概述
病毒性肺炎 病毒性肺炎由於免疫抑制藥物廣泛套用於腫瘤、器官移植,以及愛滋病的發病人數逐年增多等,單純皰疹病毒、水痘-帶狀皰疹病毒、巨細胞病毒等,都可引起嚴重的肺炎。
病毒性肺炎為吸入性感染,通過人與人的飛沫傳染,主要是由上呼吸道病毒感染向下蔓延所致,常伴氣管-支氣管炎,家畜如馬、豬等有時帶有某種流行性感冒病毒,偶見接觸傳染。糞經口傳染見於腸道病毒,呼吸道合胞病毒通過塵埃傳染。器官移植的病例可以通過多次輸血,甚至供者的器官引起病毒。血行播散的病毒性肺炎並不伴氣管-支氣管炎。
病因
病毒性肺炎臨床表現
病毒性肺炎病毒性肺炎臨床表現一般較輕,與支原體肺炎的症狀相似。起病緩慢,有頭痛、乏力、發熱、咳嗽、並咳少量粘痰。體徵往往缺如。X線檢查肺部炎症呈斑點狀、片狀或均勻的陰影。白細胞總數可正常、減少或略增加。病程一般為1~2周。在免疫缺損的患者,病毒性肺炎往往比較嚴重,有持續性高熱、心悸、氣急、紫紺、極度衰竭,可伴休克、心力衰竭和氮質血症。由於肺泡間質和肺泡內水腫,嚴重者可發生呼吸窘迫綜合徵。體檢可有濕羅音。X線檢查顯示瀰漫性結節性浸潤,多見於兩下2/3肺野。
三個症狀
1、體徵不明顯,通過體檢有時候可以在肺下部聞及小水泡聲。如果患者有免疫缺損,這種病毒性肺炎往往更加嚴重,可能出現持續性的發燒、氣短、氣急、心悸等,嚴重者會出現休克,氮質血症以及心力衰竭。此外,因為此病會造成患者肺泡間質和肺泡內水腫,可能會發生呼吸窘迫綜合徵。
2、細胞免疫功能低下,易出現中毒性心肌炎、心肌收縮力低下,加重缺氧。另外可累及肝臟、腦等臟器,並且目前對病毒性肺炎治療無特異性,儘管有報導干擾素、丙種球蛋白等對治療病毒性肺炎有一定療效。
3、病毒性肺炎往往比較嚴重,有持續性高熱、心悸、氣急、發紺、極度衰竭,可伴休克、心力衰竭和氮質血症。由於肺泡間質和肺泡內水腫,嚴重者可發生呼吸窘迫綜合徵。體檢可有濕囉音。
診斷和診別
病毒性肺炎起病緩慢,初期多有咽乾、咽痛、噴嚏、流涕、發熱、頭痛、納差以及全身酸痛等上呼吸道症狀,病變累及肺實質可有咳嗽(多為陣發性乾咳),胸痛、氣短等症狀,病史詢問應特別注意有無免疫缺陷或免疫抑制情況。
二、體檢發現:
體徵多不明顯,有時可在肺下部聞及小水泡聲。
三、輔助檢查:
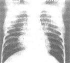
(一) X線胸片,兩肺呈網狀陰影,肺紋理增粗,模糊,嚴重者兩肺中、下野可見瀰漫性結節性陰影,實變者少見。
(二)血液檢查:白細胞計數一般正常,也可稍高或偏低,繼發細菌感染時,白細胞計數及中性粒細胞可增高。
(三)病原學檢查:病毒培養較困難,不易常規開展,肺炎病人的痰塗片僅發現散在細菌及大量有核細胞,或找不到致病菌,應懷疑病毒性肺炎的可能。
(四)血清學檢查:急性期和恢復期的雙份血清,補體結合試驗、中和試驗或血清抑制試驗抗體滴度增高4倍或以上有確診意義。近年用血清監測病毒的特異性IgM抗體,有助早期診斷。免疫螢光,酶聯免疫吸附試驗,酶標組化法,辣根過氧化物酶-抗辣根過氧化物酶法等,可進行病毒特異性快速診斷。
治療
治療病毒性肺炎藥物保曖,保持呼吸道通暢,防止水、電解質和酸鹼失衡,必要時氧療。
二、抗病毒藥物:
金剛烷胺 0.1g, 2次/d,連用3~5天;病毒唑,10mg/kg,2~3次/d,口服或注射;板蘭根、黃芪、金銀花、大青葉、連翹等有一定的抗病毒作用。還可用α-干擾素,胸腺肽等。
三、繼發性細菌感染時給予相應抗生素治療。
病毒性肺炎為吸入性感染,通過人與人的飛沫傳染,主要是由上呼吸道病毒感染向下蔓延所致,常伴氣管-支氣管炎,家畜如馬、豬等有時帶有某種流行性感冒病毒,偶見接觸傳染。糞經口傳染見於腸道病毒,呼吸道合胞病毒通過塵埃傳染。器官移植的病例可以通過多次輸血,甚至供者的器官引進病毒。血行播散的病毒性肺炎並不伴氣管-支氣管炎。
病原
病毒性肺炎他們首次發現了RSV的作用機制。RSV可以使細胞產生破壞性很強的活性氧簇(ROS)分子,它們促使細胞釋放信號至免疫系統並使其反應過度,產生類似哮喘發作時的炎症反應,這遠遠超過病毒本身所帶來的危害。用抗氧化劑治療實驗小鼠,可以大幅減輕這種稱為氧化應激的反應,同時還能減輕類似哮喘發作時的氣道高反應性。
他們還發現了RSV感染小鼠肺內有氧化應激的生化信號,這種應激與肺功能障礙如急性呼吸衰竭、哮喘及慢性阻塞性肺疾病有關。
抗氧化劑為RSV治療帶了來了希望。如果將來能開發出一種口服抗氧化劑, 能在孩子一出現RSV感染的上呼吸道症狀時就開始治療,這些孩子的病情將不至於發展成RSV肺炎。
預防
病毒性肺炎人體上呼吸道的鼻毛、殺菌物質及免疫球蛋白等有減少呼吸道感染的作用,並可阻止病毒感染從鼻咽部向下呼吸道和肺蔓延。到了下呼吸道和肺,這種免疫防禦功能則主要靠氣管分泌的黏液把細菌、病毒等病原體黏附在痰中,再經氣管表面的纖毛運動,把痰推向咽喉,隨著咳嗽排出體外。
下呼吸道防禦功能的降低,就使得病毒及其並發感染的細菌很容易導致肺部感染和肺炎。病毒性肺炎常常發生在免疫缺陷的人群中,包括體弱的兒童、亞健康狀態的青壯年人,60歲以上的老年人,尤其是患有糖尿病、高血壓、冠心病、慢性呼吸道疾病、慢性肝病和腫瘤的老年人。
病毒性肺炎的康復除了服用藥物以緩解症狀、防治細菌並發感染及供給氧氣有利通氣外,主要靠體內自身免疫功能的發揮,所以增強自身免疫功能十分重要。為增強自身免疫功能,可服用中藥甘草製劑康奇膠囊,它能直接作用於人體免疫系統,通過免疫細胞激發抗病潛能,產生更多的免疫分子,從而增強人體的免疫預防。康奇膠囊適用於各類免疫缺陷人群,如體弱的兒童和成人、老年人、慢性病患者,都可通過服用康奇膠囊提高自身免疫抗病能力,預防上呼吸道感染及病毒性肺炎。
中醫識別
病毒性肺炎,中醫多屬“發熱”、“咳嗽”範疇。
中國醫學認為溫熱之邪上犯,侵犯肌表,衛氣失於宣暢,故發熱、頭痛。熱邪犯肺、肺失清肅、津液被灼,故咳嗽痰粘。熱邪熾盛,則高熱。心神受擾而心悸,氣虛陽不氣充。血瘀續發則氣促、紫紺。體力衰弱,如果邪熱內陷,邪盛正虛,則心陽衰竭,導致內閉外脫的危象(休克或心力衰竭)。病毒性肺炎多見於兒童。
常規檢驗
1、血常規檢查;2、血氣分析;
3、病毒分離,常用的方法有雞胚接種、細菌培養和動物接種,基因分析診斷;
4、血清學檢查特異性抗體;
5、胸部X線檢查。
生理學常見疾病
| 人體主要體統包括:心血管、呼吸、泌尿、生殖、神經系統、內分泌系統,認識疾病因包括以下幾個方面:疾病的病因、發病機制和病理改變,以及各系統疾病在發展嚴重時可能出現的共性病理過程。 |

