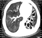
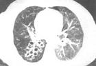
囊狀支氣管擴張

囊狀支氣管擴張

囊狀支氣管擴張多見於兒童和青年。大多繼發於急、慢性呼吸道感染和支氣管阻塞後,反覆發生支氣管炎症、致使支氣管壁結構破壞,引起支氣管異常和持久性擴張。臨床表現主要為慢性咳嗽、咳大量膿痰和(或)反覆咯血。近年來隨著急、慢性呼吸道感染的恰當治療,其發病率有減少趨勢。

囊狀支氣管擴張囊狀支氣管擴張
就是支氣管擴張的一種病理改變。實質就是支氣管擴張。支氣管擴張症是由於支氣管及其周圍肺組織的慢性炎症損壞管壁,導致支氣管腔擴張和變形的慢性化膿性疾病。與多種因素有關,某些為先天性或遺傳性.支氣管擴張症可局限於一個肺段或肺葉,也可瀰漫性分布累及一側肺或雙側肺的多個肺葉.

概述

支氣管擴張症可為單側或雙側,大多數位於下葉,但也常發生於右肺中葉和左上肺舌葉.傳統上根據病理和X線表現將其分為圓柱狀,曲張狀或囊狀.然而,這種區分臨床價值不大.最近,病理與高解析度及螺鏇CT特徵的相關已使這種分類趨於棄用.

囊狀支氣管擴張囊狀支氣管擴張
病理上,支氣管壁顯示廣泛的炎症性破壞,慢性炎症,粘液栓子和纖毛脫落.鄰近的間質和肺泡區受到破壞,組織再生和纖維化,導致肺容積縮小.支氣管擴張症常伴慢性支氣管炎和/或肺氣腫以及一定程度的纖維化.

病理改變的程度和特點決定本病的功能和血流動力學異常,通常包括肺容積縮小和氣體流速下降,通氣/血流失調和缺氧.可見支氣管動脈和肺動脈廣泛吻合,伴支氣管動脈明顯增粗.支氣管靜脈和肺靜脈吻合亦增加,上述結果增加局部血流,右向左分流和低氧血症,導致晚期出現肺高壓和肺心病.

症狀和體徵

支氣管擴張症可發生於任何年齡,往往開始於幼兒期,但症狀可能在若干年之後才出現.症狀的嚴重度和特點因人而異,即使同一病人,其表現亦可隨時間不同而不同,很大程度上取決於病變範圍,以及是否合併慢性感染及其感染的範圍.多數病人有慢性咳嗽,咳痰,這是最具特徵性和最常見的症狀,但少數情況下,病人可無症狀.初期症狀不明顯,往往

囊狀支氣管擴張囊狀支氣管擴張
於呼吸道感染之後出現明顯症狀,並經歷數年逐漸加重.常見的發病方式是嚴重肺炎,症狀未能完全消退,並持續咳嗽,咳痰.隨病情進展,咳嗽時痰量增多.典型的規律是晨起,傍晚和臨睡時症狀明顯;許多病人在其他時間幾乎沒有咳嗽.痰的性質與支氣管炎相似,並無特徵性.少數病程較長者,痰量多,靜置可分成三層:上層為泡沫狀,中層為綠色且渾濁,底層為稠厚的膿液.咯血常見且可能是首發和唯一的主訴,咯血為毛細血管腐蝕,有時為支氣管動脈和動脈吻合引起.亦常見反覆發熱或胸痛,伴或不伴明顯的肺炎.出現上述症狀即可作出支氣管擴張症的診斷.晚期伴慢性支氣管炎和肺氣腫時,可有喘息,氣促和其他呼吸功能不全及肺心病的表現.體徵無特徵性,但肺部任何部位的持續性濕囉音可能提示支氣管擴張症.氣流阻塞征(呼吸音減弱,呼氣延長或喘鳴)在吸菸的病人明顯於不吸菸病人.病變廣泛且持續慢性感染者可有杵狀指.

診斷

述症狀和體徵提示支氣管擴張症,胸部X線檢查示肺紋理增深(由於外周支氣管纖維化和管內分泌物瀦留),聚攏(由於肺不張),"軌道征",由於外周支氣管炎症和纖維化),蜂窩狀區,伴有或不伴有液平面的囊性區.偶爾X線也可正常.胸部高解析度CT(HRCT)(1~2mm層厚)已基本上取代支氣管造影.採用10mm校正,擴張的小支氣管可能不被顯影,但HRCT良好的解析度所提供的結果可與支氣管造影媲美,甚至優於後者.廣泛採用HRCT顯示支氣管擴張症要比依靠臨床和胸片作出的診斷更為常見.

治療

囊狀支氣管擴張囊狀支氣管擴張
支氣管擴張症的治療,主要是感染的防和治,防治感染的關鍵在於加強呼吸道痰液的引流,並根據感染的病原菌適當選用抗生素,必要時亦可進行支氣管沖洗局部給藥,濕化呼吸道及套用祛痰藥物,亦可根據擴張的支氣管部位進行體位引流。大咯血時必須積極搶救,防止窒息。對於反覆發生呼吸道感染或大咯血的病人,經支氣管造影或CT檢查顯示支氣管擴張範圍較局限(一般不超過二個肺葉),心肺功能無嚴重障礙者可做肺葉切除,效果較好。積極防治呼吸道感染(尤其是幼年期)對預防支氣管擴張的發生具有重要意義。已患支氣管擴張者,應鍛鍊身體,努力增強體質,堅持體位排痰及戒菸、減少塵埃吸入,預防感冒等防止支氣管擴張的發展。4S清肺平喘療法由軍事醫學科學研究院、國際科學研究院等多位專家歷經30多年聯合研發形成的一套全方位、多立體的綜合治療體系。療法包括清肺淨肺、PI活肺治療、植物神經綜合平衡和軍科細胞免疫技術四大步驟,其中軍科細胞免疫技術是多位專家在2008年諾貝爾醫學獎DC細胞技術基礎上獨創的治療手段,它直擊哮喘病的發病根源——炎症細胞,利用特定的靶向免疫激活技術抑制和清除哮喘發病根源,真真正正防止哮喘反覆發作。

相關搜尋

相關搜尋

熱門詞條

聯絡我們