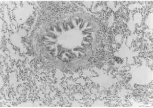
病理
氣管、支氣管狹窄症狀
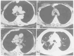
氣管、支氣管狹窄不同程度呼吸困難,呈吸氣性或呼氣性呼吸困難,也可兩者均有。常伴有氣促、喘鳴、咳嗽、有痰,痰易粘稠,咯出費力。體力活動和呼吸道內分泌物增多時加重,常有喘鳴。曾經施行氣管切開和插管術的病例呈現上述症狀者,應首先考慮氣管疤痕狹窄。前後位、側位和斜位氣管斷層攝片可清楚地顯示狹窄的部位、程度、長度和形態改變。
支氣管狹窄者患側胸廓呼吸動度、語顫可減弱或消失,叩之為濁音、聽診呼吸音低或消失,可有乾、濕羅音。
已拔除氣管插管,不再需要接受機械呼吸療法而氣管狹窄程度嚴重者,一般需施行氣管重建手術。通氣功能仍未完全恢復的病例則可定期作氣管擴張術,重建氣管,切開插管或在狹窄段置入通氣管支撐氣管腔等保守治療措施維持通氣功能,以延長生命。
檢查
氣管、支氣管狹窄1、x 線氣管斷層攝片可發現狹窄氣管。
2、內窺鏡檢查可以有效地發現狹窄的氣管和支氣管病變。
3、氣管碘油造影檢查雖對診斷氣管狹窄及瞭解狹窄範圍均有價值,但有加重氣管梗阻的危險,值得注意。
鑑別
氣管、支氣管狹窄氣管、支氣管狹窄容易與哪些疾病混淆?
氣管、支氣管狹窄的患者,一般通過臨床症狀及X線檢查或內窺鏡檢查便可以明確診斷,需要鑑別的主要是對原發疾病的鑑別診斷,這對正確的治療本病具有重要的意義,從這一點來說,氣管支架的治療方法在原發疾發沒有治好的情況下是一個治標的方法。氣管、支氣管狹窄的原發性疾病有以下幾種情況:
1、結核、外傷等引起的疤痕病變。
2、氣管切開後引起的疤痕性氣管支氣管狹窄。
3、惡性腫瘤引起的氣管支氣管狹窄。
併發症
氣管、支氣管狹窄不同的治療方法可以引起不同的併發症:
一、對需進行氣管切開手術治療氣管支氣管狹窄的患者,容易引起以下的併發症:
(1)皮下氣腫:是術後最常見的併發症,與氣管前軟組織分離過多,氣管切口外短內長或皮膚切口縫合過緊有關。自氣管套管周圍逸出的氣體可沿切口進入皮下組織間隙,沿皮下組織蔓延,氣腫可達頭面、胸腹,但一般多限於頸部。大多數於數日後可自行吸收,不需作特殊處理。
(2)氣胸及縱膈氣腫:在暴露氣管時,向下分離過多、過深,損傷胸膜後,可引起氣胸。右側胸膜頂位置較高,兒童尤甚,故損傷機會較左側多。輕者無明顯症狀,嚴重者可引起窒息。如發現患者氣管切開後,呼吸困難緩解或消失,而不久再次出現呼吸困難時,則應考慮氣胸,X線拍片可確診。此時應行胸膜腔穿刺,抽除氣體。嚴重者可行閉式引流術。
手術中過多分離氣管前筋膜,氣體沿氣管前筋膜進入縱隔,形成縱隔氣腫。對縱隔積氣較多者,可於胸骨上方沿氣管前壁向下分離,使空氣向上逸出。
(3)出血:術中傷口少量出血,可經壓迫止血或填入明膠海綿壓迫止血,若出血較多,可能有血管損傷,應檢查傷口,結紮出血點。
(4)拔管困難:手術時,若節開部位過高,損傷環狀軟骨,術後可引起聲門下狹窄。氣管切口太小,置入氣管套管時將管壁壓入氣管;術後感染,肉芽組織增生均可造成氣管狹窄,造成拔管困難。此外,插入的氣管套管型號偏大,亦不能順利拔管。有個別帶管時間較長的患者,害怕拔管後出現呼吸困難,當堵管時可能自覺呼吸不暢,應逐步更換小號套管,最後堵管無呼吸困難時再行拔管。對拔管困難者,應認真分析原因,行X線拍片或CT檢查、直達喉鏡、氣管鏡或纖維氣管鏡檢查,根據不同原因,酌情處理。
(5)氣管食管瘺:少見。在喉源性呼吸困難時,由於氣管內呈負壓狀態,氣管後壁及食管前壁向氣管腔內突出,切開氣管前壁時可損傷到後壁。較小的、時間不長的瘺孔,有時可自行癒合,瘺口較大或時間較長,上皮已長入瘺口者,只能手術修補。
二、若是用氣管支架的方法來治療患者還可能導致以下的併發症:
(1)氣道水腫 支架置入術後1~7d,由於擴張黏膜撕裂、支架及支架撐力等因素導致氣管黏膜充血、水腫,而使呼吸困難症狀較前加重。故需特別注意呼吸情況,如呼吸困難症狀是否改善,呼吸頻率、節律、深淺度變化和氧飽和度情況。如出現呼吸困難加重,胸悶、氣促、口唇發紺,氧飽和度下降至90%以下等情況時應立即通知醫師進行處理。經琥珀醯氫化可的松200mg靜脈注射及超聲霧化吸入後可明顯改善症狀。應向患者及家屬解釋原因及處理與轉歸,使患者解除焦慮緊張的情緒,從而進行有效的深呼吸及咳嗽、排痰,保持呼吸道通暢。
(2)咽部不適及異物感 纖支鏡檢查及支架置放後,患者均有程度不同的咽部不適及異物感,異物感常引起陣發性刺激性咳嗽。多數患者咳嗽程度較輕,在2周內明顯減輕或消失,無需藥物治療,但少數病例症狀明顯。套用曲馬多肌肉注射及可待因口服可明顯緩解症狀。
(3)出血 在擴張和氣管支架置入術中和術後易並發出血,系擴張時組織撕裂、血管損傷所致,多數為少量滲血,能自行停止,患者表現為痰中帶血,屬正常現象。應先向患者解釋,使其勿緊張,輕輕將痰血咳出,保持呼吸道通暢。若出血較多,且咳出無力者,需用纖支鏡吸出, 並予以2 ~3ml的0. 005%~0. 01%腎上腺素局部噴灑止血。
(4)支架遠端黏液阻塞 由於支架的放置影響氣道纖毛活動,阻礙黏液消除而導致支架遠端分泌物的積聚和阻塞,故放置支架後應予以霧化吸入, 2次/d,每次0. 5h。定時翻身拍背,鼓勵患者將痰咳出,必要時予以纖支鏡吸痰。
(5)支架移位 主要由於用力咳嗽或在氣管插管時發生,另外可能是支架型號偏小而不能牢固固定於適當部位。支架置入術後要定期進行胸部X線檢查或纖支鏡檢查,觀察支架置放情況。若患者出現支架移位,可經再次纖支鏡下取出並置入合適支架。
(6)支架腔內肉芽和腫瘤組織生長 增生的組織通過支架網眼向支架腔內生長,形成新的氣道狹窄,尤其是在繼發感染的情況下更易形成肉芽。因此術後應加強病情觀察,特別是觀察體溫、呼吸的變化,咳嗽咳痰情況,有無痰中帶血及呼吸困難。患者出現支架腔內腫瘤組織生長,在纖支鏡下進行微波燒灼處理。
治療
氣管、支氣管狹窄1、環形切除病變行對端吻合術是氣管狹窄的主要治療方法。
2、對僅由肉芽組織阻塞氣管腔的病例,可由氣管鏡清除肉芽組織或切開氣管在直視下刮除肉芽組織,使通氣順利。
3、對由鄰近器官腫物長期壓迫而氣管壁軟化所致的狹窄,在解除壓迫的基礎上,用肋骨片外撐固定軟化區,克服狹窄。
4、對狹窄區太長,不適宜作切除病變行對端吻合術者,可在氣管內置管,通過造口引出體外,以解除氣管梗阻,確保呼吸通暢。
5、嬰兒、兒童的氣管病變作切除對端吻合術,必須慎重。因嬰兒或兒童的氣管對端吻合口張力的耐受低於成人,且氣管管腔直徑小,耐受水腫差,因此應儘可能將手術推遲。
6、在治療過程中應重視抗感染治療。因感染可加重氣管梗阻程度,增加治療困難、亦可引發氣管完全梗阻等危險。
7、對已拔除氣管插管,不再需要接受機械呼吸療法而氣管狹窄程度嚴重者,一般需施行氣管重建手術。通氣功能仍未完全恢復的病例則可定期作氣管擴張術,重建氣管,切開插管或在狹窄段置入通氣管支撐氣管腔等保守治療措施維持通氣功能,以延長生命。
8、用於治療本病的其它手術方法還有氣管內探條擴張術、氣道球囊擴張術、氣道內雷射技術,氣管支氣管支架技術等。這些技術的出現使氣管支氣管狹窄和閉塞的治療變得簡便、安全,同時療效極為顯著。如結核、外傷等疤痕病變引起,則選用以探條和球囊擴張治療為主,儘可能避免置入支架等外來物體。如氣管支氣管完全閉塞,則需在嚴格選擇適應症的基礎上,套用雷射開通阻塞的氣道部分,再用探條或球囊擴張等維持氣道通暢,或根據實際情況置入可置換的氣道支架如矽酮支架等,待病情穩定後再根據需要取出支架。對於惡性腫瘤引起的氣管支氣管狹窄,則以氣道雷射和氣道支架置入為主。這些方法可在極短的時間內使閉塞或狹窄的氣管支氣管恢復通氣功能,明顯地提高患者的勞動能力,改善其生活質量,延長生存時間,為爭取治療原發病贏得寶貴時間。
預防
雙側支氣管嚴重狹窄對本病的預防主要是早期發現、早期診斷、早期治療原發性疾病,對發生在氣管及支氣管的病變應考慮到造成氣道狹窄的可能性,提前預防氣道狹窄病變的發生。在檢查時,氣管碘油造影檢查雖對診斷氣管狹窄及瞭解狹窄範圍均有價值,但有加重氣管梗阻的危險,值得注意。除非在其它檢查手段均無法明確診斷時不使用。
另外小兒由於頸部較短,氣管管腔小,軟骨較軟,甲狀軟骨和環狀軟骨等解剖標識難以摸清,往往認為少兒手術的危險性大、併發症多,術後護理困難,總是在病情加重後,迫不得已時才考慮手術,人為地增加手術難度。對需要手術的患者,如血氧低於80%則宜儘早手術,手術前,有條件的應行氣管插管,氣管插管用時短,副損傷小,且能及時緩解呼吸困難,有效吸除氣管及肺內分泌物,避免術中窒息,減少氣胸、縱隔氣腫等併發症。氣管插管後急症手術變為普通手術,有利於尋找氣管和術中操作,提高了手術的安全性,更便於搶救治療。
