疾病概述
透視圖片2.體徵呼吸急促,病變廣泛時可有發紺,皮膚蒼白,大汗淋漓,四肢厥冷,脈搏細速或捫不清,血壓降低或測不出。肺大塊梗死區叩診濁音,呼吸音減弱或伴有乾、濕性囉音。如病變累及胸膜,可出現胸膜摩擦音和胸腔積液體徵。心率多增快,心濁音界擴大,胸骨左緣第2、3肋間隙濁音界增寬,搏動增強,肺動脈瓣區第2心音亢進,並有收縮期和舒張早期雜音。三尖瓣區亦有收縮期雜音及舒張期奔馬律、心房撲動、心房顫動等,亦可發生心臟驟停。右心衰竭時,有頸靜脈怒張,肝大並有壓痛,可出現黃疸、雙下肢水腫。部分患者可有血栓性靜脈炎的體徵。
疾病病因
急性肺源性心臟病1.栓子的主要來源
(1)周圍靜脈栓塞:以下肢深部靜脈和盆腔靜脈血栓形成或血栓性靜脈炎的血栓脫落為常見,在臨床上,大約80%的嚴重肺動脈栓塞是由於下肢深靜脈附壁血栓脫落所引起,少數血栓可來自於盆腔靜脈。深部靜脈血栓者是並發肺動脈栓塞的高發人群,大約有50%~70%下肢深靜脈血栓者合併肺動脈栓塞,但只有少數人出現臨床症狀。其他如盆腔炎、腹部手術與分娩亦為促進局部靜脈血栓形成與血栓性靜脈炎的重要原因。
急性肺源性心臟病(2)右心血栓:如長期心房顫動右心房的附壁血栓、心內膜炎時肺動脈瓣的贅生物等均可脫落引起肺動脈栓塞。右心房黏液瘤脫落也可產生瘤栓。
(3)癌栓:癌細胞可產生激活凝血系統的物質(如組蛋白、組織蛋白酶),而導致血液高凝狀態,致血栓形成。惡性腫瘤本身的癌栓也可脫落。國內屍檢資料,瘤栓占12%。肺、胰腺、消化道和生殖系統的惡性腫瘤最易發生肺動脈栓塞,其中以肺癌最為常見。
(4)脂肪栓塞:股、脛等長骨骨折所致者最常見,其次為骨盆骨折、嚴重創傷,尤其脂肪組織創傷,常可發生乳糜微粒所致的脂血症,引起脂肪栓。
(5)其他:如心血管手術、腎周空氣造影、人工氣腹等操作不當,空氣進入右心腔或靜脈所致的氣栓;雙側大量氣胸、縱隔氣腫、大塊肺不張、急性肺損傷及動脈瘤破入肺動脈;妊娠期或分娩的羊水栓塞;急性寄生蟲有大量成蟲或蟲卵進入肺循環引起的肺小動脈栓塞。以上均可引起肺動脈壓急驟升高,發生急性右心衰竭。
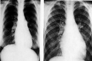
對比圖片(1)高齡:肺動脈栓塞並非原發性疾病,它是許多疾病的一種嚴重合併症。在老年人中,由於各種疾病如充血性心力衰竭、動脈粥樣硬化性心臟病、惡性腫瘤、腦血管疾病、外科大手術後、長期臥床和下肢活動受限是血栓形成的高危因素。50~65歲者肺動脈栓塞的發病率最高,肺動脈栓塞是70歲以上老年人的常見死亡原因,因此對大面積肺段、肺葉、較小或反覆出現的肺動脈栓塞做出及時診斷,對降低老年患者的病死率有積極作用。
(2)心臟病:是常見危險因素,如風濕性心臟病、動脈粥樣硬化性心臟病、心房纖顫、心力衰竭,是肺動脈栓塞的基礎疾病,尤以前兩者較多見。
(3)腫瘤:癌症患者除了可產生癌栓外,還可伴有凝血機制異常,易發生肺動脈栓塞。
(4)妊娠期或分娩:妊娠期的婦女血栓栓塞性疾病的發病率比同齡婦女高數倍。第3胎及多胎孕婦更易患血栓症。分娩時可產生羊水栓塞,產後可有盆腔靜脈血栓形成。
(5)寄生蟲病:急性寄生蟲病有大量成蟲或蟲卵進入肺循環引起廣泛的肺小動脈栓塞。
(6)肥胖:體重超標準者,血栓栓塞性疾病的發病率較高。
(7)藥物:口服避孕藥可導致凝血因子、血小板、纖維蛋白溶解系統和血漿脂蛋白的改變,易於發生血栓栓塞症。
(8)深靜脈炎:肺動脈栓塞患者13%~52%有深部靜脈炎史。下肢深部靜脈炎是栓子形成的重要易發因素。
(9)其他:下肢靜脈曲張、靜脈內長期留置插管和嚴重創傷、婦科或外科手術後等,均易引起血栓症。
病理生理
急性肺源性心臟病肺栓塞後,38%~52.9%的患者由於肺組織缺血、缺氧,可致肺組織壞死,稱為肺梗死。多見於肺下葉鄰近肋膈角部位,呈楔形,其底部在肺表面略高於周圍的正常組織,常呈紅色。鏡下可見肺間質及肺泡出血。30%~40%的肺梗死可伴有胸膜滲出,胸水為漿液性或漿液血性。當血栓運行到肺部對肺循環影響的大小,視血管阻塞的部位面積、肺循環原有的儲備能力以及肺血管痙攣的程度而定。當肺動脈兩側的主要分支突然被巨大的血塊栓子阻塞以及血塊表面的血小板崩解釋放的體液因子如組胺、5-羥色胺、血小板活化因子、多種前列腺素、血栓素A2等進入肺循環,可引起廣泛肺細小動脈痙攣,肺動脈壓驟升,或因大量的微小栓子同時發生肺小動脈栓塞造成肺循環橫斷面積阻塞超過30%時,肺循環阻力明顯增加,肺動脈壓開始升高,如超過50%以上時,肺動脈壓急升,右心室排血受阻,發生右心室擴張與右心衰竭。此外,可因左心血回流減少,血壓下降,冠狀動脈供血不足等影響左心功能。
肺栓塞發生後,呼吸生理的改變主要有:
①肺泡無效腔增加,由於血流受阻,有通氣而無灌注的肺泡不能參與氣體交換,致使無效通氣增加,生理無效腔增大。
②通氣障礙,血栓可釋放組胺、5-羥色胺、白三烯、前列腺素、血小板活化因子等炎性遞質,使支氣管平滑肌發生痙攣,氣道阻力增加。肺梗死時由於肺組織充血、水腫及不張,可使肺順應性降低。
③通氣/血流比值失調,肺梗死後血流受阻,肺泡表面活性物質嚴重減少,導致肺栓塞區肺泡陷閉、局部肺不張及肺水腫,肺動脈的血液在流經這些通氣不足或無通氣的肺區時,未經正常的交換即進入肺靜脈,形成通氣/血流比值減低和靜-動脈生理性分流。此外,在嚴重肺動脈高壓時,可使肺動脈旁路開放,肺動脈的血直接流入肺靜脈。上述這些變化在臨床上主要表現為嚴重的低氧血症,伴有明顯的呼吸困難與發紺。
診斷檢查
急性肺源性心臟病根據突然發生劇烈胸痛、與肺部體徵不相稱的呼吸困難、發紺和休克,尤其發生在長期臥床、手術或分娩以後及心力衰竭患者,結合肺動脈高壓特徵、心電圖、心電向量圖和X線檢查的結果可以初步診斷。高分辨CT和(或)放射性核素肺灌注掃描檢查及選擇性肺動脈造影可以確診栓塞的部位和範圍。
實驗室檢查:
1.血液檢查血液白細胞數可正常或增高,血沉增快。
其他輔助檢查:
1.心電圖和心電向量圖檢查心電圖典型的改變常示電軸顯著右偏,極度順鐘向轉位和右束支傳導阻滯。Ⅰ導聯S波深,ST段壓低,Ⅲ導聯Q波顯著和T波倒置,呈SⅠQⅢTⅢ波形,實際出現SⅠQⅢTⅢ者不過18%,且消失較快。aVF導聯T波形態與Ⅲ導聯相似,avR導聯R波常增高,心前區導聯V1、V2T波倒置,P波高尖呈肺型P波。心電向量圖顯示QRS環起始電軸向左略向前傾向上,此後QRS主體部主要向上、右、後移位,有明顯向右的終末附環,但多無傳導延遲表現。T環向後、上並向左移。P環更垂直,振幅增大。上述心電圖和心電向量圖的變化,可以在起病5~24h出現,隨病情好轉大部分在數天后恢復。
2.X線檢查肺部可出現肺下葉卵圓形或三角形浸潤陰影,其底部連及胸膜,亦可有胸腔積液陰影。一側肺門血管陰影加深及同側膈肌上升。兩側肺動脈栓塞時,其浸潤陰影類似支氣管肺炎。重症患者可出現肺動脈段明顯突出,心影增大及奇靜脈與上腔靜脈陰影增寬。如做選擇性肺動脈造影,則可準確地了解栓塞所在部位和範圍,為手術治療提供依據。
3.CT及放射性核素肺灌注掃描是診斷肺栓塞無創傷而又陽性率高的方法。
鑑別診斷
急性肺源性心臟病應注意與充血性心力衰竭、急性心肌梗死、慢性肺心病急性發作、成人呼吸窘迫綜合徵、肺不張、自發性氣胸等相鑑別。
治療方案
藥物治療1.一般治療臥床休息,吸氧,有嚴重胸痛時可用嗎啡5~10mg皮下注射,休克者應慎用。同時補充血容量,糾正休克。抗休克常用多巴胺20mg加入200ml液體中,開始20滴/min,根據血壓進行調節,使收縮壓維持在12kPa(90mmHg)。
2.溶栓治療溶栓是藥物將纖維蛋白溶酶原轉變成纖維蛋白溶酶,以溶解血管腔內的纖維蛋白,縮小或消除血栓,恢復栓塞肺血管的血液循環,改善血流動力學和血氣交換,降低病死率。一般新鮮血栓或發病5天內效果最好,在發病2周內亦可採用。通常用於大塊肺栓塞(>2個肺葉)或肺栓塞伴休克者。常規治療方法:首先檢查血常規、血小板、凝血酶原時間(PT),激活的部分凝血酶原時間(APTT)。若無異常,尿激酶2萬U/kg加入100ml生理鹽水或5%葡萄糖溶液中,於2h內滴完。每4小時測1次APTT,當其恢復至對照組1.5~2.5倍時,給予低分子肝素鈣溶液0.3~0.4ml皮下注射,2次/d,共7天。
3.抗凝治療首選肝素,可防止肺栓塞的復發。具體給藥方法:①連續靜脈滴注法:負荷量為每小時2000~3000U或25U/(kg?h)維持。②間歇靜脈注射法:每小時500U,每8~12小時1次,24h後劑量減半。③間歇靜脈、皮下注射法:5000U靜脈注射,同時1萬U皮下注射,以後每8~12小時皮下注射1次。套用肝素使凝血時間延長1倍或APTT延長至對照值的1.5~2.5倍為所需用的肝素劑量。肝素治療48h後開始口服抗凝藥,常用的藥物為華法林。首次劑量為4mg,凝血酶原時間及活動度調整劑量,凝血酶原活動度維持在20%~30%之間,凝血時間為正常的1.5~2倍,療程3~6個月。
4.手術治療手術摘除動脈血栓主要用於大肺動脈栓塞(>50%肺動脈);患者處於嚴重休克或低氧血症經內科治療不改善;抗凝或溶栓治療有禁忌證,經肺動脈造影證實後均可行手術。
併發症
併發症1.右心衰竭由於肺動脈血栓阻塞後,通過神經反射、體液因子如組胺、5-羥色胺、緩激肽、血小板激活因子等釋放,肺動脈痙攣、肺血流量減少,肺泡通氣不良,肺表面活性物質減少,肺泡萎縮,肺通氣/血流灌注比失調,肺內血流相對增多,心搏量急劇下降,肺動脈阻力增高,肺動脈壓、右心室壓、右心房和靜脈壓增高,右心室功能失代償,出現右心衰。臨床上約有23.7%的肺栓塞患者發生急性右心衰。
2.心源性休克由於肺循環阻塞,經肺靜脈回流至左心房的血流減少,左心室舒張末期充盈壓下降,體循環壓力下降,通過興奮交感神經使心律和心肌收縮力增加,以維持心排血量的相對穩定。當心臟通過正性頻率和正性肌力作用無法彌補回心血量進一步下降帶來的變化,心排血量明顯下降、血壓下降、內臟血管收縮、外周循環阻力增加,出現休克症狀。由於休克是由於肺循環阻塞所引起,因此稱之為心外梗阻性休克。
3.心臟性猝死是由於栓子阻塞肺動脈後所致肺血管阻力和肺動脈高壓,引起急性肺源性心臟病的嚴重併發症。當肺血管床面積被阻塞大約85%時,即出現所謂“斷流”現象,體循環壓力急劇下降,導致猝死。
預後及預防
阿司匹林腸溶片急性肺心病的病程長短不一,發展較快者於1h內死亡。較慢者可存活達15年之久。這主要取決於是否伴有肺動脈高壓、右心室壓、右心房壓和靜脈壓增高,引起右心室擴大,右心衰竭,以及復發性肺栓塞及慢性肺動脈高壓。文獻報導肺栓塞所致急性肺心病的自然史、病程及預後,受患者選擇、所用診斷標準,患者入選時的病期及隨訪時間等各種因素的影響,生存率或病死率不盡相同。許多研究結果表明,肺栓塞所致急性肺心病的起病急,病死率較高,預後較差。根據文獻資料統計,急性肺心病的1h以內的病死率達11%,1h以上的病死率8%;病死率2年15%;3年20%;5年28.7%;10年53.8%。肺栓塞所致急性肺心病患者大多數死於心力衰竭、休克、少數發生猝死,個別死於心律失常或其他原因。心力衰竭死亡者多見急性右心室擴大、右心衰竭、左心衰較少。猝死大部分患者與惡性室性心律失常發作有關。
預防:
積極防治靜脈血栓形成或血栓性靜脈炎。如口服阿司匹林腸溶片25~50mg,1次/d或雙密達莫(潘生丁)25~50mg,3次/d,有一定預防作用。長期臥床患者應經常翻身,活動身體,以助靜脈血回流暢通。手術後患者早期下床活動,腹帶或肢體繃帶勿過緊或壓迫過久,以免妨礙膈肌運動及下肢靜脈回流。保持大便通暢,避免突然用力使腹壓升高,栓子脫落。
流行病學
急性肺源性心臟病在國內發病率較低,國外發病率較高。美國每年死於該病約20萬人,居肺部疾病臨床死亡原因的第3位。急性肺源性心臟病主要是由肺動脈栓塞(pulmonanyembolism)引起,國外肺栓塞的發生率為5%~14%,老年人中可達25%,肺栓塞的臨床發病率隨年齡增長而增加。
保健貼士
戒菸2、應進食蛋白含量高、質量優的食物,原則上應少食多餐,還可適當服一些健胃或助消化藥。
3、不宜進食太鹹的食品,保持足夠的維生素攝入,如綠葉蔬菜、水果。
4、參加適當的體育活動,可提高機體的抗病能力,並可提高肺活量,促進血液循環,有利於改善心肺功能,鍛鍊不宜過分劇烈。
5、生活要有規律,居室環境應保持清潔、通風。冬天應注意保暖,在寒冷季節外出,要戴好帽子、口罩和圍巾,防止冷空氣對呼吸道的刺激。
相關詞條
呼吸內科疾病
| 研究範圍及進展呼吸內科是研究呼吸系統疾病的學科。它是既古老又年輕的學科,說它古老是因為,自從人類認識疾病以來,呼吸系統疾病就一直是危害人類健康的常見病和多發病,八十年代中期的統計資料表明,呼吸系統疾病仍然是導致死亡的主要疾病。在死亡的順序上排列第二。現在我們來認識一下這些可怕的疾病吧? |

