病因
肺栓塞和肺梗死肺栓塞和肺梗死的易患因素:
1、年齡因素
屍檢資料表明, PE 的發生年齡多在50~65 歲,兒童患病率約為3 %。而60 歲以上可達20 %。90 %致死性PE 發生在50 歲以上。在女性20~39 歲者其深靜脈血栓的發生率較同齡男性高10 倍,故PE 之發生率相對增高。
2、活動減少
因下肢骨折、癱瘓、重症心肺疾病、手術等原因,致使長期不適當的臥床,或健康人平時肢體活動減少,降低了靜脈血流的驅動力,導致血流淤滯,深靜脈血栓形成。
肺栓塞和肺梗死3、靜脈曲張和血栓性靜脈炎
肺動脈造影和肺灌注掃描顯示,約51 %~71 %的下肢深靜脈血栓形成者可能合併PE。因靜脈曲張和深靜脈血栓性靜脈炎患者,由於各種原因,一旦靜脈內壓急劇升高或靜脈血流突然增多,栓子脫落而發生PE。
4、心肺疾病
25 %~50 %的PE 患者有心肺疾病,特別是心房顫動並伴有心衰的患者最易發生。據阜外醫院900 余例心臟病屍檢發現, 合併PE 者占11 %。其中尤以風濕性心臟病、心肌病、慢阻肺合併肺心病者為多。
5、創傷
15 %的創傷患者並發PE ,其中脛骨、骨盆、脊柱骨折常易發生PE(由於骨髓中的脂肪滴形成栓子) ;此外軟組織損傷和大面積燒傷也可並發PE ,可能因為受傷組織釋放某些物質損傷了肺血管的內皮細胞或造成高凝狀態所致。
6、腫瘤
許多腫瘤如胰腺癌、肺癌、結腸癌、胃癌、骨肉瘤等均可合併PE。腫瘤患者PE 發生率增高的原因可能是腫瘤細胞本身可以作為栓子,另外腫瘤患者的凝血機制常異常。
孕婦之血栓栓塞病較同齡未孕婦女高7 倍。服用避孕藥婦女靜脈血栓形成之發生率比不服藥者高4~7 倍。近報導靜脈輸注雌激素者亦可誘發PE[2 ] 。
8、其它原因
肥胖、某些血液病(如紅細胞增多症、鐮狀細胞病) 、糖尿病、肺包囊蟲病等。
長期臥床、 長期口服避孕藥物;血栓性靜脈炎、心臟病(尤其是風心病伴心衰房顫和細菌性心內膜炎者)、靜脈曲張;嚴重創傷、長骨骨折;外科手術,妊娠或分娩、靜脈插管;肥胖、癌腫等易患因素及基礎疾病者。
症狀
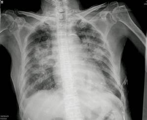
肺栓塞和肺梗死2、呼吸和心律增快、肺部羅音、肺動脈瓣第二心音亢進。胸片呈現肺部斑片狀或楔狀陰影,盤狀肺不張一側膈肌抬高,肺動脈增粗和局限性肺紋理減少。
3、心電圖和心向量有右心受累表現:重度順鐘向轉位,肺性p波,電軸右偏等改變。
4、血氣分析PaO240%;血乳酸脫氫酶>450U,穀草轉氨酶(AST)和肌酸磷酸激酶(CPK)正常血紅素增高。
5、肺通氣/灌注(V/Q)掃描呈Vn/Qo(n正常,q沒灌注)。
6、肺血管造影,其X線徵象為肺血管內缺損或肺動脈有斷流現象。本方法是診斷肺栓塞最準確而可靠的措施。
7、如可疑下肢深靜脈血栓,可行肢體靜脈造影,多譜勒超聲血管檢查。
檢查
1、凝血因子,出、凝血時間,纖維蛋白原降解產物,可溶性纖維蛋白複合物,血液流變學及血氣分析等。
2、肺功能檢查,包括肺泡氧分壓與動脈血氧分壓差,通氣與灌注比值和死腔/潮氣量比值。
3、心電圖,心向量,超聲心動圖檢查。
5、肺通氣/灌注顯象,肺動脈造影或數字減影血管造影。
6、如可疑下肢深靜脈血栓,可行肢體靜脈造影,多譜勒超聲血管檢查。
鑑別
肺栓塞和肺梗死需與肺栓塞和肺梗死鑑別的疾病很多,主要有急性心肌梗死、冠狀動脈供血不足、肺炎、胸膜炎、肺不張、哮喘、夾層動脈瘤、原發性肺動脈高壓和癔症等。
鑑別診斷的思維如下:
①症狀和體徵的特點;
②伴隨的症狀和體徵;
③相關病史的提示;
④有關實驗室檢查的結果。
以呼吸困難為例,肺栓塞的呼吸困難是突然發生的,往往伴有胸痛、咯血、休克或暈厥。如果病史中提示一些危險因素如骨折或長期制動,實驗室檢查發現下肢靜脈血栓,影像學顯示肺動脈高壓征或右室擴大甚至發現肺動脈阻塞征,即不難與其它疾病鑑別。
併發症
肺栓塞和肺梗死可以並發哪些疾病?
肺梗死是肺栓塞進一步的發展,在實際情況中肺動脈分支一旦血流阻斷,近毛細血管網處則因管壁缺氧滲透性增強,液體及紅細胞隨之滲出, 肺泡腔內滲出物增加,必然會使氣體交換受到影響,隨後肺梗死發生,這也是越近小動脈分支末梢堵塞越易發生梗死和梗死前必有出血的原因。手術或外傷後容易形成肺梗死,尤其是並發心血管疾病者,在肺淤血的基礎上更易形成肺梗死。
本病由於造成急性肺動脈高壓和右心衰竭,繼而肺缺血、缺氧和左心輸出量下降,循環衰竭。
治療
肺栓塞和肺梗死絕對臥床休息,吸氧、解痙、止痛、可採用氨茶鹼、阿托平、嗎啡、罌粟鹼以解除支氣管和血管痙攣及止痛;如出現心衰或休克者可酌情使用毛花丙甙、多巴胺、異丙基腎上腺素及低分子右鏇糖酐等。
2、抗凝治療:
(1)肝素療法。(2)維生素k拮抗劑:如新抗凝片;或雙香豆素。(3)溶栓治療。除非有溶栓禁忌,應爭取在發病小時內套用溶栓治療。如鏈激酶、尿激酶、重組組織纖維蛋白溶酶原。
3、外科手術治療:
(1)肺栓塞取栓術。(2)腔靜脈阻斷術。(3)導管抽吸靜脈血栓術。
預防
肺栓塞和肺梗死應該如何預防?
國外肺栓塞和肺梗死的發病率很高,美國每年發病率約60萬,三分之一死亡,占死因第三位。也有報告近年來隨著成人接受抗凝治療的增加,發病率呈減少趨勢。我國尚無確切的流行病學資料,但阜外醫院報告的900餘例心肺血管疾病屍檢資料中,肺段以上大血栓堵塞者達100例(11%),占風心病屍檢的29%,心肌病的26%,肺心病的19%,說明心肺血管疾病也常並發肺栓塞。
鑒於治療上諸多限制,預防PE極為重要.預防措施的選擇及其強度依據易造成靜脈血流瘀滯和血栓栓塞的臨床因素而定。
靜脈血栓栓塞的預防治療包括低劑量未分餾肝素(LDUH),低分子量肝素(LMWH),右鏇糖酐注射,華法林,間歇性氣囊壓迫(IPC)和逐步加壓彈性襪.阿司匹林對一般手術病人無預防靜脈血栓栓塞作用。
關注健康,了解疾病
| 2008年5月31日是世界衛生組織發起的第21個世界無菸日。本次無煙主題是“無煙青少年”,口號是“禁止菸草廣告和促銷,確保無煙青春好年華”。讓我們一起拒絕菸草,關注呼吸健康,了解呼吸疾病。 |
