疾病概述
主動脈竇動脈瘤破裂主動脈瓣竇動脈瘤破裂,是一種少見的先天性心臟病。占先天性心臟病的1~2%。在胚胎發育過程中,由於主動脈瓣竇的基部發育不全,竇壁中層彈性纖維和肌肉組織薄弱或缺失,使主動脈壁中層與主動脈瓣纖維環之間缺乏連續性,造成主動脈瓣竇的基底部薄弱點,出生後主動脈血流壓力將主動脈瓣竇的薄弱區逐漸外推膨出形成主動脈瘤樣突出。最後在伴有或不伴有體力勞動或外傷的情況下發生破裂,即形成主動脈瓣竇動脈瘤破裂。主動脈瓣竇動脈瘤常呈風兜狀,頂端有破口,竇瘤破裂多發生在右冠動脈瓣竇,次之為無冠動脈瓣竇,左冠動脈瓣竇則很少見。
疾病病因
主動脈竇動脈瘤破裂在胚胎髮育時期,主動脈竇部組織發育不全,有薄弱部分,合併室缺時,右冠竇鄰近的右室漏斗部失去支持,在受到高壓血流的衝擊即可發生瘤體破裂。室缺可能是竇瘤形成的一個重要因素。
2.後天性因素
目前普遍認為後天性因素還有由於感染性心內膜炎、梅毒等引起的竇瘤破裂。
疾病病理
主動脈竇動脈瘤破裂主動脈瓣竇動脈瘤發生破裂後通常破裂入右側低壓心腔,血液從高壓的主動脈分流入低壓的右心室腔,產生大量的左向右分流,肺循環血流量增多,右心室負荷加重,引致右心室擴大、肺動脈高壓和右心衰竭;主動脈瓣竇動脈瘤破入右心房腔則使右心房壓力明顯增加,右心房明顯擴大,上、下腔靜脈血液回流受阻,出現右心衰竭症狀;主動脈瓣竇動脈瘤破裂入心包腔則產生急性心臟壓塞引起死亡。本病病程進展隨著破口大小而異。破口越大,左向右分流量越多,則症狀出現早,病情進展快。
主動脈瓣竇動脈瘤常可合併其他心臟畸形,其中最常見的為並發室間隔缺損(約占40~50%),這樣更加重左右心室的負荷。亦常伴有主動脈瓣關閉不全、肺動脈口狹窄、主動脈縮窄和動脈導管未閉等。
臨床表現
主動脈竇動脈瘤破裂1.未破裂的主動脈瓣竇動脈瘤不呈現臨床症狀,破裂後才呈現症狀。少數病人由於破口甚少,僅有小量左向右分流,很長時間內病人可無自覺症狀,這些病人常因心臟雜音而偶然發現,通過超聲心動圖、右心導管檢查及主動脈造影而診斷。
2.發病年齡多數在20~40歲之間,約有1/3的病人起病急驟,在劇烈勞動時突然感覺心前區或上腹部劇烈疼痛、胸悶和呼吸困難,病情類似心絞痛。病情迅速惡化者,發病後數日即可死於右心衰竭。
3.多數病例破口較小,起病後可有數周、數月或數年的緩解期,然後呈現右心衰竭症狀。
症狀和體徵
主動脈竇動脈瘤破裂1.主動脈竇瘤未破裂前一般無症狀。
2.可劇烈活動時突發心前區疼痛,隨即出現心悸、氣急,迅速惡化至心力衰竭。亦有緩慢發病,勞累後心悸、氣急、乏力,逐漸加重至喪失勞動能力。
3.胸骨左緣3、4肋間震顫和粗糙Ⅳ級連續性雜音,並向心尖傳導。可伴脈壓增寬、水沖脈、動脈槍擊音及肝腫大等有心衰體徵。
4.心電圖:電軸左偏、左心室高壓、肥大或左、右心室肥大。
5.X線胸片:心影增大,肺動脈段突出,肺門充血,肺紋理增重。
6.超聲心動圖:主動脈竇呈局限隆起,波形中斷,於舒張期脫人右心室流出道或右心房間隔下緣,二維可示破裂處,都卜勒證實分流。
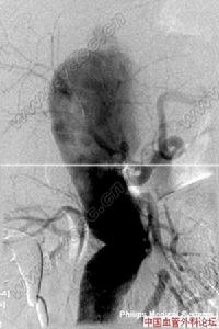
主動脈竇動脈瘤破裂7.逆行升主動脈造影可確診,表現為動脈竇擴大畸形,右心室流出道和肺動脈或右心房有造影劑顯影。
8.心臟檢查:破入右心室的主動脈竇動脈瘤,在胸骨左緣第3、4肋間捫到震顫和聽到粗糙Ⅳ連續性雜音,向心尖傳導;破入右心房者則偏向胸骨正中或右緣。周圍血管體徵為脈壓增寬、水沖脈、槍擊聲等,並可有肝腫大等右心衰竭體徵。
鑑別診斷
主動脈竇動脈瘤破裂病理改變
主動脈竇動脈瘤破裂主動脈瓣竇動脈瘤常可合併其他心臟畸形,其中最常見的為並發室間隔缺損(約占40~50%),這樣更加重左右心室的負荷。亦常伴有主動脈瓣關閉不全、肺動脈口狹窄、主動脈縮窄和動脈導管未閉等。本病病程進展隨著破口大小而異。破口越大,左向右分流量越多,則症狀出現早,病情進展快。
治療與預防
主動脈竇動脈瘤破裂心臟切口途徑按主動脈瓣竇動脈瘤破入腔室部位或伴發心臟畸形來決定採取右房、右室或主動脈切口。切開心臟顯露病變,瘤體呈風兜樣壁薄而光滑,頂部有個或幾個破口,破裂的動脈瘤有內外兩口,內口位於主動脈瓣竇處,縱向剪開瘤壁,距內口約0.3~0.4cm處再環形剪除整個囊壁,保留內口周圍較堅韌的囊壁組織以便縫合,縫合時先作“8”字連續縫合,然後囊壁兩側再加墊褥式縫合以加固縫線。經主動脈切口途徑,可直接自冠狀動脈開口灌注停搏液,且可精確檢視瓣葉,囊狀竇瘤可自右房或右室牽回主動脈內,切除多餘瘤壁,竇瘤的切除與縫合方法與上述一致。對合併的嵴上型室間隔缺損,可經主動脈切口或右心室切口予以修補,如伴發主動脈瓣關閉不全,可同時作主動脈瓣成形術或主動脈瓣膜置換術。
常見誤診
主動脈竇動脈瘤破裂主肺動脈間隔缺損這類主動脈內左向右分流的心臟畸形沒有突發病史機器樣連續性雜音位置在左第肋間雜音常向兩肺及同側鎖骨下區傳導超聲心動圖檢查在降主動脈與左肺動脈區存在左向右分流必要時作右心導管檢查或逆行主動脈造影術即可明確診斷。
2.室間隔缺損並存主動脈瓣關閉不全
本病無突發病史收縮期和舒張期來回性雜音部位在左側第肋間超聲心動圖檢查顯示心室間隔回聲段缺失和心室腔記憶體在左向右分流主動脈瓣可顯示瓣膜關閉不全徵象。
3.冠狀動脈瘺
指左右冠狀動脈與心腔或冠狀靜脈存在異常交通在心前區下方可聽到連續性雜音以舒張期為主超聲心動圖檢查或逆行主動脈造影見到冠狀動脈呈擴大曲張並可見到造影劑由冠狀動脈流向心腔內。
手術方法
主動脈竇動脈瘤破裂術後處理的重點是控制感染,避免發生細菌性心內膜炎;強心利尿擴血管治療,改善心功能。
病例分析
主動脈竇動脈瘤破裂主動脈竇動脈瘤是一種罕見的先天畸形,約占先天性心臟病患病率的2%~3.56%,其破入右室者最多,其次為右房。發生原因主要是胚胎期竇壁中層彈力纖維發育不良,在主動脈內高壓影響下,該薄弱處逐漸變薄擴張,呈囊袋狀突出,當壓力突然增加時破裂,由於主動脈和破入心腔間存在著較大的壓力階差,可產生大量的左向右分流,因而導致全心容量負荷增加,特別是外破口較大或破入右房者,病情進展快,容易發生充血性心力衰竭,部分患者易繼發心內膜炎、心律紊亂、腎功能衰竭等嚴重併發症。臨床多表現為起病急、進展快。一般認為,主動脈竇動脈瘤破裂之前多無明顯症狀和體徵,一旦破裂,即產生劇烈胸痛及顯著的血流動力學改變。破入右室、右房者可出現右心衰竭,呈進行性加重。體徵有胸骨左緣第3、4肋間連續性響亮機器樣雜音,常伴有肺動脈高壓、右心功能不全及脈壓差增大的表現。首次聽診往往有主動脈瓣受損的印象,易誤診為主動脈瓣關閉不全,本例即是此種情況。超聲心動圖是最佳的無創診斷法,可直接顯示主動脈竇動脈瘤的起源形態、突入的心腔位置、竇瘤破口大小、是否合併其他心臟畸形、分流的性質、時相、最大流速,提供血流動力學資料。一旦瘤體破裂,預後不良,可在數周至數月內因嚴重併發症死亡。內科治療只能起到短暫的減輕作用,手術治療往往可以獲得滿意的效果。該戰士因沒有及時手術,導致急性腎功能衰竭並時間過長,多臟器衰竭而死亡。
併發症狀
主動脈瓣竇動脈瘤常可合併其他心臟畸形,其中最常見的為並發室間隔缺損(約占40~50%),這樣更加重左右心室的負荷。亦常伴有主動脈瓣關閉不全、肺動脈口狹窄、主動脈縮窄和動脈導管未閉等。當主動脈竇瘤未破裂時,除嚴重阻塞右心室者外,一般無症狀。男性多見。約40%有突發心前區疼痛史,常於劇烈活動時發生破裂,隨即出現心悸、氣急.可迅速惡化至心力衰竭。較多的病人發病緩慢,勞累後氣急、心悸、乏力等逐漸加重,以致喪失活動能力。
