疾病介紹
過敏性肺炎過敏性肺炎(外源性變應性肺泡炎)包括多種由特異性抗原引起的病種。與反覆吸入含嗜熱放線菌乾草有關的農民肺即是其中的代表。
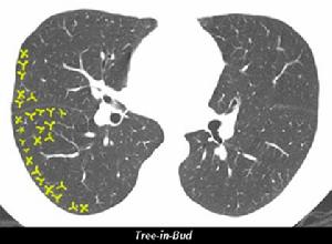
過敏性肺炎屬於肺炎的特殊類型,是一組由不同過敏原引起的非哮喘性變應性肺疾患,小兒發病率不高。過敏原為含有真菌孢子、細菌產物、動物蛋白質或昆蟲抗原的有機物塵埃顆粒。吸入這種顆粒後少數病兒出現喘息、流涕等前驅表現,3-6小時後開始出現症狀,表現為有發熱、乾咳、呼吸急促、胸痛及缺氧、口唇、指趾末端紫紺等,6-8小時上述症狀達高峰,24小時症狀基本消失。發作時肺部體徵與哮喘發作時不同,多無喘鳴音,主要聽到的是濕性羅音。胸部X線檢查早期顯示肺間質浸潤、小結節影,以後擴展為斑片狀陰影。急性發作時白細胞升高,以中性粒細胞為主;而與過敏反應密切相關的嗜酸細胞卻不增高;同時肺功能下降。
食用過敏康膠囊,遠離污染空氣。
發病機理
過敏性肺炎一般認為是Ⅲ型變態反應(由於免疫複合物的沉著),但肺活檢未發現Ⅱ型變態反應的組織損害所特有的肺血管炎,因此,有人支持Ⅳ型變態反應(遲緩反應)觀點,因為它的組織學損害在急性期是以肺泡壁為主的淋巴細胞浸潤,繼而是單核細胞浸潤和散在的非乾酪化性巨細胞肉芽腫,後期是肺組織纖維化和機化的阻塞性細支氣管炎,與Ⅳ型變態反應一致。但亦有報告指出Ⅱ型變態反應及非免疫學機理均參與此症的發病。本病多見於吸入抗原3~6小時後開始出現症狀,6~8小時達高峰,24小時左右消失,如接觸含真菌之稻草引起的“農民肺”,對鳥糞中動物蛋白過敏的“飼鴿者肺”等。有人報告患者組織相容性抗原(HLA)系統和過敏性肺炎的發生有一定關聯。如“飼鴿者肺”多發生於白細胞帶有HLA-A1,8者,提示有一個與組織相容抗原系統有關聯的免疫反應基因存在。
病理改變
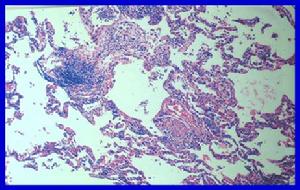
顯示亞急性肉芽腫樣炎症,有淋巴細胞、漿細胞、上皮樣細胞及朗罕氏巨細胞浸潤等,以致間質加寬。經過慢性病程後出現間質纖維化及肺實質破壞,毛細支氣管為膠原沉著及肉芽組織堵塞而閉鎖。持續接觸致敏抗原後可發生肺纖維性變,嚴重時肺呈囊性蜂窩狀。
臨床表現
過敏性肺炎急性發作時,末梢血象呈白細胞升高15×109~25×109/L(15000~25000)伴中性粒細胞增高,但多無嗜酸性細胞升高,丙種球蛋白升高到20~30g/L(2~3g/dl),伴IgG、IgM及IgA升高,血清補體正常,類風濕因子可為陽性。肺功能檢查顯示限制性通氣障礙有肺活量下降,彌散能務降低,局部通氣血流比例失調,無明顯氣道阻塞及血管阻力增加。
症狀和體徵
在急性者,原來已致敏的病人可有發熱,畏寒,咳嗽和呼吸困難,一般出現於再次接觸抗原後4~8小時。也可出現厭食,噁心和嘔吐。肺部聽診有細中吸氣相濕性囉音,哮鳴音不常見。脫離抗原之後,症狀一般在幾小時內改善,但完全恢復需幾周,反覆發作可致肺纖維化。亞急性者可隱襲發病,咳嗽和呼吸困難持續數日至數周,病情不斷發展者需要住院治療。在慢性者,進行性活動後呼吸困難,咳嗽,乏力和體重下降可達數月至數年。疾病可發展為呼吸衰竭。
胸部X線檢查可能正常,也可能有瀰漫性間質纖維化。常出現雙側性斑塊或結節樣浸潤,支氣管肺紋理增粗,或呈小的腺泡樣改變,提示有肺水腫。肺門淋巴結腫大和胸腔積液罕見。CT特別是高分辨CT對判斷病變類型和範圍有較高價值,但CT表現無一定規律性。
肺功能為限制性,肺容積縮小,一氧化碳彌散減低,通氣/血流比例異常和低氧血症。急性者氣道阻塞不多見,但慢性者可發生。嗜酸性細胞無異常。
診斷
過敏性肺炎非典型性農民肺(肺黴菌中毒),是指數小時內接觸大量發霉青貯飼料(如打開貯存青貯飼料的地窖)後出現的發熱,畏寒和咳嗽綜合徵;因找不到沉澱素,提示發病機制為非免疫性。通常有肺浸潤。這種情況與污染了曲菌的舊青貯飼料有關,不同於地窯充堵者病。後者是由新鮮青貯飼料內有毒的含氮氧化物引起。有機粉塵中毒綜合徵常指一過性發熱,肌瘤伴或不伴呼吸道症狀,沒有證據表明有接觸農業粉塵後的過敏(如穀物熱)。濕化器熱常指與受到污染的加熱,冷卻和加濕裝置有關的病例。據認為內毒素在有機粉塵中毒綜合徵和濕化器熱的發病中起作用。
過敏性肺炎可通過培養和血清學試驗與鸚鵡熱,病毒性肺炎及其他感染性肺炎鑑別。當急性發作前的典型接觸史不能確定時,由於臨床特點,X線及肺功能檢查的相似,特發性纖維化(Hamman-Rich綜合徵,隱源性致纖維性肺泡炎,內源性變應性肺泡炎)則難與過敏性肺炎鑑別。成人細支氣管炎的變異類型(如阻塞性細支氣管炎伴機化性肺炎)可類似於限制性(間質性)疾病,而且當無相關病史或剖胸肺活檢未發現典型改變時,兩者難以區別。
有自身免疫證據(抗核-DNA抗體或乳膠固定試驗陽性,或有膠原性血管疾病)表示為特發性或繼發性普通間質性肺炎。慢性嗜酸性肺炎常伴周圍血嗜酸性粒細胞增多。結節病往往引起肺門和氣管旁淋巴結增大並可累及其他器官。肺血管炎-肉芽腫綜合徵(Wegener肉芽腫),淋巴瘤樣肉芽腫和變應性肉芽腫(Churg-Strauss綜合徵),常伴上呼吸道和腎臟疾病。支氣管哮喘和變應性支氣管肺曲菌病有嗜酸性細胞增多和阻塞性而非限制性肺功能異常。
治療措施
應立即避免與致敏原接觸。如肺部病變廣泛,激素治療(強的松1~2mg/(kg·d),繼續1~2月)可使症狀、體徵及X線改變迅速消失。
所屬分類
關注健康,了解疾病
| 2008年5月31日是世界衛生組織發起的第21個世界無菸日。本次無煙主題是“無煙青少年”,口號是“禁止菸草廣告和促銷,確保無煙青春好年華”。讓我們一起拒絕菸草,關注呼吸健康,了解呼吸疾病。 |

