定義
念珠菌中文名稱:念珠菌感染,念珠菌性陰道炎
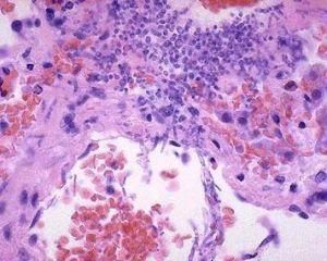
名詞解釋:是陰道內的一種常見的菌種,在月經期前後、停經期或生產後,當陰道酸度減少,黴菌和細菌之間正常的平衡被破壞時,念珠菌數量會急速增加而造成感染。其特徵是灰白色乳酪狀白帶,其癢無比。最常發生在糖尿病患者、孕婦等免疫力較差的婦女,或是穿著太緊密的長褲也可能發生。本文著重介紹了除菌湯對念珠菌感染的治療。中藥熏洗療法屬中醫常用的外治法之一,是中國醫藥學的重要組成部分。它是將藥液盛於器皿內,利用升騰的熱氣熏洗身體的某些部位或全身,利用藥療、水療、熱療對皮膚、經絡、穴位的刺激和藥物的透皮吸收,達到治療疾病、養生保健的目的。因藥物不經胃腸破壞,直接作用於皮膚,並通過透皮膚吸收進入血液,故較之內服藥見療效快,舒適,無任何毒副作用的優點,也不會增加肝臟負擔,因此被醫學界譽為“綠色的療法”。在當今風靡世界的藥浴熱中,中藥藥浴熏洗可謂是一枝獨秀。
中藥除菌湯為統治婦女陰道炎症之良藥,綜觀全方,純中藥成分,熏洗除菌(菌指為臨床上的女科念珠菌性陰道炎),可謂秘制女科之良藥,共奏清利濕熱,疏肝解郁,殺菌止癢之功。黴菌性陰道炎患者帶下量多,陰腫陰癢難忍,頑固難愈,反覆發作。採用中藥除菌湯熏洗效果顯著,方中的苦參、蛇床子、百部、土茯苓、地膚子、白鮮皮、龍膽草、明礬等都具有清熱解毒,燥濕止癢的效果,諸藥合用,拔內濕、驅外毒,共奏清熱燥濕,解毒殺蟲止癢止帶之功效,徹底根治黴菌性陰道炎不復發。
治療
①消除誘因:基有糖尿病應積極治療,及時停用廣譜抗生素、雌激素、皮質類固醇激素、勤換內褲,用過的內褲、盆及毛巾均套用開水燙洗耳恭洗。
②局部用藥:2%蘇達水沖洗陰道外陰後,制黴菌素菜枚)陰道上藥,連用7日為一療程。基伴有外陰瘙癢,可同時用制黴菌素或達克寧霜塗外陰。
③全身用藥:
A斯皮仁諾(每粒100mg)早晚各服飾粒,服1日。
B氟尿唑:150mg頓服一次。
C酮康唑:每日200~400mg,每日1次口服,連服7日。
④妊娠合併念珠菌感染的治療:局部治療為主,7日療法效果佳,禁用口服唑類藥物。
⑤性伴侶治療無需進行常規治療。有症狀男性應進行檢查和治療。

