概述
肺炎球菌肺炎成為兒童的頭號殺手肺熱病多因風熱病毒犯肺,熱壅肺氣,肺失清肅所致。以驟起發熱、咳嗽、煩渴、胸痛為主要表現的內臟癉(熱)病類疾病。
西醫
肺炎球菌肺炎是由肺炎鏈球菌引起的急性肺部炎變,常呈肺段或肺葉性炎性實變,臨床表現有寒戰、高熱、胸痛、咳嗽和鐵鏽色痰等。
病因
肺炎球菌肺炎中醫
中醫認為,常因勞倦過度、醉後當風等人體正氣不足之時,感受風熱之邪或風寒之邪入里化熱所致。
西醫
當呼吸道防禦功能削弱,呼吸道受病毒感染,破壞支氣管黏膜的完整性,易誘發細菌感染。常見於受寒、疲勞、飢餓、酒醉、麻醉、昏迷等情況。
病理學和發病機制
肺炎球菌肺炎的致病球菌大葉性肺炎的最初階段是充血,特點是大量漿液性滲出物,血管擴張及細菌迅速增殖。下一階段叫做"紅色肝樣變",即實變的肺臟呈肝樣外觀:氣腔充滿多形核細胞,血管充血及紅細胞外滲,因此肉眼檢查呈淡紅色。接著是"灰色肝樣變"期,該期的纖維蛋白集聚與處於不同分解階段的白細胞和紅細胞有關,肺泡腔充滿炎症滲出物。最後階段是以滲出物吸收為特徵的消散期。
症狀
1 有上呼吸道病毒感染的前驅症狀。驟然寒戰、高熱,體溫高達39℃以上,咳嗽、咳膿痰或鐵鏽色痰,胸痛隨咳嗽或深呼吸時加重。有時可有血絲痰或咯血。2 全身症狀有頭痛,肌肉酸痛,胃納差,偶有噁心、嘔吐、腹脹、 腹瀉等消化道症狀。
檢查
1 血常規、尿常規,血沉、血氣分析。2 血培養、痰細菌培養、藥物敏感試驗。
3 胸部正、側位片。
4 心電圖。
診斷
肺炎球菌肺炎1 突然高熱,呈稽留熱型,伴寒戰等全身中毒症狀。
2 胸痛、咳嗽、咯鐵鏽色痰或血痰、呼吸困難等呼吸系統症狀並有肺實變體徵。
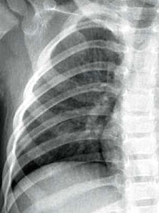
3 胸部X線檢查:肺葉或肺段分布的均勻緻密的大片狀實變陰影可確診。
4 痰細菌學檢查可作出病原學診斷。
5 白細胞和中性粒細胞計數,細菌感染者一般升高,病毒感染者一般正常或偏低。
凡急性發熱伴胸痛,呼吸困難和咳嗽都應懷疑為肺炎球菌性肺炎。根據病史,胸部X線改變,適當標本的培養和革蘭氏染色,莢膜腫脹反應可作出初步診斷。確切診斷則需證明胸膜液,血液,肺組織或經氣管吸出物中有肺炎鏈球菌。
血液檢查常可見白細胞增多並左移。血培養陽性是肺炎鏈球菌感染的確切證據。由於肺充氣減少可出現低氧血症,由於過度通氣可出現呼吸性鹼中毒。
痰的革蘭氏染色在典型情況下可呈短鏈排列的革蘭氏陽性柳葉形雙球菌。用多價肺炎球菌抗血清顯示莢膜腫脹才能明顯證明這些鏈球菌是肺炎鏈球菌;這就是"莢膜腫脹反應",這一反應可提供直接資料,但檢查人員必須有經驗,這一技術目前已很少使用。可利用型特異抗血清確定出分離菌株的型別。有的化驗室用抗免疫電泳(CIE)以確定分離菌株的血清型,或者使用痰液,尿液或其他體液標本進行測定。
胸部X線檢查都會顯示肺浸潤,但在最初數小時可表現不明顯或難以發現。支氣管肺炎是最常見的X線表現,但實變局限於一葉的大葉性肺炎伴典型支氣管充氣征是肺炎球菌感染的特殊表現。
併發症
嚴重且可能導致死亡的併發症為進展性肺炎,有時伴有成人呼吸窘迫綜合徵和/或膿毒性休克。胸部X線檢查可發現約25%的病人有胸膜滲出,且僅1%左右的病人有膿胸。有些病人產生病變鄰近部位的感染(如膿胸或化膿性心包炎)。菌血症可造成肺以外的感染病灶,包括膿毒性關節炎,心內膜炎,腦膜炎及腹膜炎(腹水病人)。有些病人出現肺部重複感染,表現為在治療過程中,暫時改善之後又出現發熱和新的肺浸潤而致病情惡化。
治療
對青黴素敏感的肺炎球菌株,青黴素G是首選藥物。1 中藥治療。
2 針灸治療。
(1)體針療法。
(2)耳針療法。
西醫
治療原則為積極抗感染及防治併發症。
1 抗感染治療。
2 末梢循環衰竭的處理。抗生素治療
對青黴素敏感的肺炎球菌株,青黴素G是首選藥物。非重症患者可口服青黴素G或V250~500mg,每6小時1次。對無併發症的肺炎球菌肺炎推薦給予水劑青黴素G50~200萬u靜脈注射,每4~6小時1次。
約25%的肺炎球菌對青黴素耐藥。在美國,臨床上分離的菌株中,青黴素相對或高度耐藥率為15%~30%,而在世界其他地區,特別是西班牙,日本,以色列,南非和西歐,耐藥率更高。許多青黴素耐藥菌株對其他抗生素同樣耐藥。含1μg苯唑青黴素的平皿適用於檢測耐藥菌株。抑菌圈≤19mm的分離物應再採用肉湯稀釋劑檢測。對高度耐藥菌株的治療,應根據體外藥敏試驗。大劑量青黴素,頭孢噻肟或頭孢曲松對大多數耐藥菌株有效。新一代喹諾酮類藥物(左鏇氧氟沙星,司帕沙星,格帕沙星和托法沙星)是青黴素耐藥菌株的常選用的藥物,也可為青黴素敏感菌株治療的可供替換的藥物。萬古黴素作為唯一一種具有持久活性的藥物,對所有肺炎球菌均有抗菌活性,可作為在大多數情況下伴有高耐青黴素髮生率的重症患者的首選藥物。
其他有效的藥物包括頭孢黴素類,紅黴素和克林黴素。四環素抗肺炎球菌效果的可靠性較差,病情嚴重的病人不應使用。口服用藥包括紅黴素或林可黴素300mg,每6小時1次。胃腸道外用藥包括頭孢噻肟1~2g靜脈注射,每6小時1次;頭孢曲松1~2g靜脈注射,每12小時1次;頭孢唑啉500mg靜脈注射,每8小時1次,紅黴素0。5~1g靜脈注射,每6小時1次;或克林黴素300~600mg靜脈注射,每6~8小時1次。除頭孢噻肟和頭孢曲松外,大多數第三代頭孢黴素對肺炎球菌相對無抗菌活性。
如疑有腦膜炎時,病人應給予頭孢噻肟2g靜脈注射,每4~6小時1次或頭孢曲松1~2g靜脈注射,每12小時1次,同時給予萬古黴素1g靜脈注射,每12小時1次,加用或不加用利福平600mg/d口服,直至知道藥敏結果。對膿胸病人,除給予抗生素外,治療應包括適當引流。
支持治療支持治療包括臥床休息,補充液體及針對胸膜疼痛使用止痛劑。有發紺,明顯缺氧,嚴重呼吸困難,循環紊亂或譫妄的病人應給氧。輸氧時要不斷檢查血氣,尤其是對慢性肺疾病的病人。
一般主張對35歲以上的病人進行隨訪X線檢查。胸部X線檢查可能要在幾周之後才能看到浸潤消散,病情嚴重及有菌血症或原先已有慢性肺病的病人尤其如此。治療開始後6周或6周以上仍然有浸潤,表明可能有原發性支氣管新生物或TB。
預後
雖然青黴素的發現使肺炎球菌性肺炎的發病率和死亡率大大降低,但在已知病原菌的社區獲得性肺炎死亡病例中,肺炎球菌肺炎約占85%。本病總死亡率為10%,且治療對疾病最初5天內的死亡率影響很小。預後不良的因素為:年齡過小或過老,特別是1歲以下及60歲以上;血培養陽性;病變範圍超過1葉;周圍血白細胞計數<5000/ml;有其他疾病存在(如肝硬化,心力衰竭,免疫抑制,血內丙種球蛋白缺乏,脾切除或脾功能喪失,尿毒症);某些血清型(尤其是第3和第8型)的病原體以及發生肺外併發症(如腦膜炎或心內膜炎)。
接受治療較早的輕型病人,一般在24~48小時內體溫下降;但病情嚴重的病人,特別是具有上述預後不良病症的病人,往往需4天或4天以上才能退熱。如果臨床症狀逐步改善,而且病因明確,不應改變治療方針。
當病人仍無好轉時,需考慮以下因素:病因診斷錯誤,藥物反應不良,疾病已屬晚期或重複感染,有關的疾病使病人抵抗力低下,非住院病人用藥方法不符要求,致病的肺炎鏈球菌菌株有耐藥性,以及有併發症(如膿胸)而需要引流或有轉移感染灶需加大青黴素劑量(如腦膜炎,心內膜炎,膿毒性關節炎)。
預防
鐮狀細胞貧血或其他原因造成無脾的兒童,除了注射肺炎球菌疫苗外,還應預防注射青黴素。關注健康,了解疾病
| 2008年5月31日是世界衛生組織發起的第21個世界無菸日。本次無煙主題是“無煙青少年”,口號是“禁止菸草廣告和促銷,確保無煙青春好年華”。讓我們一起拒絕菸草,關注呼吸健康,了解呼吸疾病。 |

