定義
疾病名稱:氣管腫瘤
所屬部位:胸部
就診科室:心胸外科呼吸內科
症狀體徵:潰瘍、咳嗽、咳痰、咯血、呼吸異常、胸痛
概述
氣管腫瘤有良性腫瘤和惡性腫瘤兩大類。兒童期的氣管腫瘤絕大部分(90%)為良性,成人者惡性占多數。良性腫瘤切除後,完全痊癒,惡性腫瘤若能及時徹底切除,亦能獲得良好的療效。本病不論良性或惡性均應手術治療。
症狀表現
1、症狀
氣管腫瘤原發性氣管腫瘤較之支氣管、肺腫瘤和喉部腫瘤均遠為少見。原發性氣管腫瘤種類甚多,惡性居多數,最常見的是鱗狀上皮細胞癌,次之為囊性腺樣癌,此外尚有少見的類癌、粘液上皮樣癌、癌肉瘤、軟骨肉瘤等。原發性氣管良性腫瘤則有錯構瘤、乳頭狀瘤、平滑肌瘤、軟骨瘤、纖維瘤、血管瘤等。喉、支氣管、肺、甲狀腺、食管、縱隔等處原發惡性腫瘤亦可侵入氣管形成繼發性氣管腫瘤。
原發性氣管惡性腫瘤大多生長於軟骨環與膜部交界處。鱗狀上皮細胞癌可呈現為突入氣管腔的腫塊或潰破形成潰瘍,有時癌變可浸潤長段氣管。晚期病例常有縱隔淋巴結轉移或擴散入肺組織,並可直接侵犯食管、喉返神經和喉部。囊性腺樣癌一般生長較為緩慢,較晚發生轉移,有時呈現長段黏膜下浸潤或向縱隔內生長。有的腫瘤呈啞鈴狀,小部分突入氣管腔,大部分位於縱隔內,晚期病例可侵入縱隔和支氣管。
原發性氣管良性腫瘤種類多,形態不一。在多數腫瘤生長緩慢。表面光滑,黏膜完整,常有瘤蒂,不發生轉移。但如切除不徹底易復發。乳頭狀瘤多發生於氣管膜部,突入氣管腔底部,常有細蒂,大小自數毫米至2cm。有時為多發性,表面呈疣狀,質軟而脆易脫落,破裂時出血。
氣管腫瘤的臨床症狀按腫瘤的部位大小和性質而異。常見的早期症狀為刺激性咳嗽、痰少或無痰,有時可帶有血絲。腫瘤長大逐漸阻塞氣管腔50%以上時,則出現氣短、呼吸困難、喘鳴等,常被誤診為支氣管哮喘而延誤治療。氣管惡性腫瘤晚期病例可呈現聲音嘶啞,吞咽困難,氣管食管瘺,縱隔器官組織受壓迫,頸部淋巴結轉移和肺部化膿性感染等症狀。
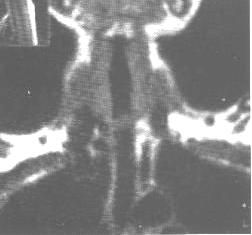
2、影像學表現
(1).X線表現:
直接徵象:較小的氣管腫瘤在正、側位片上可無任何異常,較大的腫瘤則在氣管腔內出現軟組織影,在斜位片、斷層或支氣管造影時顯示更清楚,良性的腫瘤,其邊緣較光滑,與氣管壁接觸面多呈銳角,惡性腫瘤邊緣多不規整,以寬基底與氣管壁相連。但單憑X線檢查較難確定惡性腫瘤是起源於氣管壁,還是起源於氣管外的腫瘤侵犯氣管並突向氣管腔。
間接徵象:由於氣管被不同程度阻塞,兩肺可有不同程度的肺氣腫和繼發感染
(2).CT、MRI表現:
CT、MRI能準確顯示氣管腫瘤的位置、範圍以及是否向氣管外的縱隔侵犯。良性的氣管腫瘤多位於氣管黏膜表面,氣管壁完整。腫瘤在氣管內形成軟組織密度或信號影,多為圓形,腫瘤較小,直徑2cm以下者多見。氣管壁無明顯增厚。從腫瘤的CT密度或MRI信號上來鑑別良性腫瘤的類型尚較難,但有些腫瘤具有特徵性,如脂肪瘤的密度低,CT值一般在-70HU~-90HU的範圍,MRI則在T1、T2加權圖像上腫瘤均呈高信號;富含纖維、軟骨成分的腫瘤在T2加權圖像呈低信號強度影。
氣管惡性腫瘤多發生在氣管下1/3處,以鱗癌多見,CT和MRI亦很容易顯示縱隔內腫瘤,如食管瘤、淋巴瘤、惡性畸胎瘤等對氣管的壓迫或侵犯所造成的氣管狹窄、變形和阻塞。其CT、MRI表現包括:
①氣管壁內軟組織影,形態多不規則,邊緣欠規則。
②管壁明顯增厚,腫瘤可沿氣管壁環形生長,或累及一側氣管壁,多見於後壁。MRI的冠狀面或矢狀面掃描能直接顯示腫瘤的上、下侵犯範圍。
③氣管呈不規則狹窄。
④可直接顯示腫瘤向氣管外侵犯,推擠或包繞鄰近結構。
⑤縱隔和肺門淋巴結轉移、腫大。
⑥繼發的肺氣腫、肺炎和肺不張。
⑦如胸膜轉移則有胸腔積液。
病理類型
原發性氣管腫瘤主要以腺樣囊性癌、鱗癌、腺癌、類癌和小細胞癌為主。腺樣囊性癌以局部浸潤性、低度惡性腫瘤,占氣管癌的20%~35%。約2/3的腺樣囊性癌發生於氣管下段,近隆突和左右支氣管的起始水平。1/3發生於大支氣管的起始點。腫瘤呈息肉狀,質硬,灰白色、粉紅色或淺褐色,最大直徑可達數厘米,並穿過軟骨壁擴展到周圍組織,表面黏膜一般不受損,有時可見潰瘍。
鱗癌和小細胞癌以管壁浸潤性生長為主,質脆,觸之易出血,發生於支氣管內的幾率高於氣管內。 黏液表皮樣癌發生於主支氣管內,較少見。癌腫呈侵蝕性生長,但大多數生長緩慢,病程較長。乳頭狀瘤起源於黏膜上皮組織,為良性腫瘤,常發生於支氣管近端,入支氣管腔內,呈簇狀或單個息肉狀,有短蒂附著於支氣管壁的黏膜或黏膜下層,表面呈白色顆粒狀,質脆易碎。類癌起源於支氣管黏膜的具有神經內分泌功能的Kulchitsky細胞,與腺樣囊性癌不同,好發於主支氣管和遠段支氣管。
檢查
氣管腫瘤氣管X線斷層攝片檢查可顯示腫瘤的位置範圍和氣管腔狹窄的程度。氣管碘油造影檢查對診斷氣管腫瘤也很有價值,但有加重氣管梗阻的危險,僅適用於梗阻程度較輕的病例。內窺鏡檢查可直接窺見腫瘤,了解腫瘤的部位、大小、表面形態和活動度,並可採取組織作病理切片檢查確定腫瘤的性質和類型。但對於黏膜完整且含有豐富血管的良性腫瘤,不宜常規作活組織檢查,以免引致大量出血。
1.病源局限易診斷者,檢查專案以檢查框限“A”為主;
2.病源廣泛或診斷不易者,檢查專案可包括檢查框限“A”、“B”或“C”。
診斷
根據病因、臨床表現及相關檢查即可做出診斷。
診斷依據
1.乾咳、或少量白色泡沫痰。
2.血痰、常為痰中帶血點或血絲。
3.進行性呼吸困難、喘鳴。
4.X線胸片、氣管斷層片見氣管腔內出現陰影。
5.支氣管鏡見氣管腔內有腫瘤病源。
治療
氣管腫瘤治療氣管腫瘤要求徹底切除病變,防止復發和消除氣管梗阻,晚期病例腫瘤已不可能徹底切除者,亦應減輕或解除氣道梗阻,改善通氣功能。氣管良性腫瘤體積小,特別是根部有細蒂者可在內窺鏡下作電灼切除。或施行外科手術,切開氣管,切除腫瘤,或切除腫瘤以及一部分氣管壁,再縫補氣管缺損。氣管惡性腫瘤和體積較大的良性腫瘤,則需切除病變段氣管和作氣管重建術。氣管惡性腫瘤特別是囊性腺樣癌,手術時切除的標本應作冰凍切片檢查,了解氣管切端是否尚有黏膜下癌浸潤病變。晚期惡性氣管腫瘤未能切除或切除不徹底者,可按腫瘤的病理學類型考慮局部放療及/或化療。
既往原發性氣管腫瘤的首選治療方法為手術切除。Regnard等報導一組多中心回顧性研究結果, 原發性氣管腫瘤 5、10年生存率分別為 3 %和57%。氣管腺樣囊性癌可侵犯管壁全層, 但臨床進展較慢, 常沿黏膜下和神經鞘膜生長, 手術難以徹底切除, 在間隔相當長的一段時間後, 有復發或轉移的傾向,術後配合放療,可明顯延長生存率。但對超過3cm的腫瘤,手術切除後需行氣管移植,由於供體及技術所限,臨床尚難廣泛開展。因此,氣管癌的微創治療在臨床上發揮越來越重要的作用。
消融治療
臨床發現,80%以上的氣管癌患者確診時已處於病情晚期,不適合手術治療。消融治療可部分替代手術治療,若與其他治療結合套用,可達到與手術相似的效果。
冷凍治療
{1}惡性腫瘤:冷凍治療效果較慢,通常在第一次冷凍治療後8~10天,進行氣管鏡複查,並評估組織的破壞情況,取出壞死組織。如果需要的話,再進行第二次冷凍治療。若單次治療即通暢氣道,有引起氣道管壁或動脈壁穿孔的危險。治療的間歇時間分別為2周、4周和8周,根據患者的治療反應和臨床情況決定。經冷凍治療後,患者的支氣管阻塞症狀可以減輕,生活質量顯著改善。
{2}良性腫瘤、炎症或手術後的瘢痕狹窄、肉芽腫性病變,經支氣管鏡冷凍療法可達根治目的。良性病變,尤其是肉芽腫組織,套用冷凍治療有很好的效果,治療後常數月甚至數年都沒有復發。低度或中度惡性腫瘤較少見,但已有文獻報導對這些腫瘤進行冷凍治療取得了良好效果,這些患者均不能進行外科手術的。
{3}冷凍治療與化學治療的聯合套用:已有研究顯示,在冷凍治療後接著進行化學治療是比較有效的,且在冷凍治療後,抗癌藥物可迅速集聚在腫瘤部位。
{4}冷凍治療與放射治療的聯合套用:專家提示,冷凍治療和放射治療具有協同作用。在局限性的支氣管癌,當不能手術治療時,常選用放射治療,但用此法治療的患者平均生存時間僅20個月。只有35%的患者其局部腫瘤經放療後消失。在腫瘤阻塞引起肺不張患者,如果沒有進行局部治療而僅用放療,只有21%的患者在放療後肺可以復張。放射治療在冷凍治療後2周開始實施。
熱療
對腫瘤較大,呼吸困難較明顯者,應首選熱療,先減輕管腔阻塞程度,然後配合放療、光動力治療和局部化療等。必要時可配合氣管內支架治療。
{1}微波治療:能有效地殺傷支氣管腔內的腫瘤組織,減輕管壁癌浸潤程度,減少瘤負荷,解除氣道阻塞,使肺復張,促進炎症吸收,減輕臨床症狀,提高患者生存質量;其中對腔內腫塊型及腫塊伴浸潤型的中央型肺癌患者療效明顯優於管壁浸潤型患者。可使部分氣道良性腫瘤患者避免手術,而且幾乎可達到甚至優於外科手術的治療效果。
{2}高頻電刀治療:即通過氣管鏡伸入針狀或圈狀電極對腔內腫瘤組織進行熱凝切的一種方法,屬接觸式治療。微小的探頭如同一個激活的電極,熱量通過微小的探頭集中在接觸組織表面上的一個點狀區域,從而導致組織的凝固或汽化。目前,一種簡單、相對安全、性價比更高的治療設備——非接觸式的氬電漿凝固術(APC)近年來已在氣管鏡介入治療中發揮越來越重要的作用。
{3}雷射燒灼治療:用於軟式氣管鏡的雷射主要是Nd·YAG雷射,它瞬間能產生200~1000℃的高溫,將腫織燒灼破壞、炭化及氣化。良性腫瘤的雷射治療可以替代手術治療,局部病灶可很快去除,恢復通氣功能。
氣管腫瘤惡性腫瘤亦可用雷射消除,緩解氣道梗阻症狀,但術後3~6個月內易復發,可重複用雷射治療,亦可配合放療、化療、光動力治療等以取得更好的效果。另外,對那些化療、放療不敏感的低度惡性腫瘤,如支氣管類癌、腺樣囊性癌等,雷射治療也能取得較好效果。尤其是類癌甚至可獲得與手術相同的效果。
放射治療
作為原發性氣管癌手術後補充治療或根治性治療具有一定的地位,但單純放射治療療效比手術治療效果差。套用於軟式氣管鏡腔內近距離放療有兩種方法:一種為腔內後裝放療,就是先將盛有同位素的施源器或導源管送到合適的病變部位,經X線核實位置,再經治療計畫系統計算及最佳化劑量分布,獲得滿意結果後進行治療。治療結束後,放射源可自動回到儲源器內。後裝近距離放射治療的優點是患者可得到精確的治療,且醫務人員隔室遙控操作,非常安全。
還有一種為放射粒子植入,通常是將放射性粒子捆綁在內支架上,既對狹窄的氣管起支撐作用,又對腫瘤進行近距離放療,控制腫瘤的進一步生長。亦可在支氣管鏡直視下將125I粒子直接植入到無法手術切除的大氣管腫瘤內,以解除大氣管內腫瘤所致的氣道堵塞和阻塞性肺炎等臨床症狀,腫瘤局部控制率可達85%。
動脈介入化療
經動脈灌注化療術(TACI)是採用介入方法,將導管經血管送達腫瘤供血的支氣管動脈,注入化療藥物,能明顯提高腫瘤局部藥物濃度(較同等劑量靜脈用藥高數十倍),直接殺滅腫瘤細胞,而減少全身化療的不良反應。
緩釋化療藥
這是將抗癌藥包埋於可降解或不可降解的賦形劑製備成藥物緩釋系統,植入腫瘤組織後,可在較長時間內以一定的速率持續地釋放,在植入部位形成高藥物濃度,並在濃度梯度作用下向周圍逐漸、緩慢地擴散,然後經血液和淋巴系統參與全身循環。這樣局部的腫瘤細胞被高濃度的藥物殺死,血液和淋巴系統中的腫瘤細胞也會被化療藥物所抑制,從而起到局部持久化療的目的,降低了不良反應,起到了類似靶點給藥的目的。目前套用於臨床的緩釋化療藥有順鉑、絲裂黴素、5-FU、紫杉醇等。現已研製成特殊穿刺針,將緩釋化療藥經氣管鏡植入到氣管壁瘤體內。亦可將緩釋化療藥綁附或粘附在氣管內支架外壁上,使內支架起到支撐作用和化療作用,有效控制腫瘤生長。
氣管腔內局部藥物注射:對明確為惡性氣管內腫瘤者,可配合冷凍、熱療,瘤體內注射化療藥,起到協同治療作用。
光動力治療(PDT)
PDT是先將光敏劑注入人體,光敏劑在進入機體後,會特異性地聚集於腫瘤部位並與腫瘤細胞結合,當用特定波長的雷射照射後,會產生光化學反應(稱為光敏反應),由此產生的光毒性物質,會破壞腫瘤細胞和血管,從而抑制腫瘤生長。PDT療法對早期氣管-支氣管癌可達根治效果,對晚期腫瘤則發揮姑息治療手段。對於氣管腔內較大的腫瘤光動力治療前,可採用高功率雷射切除病灶,減少病灶厚度,再行PDT,常可提高療效。對於經超聲檢查確認為淺層損害的癌灶,採用支氣管鏡下PDT可能達到完全治癒。對於無法實施外科切除的中晚期梗阻性病變,採用支氣管內鏡下PDT,必要時輔以放療或內支架治療,可以達到緩解梗阻、消除或減輕吞咽困難、控制病情、延長生命的目的,是一種較好的姑息療法。
內支架置入
氣管內支架置入適於氣管、食管、縱隔惡性腫瘤侵犯或壓迫所致的氣管狹窄;高位食管-氣管瘺不能置入食管支架者,可置入氣管支架。
內支架的放置很簡單,可在X線透視下或氣管鏡引導下,將導絲送達預定部位,然後將內支架輸送器沿導絲超過病變部位,再按一定的深度釋放內支架,以確保內支架撐開整個病變部位。如患者條件許可,最好在內支架置入前先行氬氣刀治療或光動力治療,以利於腫瘤的控制。
預防
1、飲食結構
正所謂:病從口入,對於疾病的預防我們要調整飲食結構。氣管腫瘤、結腸癌、乳腺癌、食管癌、胃癌及肺癌是最有可能通過改變飲食習慣而加以預防的。事實上,合理的膳食可能對大部分癌都有預防作用,特別是植物類型的食品中存在各種各樣的防癌成分,這些成分幾乎對所有癌的預防均有效果。
2、避免吸菸
人人都知道吸菸有害健康,而且吸菸已經較明確的為人們所熟知的致癌因素,與30%的癌症有關。煙焦油中含有多種致癌物質和促癌物質,如3-4苯丙芘,多環芳香烴、酚類、亞硝胺等,當菸草燃燒的煙霧被吸入時,焦油顆料便附著在支氣管黏膜上,經長期慢性刺激,可誘發癌變。吸菸主要引起肺、咽、喉及食管部癌腫,在許多其他部位也可使其發生腫瘤的危險性增高。
3、注意鍛鍊身體
日常生活中堅持鍛鍊身體,多參加戶外運動,有助於增強體質,增強對抗疾病的身體抵抗力,這對預防所有疾病都是十分重要的一點,需要謹記。
飲食原則
一、日常飲食
1、嚴禁菸、酒、辛辣刺激食品。咯血時暫時禁食熱性的韭菜、蒜、蔥等,對蝦、蟹及過敏的食物應該避免食用。
2、久咳體虛者:茼蒿菜、薺菜、芝麻、山藥、柿子、石榴、無花果、松子、核桃、鵪鶉蛋、鯉魚、淡菜、羅漢果、瓊脂、桃子、橙、柚子等。
3、發熱者:黃瓜、冬瓜、萵苣、百合、莧菜、薺菜、石花菜、魚腥草、馬齒莧、糜子、西瓜、鳳梨、梨、柿子、橘子、檸檬、橄欖、桑椹子、荸薺、茄子、髮菜、鴨肉等。
4、咯血者:青梅、藕、甘蔗、梨、柿子、海蜇、海參、蓮子、菱、海帶、蕎麥、黑豆、豆腐、百合、薺菜、茄子、牛奶、鯽魚、龜、烏賊、黃魚鰾、甲魚、牡蠣、淡菜等。
5、胸痛患者:油菜、絲瓜、獼猴桃、核桃、蕎麥、楊桃、杏仁、茄子、桃子、芥菜、鵪鶉、蟹、橙、鯽魚等。
6、腫瘤浸潤支氣管壁有陣發性、刺激性嗆咳,無痰或僅有少量白色泡沫樣粘痰的患者,可用白果、蘿蔔、薺菜、杏仁酥、枇杷、橄欖、或文旦皮泡茶喝。
7、痰液粘稠難咳出者,可食用海蜇、荸薺、蛤蜊蔥花湯、米仁、海帶、昆布、紫菜等。
8、並發感染時痰液可呈黃色和膿性:冬瓜、薏苡仁、絲瓜、薺菜、蘿蔔、蕎麥。
二、化療期間的飲食
1、選用綠茶、泥鰍、泥螺以保證口腔。
2、鵝血、蘑菇、鯊魚、桂魚、黃鱔、核桃、葫蘆、甲魚、烏龜以保護白細胞;
3、選用獼猴桃、鯉魚、綠豆、芸豆、赤豆、蝦、蟹、銀魚、泥鰍、胖頭魚、草魚、馬哈魚等保護消化功能。
氣管腫瘤健康指導
氣管腫瘤由於醫者對本病的忽視及認識不足常被誤診。如出現刺激性咳嗽、無痰或白色泡沫狀痰常被誤診為感冒。當咳嗽加劇、血痰時,被誤診為肺結核,支氣管炎,支氣管擴張等。當腫瘤長大已阻塞氣管腔50%以上,出現氣急、呼吸困難、喘鳴等較典型症狀時,又常被誤診為支氣管哮喘。因此,臨床工作者應提高對本病的警惕,對刺激性乾咳,或伴白色泡沫痰、痰中帶血點、血絲者,氣短、呼吸困難、喘鳴用抗哮喘藥物不能緩解者,均應考慮有本病的可能。必需給予進一步檢查,以確診或排除。
氣管造影對診斷氣管腫瘤也很有價值,但有加重氣管梗阻的危險,僅通用於梗阻程度較輕的病例。
氣管腫瘤的心態調整
第一,正確認識疾病:得了癌症不要害怕,也不要自責。要懂得這樣的道理,只要是疾病,那就是每個人都有得病的可能。我們自己得上了,也是正常。
第二,積極配合治療:得了病並不可怕,只要能治療我們就要積極配合家人及醫生進行積極的治療,要堅強起來,疾病的折磨是痛苦的,但是我們要勇於與疾病作鬥爭,在心裡上精神上壓倒疾病。
第三、要放下自己:我們得了癌症做了手術,身體器官有了改變,特別是不能說話,不能像正常人時想怎么表達就怎么表達自己的意識,從正常人一下子變成了殘疾人。這就需要我們面對現實,正確認識自己的這個變化。降低對自己的要求,不要與正常人比。只要我們積極治療相信現在的科技,恢復後尋找適合自己的發音工具,實現與人們交流是不難的。
第四、控制自己儘量不要生氣:生氣是癌症患者的通病。當我們自己的意願不被別人理解時,當有些事情不隨自己心意時,我們就會自己生氣發脾氣,尤其是對自己的老婆發脾氣,給自己治療效果照成影響,也給家人增加精神上的負擔。要學會調整自己的心態。每當要生氣的時候,我們可以嘗試在心裡默念不生氣,這么想生氣又什麼用,多想親人照顧我們的好處,經常在思想里產生感激家人的心理。這樣就會減少我們生氣動力。逐漸使自己養成以一個平和的心態去對待生活中的事與人。
第五、理解家人:我們得了癌症,我們的家人都承受著莫大的精神壓力。而且她們還要張羅為我們治療而操心。要理解,她們的痛苦遠比我們的痛苦大。我們要充分理解她們,也要給她們減壓,要學會堅強,雖然自己很痛苦,也要有精氣神,要讓家屬看到希望。可以說有時我們裝精神也得裝。要重視精神的力量。
總之,我們要以積極的心態面對自己面對家人面對一切。以一顆感恩的心感謝家人對我們的照顧及在治療中作出的努力。努力調整好自己的心態,使自己儘快的走向健康的軌道。

