簡介
起病多見於兒童和青年。近年來,由於抗生素的廣泛使用以及對兒童作免疫接種,嚴重的支氣管擴張症已較少見。另一方面,診斷技術的發展,也使一些臨床及胸片表現不典型的患者得以診斷。病因
支氣管擴張症繼發性支氣管擴張症的主要發病因素是支氣管和肺的反覆感染、支氣管阻塞以及支氣管受到牽連,三種因素相互影響。兒童時期麻疹百日咳、流行性感冒(某些腺病毒感染)或嚴重的肺部感染如肺炎克雷白桿菌葡萄球菌、流感病毒、真菌、分枝桿菌以及支原體感染,使支氣管各層組織尤其是平滑肌纖維和彈性纖維遭到破壞,黏液纖毛清除功能降低,削弱了管壁的支撐作用,吸氣、咳嗽時管腔內壓力增加管腔擴張,而呼氣時不能回縮分泌物長期積存於管腔內,發展為支氣管擴張;支氣管腫瘤,支氣管內膜結核引起的肉芽腫、瘢痕性狹窄,異物吸入(吸入性肺炎、吸入有害氣體或矽石、滑石粉等顆粒)、黏液嵌塞或管外原因(如腫大的淋巴結、腫瘤壓迫)均可使支氣管腔發生不同程度的狹窄或阻塞,使遠端引流不暢發生感染而引起支氣管擴張;隨病情進展,支氣管周圍纖維增生、廣泛胸膜增厚以及肺不張、胸腔內負壓對病肺的牽引,產生對支氣管牽拉,同時由於局部防禦機制和清除功能降低,反覆感染使支氣管壁肌層萎縮,軟骨破壞、張力下降在管壁外牽拉力作用下形成持久的擴張。
發病機制
支氣管擴張按其形態可分為柱狀、囊狀和混合狀。先天性多為囊狀,繼發性多為柱狀柱狀擴張的管壁破壞較輕支氣管外觀規則,管徑無明顯增大,僅在末端呈矩方形擴張隨病情進展,支氣管炎症擴展到外周肺組織,導致其破壞及纖維化,在遠端形成囊狀擴張,呈蜂窩狀,常有痰液瀦留和繼發感染,使囊腔進一步擴大。炎症蔓延到鄰近肺實質,引起不同程度的肺炎、小膿腫和小葉肺不張。支氣管擴張多見於下葉。左下葉支氣管較為細長,與主支氣管的夾角大且受心臟、血管壓迫,引流不暢,誘發感染機會較多故左下葉支氣管擴張較右下葉多見。左舌葉支氣管開口接近下葉背段支氣管,易受下葉的感染影響,故左下葉與舌葉支氣管常同時擴張。右肺中葉支氣管開口較細,其內、外、前有三組淋巴結環繞,因此非特異性或結核性感染時淋巴結常腫大,壓迫右中葉支氣管,使其阻塞發生肺不張,繼之支氣管擴張,稱為中葉綜合徵。
支氣管擴張部位的小肺動脈常有血栓形成,以致病變區域部分血液由支氣管動脈供應該處肺動脈和支氣管動脈分支常有擴張、扭曲和吻合支增多在管壁黏膜下形成小血管瘤,極易受損、破裂而成為支氣管擴張咯血的病理基礎。
支氣管擴張的病理生理改變取決於病變的範圍及性質。由於肺臟具有極大的儲備力,如病變較局限,對機體可無影響呼吸功能一般可無明顯改變。柱狀擴張對呼吸功能影響較小,而囊狀擴張易並發阻塞性肺氣腫。如病變範圍較廣泛,則主要表現為阻塞性通氣障礙,肺容積縮小氣體流速下降吸入氣體分布不均勻生理分流增加,通氣/血流比例失調該病變區域支氣管動脈與肺動脈吻合支增多,交通支開放,肺的解剖分流亦增加,常導致低氧血症,呼吸衰竭。疾病晚期,伴有肺泡毛細血管廣泛破壞,肺循環阻力增加,同時低氧血症加重,最終導致肺動脈高壓肺源性心臟病,甚至心功能衰竭。
臨床表現
支氣管擴張症病程多呈慢性經過可發生於任何年齡。起病往往可追溯到幼年患有麻疹、百日咳或流感後肺炎病史,或有肺結核支氣管內膜結核肺纖維化等病史。症狀可能在若干年後才出現。典型症狀為慢性咳嗽、咳大量膿痰和反覆咯血。咳痰在晨起傍晚和就寢時最多,每天可達100~400ml,許多病人在其他時間幾乎沒有咳嗽。咳痰通暢時患者自感輕鬆;痰液引流不暢則感胸悶、全身症狀亦明顯加重。痰液多呈黃綠色膿樣,合併厭氧菌感染時可臭味,收集全日痰靜置於玻璃瓶中,數小時後可分為3層:上層為泡沫,中層為黃綠色混濁膿液,下層為壞死組織沉澱物。90%患者常有咯血,程度不等,咯血量與病情嚴重程度、病變範圍不一定平行。有些病人咯血可能是其首發和惟一的主訴,臨床上稱為“乾性支氣管擴張”常見於結核性支氣管擴張,病變多在上葉支氣管。若反覆繼發感染,可出現全身毒血症狀,病人時有發熱、盜汗、乏力食慾減退消瘦等。當支氣管擴張症並發代償性或阻塞性肺氣腫時,患者可有呼吸困難氣急或發紺,晚期可出現肺心病及心肺功能衰竭的表現。
支氣管擴張體徵無特徵性但肺部任何部位的持續性固定濕囉音可能提示支氣管擴張症,並發肺氣腫、肺心病可有相應的體徵部分病人(1/3)可有杵狀指(趾)全身營養不良。
併發症:
當支氣管擴張症並發代償性或阻塞性肺氣腫時,患者可有呼吸困難、氣急或發紺,晚期可出現肺心病及心肺功能衰竭的表現。
診斷
支氣管擴張症診斷依據
1.幼年有誘發支氣管擴張的呼吸道感染史,如麻疹、百日咳或流感後肺炎病史或肺結核病史等。
2.出現長期慢性咳嗽、咳膿痰或反覆咯血症狀。
3.體檢肺部聽診有固定性持久不變的濕囉音,杵狀指(趾)。
4.X線檢查示肺紋理增多、增粗,排列紊亂,其中可見到捲髮狀陰影,並發感染出現小液平,CT典型表現為“軌道征”或“戒指征”或“葡萄征”。確診有賴於支氣管碘油造影或HRCT。懷疑先天因素應作相關檢查,如血清Ig濃度測定、血清γ-球蛋白測定、胰腺功能檢查、鼻或支氣管黏膜活檢等。
鑑別診斷
1.慢性支氣管炎 多見於中年以上的患者,冬春季節出現咳嗽、咳痰或伴有喘息,多為白色黏液痰,並發感染時可有膿痰。急性發作時兩肺底均有散在的乾濕囉音與支氣管擴張症的固定性濕囉音不同本病濕囉音為易變性,咳嗽後濕囉音可消失。
2.肺膿腫 有急性起病過程,畏寒、高熱,當咳出大量膿痰後體溫下降,全身毒血症狀減輕X線可見大片緻密炎症陰影,其間有空腔及液平面,急性期經有效抗生素治療後,可完全消退。慢性肺膿腫以往曾有急性肺膿腫病史,常可並發支氣管擴張,支氣管擴張亦可並發肺膿腫,明確診斷有賴於支氣管碘油造影或HRCT。
3.肺結核 多有低熱、盜汗、全身乏力消瘦等結核中毒症狀伴咳嗽咳痰、咯血,痰量一般較少。囉音一般位於肺尖,胸片多為肺上部斑片狀浸潤陰影,痰中可找到結核桿菌或PCK法結核桿菌DNA陽性。
4.先天性肺囊腫 多於繼發感染後出現咳嗽、咳痰、咯血,病情控制後胸片表現為多個邊界清晰的圓形陰影壁薄,周圍肺組織無浸潤。
檢查
支氣管擴張症實驗室檢查:
有低氧血症。
其它輔助檢查:
1.肺功能檢查 一秒用力呼出量/用力肺活量比值肺功能損害為漸進性,表現為阻塞性通氣障礙FEV1、FEV1/FVC、PEF降低。殘氣量/肺總量比值殘氣占肺總量百分比增高后期可有低氧血症。
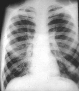
2.X線胸片 可無異常(占10%)或肺紋理增多、增粗,排列紊亂囊狀支氣管擴張在胸片上可見粗亂肺紋理中有多個不規則蜂窩狀(捲髮狀)陰影,或圓形、卵圓形透明區,甚至出現小液平,多見於肺底或肺門附近。柱狀支氣管擴張常表現為“軌道征”,即在增多紋理中出現2條平行的線狀陰影(中央透明的管狀影)
3.胸部的CT檢查 CT診斷支氣管擴張的敏感性為64%~97%,特異性為93%~100%CT檢查對支氣管擴張顯示能力取決於CT掃描方法、擴張支氣管的級別及支氣管擴張的類型,CT診斷囊狀支氣管擴張較柱狀擴張可靠性更大支氣管擴張的CT表現與支氣管擴張類型、有無感染及管腔內有無黏液栓有關:
(1)柱狀支氣管擴張:當伴有黏液栓時,呈柱狀或結節狀高密度陰影當管腔內無黏液時,表現為支氣管分支逐漸變細的徵象消失,支氣管管徑較伴隨的肺動脈內徑明顯增大(1.5倍以上),管壁增厚可呈“軌道征”
(2)囊狀支氣管擴張:表現為分布集中,壁內外面光滑的小空腔,其內可見液平,又稱為“葡萄串征"。合併感染時,病灶周圍可有不規則高密度陰影。
(3)支氣管血管曲張:支氣管呈不規則串珠狀。
(4)支氣管曲張、併攏:支氣管併攏時肺容量縮小,相鄰肺組織代償性膨脹。高解析度CT(HRCT)較普通CT診斷支氣管擴張敏感性、特異性更高,尤其對臨床疑為輕度支氣管擴張患者,其診斷準確性可超過支氣管造影;此外,HRCT操作簡單,安全無痛苦,且能同時觀察支氣管壁及周圍肺實質的異常,這更是支氣管造影所不能相比的因此,對臨床疑為支擴的患者,攝胸片後首選的確診方法是HRCT而非支氣管造影。當HRCT顯示為瀰漫性支擴時已無手術指征支氣管造影則可完全避免;當HRCT顯示陰性且臨床症狀不典型時,則可完全排除支氣管擴張。螺鏇CT在診斷支氣管擴張的程度和在某一肺段中的分布方面優於HRCT。
4.支氣管造影 支氣管碘油造影是傳統的確診支氣管擴張症的方法,可確定病變的存在,明確病變的部位性質及範圍,可為外科手術指征和切除範圍提供重要的參考依據。造影前要控制急性炎症,儘可能減少痰量,造影后應採取體位引流,使造影劑能及時排出。近年的研究表明,HRCT或螺鏇CT檢查已有取代支氣管碘油造影的趨勢。
5.支氣管鏡 纖維支氣管鏡檢查,通過纖支鏡可明確擴張、出血和阻塞部位。鏡下可見黏膜充血膿液從患處流出等;同時可進行局部灌洗,取得灌洗液作塗片革蘭染色或細菌培養,對協助診斷及治療均有幫助;通過支氣管黏膜活檢可有助於纖毛功能障礙的診斷。
治療
支氣管擴張症1.保持呼吸道通暢
(1)體位引流:患肺位置抬高引流支氣管開口向下,使痰液流入大支氣管和氣管,經咳嗽而排出。如病變在下葉,患者俯臥,前胸靠近床沿,兩手撐地,頭向下進行深呼吸和咳痰。可同時拍背以提高引流效果。
(2)祛痰劑:有助於幫助恢復纖毛擺動功能並使黏稠痰液變稀薄,有利於咳出。口服用藥可在下述藥物中選擇:溴己新8~16mg,3次/d;氨溴索(沐舒坦)30mg,3次/d;桃金孃科樹葉標準提取物(強力稀化黏素)300mg,3次/d;鮮竹瀝水(鮮竹瀝)10ml3次/d。亦可使用溴己新8mg溶液霧化吸入,溴己新8mg或沐舒坦15~30mg,2次/d靜脈注射。
(3)纖維支氣管鏡引流排痰:是一種有效的治療措施尤其對那些經體位引流,但痰液仍不能排出的患者。操作時可予以支氣管內滴入1%腎上腺素消除黏膜水腫,減輕阻塞,利於痰液排出。
(4)支氣管擴張藥:適當給予支氣管擴張藥解除氣道痙攣有利於痰液排出,如口服氨茶鹼、激動藥;亦可吸入β2受體激動藥。
2.積極控制感染
抗生素的選擇應根據感染細菌的種類以及對肺組織和氣道分泌物的穿透力而定病情較輕者以口服為主較重者採用靜脈用藥。通常給予廣譜抗生素,如磺胺甲噁唑/甲氧苄啶(複方磺胺甲基異噁唑TMP-SMZ)0.48g,2次/d口服,首劑加倍;新型大環內酯類抗生素如:克拉黴素0.75g2次/d口服或阿奇黴素0.1g,2次/d口服;第二代頭孢黴素亦可供選擇,如:頭孢呋辛納0.75g,3次/d靜注或頭孢克洛(希刻勞)0.25g,3次/d口服;氟喹諾酮類如環丙沙星0.5~0.75g2次/d口服,左氧氟沙星(左鏇氧氟沙星)0.1g,2次/d口服有報導,經纖維支氣管鏡局部灌洗後,注入抗生素可有顯著療效。
3.並發咯血的處理
支氣管擴張症常並發咯血,咯血量從痰血、數口到十幾口或大咯血。大咯血的定義尚無定論,有人認為一次咯血量大於100ml即為大咯血,亦有人強調24h咯血量大於300ml為大咯血。實際上對咯血量的估計不應拘泥於數字,應當結合病人的狀況,如面色、脈搏、呼吸、血壓和發紺等。
(1)止血藥物:
①一般止血藥物通常通過改善出凝血機制、毛細血管及血小板功能而起作用,實際上常見的咯血並非或不完全是因上述機制,故它們的治療效果並不確切,因此不能作為治療咯血的主要方法。這類藥物包括抗纖維溶解的氨基己酸(6-氨基己酸,PAMBA)、氨甲苯酸(對羧基苄胺,EACA);增加血小板和毛細血管功能的酚磺乙胺(止血敏)卡巴克絡(安絡血);參與凝血酶原合成的維生素K;對抗肝素的魚精蛋白。中藥包括雲南白藥和各種止血粉。
②垂體後葉素:具有強烈的血管收縮作用。通常為10~20U,加入250~500ml液體中靜脈滴注。大咯血時以10U於20~40ml液體中靜脈推注,繼以10~20U靜脈滴注每天用量可為20~60U。對大咯血,通常主張12~24h連續用藥,避免僅單次大劑量用藥有效後逐漸減量。高血壓冠心病和妊娠者慎用。
(2)血管擴張藥:該類藥物止血機制包括:
①擴張血管降低肺動脈壓和肺嵌楔壓減少肺血流量;
②使全身血管阻力下降,回心血量降低,肺血管床的血液流向肢體,起到“內放血”作用。通常使用α受體阻滯劑酚妥拉明10~20mg加入250~500ml液體中靜脈滴注,連續5~7天。當咯血量大,血容量不足時,應在補足血容量的基礎上再用該藥。其他類似藥物還包括阿托品654-2、硝酸異山梨酸酯和鈣離子拮抗劑等。普魯卡因亦常用於咯血的治療,有擴張血管、降低肺循環壓力以及鎮靜而達到止血作用。通常以300~500mg加入250~500ml液體中靜脈滴注每天1~2次。少數人對此藥過敏,應做皮試。
使用血管擴張藥的主要適應證是對垂體後葉素禁忌者,其次為垂體後葉素療效不佳者。有時可同時使用垂體後葉素和血管擴張藥,兩者聯合使用既可降低肺循環壓力,減少肺血含量收縮肺小動脈,有利止血,又能預防血壓下降,達到相輔相成的作用。紀樹國等採用垂體後葉素首次以5U莫氏管靜脈滴注以後250ml液體中加入5U維持滴注,每天總量20~30U同時並用酚妥拉明20mg,2次/d,置250ml液體中靜脈滴注,口服硝苯地平10mg,3~4次/d,同單用垂體後葉素比較該治療方案的有效率達98%,平均止血時間5天。
(3)纖維支氣管鏡:對出血並不急驟的部分患者可通過纖維支氣管鏡對出血灶滴入0.1%腎上腺素或去甲腎上腺素5m1。對藥物治療無效且未能明確出血具體病灶者可將4℃冷生理鹽水500ml加腎上腺素4mg,分次注入出血肺段,停留1min後吸引並行面罩給氧或高頻通氣。對不能手術的大咯血或上述纖維支氣管鏡治療後仍有大出血者,可經纖維支氣管鏡將氣囊導管送入相應的出血支氣管,使氣囊充氣或充水阻塞出血支氣管,以防治出血淹溺健肺並壓迫止血,24h後放鬆氣囊觀察數小時無再出血時即可拔除導管。
(4)支氣管動脈栓塞術:選擇性支氣管動脈栓塞作為治療咯血的一種有效手段,其適應證廣泛。一般認為,任何支氣管咯血,經內科治療無效懷疑出血來自支氣管動脈而無血管造影禁忌證者均可考慮行支氣管動脈栓塞治療,尤其適用於急性致命性大咯血的急救;長期反覆咯血的治療以及咯血基礎病變廣泛,肺功能低下,不能耐受外科手術者的治療。具體方法為:經選擇性支氣管動脈造影,顯示異常擴張、體-肺動脈交通及造影劑外滲,均提示為病變的支氣管動脈可採用吸收性明膠海綿、氧化纖維素等將可疑病變動脈儘可能全部栓塞。
支氣管動脈栓塞的遠期療效受患者術前咯血基礎病變嚴重程度,以及術後感染控制等因素的影響由於病變廣泛的支氣管擴張不可逆程度高,參與病灶區供血的異常血管豐富,有時肺動脈亦可能參與出血因此難免栓塞不完全。另外支氣管的嚴重扭曲、畸形,痰液引流不暢感染持續不愈以及局部支氣管動脈側支循環易於重建等,均可使咯血復發。選擇性支氣管動脈栓塞作為治療咯血的一種創傷性技術,其副反應和併發症也應引起臨床高度重視,主要為脊髓動脈栓塞,可造成脊髓橫斷性損傷。
4.手術治療
手術切除肺是根治支氣管擴張的唯一方法。具體手術指征要依據胸片情況及肺功能檢查結果而定。適應證為反覆呼吸道急性感染和(或)大咯血,病變範圍小於二葉肺藥物不易控制,年齡40歲以下全身狀況好,可根據病變範圍做肺葉切除術。對於雙側廣泛支氣管擴張手術與否一直存在爭議。對已並發肺氣腫或年老體弱者,估計病變切除後,將導致嚴重呼吸功能損害者,不宜手術對反覆大咯血而不能耐受手術經行支氣管動脈造影確定血管病變後,可行支氣管動脈栓塞治療以止血。
現代針灸治療
支氣管擴張症,在本世紀50年代中即有報導,並提出用補天突瀉豐隆的方法[1]。至60年代,出現了多病例觀察的文章,亦提倡針刺補瀉手法[2]。80年代以來,進一步套用穴位注射或穴位敷貼等法,治療支氣管擴張咯血,取得較好的效果。雖然截至目前為止,本病的針灸治療資料還不夠多,有待進一步成熟,但據我們多年來臨床實踐,採用穴位注射配合針刺,效果還是比較可靠的。
穴位敷貼
(一)取穴
主穴:湧泉。
(二)治法
敷藥製備:肉桂2份,硫磺2份,冰片1份,研末裝瓶備用。
臨用時以大蒜頭一枚去皮,搗成泥狀,調上藥粉適量,製成直徑1.5厘米左右的藥餅2個。然後將足洗淨拭乾,把藥餅貼敷於雙側湧泉穴區,上蓋塑膠薄膜,用繃帶固定,每日更換1次.咯血止則停止外敷,部分患者外敷後,穴位局部灼熱、充血、起泡,一般無須特殊處理。水泡較大,可用注射器抽出液體,外擦龍膽紫以防感染。敷貼治療同時,應給予常規支持治療及對症治療。
(三)療效評價
本法主要用於支氣管擴張之咯血,以此治療30例(內含支氣管擴張咯血患者20例),痊癒22例,顯效5例,有效2例,無效1例,總止血有效率為96.1%[5]。
穴位注射
(一)取穴
主穴:孔最、肺俞。
配穴:豐隆、風門、足三里。
(二)治法
藥液:魚腥草注射液、核酪、阿托品(阿托品0.5毫克加生理鹽水至3毫升)。每次選用一種。咯血期用阿托品及魚腥草注射液,緩解期可用核酪。
主穴取1對,據症輪流取配穴。上述藥液,阿托品每次只注射肺俞穴,每穴1.5毫升;余穴每次每穴注入2毫升。得氣後緩緩推入,以取針後患者脹酸感明顯為佳。足三里穴,宜於緩解期用艾條灸,每次灸15分鐘,局部出現潮紅為度。咯血期,穴位注射每日1次,不計療程,至症情改善為止。平時隔日1次或每周2次,15次為一療程。療程間隔7天。
(三)療效評價
本法主要用於支氣管擴張之咯血,據我們體會,長期堅持核酪穴位注射,對預防支氣管擴張之咯痰、咯血有較好的效果。有人僅用孔最穴注射魚腥草注射液治療支氣管擴張394例,結果近期治癒342例,顯效26例,有效10例,無效16例,總有效率達95·9%(治療1天咯血停止的138例,2天停止的171例),且發現雙側孔最穴注射,較單側為佳(3,7)。另用阿托品治療77例,顯效49例,有效22例,無效6例,總有效率92%[4]。
預後預防
預後
支擴症雖為良性疾患,但預後較差。隨著治療學的進步,大為改觀1940年Perry等報告400例患者70%死於4O歲以前。1974年Sanderson報告393例隨訪1~15年僅9%死亡,死亡年齡為45~59歲1981年Ellis報告116例22例死亡,平均死亡年齡53.3歲死亡原因19例為慢性肺疾患,死於心肌梗死、腦血管意外及結腸癌各1例伴發澱粉樣變者2例支擴症平均病程24.5年。有人報告結核所致支擴症預後較好,但多數認為病因與病情輕重無關,並且有哮鳴音存在者預後較差。也有說膿性痰者預後差的。影響本病預後的因素恐怕當屬肺功能,死亡者多為一開始肺功能較差者,生存組80%的病人FEV1下降不超過其預計值下降較明顯者則為吸菸組。
預防
積極防治嬰幼兒呼吸道感染,對兒童定期免疫接種;清除鼻腔咽部慢性病灶;對支氣管結核淋巴結核早期診斷,及時治療。預防結核性支氣管擴張防止誤吸。
