疾病概述
縱隔蜂窩組織中積氣稱為縱隔氣腫,多發生在老年人慢性支氣管炎、長期哮喘發作或胸部外傷並發高壓性氣胸的病人。
疾病示例
症狀體徵
患者可有胸悶 、 氣急和煩躁 。有時出現突發胸骨後疼痛 ,向雙肩和雙臂放射。縱隔氣腫嚴重時,病人頭面、頸部和胸部皮下充氣,極度腫脹,觸診時有捻發音,狀貌嚇人。縱隔內大量積氣可壓迫大靜脈和神經,引起呼吸困難和心率加快;嚴重者可導致血壓下降和休克 。
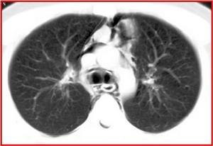
影像學表現
1.X線表現 在後前位可見狹長的氣體陰影,沿縱隔側上升至頸部軟組織,在下頸部氣體表現為斑塊陰影,並向外延伸,成為胸外壁的皮下氣腫,並可見縱隔胸膜形成的一條 細線狀緻密影。在側位上如氣體充盈較多時,在心臟前與胸骨之間可見明顯的透亮帶。
2.CT表現可顯示環繞縱隔內的氣體密度線條狀影,縱隔胸膜向肺野方向推移。縱隔內空氣常向上沿頸筋膜間隙向胸部皮下擴散,產生皮下氣體密度影。
治療方法
輕度可不處理,在處理張力性氣胸的同時縱隔氣腫可逐漸減輕以致消失。縱隔氣腫嚴重,影響呼吸循環者,可於胸骨上窩做橫切口,充分游離纖維組織,不縫合傷口,使氣腫自傷口排出。如為膿腫所致者,此切口可同時起到引流膿腫的目的。同時積極處理原發病如胸腔閉式引流,膿腫引流,套用抗生素等。
更多圖冊
