流行病學
肺念珠菌病病因
肺念珠菌病迄今為止,已發現有270 余種念珠菌,其中引起人類致病的念珠菌主要有白色念珠菌(C.albicans) 、熱帶念珠菌(C.tropical) 、假熱帶念珠菌(C.pseudotropicalis) 、近平滑念珠菌(C.parapsilosis) 、克柔念珠菌(C.kruseii)、星形念珠菌(C.stellatoidea)、光滑念珠菌(C.glabrata)、高里念珠菌(C.guilliermondii),均為條件致病菌,其中以白色念珠菌毒力最強,也最常見。念珠菌在普通培養基上生長較快,為橢圓形芽生細胞,在特殊培養基上形成菌絲。菌種的鑑別需依靠生化試驗。念珠菌的致病力與菌體形態和黏附能力有關,酵母型一般不致病,菌絲型有致病性。黏附力強的念珠菌致病力亦強。某些念珠菌能分泌毒素和水解酶,破壞組織。正常人皮膚、口腔、胃腸道等均有念珠菌寄生,正常情況下不致病,當人體免疫防禦功能下降,寄殖於口腔、上呼吸道的念珠菌可侵入呼吸道引起內源性感染。飲食不潔,院內交叉感染可致外源性感染。留置導管、黏膜潰瘍等破壞黏膜完整性,也可使念珠菌侵入體內。肺可為原發性感染,也可為血源播散性念珠菌的一部分。
病理生理
正在分裂的念珠菌臨床表現
1.支氣管炎型: 症狀較輕,咳嗽、咳少量白色粘液痰或膿痰; 檢查口腔、咽部及支氣管黏膜可見覆蓋散在性點狀白膜。雙肺偶可聞乾性羅音。
2.肺炎型: 呈急性肺炎或伴敗血症表現,畏寒、發熱、咳嗽、咳白色粘液膠凍樣痰或膿痰,帶血絲,甚至有咯血、呼吸困難等; 一般全身情況較差,肺部可聞及乾、濕性羅音。
3.過敏型:可有呼吸困難、鼻癢、流涕、噴嚏等症狀,兩肺可聞及哮鳴音。
檢查
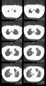
肺念珠菌病2、影像學檢查:兩肺紋理增深或呈瀰漫性小片狀或斑點狀陰影部分可融合成大片緻密影邊緣模糊形態,多變發展迅速病變大多位於中下肺野部分,病例伴胸膜改變慢性病變呈纖維條索狀陰影和代償性肺氣腫。
3、X線檢查:顯示兩肺紋理增多,或呈瀰漫性小片狀或斑點狀陰影,部分可融合成大片緻密影,邊緣模糊,形態多變,發展迅速。病變大多位於中下肺野,肺尖較少受累。
4、真菌檢查:痰液塗片直接鏡檢可查見念珠菌;真菌培養根據菌落生長和鏡檢鑑定菌種。此種方法必須結合其他方面情況,才能考慮診斷是否成立。
5、病理組織學檢查:纖維支氣管鏡刷洗塗片和活檢,肺、胸膜穿刺活檢有利於肺部真菌感染的診斷。
6、免疫學檢測:①真菌皮膚試驗:念珠菌素皮試對念珠菌感染診斷有參考價值,一般試驗呈現陽性,但嚴重感染病例也可出現陰性反應;②螢光抗體試驗:對直接塗片標本、真菌培養的菌落以及病理組織學檢查的組織切片病原菌檢測有鑑定價值;③分子生物學技術:近年來已用於檢測真菌病原學,但其結果難以鑑別其為定植菌抑或感染菌是其缺點。
7、念珠菌代謝產物檢測以及聚合酶鏈式反應:可測定念珠菌基因序列,使早期診斷成為可能,但某些方法還處於實驗階段,有待於進一步研究。
輔助檢查
1.一般以檢查框限“A”和“B”為主;
2.必要時可以做檢查框限“A”、“B”、“C”。
診斷依據
肺念珠菌病2.檢查口腔、咽部可見覆蓋點狀白膜,肺部可聞乾、濕性羅音。
3.胸片可見小片狀或斑點狀陰影,部分可融合。
4.痰連續3次培養出同一菌種念珠菌,或直接鏡檢發現大量假菌絲或菌絲和成群芽孢。
5.環甲膜穿刺吸引或纖支鏡取下呼吸道分泌物、肺組織、胸水或腦脊液等培養出念球菌或直接塗片發現大量芽孢和假苗絲(或菌絲)。
鑑別
1.細菌性肺炎:細菌性肺炎多有高熱、咳嗽、咳痰、胸痛、氣促等症狀,肺部實變體徵和濕囉音,白細胞升高,胸片示片絮狀浸潤陰影,但病原學診斷較困難,需從痰液或胸液中分離出致病菌。
2.病毒性肺炎:病毒性肺炎一般先引起上呼吸道感染,然後向下蔓延引起肺部炎症。因呼吸道黏膜防禦功能受損,常誘發細菌感染。確診需根據咽拭、痰液病毒分離及血清特異性抗體測定。
3.肺結核:常見於年輕患者,有低熱、盜汗等症狀,早期為刺激性乾咳,而後有痰,空洞形成後咳嗽加劇,痰量增多,半數病人可有咯血。診斷主要根據胸片檢查和痰或其他標本中找到結核菌或結核特異性病理改變。
4.還需要與肺麴黴病、卡氏肺囊蟲肺炎等引起的肺炎鑑別。
治療原則
1.治療原發病,去除誘因。
2.加強支持療法。
3.抗真菌藥物套用: 選擇使用二性黴素B(AmB)— 5-氟胞嘧啶(5-Fc)和酮康唑。
用藥原則
念珠菌2.重症者以靜脈給藥為主,可聯合一種或兩種抗真菌藥,並加強支持療法。
3.頑固的病例可予以免疫療法,如菌苗注射等綜合治療。
治療措施
肺念珠菌病應儘量除去與本病發生有關的誘因。如長期大量套用廣譜抗生素皮質類固醇激素或免疫抑制劑的病人須考慮停藥或減量;若有糖尿病和惡性腫瘤等並發病應予以相應的處理;保持患處乾燥清潔。
內用療法
(一)制黴菌素:本品可抑制白色念珠菌,但不易從胃腸道吸收,故僅適於消化道感染或作為霧化吸入治療呼吸系統感染,內服每次50萬~100萬單位一日三次連用1~2周。
(二)兩性黴素B及球紅黴素靜滴治療內臟念珠菌病有一定效果,但毒性較大,須注意觀察國產廬山黴素與兩性黴素B有相似的療效。
(三)克霉唑:成人每日劑量2~3克分三次內服連續用2周。
(四)酮康唑:成人量200mg 每日一次即可,有人提出本品200 mg隔日服一次與每日一次效果相同。
(五)大蒜注射液20~40ml加入葡萄糖液靜滴,每日一次療效較滿意毒性亦小。
(六)轉移因子肌注隔日一次或內服甲氰咪胍300 mg每日四次,可以提高機體細胞免疫功能,對促進病人康復有裨益。
療效評價
1.治癒:症狀體徵消失,X線檢查肺部病變消失,痰培養連續3次陰性。
2.好轉:症狀體徵基本消失。
3.未愈:症狀體徵未改善,痰培養陽性。
預防常識
液體塗片------念珠菌(1)有肺炎病史但演變不典型,經正確使用抗生素療效欠佳。
(2)年老體弱者,特別是在大量套用抗生素、糖皮質激素或細胞毒藥物後產生的肺部感染。
(3)X線顯示兩中下肺斑片狀陰影,經治療未見吸收好轉。
(4)出現典型鵝口瘡、痰呈乳白色或灰白色、粘稠透明似凍膠狀,應注意肺念珠菌感染。治療應首先去除誘因及治療原發病,增強機體免疫功能。同時選用抗真菌藥物。頑固病例可輔以免疫療法如菌苗注射、或左鏇咪唑及轉移因數。
關注健康,了解疾病
| 2008年5月31日是世界衛生組織發起的第21個世界無菸日。本次無煙主題是“無煙青少年”,口號是“禁止菸草廣告和促銷,確保無煙青春好年華”。讓我們一起拒絕菸草,關注呼吸健康,了解呼吸疾病。 |

