血胸病因病理
創傷性血胸血液是細菌繁殖的良好培養基,血胸未經及時處理,從胸壁或胸內器官創口進入的細菌,易引致胸膜腔感染形成膿胸。胸部受作輕後,引起胸膜腔積血,稱為血胸。引起胸膜腔積血的原因有:
(1)肺組織破裂出血。由於循環的壓力較低,一般出血量少而緩慢,多能自行停止。
(2)胸壁血管破裂出血。如果是壓力較高的動脈出血,不易自行停止。
(3)心臟和大血管破裂出血。出血多而急,往往於短期內導致失血性休克而死亡。血胸的症狀根據出血量、出血速度和病人的體質而有所不同。小量血胸(500毫升以下)可無明顯症狀。中等量血胸(500-1000毫升)和大量血胸(1000毫升以上)尤其是急性失血者,常常出現脈搏快弱、血壓下降、呼吸短促等休克症狀。血胸並發感染時,出現高熱、寒戰、疲乏、出汗等症狀。一般小量血胸可自行吸收。若積血量較多,需要作胸膜腔穿刺,抽除積血,促使肺膨脹,以改善肺的呼吸功能,進行性血胸需在作手術治療。
症狀
胸膜腔積血,首先同側肺受壓而萎陷,大量血胸尚可將縱隔推向健側,對側肺也受萎陷。大量失血和縱隔、肺受壓迫,可產生呼吸困難和循環功能紊亂,嚴重者呈現休克症狀。血、氣胸對肺和縱隔的壓迫更加嚴重。血液積留在胸膜腔內,由於肺、膈肌和心臟不停斷的運動起去除纖維蛋白的作用,一般能延遲血液凝固的時間,但有時出血後不久血液即凝固。肺和胸壁組織創傷範圍廣泛,以及伴有肝、脾和膈肌破裂的血胸,更常早期出現血凝固。未並發感染的血胸,血液凝固後,附在胸膜上的纖維素和血凝塊逐漸機化,形成纖維組織,覆蓋束縛肺和胸壁,限制胸壁活動幅度,壓迫肺組織,損害氣體交換功能,胸膜纖維組織板的厚度可達數毫米,這種情況稱纖維胸。
血液是細菌繁殖的良好培養基,血胸未經及時處理,從胸壁或胸內器官創口進入的細菌,易引致胸膜腔感染形成膿胸。
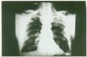
血胸的臨床表現隨出血量、出血速度、胸內器官創傷情況和傷員體質而差異。肋骨骨折並發少量血胸,一般失血量較少,臨床上不呈現明顯症狀。出血量多,超過1000ml,且出血速度快者,則呈現面色蒼白、脈搏快而弱、呼吸急促、血壓下降等低血容量休克症狀,以及胸膜腔大量積血壓迫肺和縱隔引致呼吸困難和缺氧等。小量血胸常無異常體徵。大量血胸則可呈現氣管、心臟向健側移位,傷側肋間隙飽滿,叩診呈實音。血、氣胸病例則上胸部呈鼓音,下胸部實音。呼吸音減弱或消失。由於肺撕裂而引起的血胸傷員常有咯血。積留在肋膈竇的小量血胸,胸部X線檢查可能不易被發現,或見到肋膈角消失。血胸量較多者,則顯現傷側胸部密度增大。在側臥位胸片上顯示比較清楚。大量血胸則顯示大片濃密的積液陰影和縱隔移位徵象。血、氣胸病例則顯示液平面。胸膜腔穿刺抽得血液則可確定診斷。血胸病人經穿刺抽血,胸膜腔積液減少後,可又增多。胸膜腔內血液凝固,穿刺未能抽出血液或僅能抽出少量血液,但休克症狀加重或X線檢查胸膜腔積液量增多;胸膜腔引流後每小時引流量超過200ml並持續2小時以上者,都提示有進行性出血,需及時處理。
胸膜腔積血可引起低熱,但如出現寒戰高熱、白細胞計數增多等化膿性感染徵象,則應穿刺抽液送作細菌塗片和培養檢查。
血胸演變形成纖維胸,如範圍較大者可出現病側胸廓塌陷,呼吸運動減弱,氣管、縱隔向病側移位,肺通氣量減少。X線檢查顯示纖維板造成的濃密陰影。
臨床表現
血胸的臨床表現隨出血量、出血速度、胸內器官創傷情況和傷員體質而差異。肋骨骨折並發少量血胸,一般失血量較少,臨床上不呈現明顯症狀。出血量多,超過1000ml,且出血速度快者,則呈現面色蒼白、脈搏快而弱、呼吸急促、血壓下降等低血容量休克症狀,以及胸膜腔大量積血壓迫肺和縱隔引致呼吸困難和缺氧等。小量血胸常無異常體徵。大量血胸則可呈現氣管、心臟向健側移位,傷側肋間隙飽滿,叩診呈實音。血、氣胸病例則上胸部呈鼓音,下胸部實音。呼吸音減弱或消失。由於肺撕裂而引起的血胸傷員常有咯血。診斷鑑別
血胸胸膜腔積血可引起低熱,但如出現寒戰高熱、白細胞計數增多等化膿性感染徵象,則應穿刺抽液送作細菌塗片和培養檢查。
血胸演變形成纖維胸,如範圍較大者可出現病側胸廓塌陷,呼吸運動減弱,氣管、縱隔向病側移位,肺通氣量減少。X線檢查顯示纖維板造成的濃密陰影。
治療及方案
1.非進行性血胸 小量血胸可自然吸收,不需穿刺抽吸。若積血量較多,應早期進行胸膜腔穿刺,抽除積血,促使肺膨脹,以改善呼吸功能。在抽血完畢拔針前,於胸膜腔內注入抗生素,如阿米卡星0.2g,慶大黴素膜腔引流術有助於觀察有無進行性出血。
野貓頭鷹3.凝固性血胸 最好在出血停止後數日內削胸,清除積血和血塊,以防感染或機化。對機化血塊.亦以在傷情穩定後早期進行血塊和纖維組織剝除術為宜。至於血胸並發感染,應按膿胸處理。
血胸數量很少,例如常見的肋骨骨折並發的血胸能迅速被吸收而不殘留後遺症,無需特殊處理。中等量以上血胸(1000ml以下),如出血已自行停止,病情穩定者,可作胸膜腔穿刺術,儘可能抽淨積血,或作肋間引流,促使肺擴張,改善呼吸功能,並可預防並發膿胸。每次穿刺抽血後可於胸膜腔注入抗生素,必要時適量輸血或補液,糾正低血容量。
胸膜腔進行性出血,血胸已在胸膜腔內凝成血塊不能抽除,胸壁開放性損傷或胸內器官破裂等情況,則應在輸血補液等抗休克治療開始後,施行剖胸探查術,清除血塊和積血,尋找出血來源。肋間血管或胸廓內血管出血者,分別在血管破口的近遠端縫扎止血。肺裂傷出血絕大多數可縫合止血,但如為廣泛裂傷,組織損傷嚴重,則需作肺部分切除術。胸內器官創傷者,一般病情嚴重,需緊急救治。對凝固性血胸亦可於胸膜腔注入鏈激酶(10萬u)或鏈球菌脫氧核糖核酸酶(2.5萬u)等纖維蛋白溶解酶,但藥物副反應大,價格昂貴,療效欠滿意,現已較少應
血胸血胸並發胸膜腔感染者,按膿胸進行治療。
機化血胸或纖維胸宜在創傷後2~3周,胸膜纖維層形成後施行剖胸術,剝除胸壁和肺表面胸膜上纖維組織板,使胸壁活動度增大,肺組織擴張,呼吸功能改善。過早施行手術則纖維層尚未形成,難於整片剝除。手術過晚則纖維層與肺組織之間可能已產生緊密粘連,剝除時出血多,肺組織亦可多處損破。術後需引流胸膜腔。
保健貼士
1.閉合性 小量氣胸無需治療,可自愈;
2.開放性 胸腔穿刺、輸血、補液、吸氧、清創、糾正休克、防止感染以及可疑內臟損傷、止血、開胸探查等由醫院執行;
3. 張力性 張力性氣胸應立即送醫院急救。如有條件時,可在傷側鎖骨正中下(相當第二肋間)插入一粗針頭到胸膜腔內,即能將胸腔的氣排出(最好在醫護指導下進行),同時立即請醫師來急救。
相關疾病
創傷性氣胸 慢性膿胸 先天性食管閉鎖 創傷性窒息 食管損傷 肺大泡 食管失弛緩症 先天性肺囊性病疾病(三)
| 疾病是機體在一定的條件下,受病因損害作用後,因自穩調節紊亂而發生的異常生命活動過程。 |

