病因
肺栓塞(1)血栓:最常見的肺栓子為血栓,由血栓引起的肺栓塞(PE)也稱肺血栓栓塞(pulmonarythromboembolismPTE)。70%~95%是由於深靜脈血栓(deepvenousthrombosis,DVT)脫落後隨血循環進入肺動脈及其分支的。原發部位以下肢深靜脈為主,文獻報告達90%~95%,如膕、股、深股及髂外靜脈。行胸、腹及髖部手術時,患腦血管意外及急性心肌梗死的患者中DVT發生率很高於手術中或手術後24~48h內,小腿腓靜脈內可形成血栓,但活動後大部分可消失該處5%~20%的血栓可向高位的深靜脈延伸,並有3%~10%於術後4~20天內引起PTE。腋下鎖骨下靜脈也常有血栓形成,但來自該處的血栓僅1%盆腔靜脈血栓是婦女PTE的重要來源多發生於婦科手術、盆腔疾患等。極少數血栓來自右心室或右心房健康搜尋。另外還應該注意,下肢淺靜脈炎雖然不能直接產生PTE,但其中20%與DVT有密切關係。
(2)其他栓子:如有脂肪栓、空氣栓、羊水、骨髓、寄生蟲、胎盤滋養層、轉移性癌、細菌栓、心臟贅生物等均可引起PE。
2.靜脈血栓形成的條件
(1)血流淤滯:為最重要條件,使已激活的凝血因子不易被循環中的抗凝物質所抑制,有利於纖維蛋白的形成,促使血栓發生。常見於老年、久病臥床、下肢靜脈曲張肥胖、休克、充血性心力衰竭等患者或妊娠的婦女。據北京協和醫院病例資料,40%PE有各種性質的心臟病,其中以風濕性心臟病最為常見。
(2)靜脈血管壁損傷:如外科手術、腫瘤、燒傷、糖尿病等。因組織損傷後易產生內源性和外源性的活性凝血活酶。
(3)高凝狀態:見於腫瘤、真性紅細胞增多、嚴重的溶血性貧血、脾切除術後伴血小板溶解、高胱氨酸尿症(homocystinuria)、口服避孕藥物等。國外文獻報導胰腺癌具有最高健康搜尋的DVT的發生率,因此DVT可能成為惡性腫瘤的預兆。實驗室檢查報告在反覆發作DVT的患者中有凝血機制的異常如血小板黏著性增加及壽命降低、第V及Ⅶ因子增加抗凝血酶第Ⅲ因子(antithrombinⅢ)缺乏、凝血因子Ⅰ異常、靜脈壁內皮細胞內纖溶酶原激活劑降低、纖維蛋白溶酶原及纖溶酶的抑制劑增高等。
凡能產生上述條件的疾病和病理狀態,即孕育著血栓形成的危險,並成為血栓栓子的發源地。
發病機制
妊娠合併肺栓塞(1)妊娠期的生理改變:
①妊娠期血液凝集因子增加,纖維溶解活性降低,孕婦處於高凝狀態,易發生血栓形成。
②妊娠期靜脈回流障礙:增大的子宮壓迫髂靜脈及下腔靜脈,使靜脈回流發生障礙血流淤積引起血管內皮細胞受損,血管壁發生改變,易形成血栓。
③孕酮的作用:可使靜脈平滑肌鬆弛,血流緩慢,下腔靜脈發生淤血增加了深靜脈血栓形成的可能性。
(2)PE發生後的病理改變:PTE常見為多發及雙側性,下肺多於上肺健康搜尋特別好發於右下葉肺約達85%健康搜尋,這無疑是與血流及引力有關。屍檢中僅5%~10%的PTE患者發現肺梗死。這主要因肺組織的供氧來自三方面:肺動脈支氣管動脈及局部肺野的氣道,只有上述兩個以上的來源受嚴重影響時才發生梗死。但當患有慢性肺疾患、左心衰竭時,即使小的栓子也易發生肺梗死。通常情況下決定於血管栓塞的程度及速度。
栓子的大小可以分:①騎跨型栓塞:栓子完全阻塞肺動脈及其主要分支;②巨大栓塞健康搜尋:40%以上肺動脈被栓塞,相當於兩個或兩個以上的肺葉動脈;③次巨大栓塞:不到兩個肺葉動脈受阻塞;④中等栓塞:即主肺段和亞肺段動脈栓塞;⑤微栓塞:纖維蛋白凝塊、聚集的血小板等進入深部的肺組織。
當肺動脈主要分支受阻時健康搜尋,肺動脈主幹即擴張,右心室急劇擴大,靜脈回流受阻,產生右心衰竭的病理表現若能及時去除肺動脈的阻塞,仍可恢復正常如沒有得到正確治療,並反覆發生PTE,肺血管進行性堵塞,以致形成肺動脈高壓,繼而出現慢性肺源性心臟病。
肺梗死時顯微鏡下可見肺泡壁有凝固性壞死,肺泡腔內充滿紅細胞及輕微的炎性反應一般1周后胸部X線片可顯示出上述浸潤性梗死陰影。不完全性梗死時,肺泡腔內有滲出的紅細胞,便沒有肺泡壁壞死因此胸片上顯示的浸潤陰影2~4天即可消失,也不留瘢痕肺梗死時約30%病人可產生血性胸膜腔滲出。
2.病理生理
PTE發生後,肺血管被阻塞,隨之而來的神經反射、神經體液的作用可引起明顯的呼吸生理及血流動力學的改變。
(1)呼吸系統的病理生理:
①肺泡無效腔增加:被栓塞的區域出現無血流灌注,使通氣-灌註失常不能進行有效的氣體交換,故肺泡無效腔增大。
②通氣受限:栓子釋放的5-羥色胺、組胺、緩激肽等,均可引起支氣管痙攣通氣降低。表現為中心氣道的直徑減小氣道阻力明顯增高。
③肺泡表面活性物質喪失:表面活性物質主要健康搜尋是維持肺泡的穩定性。當肺毛細血管血流中斷2~3h,表面活性物質即減少;12~15h,損傷已非常嚴重;血流完全中斷24~48h,肺泡可變形及塌陷,出現充血性肺不張,臨床表現有咯血;
④低氧血症:由於上述原因,低氧血症常見當肺動脈壓明顯增高時,原正常低通氣帶的血流充盈增加,通氣-灌註明顯失常,嚴重時可出現分流心功能衰竭時由於混合靜脈血氧分壓的低下均可加重缺氧。
⑤低碳酸血症:為了補償通氣-灌註失常產生的無效通氣,產生過度通氣,使動脈血PaCO2下降。
(2)血流動力學改變:發生PTE後即引起肺血管床的減少,使肺毛細血管阻力增加,肺動脈壓增高,急性右心室衰竭心率加快心排血量猝然降低,血壓下降等。70%病人平均肺動脈壓高於2.67kPa(20mmHg),一般為3.33~4.0kPa(25~30mmHg)。血流動力學改變程度主要由以下條件決定。
①血管阻塞程度:肺毛細血管床的儲備能力非常大,只有50%以上健康搜尋的血管床被阻塞時,才出現肺動脈高壓。實際上肺血管阻塞20%~30%時就出現肺動脈高壓,這主要是由於神經體液因素的參與。
②神經、體液因素:除引起肺動脈收縮外,也引起冠狀動脈體循環血管收縮而危及生命,至呼吸心跳驟停。
③栓塞前心肺疾病狀態:可影響PTEhttp://www.huoguan.com的結果,如肺動脈壓可高於5.33kPa(40mmHg)。
(3)神經體液介質的變化:新鮮血栓上面覆蓋有多量的血小板及凝血酶,其內層有纖維蛋白網,網內具有纖溶酶原。當栓子在肺血管網內移動時,引起血小板脫顆粒釋放各種血管活性物質,如腺嘌呤、腎上腺素、核苷酸組胺、5-羥色胺、兒茶酚胺、血栓素A2(TXA2)、緩激肽、前列腺素及纖維蛋白原降解產物(fibrinogendegradationproductsFDP)等。它們可以刺激肺的各種神經,包括肺泡壁上健康搜尋的J受體和氣道健康搜尋的刺激受體,從而引起呼吸困難、心率加快、咳嗽支氣管和血管痙攣、血管通透性增加。同時也損傷肺的非呼吸代謝功能。
症狀
檢查表栓子大小及其阻塞肺動脈的程度,使其臨床表現有輕重緩急之分。
1.症狀無特異健康搜尋的臨床表現。多以起病突然,腦缺氧的一系列表現為主。據Goldhaber(1999)報告,2500例非妊娠婦女的肺栓塞臨床表現為:
(1)起病突然患者突然發生不明原因的心血管虛脫面色蒼白,出冷汗,衰弱,突然呼吸困難者占82%,胸痛占49%,咳嗽占20%,暈厥14%,咯血7%
(2)腦缺氧症狀:患者極度焦慮不安、恐懼、淡漠、倦怠、噁心、抽搐和昏迷。
(3)急性疼痛:胸痛、肩痛頸部痛、心前區及上腹痛。
2.體徵大的動脈栓塞可發生急性右心衰竭的症狀,甚至突然死亡。
(1)心血管系統的主要體徵有心動過速,甚至有舒張期奔馬律肺動脈第二音亢進,主動脈瓣及肺動脈瓣有第二音分裂、休克、發紺、中心靜脈壓升高頸靜脈怒張、肝大。
(2)肺部主要體徵有呼吸快、濕囉音胸膜摩擦音、喘息音及肺實變健康搜尋的體徵。
(3)心電圖有電軸右偏T波倒置及右束支傳導阻滯。
(4)血氣分析有PaO2及PaCO2均低的表現。
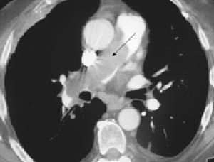
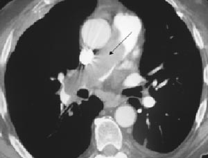
(5)X線胸片示有充血性肺不張或肺梗死,多在12~36h內出現。
診斷:
主要根據病史及臨床表現。鑑別淺靜脈血栓形成與深靜脈血栓形成極為重要,因來自下肢的肺栓塞,95%系由深靜脈血栓形成。診斷淺層血栓形成較易,而深層血栓形成症狀不明顯,明確診斷較難,因此掌握一定的血栓形成臨床表現極為重要。除上述臨床症狀外如局部有腓腸肌部及大腿部肌群痙攣,體位改變無影響咳嗽時下肢疼痛,行走時腓腸肌部撕裂性疼痛,病側皮膚溫度高於健側,說明有深層血栓形成發生。
如已知存在深層靜脈血栓形成,診斷肺栓塞並不困難,可是常常缺乏局部體徵,何況栓子還可來自盆腔的某一隱蔽處。發生肺栓塞的危險期一般在尚無血栓症狀、血栓在血管內異常疏鬆時期約在分娩後第9天或在剖宮產手術後第11天最為危險,可引起突發的致命性後果。
鑑別診斷:
鑑別診斷應考慮任何能引起孕產婦發生呼吸循環系統症狀的疾病。主要為羊水栓塞。後者多發生於產時,常有套用宮縮劑加強宮縮史,除有嚴重的呼吸循環衰竭外,主要有彌散性血管內凝血、一般無胸痛為鑑別要點。
急性肺栓塞與心肌梗死的鑑別要點。
治療
X射線圖本病發病急,須做急救處理。
(1)應保持病人絕對臥床休息,高濃度吸氧。
(2)放置中心靜脈壓導管,測量中心靜脈壓,控制輸液入量及速度,並可通過此途徑給藥。
(3)鎮痛:有嚴重胸痛時可用嗎啡5~10mg健康搜尋皮下注射,休克者避免使用。
(4)抗休克:為減低迷走神經興奮性防止肺血管和冠狀動脈反射性痙攣,可靜脈內注射阿托品0.5~1mg,也可用異丙基腎上腺素、酚妥拉明(苄胺唑啉)。抗休克常用多巴胺200mg加入500ml葡萄糖液內靜滴開始速率為2.5μg/(kg·min)以後調節滴速使收縮壓維持在12.0kPa(90mmHg)[在10~25μg/(kg·min)]。右鏇糖酐可作為主選擴容劑,而且還具有抗凝促進栓子溶解、降低血小板活性作用健康搜尋。
(5)解痙:可套用氨茶鹼類藥物。
2.抗凝療法
肝素(heparin)為孕期首選的抗凝藥物分子量為4000~40000,肝素不通過胎盤,不進入乳汁健康搜尋,對胎兒及哺母乳的新生兒安全,不增加流產、早產及圍生兒的死亡率。
(1)肝素使用方法:①持續靜脈內滴註:適用巨大肺栓塞,首次套用大劑量肝素(10000~20000U)靜脈內沖入,這樣抑制血小板黏附於栓子上。2~4h後開始標準療法,每小時滴入1000U,由輸液泵控制滴速。每天總量25000U。②間斷靜脈內注射:每4小時(5000U肝素)或每6小時(7500U肝素)靜脈內給肝素1次。每天總量為36000U。③間斷皮下注射:每4小時(5000U)或8小時(10000U)、或12小時(20000U)皮下注射1次肝素。必須避免肌內注射,防止發生血腫。
肝素一般連續使用9~10天,當栓塞危險因素消失,移動病人,沒有發生PTE症狀,此時可合用口服抗凝劑待口服抗凝起效時,即可停用肝素。
肝素鈣(低分子肝素,LMWH)是一種新型抗凝劑,近年有文獻報導亦可用於PE的治療。Simonneau等將未接受溶栓治療的612例有症狀的急性PE患者隨機分為靜脈普通肝素組和皮下LMWH組。8天后發生死亡、栓塞復發和大出血的危險2組分別為2.9%和3.0%,90天分別為7.1%和5.9%,表明LMWH療效較好但無統計學差異LMWH可皮下注射無須實驗室監測,故套用更方便。
肝素併發症:主要是出血,出血部位常見於皮膚插管處,其次胃腸道、腹膜後間隙或顱內。凡異常凝血、尿毒症、酒精性肝炎、舒張壓高於14.7kPa(110mmHg)或嚴重肺動脈高壓症易發生出血因此在用肝素治療時,必須做PTT及凝血時間的監測,保持其為正常值的1.5~2倍一旦發生出血,立即停用肝素,並用等量硫酸魚精蛋白對抗肝素。待出血停止後再用小劑量的肝素治療。
肝素的禁忌證:2個月內有腦出血,肝腎功能不全,患有出血性疾病、活動性消化性潰瘍,10天內剛做過大手術(尤其是顱內及眼科手術)及亞急性細菌性心內膜炎。
孕婦因高凝狀態,肝素用量大,臨產、分娩時須停藥尤其擬行剖宮產者,若術前48~72h仍用藥者,出血危險性大。產後若無大的切口,子宮收縮良好,最早產後數小時可用肝素抗凝,產後1~2天再用藥更為安全。一般產後4~6周華法林或雙香豆素。
(2)維生素K拮抗劑:為常用的口服抗凝劑健康搜尋可抑制依賴於維生素K的凝血因子。目前國內最常用的是醋硝香豆素(新抗凝)片,起作用快,口服後36~48h即達高峰,首次量為2~4mg,維持量為1~2mg/d也可用雙香豆素或雙香豆乙酯(新雙香豆素),首劑均200mg,次日100mg口服,以後每天25~75mg維持。華法林首劑15~20mg,次日5~10mg,維持量為每天2.5~5mg上述口服抗凝劑維持量均根據凝血酶原活動調節,使其保持在20%~30%。雙香豆素、雙香豆乙酯(新雙香豆素)及華法林發揮治療作用要有一定時間,因此需合用肝素數天,直到口服抗凝劑作用,才停用肝素。一般口服抗凝劑需持續3個月。以後是否繼續服用,則取決於栓塞危險因素的存在情況及繼續抗凝治療的危險性來權衡。
華法林健康搜尋在妊娠6~11周套用可引起“特發性胚胎病變”,包括有健康搜尋:鼻骨發育不良、骨骺發育不良、中樞神經系統異常,胎兒及新生兒出血及畸形。孕期任何時間用藥均可引起新生兒出血此藥僅在產後給予。孕期使用雙香豆素亦可引起胎兒出血,不宜套用。
纖維蛋白即溶栓治療溶栓治療PE是近年來的主要進展,它可使肺動脈內血栓溶解,改善肺組織血流灌注,降低肺循環阻力和肺動脈壓力改善右心功能;溶解深靜脈系統的血栓,還可減少栓子來源,減少PE復發,改善生活質量和遠期預後,故已成為目前治療的首選方法。一般在栓塞後5天內用纖維蛋白溶解劑治療,效果較好,更適用於急性巨大肺栓塞,此時可與肝素同用,亦可待其療程結束後再用肝素。常用藥物有鏈激酶(SK)尿激酶(UK)和組織型阿替普酶(纖溶酶原激活劑)等。
(1)尿激酶負荷量4400U/kg,靜注10min,隨後以2200U/(kg·h)持續靜滴12h;另可考慮2h溶栓方案:2萬U/kg持續靜滴2h。
(2)鏈激酶負荷量25萬U,靜注30min隨後以10萬U/h持續靜滴24h鏈激酶具有抗原性,故用藥前需肌注苯海拉明或地塞米松,以防止過敏反應。
(3)阿替普酶(rt-PA)健康搜尋:50~100mg持續靜滴2h使用尿激酶、鏈激酶溶栓期間勿同用肝素對以阿替普酶(rt-PA)溶栓時是否需停用肝素無特殊要求。
法國Meneveau等人對43例急性大面積PE患者2h內靜脈輸入SKl50萬U,然後續以持續靜脈點滴肝素1000U/h,使部分凝血活酶時間(APTT)保持在正常對照值的2~3倍5天后改為口服抗凝劑6個月療效頗著,此方案可常規用於治療急性大面積PE。
UK是由正常人尿淨化而得,無抗原性,國內套用較多,一般主張2萬U/kg,2h左右靜脈輸入,然後續以肝素,再續以口服華法林維持PT為正常對照值的1.5~2.5倍,至少4~6個月
阿替普酶(rt-PA)是第2代選擇性溶栓藥,推薦用法為50~100mg2h左右靜脈點滴完畢。Jezek在對比研究中發現阿替普酶(rt-PA)在2h內比SK或UK在12~24h內改善血流動力學紊亂和右心功能更快,這點對某些危重患者更為重要。其缺點是價格昂貴,目前難以普遍套用。
溶栓治療結束後,應每24h測定1次凝血酶原時間(PT)或活化部分凝血激酶時間(APTT)http://www.huoguan.com,當其水平低於正常值健康搜尋的2倍,即應重新開始規範的肝素治療。溶栓後應注意對臨床及相關輔助檢查情況進行動態觀察,評估溶栓療效。
在溶栓後繼續抗凝和單純抗凝的療效方面,近年也有學者進行了研究。Konstantinides等挑選無嚴重血流動力學紊亂的巨大PE患者719例,分為2組,1組診斷後的24h內溶栓,後續以肝素抗凝,另1組單純肝素抗凝結果從治療第1~30天的病死率溶栓組為4.7%,明顯低於未溶組(11.1%),栓塞復發率溶栓組和未溶組分別為7.7%和18.7%提示溶栓續以抗凝優於單純抗凝。
溶栓治療的絕對禁忌證有活動性胃腸道出血,2個月內的顱內出血,顱、脊柱術後等。相對禁忌證有10天內的外科大手術、分娩,近期嚴重胃腸道出血,肝腎功能衰竭,嚴重創傷,高血壓Ⅲ級及出血性疾病等。
4.外科治療
(1)肺栓子切除術:據報告死亡率高達65%~70%。但本手術仍可挽救部分病人健康搜尋的生命,必須嚴格掌握手術指征:①肺動脈造影證明肺血管有50%或以上被阻塞,栓子位於主肺動脈或左右肺動脈處;②抗凝和(或)溶栓治療失敗或有禁忌證;③經治療後病人仍處於嚴重低氧血症、休克、腎、腦損傷。
(2)腔靜脈阻斷術:主要預防栓塞的復發以至危及肺血管床。方法有手術夾、傘狀裝置、網篩法、摺疊術等。腔靜脈阻斷術後,側支循環血管管徑可能增大,栓子可通過側支循環進入肺動脈,阻斷器材局部也可有血栓形成因此術後須繼續抗凝治療。
預防
肺栓塞(1)剖宮產或難產手術應做到操作輕柔細緻減少組織損傷,尤其要注意避免損傷血管而誘發血栓形成。在分娩過程中應及時糾正脫水,保持水、電解質平衡,防止血液凝固性增加。
(2)產後手術後鼓勵病人儘可能多翻身及屈伸下肢,指導病人早期下床活動促進血液回流,增強血液循環。
(3)必要時套用預防性抗凝血療法。
2.藥物抗凝預防血栓形成
(1)小劑量肝素預防術後DVT的發生有肯定效果特別年齡40歲以上,肥胖、患腫瘤及靜脈曲張者,行盆腔、髖部等手術前,測定部分凝血活酶時間(APTT)及血小板若正常,於術前2h皮下注射肝素5000U以後每12小時用藥1次,至病人能起床活動一般5~7天。因肝素劑量低,不易有併發症,不需做凝血機制的監測。
(2)口服抗凝劑:如醋硝香豆素(新抗凝片)(acenocoumarol,sinfrom)、華法林(苄丙酮香豆素,warfarin)常用於有DVT史、嚴重靜脈曲張者作預防性抗凝。
(3)抗血小板製劑:雙嘧達莫每天100mg口服,可抑制血小板集聚及粘連。非甾類抗炎劑,如小劑量阿司匹林(每天口服0.3~1.2g)、引哚美辛即可抑制凝血酶A2減少靜脈血栓形成。

