簡介
主動脈夾層中文別名:主動脈夾層分離 主動脈夾層動脈瘤 主動脈夾層血腫
英文名稱:aortic dissection
英文又名:aortic dissectin ghematoma aortic dissecting aneurysm
主動脈夾層(aortic dissection)指主動脈腔內的血液通過內膜的破口進入主動脈壁中層而形成的血腫,並非主動脈壁的擴張,有別於主動脈瘤,過去此種情況被稱為主動脈夾層動脈瘤(aortic dissecting aneurysm),現多改稱為主動脈夾層血腫(aortic dissectin ghematoma),或主動脈夾層分離,簡稱主動脈夾層。動脈夾層是指由於內膜局部撕裂,受到強有力的血液衝擊,內膜逐步剝離、擴展,在動脈內形成真、假兩腔。從而導致一些列包括撕裂樣疼痛的表現。主動脈是身體的主幹血管,承受直接來自心臟跳動的壓力,血流量巨大,出現內膜層撕裂,如果不進行恰當和及時的治療,破裂的機會非常大,死亡率也非常高。
臨床症狀
視病變部位而不同,主要表現如下:
主動脈夾層(一)疼痛 夾層分離突然發生時多數患者突感胸部疼痛,向胸前及背部放射,隨夾層涉及範圍而可以延至腹部、下肢、壁及頸部。疼痛劇烈難以忍受,起病後即達高峰,呈刀割或撕裂樣。少數起病緩慢者疼痛可以不著。
主動脈夾層(三)心血管症狀
① 主動脈瓣關閉不全。夾層血腫涉及主動脈瓣環或影響心瓣-葉的支撐時發生,故可突然在主動脈瓣區出現舒張期吹風樣雜音,脈壓增寬,急性主動脈瓣返流可以引起心力衰竭。
② 脈搏改變,一般見於頸、肱或股動脈,一側脈搏減弱或消失,反映主動脈的分支受壓迫或內膜裂片堵塞其起源。
③ 胸鎖關節處出現搏動或在胸骨上窩可觸到搏動性腫塊。
④ 可有心包摩擦音,夾層破裂入心包腔可引起心包堵塞。
⑤ 胸腔積液,夾層破裂入胸膜腔內引起。
(四)神經症狀 主動脈夾層延伸至主動脈分支頸動脈或肋間動脈,可造成腦或脊髓缺血,引起偏癱、昏迷、神志模糊、截癱、肢體麻木、反射異常、視力與大小便障礙。
(五)壓迫症狀 主動脈夾層壓迫腹腔動脈、腸系膜動脈時可引起噁心、嘔吐、腹脹、腹瀉、黑糞等症狀;壓迫頸交感神經節引起霍納(Horner)綜合徵;壓迫喉返神經致聲嘶;壓迫上腔靜脈致上腔靜脈綜合徵;累及腎動脈可有血尿、尿閉及腎缺血後血壓增高。
病原學
主動脈夾層正常成人的主動脈壁耐受壓力頗強,使壁內裂開需66.7kPa(500mmHg)以上。因此,造成夾層裂開的先決條件為動脈壁缺陷,尤其中層的缺陷。一般而言,在年長者以中層肌肉退行性變為主,年輕者則以彈性纖維的缺少為主。至於少數主動脈夾層無動脈內膜裂口者,則可能由於中層退行性變病灶內滋養血管的破裂引起壁內出血所致。合併存在動脈粥樣硬化有助於主動脈夾層的發生。
病理變化
主動脈夾層此外,Daily和Miller又將主動脈夾層分為兩型:凡升主動脈受累者為A型(包括DeBakeyⅠ型和Ⅱ型),病變在左鎖骨下動脈遠端開口為B型(即DeBakeyⅢ型),A型約占全部病例的2/3,B型約占1/3。
診斷檢查
急起劇烈胸痛、血壓高、突發主動脈瓣關閉不全、兩側脈搏不等或觸及搏動性腫塊應考慮此症。胸痛常被考慮為急性心肌梗塞,但心肌梗塞時胸痛開始不甚劇烈,逐漸加重,或減輕後再加劇,不向胸部以下放射,用止痛藥可收效,伴心電圖特徵性變化,若有休克外貌則血壓常低,也不引起兩側脈搏不等,以上各點足資鑑別。近年來各種檢查方法對確立主動脈夾層很大幫助,超聲心動圖、CT掃描、磁共振均可用以診斷,對考慮手術者主動脈造影仍甚必要。
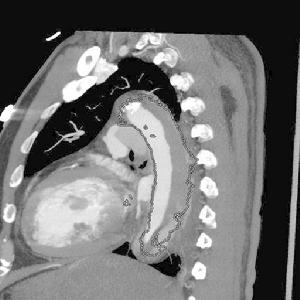
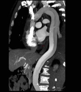
主動脈夾層動脈瘤(二)X線 胸部平片見上縱隔或主動脈弓影增大,主動脈外形不規則,有局部隆起。如見主動脈內膜鈣化影,可準確測量主動脈壁的厚度。正常在2~3mm,增到10mm時則提示夾層分離可能性,若超過10mm則可肯定為本病。主動脈造影可以顯示裂口的部位,明確分支和主動脈瓣受累情況,估測主動脈瓣關閉不全的嚴重程度。缺點是它屬於有創性檢查,術中有一定危險性。CT可顯示病變的主動脈擴張。發現主動脈內膜鈣化優於X線平片,如果鈣化內膜向中央移位則提示主動脈夾層,如向外圍移位提示單純主動脈瘤。此外CT還可顯示由於主動脈內膜撕裂所致內膜瓣,此瓣將主動脈夾層分為真腔和假腔。CT對降主動脈夾層分離準確性高,主動脈升、弓段由於動脈扭曲,可產生假陽性或假陰性。但CT對確定裂口部位及主動脈分支血管的情況有困難,且不能估測主動脈瓣關閉不全的存在。
(三)超過心動圖 對診斷升主動脈夾層分離具有重要意義,且易識別併發症(如心包積血、主動脈瓣關閉不全和胸腔積血等)。在M型超聲中可見主動脈根部擴大,夾層分離處主動脈壁由正常的單條回聲帶變成兩條分離的回聲帶。在二維超聲中可見主動內分離的內膜片呈內膜擺動征,主動脈夾層分離形成主動脈真假雙腔征。有時可見心包或胸腔積液。都卜勒超聲不僅能檢出主動脈夾層分離管壁雙重回聲之間的異常血流,而且對主動脈夾層的分型、破口定位及主動脈瓣返流的定量分析都具有重要的診斷價值。套用食管超聲心動圖。結合實時彩色血流顯像技術觀察升主動脈夾層分離病變較可靠。對降主動脈夾層也有較高的特異性及敏感性。
(四)磁共振成像(MRI) MRI能直接顯示主動脈夾層的真假腔,清楚顯示內膜撕裂的位置和剝離的內膜片或血栓。能確定夾層的範圍和分型,以及與主動脈分支的關係。但其不足是費用高,不能直接檢測主動脈瓣關閉不全,不能用於裝有起搏器和帶有人工關節、鋼針等金屬物的病人。
(五)數字減影血管造影(DSA) 無創傷性DSA對B型主動脈夾層分離的診斷較準確,可發現夾層的位置及範圍,有時還可見撕裂的內膜片,但對A型病變診斷價值較小。DSA還能顯示主動脈的血流動力學和主要分支的灌注情況。易於發現血管造影不能檢測到的鈣化。
(六)血和尿檢查白細胞計數 常迅速增高。可出現溶血性貧血和黃疸。尿中可有紅細胞,甚至肉眼血尿。
治療措施
主動脈夾層一旦疑及或診為本病,即應住院監護治療。治療的目的是減低心肌收縮力、減慢左室收縮速度(dv/dt)和外周動脈壓。治療目標是使收縮壓控制在13.3~16.0kPa(100~120mmHg),心率60~75次/min。這樣能有效地穩定或中止主動脈夾層的繼續分離,使症狀緩解,疼痛消失。治療分為緊急治療與鞏固治療二個階段。
緊急治療
② 補充血容量:有出血入心包:胸腔或主動脈破裂者輸血。
③ 降壓:對合併有高血壓的病人,可採用普奈洛爾5mg靜脈間歇給藥與硝普鈉靜滴25~50μg/min,調節滴速,使血壓降低至臨床治療指標。血壓下降後疼痛明顯減輕或消失是夾層分離停止擴展的臨床指征。其它藥物如維拉帕米、硝苯地平、卡托普利及哌唑嗪等均可選擇。利血平0.5~2mg每4~6小時肌注也有效。此外,也可用拉貝洛爾,它具有α及β雙重阻滯作用,且可靜脈滴注或口服。需要注意的問題是:合併有主動脈大分支阻塞的高血壓病人,因降壓能使缺血加重,不可採用降壓治療。對血壓不高者,也不套用降壓藥,但可用普奈洛爾減低心肌收縮力。
鞏固治療
對近端主動脈夾層、已破裂或瀕臨破裂的主動脈夾層,伴主動脈瓣關閉不全的患者應進行手術治療。對緩慢發展的及遠端主動脈夾層,可以繼續內科治療。保持收縮壓於13.3~16.0kPa(100~120mmHg),如上述藥物不滿意,可加用卡托普利25~50mg,3次/d口服。
手術治療
StanfordA型(相當於DebakeyI型和II型)需要外科手術治療。DebakeyI型手術方式為升主動脈+主動脈弓人工血管置換術+改良支架象鼻手術。DebakeyII型手術方式為升主動脈人工血管置換術。
如果合併主動脈瓣關閉不全或冠狀動脈受累,同時需做主動脈瓣置換術和Bentall's手術。
介入治療
目前StanfordB型(相當於DeBakeyIII型)的首選經皮覆膜支架置入術,必要時外科手術治療。
危害
主動脈夾層的最大危害是死亡。主動脈是身體的主幹血管,承受直接來自心臟跳動的壓力,血流量巨大,出現內膜層撕裂,如果不進行恰當和及時的治療,破裂的機會非常大,死亡率也非常高。以往的文獻報告,1周內的死亡率高達50%,一個月內的死亡率在60-70%之間。
除此之外,即使患者得以存活,因假腔的擴大和壓力的增加,真腔血管的血流量降低,則會導致主動脈所供血區域的臟器缺血。
預後
多數病例在起病後數小時至數天內死亡,在開始24小時內每小時死亡率為1%~2%,視病變部位、範圍及程度而異,越在遠端,範圍較小,出血量少者預後較好。
疾病(三)
| 疾病是機體在一定的條件下,受病因損害作用後,因自穩調節紊亂而發生的異常生命活動過程。 |

