病因
急性肺膿腫(一)吸入性肺膿腫 病原體經口、鼻咽腔吸入,為急性肺膿腫發病的最主要原因。扁桃體炎、鼻竇炎、齒槽膿溢或齡齒等膿性分泌物;口腔、鼻、咽部手術後的血塊;齒垢或嘔吐物等,在神志昏迷,全身麻醉等情況下,經氣管被吸入肺內,造成細支氣管阻塞,病原菌即可繁殖致病。此外,有一些患者未能發現明顯誘因,國內和國外報告的病例分別為29.3%和23%。可能由於受寒、極度疲勞等誘因的影響,全身免疫狀態與呼吸道防禦功能減低,在深睡時吸入口腔的污染分泌物而發病。本型常為單髮型。其發生與解剖結構及體位有關。由於右總支氣管較徒直,且管徑較粗,吸入性分泌物易吸入右肺,故右肺發病多於左肺。在仰臥時,好發於上葉後段或下葉背段;在坐位時,好發於下葉後基底段。右側位時,好發於右上葉前段和後段形成的腋亞段。
急性肺膿腫(三)繼發性肺膿腫 多繼發於其他疾病,如金黃色葡萄球菌和肺炎桿菌性肺炎、空洞性肺結核、支氣管擴張症、支氣管囊腫和支氣管癌等繼發感染,可引起急性肺膿腫。肺部鄰近器官化膿性病變或外傷感染、膈下膿腫、腎周圍膿腫、脊柱旁膿腫、食管穿孔等,穿破至肺亦可形成膿腫。
(四)阿米巴肺膿腫 多繼發於阿米巴肝膿腫。由於肝膿腫好發於肝右葉的頂部,易穿破膈肌至右肺下葉,形成阿米巴肺膿腫。
早期細支氣管阻塞,肺組織發炎,小血管栓塞,肺組織化膿、壞死,終至形成膿腫。病變可向周圍擴展,甚至超越葉間裂侵犯鄰接的肺段。菌栓使局部組織缺血,助長厭氧菌感染,加重組織壞死。液化的膿液,積聚在膿腔內引起張力增高,最後破潰到支氣管內,咳出大量膿痰。若空氣進入膿腔,膿腫內出現液平面。有時炎症向周圍肺組織擴展,可形成一致數個膿腔。若膿腫靠近胸膜,可發生局限性纖維蛋白性胸膜炎,引起胸膜粘連。位於肺臟邊緣部的張力性膿腫,若破潰到胸膜腔,則可形成膿氣胸。若支氣管引流下暢,壞死組織殘留在膿腔內,炎症持續存在,則轉為慢性肺膿腫。膿腔周圍纖維組織增生,膿腔壁增厚,周圍的細支氣管受累,致變形或擴張。
病理
急性肺膿腫的病理改變包括早期的化膿性炎症實變階段和稍後期的肺組織壞死、液化而形成空洞階段。炎症實變期,肺泡腔內可見大量中性白細胞滲出液、膿細胞和細菌,以後肺泡、呼吸支氣管及細支氣管發生壞死、液化。壞死、液化物經支氣管排出而形成膿腔。臨床表現
急性肺膿腫1) 急起寒戰、高熱,伴全身虛弱乏力、多汗、食慾差、消瘦等。
2)咳嗽 咳嗽、胸痛,於發病第5-15天咯出大量膿痰,有惡臭。
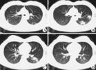
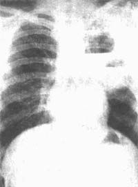
血白細胞計數和中性粒細胞均明顯升高;X線檢查可見病變變肺部呈密度增高的大症狀陰影,並有空洞及液平。
經積極治療,急性肺膿腫多於3個月內痊癒,超過3個月時則轉變為慢性肺膿腫。
影像學表現
1.肺內大片狀緻密陰影,邊續模糊,繼而出現厚壁空洞,內壁光整或不規則,可見液平。
2.形成張力性空洞,壁薄,可壓迫周圍肺組織或縱隔。
3.可伴有少量胸腔積液、膿胸或膿氣胸。
4.體層攝影、CT、MR有助於病灶形態內部結構和與周圍組織器官的三維立體觀察。
檢查
急性肺膿腫2、檢驗 血白細胞計數和中性粒細胞均顯著增加,病程長者可有紅細胞總數和血紅蛋白降低。痰液檢查,腐敗菌或厭氧菌合併感染時痰有臭味,靜置後可分三層。肺膿腫時應作痰液塗片革蘭染色和細菌培養及藥物敏感試驗,有條件時作厭氧菌培養。必要時找耐酸桿菌、寄生蟲卵和腫瘤細胞。血源性者可作肺外局部膿腫或炎性病灶的膿液塗片和培養。並發膿胸者可作胸腔穿刺抽液檢查。
3、纖維支氣管鏡檢查 了解阻塞原因和部位;保護性毛刷進行刷檢作細胞學和耐酸桿菌檢查;抽取分泌物作細菌塗片和培養;取活組織作病理學檢查;經纖支鏡作肺組織活檢(TBLB)。必要時經纖支鏡行肺泡灌洗作病原學和免疫學檢查。
鑑別
急性肺膿腫容易與哪些疾病混淆?
急性肺膿腫應與下列疾病相鑑別。
(一)細菌性肺炎 早期肺膿腫與細菌性肺炎在症狀及X線表現上很相似。細菌性肺炎中肺炎球菌肺炎最常見,常有口唇皰疹、鐵鏽色痰而無大量黃膿痰。胸部X線片示肺葉或段實變或呈片狀淡薄炎性病變,邊緣模糊不清,但無膿腔形成。其他有化膿性傾向的葡萄球菌、肺炎桿菌肺炎等。痰或血的細菌分離可作出鑑別。
(二)空洞性肺結核 發病緩慢,病程長,常伴有結核毒性症狀,如午後低熱、乏力、盜汗、長期咳嗽、咯血等。胸部X線片示空洞壁較厚,其周圍可見結核浸潤病灶,或伴有斑點、結節狀病變,空洞內一般無液平面,有時伴有同側或對側的結核播散病灶。痰中可找到結核桿菌。繼發感染時,亦可有多量黃膿痰,應結合過去史,在治療繼發感染的同時,反覆查痰可確診。
(三)支氣管肺癌 腫瘤阻塞支氣管引起遠端肺部阻塞性炎症,呈肺葉、段分布。癌灶壞死液化形成癌性空洞。發病較慢,常無或僅有低度毒性症狀。胸部X線片示空洞常呈偏心、壁較厚、內壁凹凸不平,一般無液平面,空洞周圍無炎症反應。由於癌腫經常發生轉移,故常見到肺門淋巴結大。通過X線體層攝片、胸部CT掃描、痰脫落細胞檢查和纖維支氣管鏡檢查可確診。
(四)肺囊腫繼發感染 肺囊腫呈圓形、腔壁薄而光滑,常伴有液平面,周圍無炎性反應。患者常無明顯的毒性症狀或咳嗽。若有感染前的X線片相比較,則更易鑑別。
治療
急性肺膿腫急性肺膿腫的感染細菌包括厭氧菌,一般均對青黴素敏感,在病程一個月內的患者,經積極抗生素治療,治癒率可達86%。肺膿腫的致病厭氧菌中,僅脆弱類桿菌對青黴素不敏感,而對林可黴素、克林黴素和甲硝唑敏感。抗生素如有效,宜持續8-12周,直至X線上空洞和炎症的消失,或僅有少量穩定的殘留纖維化。
在全身用藥的基礎上,可加用抗生素藥物局部治療,如用青黴素30萬單位稀釋在5-10ml生理鹽水中,先作4%普羅卡因,或2%的普羅卡因局部麻醉,隨後經鼻導管或環甲膜穿刺滴注抗生素至氣管內,按膿腫部位取適當體位靜臥1小時,每日1次。有條件時,可經纖支鏡在X線透視下,將細支氣管導管插入膿腔接近病灶的引流支氣管,直接注入抗生素藥液。
經積極內科治療而膿腔不能閉合的慢性肺膿腫,並有反覆感染或大咯血的患者,需考慮作手術切除。
1、常規治療 按一般呼吸系統疾病診療常規處理。
2、抗感染治療 原則上應根據細菌學和藥敏試驗結果選用抗生素。可先用青黴素G320萬~960萬U/d,分2~3次靜脈滴注,阿米卡星0.4~0.8g/d,靜滴,待細菌學和藥敏報告後再調整用藥。 合併厭氧菌感染者可加大青黴素G劑量或加用林可黴素1.8g/d,加入葡萄糖液內靜滴,或0.6g,2~3/d,肌注,甲硝唑0.4g,3/d,口服。嚴重者可靜滴頭孢西丁等。在全身用藥基礎上可行局部治療,如經鼻導管或經纖支鏡氣管內滴藥等。總療程為4~8周。阿米巴肺膿腫套用甲硝唑等抗阿米巴治療。
3、體位排痰和藥物祛痰 根據膿腫部位和病情採取體位引流,2~3/d,每次15~30min。給予祛痰藥物口服,如必嗽平、沐舒痰等,必要時行超聲霧化。
4、經纖支鏡沖洗 膿痰較多或有明顯痰液阻塞徵象者,可行纖支鏡沖洗和吸引。加強支持治療,必要時少量多次輸血。
6、外科治療 經內科常規治療3個月以上仍咳膿痰、膿腔無明顯改變者,或合併威脅生命的大咯血或不能與肺癌等鑑別時可行手術治療。
治癒標準及隨訪:發熱消退,無膿痰,X線檢查示病灶消失或纖維化,認為治癒。病癒出院後,半年內隨訪檢查1~2次,注意有無復發。
預防
急性肺膿腫是由多種化膿菌混合感染引起的肺實質化膿性炎症。含病原菌的口、鼻 咽腔分泌物吸入肺內是發病的主要原因。因此,預防本病的關鍵在於積極去除和治療口腔 鼻、咽腔的慢性感染源,如齲齒、 扁桃體炎,鼻旁竇炎,齒槽溢膿等 避免過量使用鎮靜、催眠、麻醉藥及酗酒 對上呼吸道手術及昏迷、全身麻醉者應加強護理,預防肺部感染 治療應早期使用強有力的抗生素,痰液引流亦是提高療效的重要措施。本病經積極有效治療後可獲痊癒。對慢性肺膿腫,尤其是抗生素治療3個月後,仍有厚壁空洞或反覆大咯血者 可考慮手術切除治療。
