
九、物理因素
十、黏膠類
第五節 介入放射學的分類與範疇
一、按照介入放射學方法分類
二、按照治療領域分類
三、介入放射學的範疇
第六節 介入放射學地位與未來
一、在放射學界的地位
二、在醫學界的地位
第二章 經皮穿刺引流術
第一節 器材與操作技術
一、器材
二、操作方法
第二節 適應證和禁忌證
一、適應證
二、禁忌證
第三節 不良反應及併發症
第四節 臨床套用
一、膽道梗阻
二、泌尿道梗阻
三、腎囊性病變
四、肝膿腫
五、腹腔和盆腔膿腫
第三章 經導管血管栓塞與灌注術
第一節 經導管血管栓塞術
一、栓塞術的治療機制
二、栓塞器材及栓塞物質
三、操作技術
四、適應證和禁忌證
五、栓塞反應及併發症
六、臨床套用
第二節 經導管藥物灌注術
一、基本原理
二、器材與方法
三、IAI中常用化療藥物
四、臨床套用
第四章 經皮經腔血管成形術
第一節 治療機制
一、球囊血管成形術機制
二、支架血管成形術機制
第二節 器材與操作技術
一、球囊血管成形術器材與操作技術
二、支架血管成形術器材與操作技術
第三節 適應證與禁忌證
一、球囊血管成形術的適應證與禁忌證
二、支架血管成形術的適應證與禁忌證
第四節 不良反應與併發症
一、球囊血管成形術的不良反應與併發症
二、支架血管成形術的不良反應與併發症
第五節 再狹窄與防治
一、球囊血管成形術的再狹窄
二、支架血管成形術的再狹窄
三、血管成形術後再狹窄的防治
第六節 臨床套用
第七節 其他血管成形術簡介
一、經皮雷射血管成形術
二、經皮機械性動脈內膜切除術
第五章 非血管管腔成形術
第一節 治療機制
一、氣道成形術
二、消化道成形術
三、膽管成形術
四、尿道成形術
五、輸卵管成形術
第二節 器材與操作技術
一、非血管管腔成形術所需器材
二、操作技術
第三節 適應證和禁忌證
一、氣道成形術適應證與禁忌證
二、消化道成形術適應證與禁忌證
三、膽道成形術適應證與禁忌證
四、尿道成形術適應證與禁忌證
五、輸卵管再通術適應證與禁忌證
第四節 不良反應及併發症
一、氣道成形術併發症
二、消化道成形術併發症
三、膽道成形術併發症
四、尿道支架併發症
五、輸卵管再通術併發症
第五節 臨床套用
一、食管狹窄
二、氣管支氣管狹窄
三、胃、十二指腸支架術
四、結腸、直腸支架術
五、膽管狹窄
六、輸卵管阻塞
七、前列腺段尿道支架術
第六章 其他介入治療技術
第一節 經皮異物取除術
一、經皮心血管腔內異物取除術
二、經皮軟組織內異物取除術
第二節 下腔靜脈濾器的置放
一、概述
二、常用濾器
三、腔靜脈濾器的選擇
四、操作方法與注意事項
五、臨床套用
第三節 脊柱良惡性疾病的介入治療
一、腰椎間盤突出症的介入治療
二、經皮椎體成形術
三、經皮椎體後凸成形術
第七章 腫瘤介入及綜合治療
第一節 原發性肝癌
一、概述
二、病因與病理
三、臨床表現與診斷
四、肝癌的介入治療
五、肝癌併發症的介入治療
六、其他綜合治療
第二節 膽管癌
一、概述
二、病因與病理
三、臨床表現與診斷
四、膽管癌的介入治療
第三節 肝血管瘤
一、概述
二、病因與病理
三、臨床表現與診斷
四、肝血管瘤的介入治療
第四節 子宮肌瘤
一、概述
二、病因與病理
三、臨床表現與診斷
四、子宮肌瘤的介入治療
第五節 放射性粒子植入術
一、概述
二、器械
三、套用範圍
四、常見臨床套用
第八章 周圍血管疾病的綜合介入治療
第一節 主動脈疾病的介入治療
一、主動脈狹窄擴張術
二、主動脈瘤血管腔內修復術
第二節 腎動脈疾病的介入治療
一、臨床簡介
二、適應證與禁忌證
三、介入治療技術
四、療效
五、併發症及其防治
第三節 下肢動脈閉塞性疾病的介入治療
……
第九章 神經系統疾病的綜合介入治療
第十章 肝硬化的綜合介入治療
第十一章 介入診斷學
名詞索引

