病狀體徵
創傷性膈疝多伴有其他部位或臟器的多發性、複合性損傷,傷情複雜,臨床症狀和體徵因膈肌裂口的大小、疝入胸腔臟器的種類或多少、疝入胃腸道是否梗阻、胸內壓力上升的情況以及是否合併胸腔臟器損傷而輕重不一。
創傷性膈疝(1)胸部疼痛:膈肌破裂多有反應性胸部疼痛,50%~75%的膈肌破裂病人可同時伴有肋骨骨折,胸部疼痛多劇烈、難以忍受,且向肩部或上腹部放射。
(2)呼吸困難:膈肌裂口較小且被肝臟、脾、大網膜等臟器堵塞者,病人可無呼吸系統症狀。若裂口較大,胃、小腸及大腸等臟器疝入胸腔時,由於腸內容物通過障礙和其血循環障礙、滲出增加,使其迅速膨脹,壓迫同側肺臟使之萎陷,並將縱隔推向健側,健側肺的膨脹也受到一定的影響,潮氣量減少,加之患側膈肌麻痹,通氣功能降低。病人表現為呼吸困難、發紺、低氧血症,患側呼吸音降低或消失,胸部可聞及腸鳴音。
2.腹部表現
(1)腹膜刺激征:由於上腹部損傷、膈肌破裂、肋骨骨折疼痛向上腹部放射,血性液體刺激腹膜等原因,病人多有上腹部疼痛、壓痛、腹肌緊張。因大量腹腔臟器疝入胸腔,腹腔空虛,腹部視診可呈平坦或舟狀腹。膈肌破裂出血流入腹腔或合併腹腔臟器損傷時,穿刺可抽出血性液體。
(2)腹腔臟器損傷表現:據文獻資料統計,約15%的創傷性膈疝同時伴有胃腸道損傷,30%~35%伴有脾破裂,9%~20%伴有肝臟損傷。因此,相當一部分創傷性膈疝病人可有腹腔空腔臟器或實質性臟器損傷症狀與體徵。空腔臟器損傷以腹膜炎的症狀和體徵為主要表現,實質性臟器損傷則主要表現為腹腔內出血或失血性休克。
創傷性膈疝3.腸梗阻症狀 如膈肌裂口較小、胃腸道疝入不多時,一些患者可表現為慢性、不完全性腸梗阻,如胸骨後、上腹部、下腹和左胸不適,進食、仰臥或左側臥位時疼痛加劇,嘔吐或排氣使被嵌頓的內臟脹氣減輕,疼痛緩解。許多病人經積極搶救治療後,病情相對平穩,經過一段時間(數天或數10 天)後,由於進食、下床活動、排便等使腹壓增加時,致使大量腹腔臟器疝入胸腔,病人出現急性、完全性腸梗阻症狀,表現為腹痛、嘔吐、停止排氣和排便,胃、小腸、結腸嵌頓發生血運障礙時,可有大便潛血或明顯黑便,腸管絞窄、壞死後可導致胸腔嚴重感染,病情惡化。若膈肌裂口較大、大量胃腸道疝入胸腔時,傷後即刻出現急性腸梗阻症狀。
4.其他症狀、體徵
(1)伴發性損傷表現:創傷性膈疝除常伴有肋骨骨折、腹腔臟器損傷外,尚有20%~50%的病人伴發骨盆骨折,近30%伴發四肢骨折,18%~30%伴發顱腦外傷,近10%伴發脊柱骨折和腎臟損傷,一些病人甚至同時伴隨心包裂傷或心臟鈍挫傷,因此不少患者可同時伴有相應的骨折、心、腎和顱腦損傷表現:①心臟鈍挫傷:可有心率不齊、心電圖異常;②心包裂傷:腹腔臟器疝入心包後可有心包填塞症狀;③腎臟損傷可有血尿;④顱腦損傷可有昏迷等。
(2)休克:由於失血、血氣胸、大量腹腔臟器疝入胸腔其負壓喪失、心臟和大血管的移位等,致使回心血量和排出量下降,迅速出現創傷性和(或)失血性休克。當疝入臟器發生絞窄壞死時,則引起嚴重感染及中毒性休克。病人有心率加速、血壓下降、脈壓差縮小、尿少等休克表現。
5.臨床分期
(1)急性期:受傷後至病情穩定的初期階段。間接暴力導致的膈肌裂傷、裂口較大且大量腹腔臟器疝入胸腔,或伴發不同程度和不同數量的肋骨骨折、骨盆骨折、四肢骨折、脊柱骨折、顱腦傷、腎損傷、脾破裂、肝臟損傷、消化道損傷。此期主要表現為劇烈胸、腹疼痛,呼吸困難,循環障礙。
(2)間歇期或慢性期:約l/3 的病人膈肌裂口較小,膈肌裂口被腹部疝入臟器暫時阻塞(如大網膜堵塞),或疝入少部分臟器或尚未進入胸腔,傷情相對較輕,又未行胸部X 線等檢查,沒有及時發現膈肌破裂和膈疝。經積極搶救治療後,病情較穩定,進入間歇或慢性階段。此期中胃腸道症狀較為突出,可有胸骨後、腹部或左胸部疼痛不適,進飲食、仰臥或左側臥位時疼痛加劇。由於疝入的消化道的多少、受壓或嵌頓程度不同,患者可有腸梗阻間斷髮作,嘔吐、噯氣或排氣後被嵌頓腸腔積氣、膨脹減輕,腸梗阻症狀可有不同程度的緩解。被嵌頓的消化道系膜血管受壓迫較重、血運障礙時,可出現大便潛血或明顯黑便。
(3)梗阻或絞窄期:由於膈肌隨呼吸上下移動、裂口被疝入的部分大網膜或腸管堵塞等諸多因素影響,膈肌損傷裂口不論大小,均不易自行癒合,約75%的患者在傷後3 個月、85%的患者在3 年內症狀加重並發生疝內容物絞窄。在病人渡過急性期、經過數天或數月的間歇期或慢性期後,當活動、排便、咳嗽等引起腹壓增加時,腹腔內大量臟器進一步疝入胸腔,出現急性腸梗阻、呼吸困難、胸腔積液等表現。消化道絞窄、壞死穿孔後,則出現氣胸、胸腔嚴重感染、中毒性休克症狀。
疾病病因
創傷性膈疝1.直接穿透性損傷 銳器、槍彈等直接穿透膈肌,在胸腹腔壓力差的作用下,腹腔臟器由膈肌裂口疝入胸腔。
(1)銳器刺傷:平時多見於銳器(如尖刀等)直接穿透膈肌。
(2)槍彈傷:戰時多見於彈丸、彈片傷等膈肌穿透性損傷。
(3)醫源性膈肌損傷:多系操作不當所致。包括:①手術操作失誤引起損傷,如行低位胸腔閉式引流手術,術者經驗不足,可經肋間切口直接切傷膈肌。②經膈肌手術,術中膈肌縫合修補不嚴密、線結脫落或術後裂開可導致膈疝發生。③胸腔引流治療並發膈肌損傷,如胸腔引流管過硬並直接放置在膈肌上,長時間壓迫或引流管刺激、腐蝕引起膈肌糜爛等。
(4)其他傷:牛角穿入胸壁並直接穿透膈肌或器械損傷等穿透膈肌。
2.間接損傷 胸部和腹部嚴重的閉合性損傷,可引起胸、腹腔之間的壓力差瞬間劇變,致使膈肌裂傷而發生膈疝。
(1)壓迫:建築物倒塌,胸、腹部受到壓迫,或其他擠壓傷及爆震傷,致使胸、腹腔之間的壓力差驟然間發生急劇變化,導致膈肌破裂。
(2)減速傷:①從高處跌下;②交通事故時飛機、汽車驟然減速,胸腹受衝擊、衝撞。
(3)其他:瞬間用力過猛,如用力挑重擔,裝卸重物、過度舉重等,亦可引起胸、腹腔內壓力差急劇變化,導致膈肌“自發性”破裂。
病理生理
創傷性膈疝①破裂的膈肌活動度減弱或喪失,通氣功能降低;
②患側腹腔臟器疝入胸腔,負壓消失,肺受壓迫、萎陷;
③疝入胸腔的腹腔髒器隨呼吸上下移動,嚴重干擾心、肺功能。左、右胸腔壓力失去平衡,縱隔向對側移位,健側肺部受壓,潮氣量減少;
④胸腔失去負壓、疝入大量腹腔臟器,致使心臟受壓並影響心臟充盈和正常心排血量,出現心率加速,血壓下降等,嚴重者可發生心跳驟停;
⑤肺膨脹不全,肺實質內形成動靜脈短路,肺血氧合作用降低,使氧分壓降低,進一步降低肺動脈血的氧分壓,出現低氧血症,導致或加重休克;
⑥肺不張可引起並加重肺部感染。最終出現嚴重的呼吸循環障礙。
診斷檢查
創傷性膈疝1.胸、腹部創傷史。
2.臨床特點
(1)病人有:①胸部損傷後出現腹部症狀、體徵,如腹痛、嘔吐,腹膜刺激征、腸梗阻表現等;②腹部損傷後出現胸部症狀、體徵,如胸痛、呼吸困難,縱隔明顯向對側移位,一側胸廓飽滿、叩診鼓音或實音,呼吸音減弱或消失、聞及腸鳴音等;③腹部創傷後出現液氣胸征,而腹部症狀輕微,呈平軟或舟狀腹;④胸部刀刺傷出現劇烈腹痛、嘔血等消化道症狀;⑤胸部或腹部嚴重擠壓傷出現進行性呼吸困難、發紺和循環功能紊亂,以及不明原因的頻繁嘔吐等。
(2)病人左側下胸或上腹部閉合性損傷後,症狀體徵較輕,雖無劇烈胸、腹部疼痛和呼吸循環障礙,主要表現為不同程度的胃、腸道症狀,如左上腹腹痛或不適、左下胸或胸骨下疼痛、噁心、嘔吐等,但如有一側胸痛並向同側肩部放射,應視為是膈肌損傷的典型徵象。有學者認為,左側第4 肋間至臍部這一區域閉合性創傷後,即使病人無症狀,亦須考慮到潛在膈肌破裂和發生膈疝的可能,應留病人觀察治療,以免漏診。
(3)傷後經過數天或數10 天的治療和觀察,下床活動、排便、咳嗽後出現急性完全性腸梗阻,如青年病人出現結腸梗阻症狀體徵,或小腸梗阻而難以找出引起梗阻的腹部原因(如無腹部手術史,無嵌頓疝等)等。
3.輔助檢查
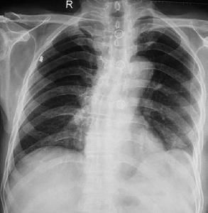
(1)影像學檢查對診斷極有幫助。X 線胸部透視或攝片可見:膈肌升高,膈上胸腔內可見實質性腫塊(如大網膜)或空腔陰影(胃泡或腸袢)等異常影像,心臟及縱隔向健側移位,右側膈肌破裂可見凸入右側胸腔的陰影等;經鼻腔置入胃管,可見胃管進入膈上胃泡內,口服或胃管內注入造影劑可證實胃在胸腔內。對於間歇期或慢性期病人可行上消化道鋇餐或鋇灌腸造影檢查,CT 掃描檢查對於確定膈疝的位置及疝入胸腔臟器的性質極有幫助。此外,X 線人工氣腹造影和B 超檢查亦有助於診斷。
(2)胸腔鏡檢查:胸腔鏡檢查即可以明確膈肌是否受損,又能進行治療,避免了不必要的開胸探查和手術。
創傷性膈疝其他輔助檢查:
1.X 線檢查
(1)胸部透視或平片:X 線透視或平片檢查是創傷性膈疝最可靠、最普遍的診斷方法。一些裂口較小並被肝臟、大網膜堵塞或疝入臟器極少者,早期的胸片可能正常或基本正常,但隨著病情進展,75%的病人可有異常改變。其常見的異常X 線改變有:①左側膈肌升高;②膈肌水平之上出現異常陰影,如胸腔內出現胃腸道陰影、胃泡、腸道氣液平面或緻密陰影;③心臟、縱隔影像向健側移位;④肺萎陷、盤狀肺不張;⑤患側胸內出現液平面;⑥部分病人可有肋骨骨折徵象。由於疝入胸腔的腹腔臟器不同,創傷性膈疝的X 線表現比較複雜:A.膈肌裂口大、胃突入胸腔者,有時可表現為假膈肌升高影像。但只要透視檢查或閱片時仔細辨明脾臟和結腸脾曲的位置,一般能明確膈肌真正位置及有無膈疝的發生;B.疝入的臟器為橫結腸並發生嵌頓和絞窄時,膈下可因結腸的擴張積氣而出現類似胃泡的影像,應與胃泡相鑑別。通常結腸擴張積氣形成的假胃泡影距膈肌較遠,而真正的胃泡影緊靠膈下;C.右側膈肌破裂肝臟疝入右胸腔,X 線徵象有3 種類型。Ⅰ型:整個肝臟疝入胸腔,肝臟膈面呈一高位平滑弓形影像,與右半膈肌升高相似,極易誤診為膈膨升。Ⅱ型:肝臟部分疝入右胸腔,右膈上方有一凸出的影像。Ⅲ型:除肝臟外尚伴有胃腸部分疝入右胸腔,其X 線徵象除肝臟陰影外尚有胃、腸道的影像,並有不同程度的肺不張和胸腔積液。
(2)消化道造影:急性期病人,如疑有創傷性膈疝、無禁忌時,可從鼻腔插入胃管,X 線透視下見胃管在膈肌正常平面以上並呈盤鏇狀,或經胃管注入60~90ml 泛影葡胺(Gastrografin)顯示胃在胸腔內,即可確定診斷。如病人病情穩定或在間歇期,可行上消化道鋇餐或鋇灌腸檢查,尤其疝入胸腔之胃、小腸、結腸發生嵌頓者,多能獲得準確診斷。①上消化道鋇餐檢查可見:食管胃交界與胃十二指腸交界距離縮短或相鄰近,胃大彎可在胃小彎之上,正常關係顛倒;②鋇灌腸檢查顯示:結腸被嵌頓段的出袢和入袢相互並列於膈肌平面,被嵌頓處呈典型縮窄,呈漏斗或鳥嘴狀。結腸完全梗阻時,可見脾以下鋇劑陰影突然中斷,或由下向上少量鋇劑進入膈肌以上被嵌頓的結腸腔內。如梗阻不完全時,可見鋇劑不斷流進胸內結腸,然後再流入腹腔內結腸。
(3)人工氣腹造影:多用於診斷右半膈肌破裂或膈疝。施行氣腹後,囑患者站立位攝胸片,如有膈肌破裂或創傷性膈疝時,則腹腔內氣體可進入胸腔。據Polychronidis 報導,大部分病人用這種方法可及時作出診斷。Chistiansen 採用人工氣腹檢查9 例病人,7 例未發現氣體進入胸腔,手術亦證實無膈肌破裂。
(4)CT 掃描:Killeen 等及Murray 等報導,CT 掃描檢查能確定膈疝的位置及疝入胸腔臟器的性質,作為輔助診斷措施,其敏感性為61%~71%,特異性為87%~100%。Bergin 等報導80%的病人可觀察到膈肌缺損,60%的病人可顯示內臟疝入胸腔。其CT 徵象有:①膈肌的連續性中斷;②腹腔內臟疝入胸腔。如疝入胸腔的腸袢及其領式征(collar sign),右側膈疝可見肝臟的上1/3 與胸後壁緊貼,而左側可顯示胃、腸道與左胸後壁緊臨。仰臥位CT 掃描時,可見疝入胸腔的腹腔內臟因失去破裂的膈肌支托而墜落,與後胸壁相貼。
2.B 超檢查 超聲圖像可顯示膈肌的連續性中斷,並能探明疝入胸腔的肝臟、脾臟等臟器。
3.胸腔鏡檢查 X 線檢查未確診者,可採用胸腔鏡檢查。Jackson 等報導,對左下胸穿透傷病人,採用胸腔鏡檢查有助於明確有無膈肌破裂和創傷性膈疝的發生,確診率近100%,並可同時清除積血和血塊,進行止血、修補肺裂傷和膈肌破裂,避免了一些不必要的開胸探查,並認為該項檢查在24h 內進行為宜。
4.放射性金與鎝行肝掃描 對診斷右側創傷性膈疝、肝臟疝入可有幫助。
鑑別診斷
1.張力性氣胸 胸部透視顯示含氣單個時,應注意胃疝入與張力性氣胸的鑑別。
2.肺炎、肺不張 胸透顯示肺密度增高時,應注意肺臟受壓,肺萎陷與肺炎、肺不張鑑別。
3.創傷後粘連性腸梗阻、炎性腸梗阻、消化性潰瘍、膽囊疾病和冠脈供血不足 慢性期病人胃腸道症狀比較突出,多數病人表現為胸骨後、腹部或左胸部疼痛不適,進飲食、仰臥或左側臥位時疼痛加劇,應注意鑑別。
治療方案
1.急性期的治療原則 由於創傷性膈肌破裂、膈疝形成一般均不能自愈,隨時有大量腹部臟器疝入胸腔並危及生命的危險。故一旦診斷明確,無論破裂口大小,均應手術修補。但急性期病人多數伴有其它器官的損傷,膈肌破裂、膈疝形成僅是嚴重胸腹部損傷的一個方面。須從整體出發,依據全身病情和輕重緩急,制訂出合理、有效的治療方案。
(1)手術時機的選擇:在創傷性膈疝急性期,病情複雜、變化急劇,如有以下情況須急症手術:①腹腔臟器疝入胸腔較多,尤其是疝內容為胃、小腸及結腸等空腔臟器,由於胃腸內容物通過障礙、血循環發生障礙、滲出增加,使其容積迅速增大,同側肺臟受壓迫而萎陷,且同時將縱隔推向健側,健側肺的膨脹也受到不同程度的影響;以及心臟和大血管的移位,致使回心血量減少,導致發生急性呼吸和循環衰竭,嚴重者可能發生心跳驟停,甚至來不及搶救而死亡。因此,如有肺被壓縮、縱隔移位、嚴重影響呼吸循環時應急症手術。②疝入胸腔的臟器有發生絞窄可能,或已發生嵌頓、絞窄,如處理不及時,應急症手術。否則將導致嚴重的胸腹腔感染、甚至中毒性休克。③伴有胃腸道損傷、穿孔的創傷性膈疝。
④合併心臟大血管損傷和肝脾等實質臟器破裂伴休克的創傷性膈疝,應在抗休克的同時急症手術。對下述2 種情況,可暫緩手術:①伴有嚴重的複合傷,全身症狀重,但無須緊急開胸、開腹者;②創傷性膈疝診斷已明確,但呼吸、循環症狀輕微者。此時應積極治療合併損傷,待全身情況穩定後儘早或擇期手術,但病情一旦加重,應急症手術。
(2)手術前處理:
創傷性膈疝②糾正休克:創傷性膈疝早期由於失血過多、劇烈疼痛、呼吸循環障礙,易發生休克。為此,對病情較重的病人必須監測呼吸、循環系統變化,積極輸液、輸血、或血液成分,採取止血措施制止活動性出血,防止和糾正創傷性(或低血容量性)休克,待休克糾正、生命體徵穩定後,進行急症手術。心臟和大血管損傷,出血兇猛,可邊輸血、輸液抗休克,邊手術止血。對病情比較穩定、短時間內尚不危及生命者,在全身情況穩定後須儘早手術。
③胸腔閉式引流:創傷性膈疝伴發肋骨骨折、血氣胸的幾率很高。因此,多數病人可行胸腔閉式引流術治療以緩解症狀,防止胸腔高壓症狀的出現,直到胸、腹受傷臟器得到恰當處理後,手術修補膈疝。
④經胸壁穿刺減壓:當大量胃、小腸及大腸等臟器疝入胸腔時,由於腸內容物通過障礙和其血循環障礙、滲出增加,而使其容積迅速增大,壓迫同側肺臟使之萎陷,並將縱隔推向健側,健側肺的膨脹受到影響;同時,尚有心臟和大血管的移位,致使回心血量減少,引起急性呼吸衰竭和循環衰竭,嚴重者可發生心跳驟停。發生心跳驟停後,因疝內容物不能立即還納,胸腔內的高壓狀態也不能立刻解除,體外搶救極難成功。從出現胸腔高壓症狀到心跳發生驟停的過程,時間長短不一,短者可僅有幾十分鐘,長者可達幾小時。當病人出現呼吸困難、心率加快時,表明已出現胸腔高壓和心、肺、縱隔壓迫症狀。在這段時間內,應該積極準備,爭取在心跳停止以前進行緊急手術治療。但有些病人,病情發展非常迅猛,甚至來不及緊急手術就發生心跳驟停。如遇此種情況,可在床邊B 超引導下,採取經胸壁穿刺的辦法進行減壓,以緩解胸腔內高壓症狀,為手術贏得時間。王福忠曾報導2 例病人,1 例在準備緊急手術時發生心跳驟停,隨即在病房內病床上行復甦術和膈疝修補手術治療,術後12h 血壓不穩定、意識不恢復、心力衰竭死亡。另1 例11 歲病人,病情與前者大致相同,在出現胸腔高壓症狀後,採取經胸壁穿刺的辦法,從疝入胸腔的胃內,抽出氣體及液體500ml,暫時緩解了胸腔內高壓症狀,待脈搏及呼吸等生命體徵均有好轉後緊急開胸手術,病人治癒出院。
2.創傷性膈疝慢性期和梗阻期的處理原則
(1)在間歇或慢性期,病情穩定,症狀不重者可繼續嚴密觀察,應做好充分的術前準備,爭取做擇期手術。
(2)梗阻或絞窄應儘早手術,充分游離疝內容物與胸腔器官的粘連,切除無活力的組織器官,恢復胃腸道的連續性,還納有活力的腹腔臟器。
3.手術路徑和手術方式的選擇 對已明確為單純創傷性膈疝者,可按右側經胸、左側經腹手術的原則修補之,或選擇經胸腔鏡探查、手術修補。但創傷性膈疝病人多有合併傷,手術路徑和手術方式應視胸、腹部傷情而定,按先重後輕、先處理致命傷後處理非致命傷、術式簡單有效的原則,或選擇經胸或選擇經腹入路,但不主張胸腹聯合切口。
(1)經胸入路手術:大量臨床資料顯示,經胸入路手術具有以下優點:①手術中膈肌、疝環、疝內容物顯露最佳,尤其右側膈疝,經胸修補顯露良好,操作方便;②可處理並存的左上腹部臟器損傷,如胃損傷或脾破裂;③可以切開膈肌、擴大疝環,有利於還納嵌頓的疝內容物;④如疝內容物中的空腔臟器過度膨脹,還納困難時,經胸手術利於排出其中的內容物,使得還納容易;⑤如疝內容物已發生絞窄、壞死,經胸腔切除,可避免污染擴大到腹腔;⑥還納疝內容物時,牽拉還納易導致疝內容物的損傷,而推擠還納疝內容物則不易發生損傷。經胸手術則能以推擠方式還納疝內容物,因而可以減少臟器的損傷;⑦有利於症狀出現較晚的“陳舊性膈疝”疝內容物與周圍粘連的分離。因為此時疝入胸腔的腹腔臟器已與肺、心包、大血管和胸膜產生廣泛粘連,如選擇經腹手術,顯露不佳,不能在直視下操作,剝離粘連、完全游離疝內容物有困難;⑧長期肺不張、血胸,需行肺的纖維板切除以取得肺完全再膨脹,完成此操作,必須經胸手術;⑨創傷後數月發病者,需廣泛遊離破口邊緣上下面,以期取得膈肌新鮮創緣、無張力的對合修補膈肌。膈肌萎縮難以對合者,需要植入人工編織補片修復膈肌,只有經胸才能完成修補操作。但經胸入路修補膈疝,對病人呼吸、循環影響相對較大,且不能同時對兩側膈肌進行探查。一般認為,經胸手術適應於:①右側膈疝;②合併胸內大出血、心包填塞、氣管破裂、心包內膈疝;③慢性期的創傷性膈疝。
(2)經腹入路手術:經腹手術具有以下優點:①較經胸入路手術對病人的侵襲小,對病人呼吸、循環影響小,利於病人手術後恢復;②創傷性膈疝合併腹內臟器傷發生率高,經腹手術即能同時探測兩側膈肌,又能較好的處理腹腔臟器合併傷。據統計,創傷性膈疝中,合併膀胱破裂、結腸和(或)小腸穿孔、胰腺損傷者為數不少,其發生率5%~8%,若經胸探查,則被遺漏的可能性極大。因此,對疑有或確診合併腹內臟器傷者,應早行剖腹探查,儘快還納疝入胸腔內的腹腔臟器,以解除或防止呼吸循環障礙;③腹部臟器損傷較重需要開腹手術,而且急性期臟器間無粘連,經腹還納疝內容物也不困難,可以經腹進行膈疝修補手術。
其指征為:①無胸腔臟器合併傷的左側膈疝;②合併腹內臟器傷的創傷性膈疝;
(3)胸腹聯合切口:適用於胸腹聯合傷,並有膈肌裂開的重危病人。首先是封閉胸部傷口,若有血氣胸,張力性氣胸應及時行胸腔閉合引流,改善呼吸功能。腹部損傷應在輸血、補液、抗休克的同時,採用胸腹聯合切口,處理胸腔和腹腔損傷的臟器及止血,然後再將腹腔臟器正確復位後縫合膈肌。應當特別注意的是,胸部外傷在開胸處理肺損傷或胸腔內出血時,一定探查膈肌是否完整,若有膈肌裂開,即使是小裂口,也應擴大切口,探查腹腔臟器有否損傷,以免漏診。中國醫科大學第二臨床學院曾遇到1 例14 歲外傷者,左胸腋後線第8 肋間被刀刺傷,造成肺破裂、血氣胸。手術沿肋間開胸將損傷的肺予以縫合,檢查膈肌只在膈肌角處有一小口予以縫合,未擴大切口探查膈下臟器,結果脾被刺傷裂口遺漏,造成術後第2 天再次開腹行脾修補術的後果。
(4)經胸腔鏡手術:對疑有膈肌損傷的膈疝病人,胸腔鏡即可以明確診斷,又能進行治療。近年來套用日趨廣泛。
4.手術要點
(1)還納疝內容物:
①充分游離疝內容物與周圍組織的粘連。
②切除無活力組織:疝內容物已經發生絞窄、壞死者,須將壞死臟器部分或全部切除,並恢復胃腸道的連續性,再將有活力、色澤正常的腹腔臟器還納腹腔。如需切除無腸道準備的壞死結腸時,應先經腹部切口做近端結腸造口術,再經胸切除壞死的結腸,3 個月後關閉結腸造口。經胸切除全胃者,須依據病人全身狀況,分1 期或2 期完成小腸或結腸代胃的手術。
③還納疝內容物:還納時套用推擠或用輕力牽拉的方法還納,切忌使用暴力拉拽。疝環較小還納有困難者,須切開膈肌,以擴大疝環。疝內容物為胃腸道或過度膨脹還納有困難者,可切開或穿刺抽吸排除其內容物後再還納。疝環超過10cm 者,疝內容物還納至腹腔後,隨著呼吸運動、病人憋氣或腹壓增加,疝內容物多再疝回胸腔。還納困難時,可以採用邊還納邊縫合膈肌的方法處理。
(2)修補膈肌:
①膈肌直接縫合:早期創傷性膈疝,膈肌破裂邊緣新鮮、膈肌無缺損者可直接縫合修補,癒合滿意。裂口較大者,採用從周邊向中間的縫合方法。套用7 號或10 號不吸收粗絲線,兩緣對應,邊距不得小於0.5cm,針距1.0cm 或不得通過示指尖為宜,以免膈疝復發。膈肌裂口緊靠胸壁,裂口外側無膈肌組織,縫合修補困難者,可將膈肌裂口的內側緣間斷褥式縫合在比原位高1~2 肋間的肋間肌上。難以直接縫合者,可採用跨肋縫合法。經腹膈疝修補時,位置過深,顯露和操作比較困難。如有必要,可將劍突切除並劈開胸骨下段,向上牽拉肋弓,膈肌顯露比較滿意。
②套用修補材料加強修補膈肌:創傷後數月才被確診的創傷性膈疝,膈肌撕裂的邊緣明顯萎縮變薄,難以對合。需要植入自體材料或人工編織補片加強修補膈肌。A、自體材料:心包、闊筋膜、背闊肌、腹橫肌等做自體游離移植片;B、人工編制材料:尼龍編織物、Dacron 滌綸補片、Marlex 網、膨體聚四氟乙烯補片等。
併發症
1.心排血量降低 胸腔失去負壓和疝入大量腹腔臟器,使心臟受壓。心舒張期心臟擴張不足,回心血量減少,致心室充盈不足,心排血量減少。病人可出現心率加速,血壓下降等,嚴重者可發生心跳驟停。
2.肺膨脹不全 胸腔失去負壓致肺膨脹不全,使每分通氣量下降,肺血氧合作用降低,使動脈血氧分壓進一步下降,病人發紺、呼吸困難加重。
3.肺部感染 肺膨脹不全可引起並加重肺部感染,可導致嚴重的呼吸循環障礙。
4.胃腸絞窄、壞死 胃、小腸、結腸嵌頓發生血運障礙時,可發生絞窄、壞死。臨床可有大便潛血或明顯黑便,瀰漫性腹膜炎和中毒性休克表現。
預後及預防
創傷性膈疝預防:目前沒有相關內容描述。
流行病學
創傷性膈疝相關條目
呼吸內科疾病
| 研究範圍及進展呼吸內科是研究呼吸系統疾病的學科。它是既古老又年輕的學科,說它古老是因為,自從人類認識疾病以來,呼吸系統疾病就一直是危害人類健康的常見病和多發病,八十年代中期的統計資料表明,呼吸系統疾病仍然是導致死亡的主要疾病。在死亡的順序上排列第二。現在我們來認識一下這些可怕的疾病吧? |
疝氣相關疾病
腹外疝 | 腹股溝滑動疝 | 腹股溝疝 | 盆底腹膜疝 | 復發性腹股溝疝 | 臍疝 | 嵌頓性腹股溝斜疝 | 切口疝 | 創傷性膈疝 | 先天性胸腹裂孔疝 | 小兒先天性膈疝 | 肺疝 | 十二指腸旁疝 |
