簡介
傳染性軟疣本病的病原體是傳染性軟疣病毒,屬痘類病毒。呈“磚型”,大小為300nm×310nm,在普通顯微鏡下也可看到。其結構類似於天花病毒,核酸為DNA,衣殼完全對稱,外包以囊膜。
傳染性軟疣的傳染途徑主要是直接接觸傳染,也可自體接種。往往在公共浴池賓館飯店、或游泳池傳染。幼稚園的公用毛巾、浴具等。成人多通過性傳播。有人認為有家族性遺傳過敏素體的人對此病毒比較敏感,易於泛發。兒童和青少年易發。
病原病理
病原
傳染性軟疣傳染性軟疣病毒因不能在組織培養細胞中繁殖而妨礙了對其DNA的分析,有限的報導表明本病毒G+C含量高於痘苗病毒,它至少有兩個亞型。自生殖器分離的病毒定名為Ⅱ型,自身體其他部位分離的定名為Ⅰ型。但兩個型病毒的病灶不一定局限於某個部位。臨床標本中的傳染性軟疣病毒顆粒形態與正痘病毒相似,但其“M”顆粒表面有似雅塔痘病毒之突起管狀結構,有別於天花、猴痘及痘苗病毒。此外軟疣病毒無囊膜,有別於塔那痘病毒。傳染性軟疣病毒產生特徵性皮損在臨床上容易診斷,但出現在生殖器部位的皮炎及潰瘍處,則常與生殖器皰疹病毒混淆,此時只有通過電鏡才能作出診斷。
傳染性軟疣病毒所屬含DNA的痘病毒,電鏡下呈"磚形",大小約300X200X100nm。本病流行於世界各地,以溫熱潮濕地區及經濟不發達的國家較多。傳播方式是通過直接接觸而感染,也可自體接種。往往在共浴室或游泳池被感測,在青年人可通過性接觸傳染,故有人將其列入性病傳播。
中醫認為氣血失和,腠理不密,復感外邪,凝聚肌膚是本病的發病原因。現代醫學認為本病是由傳染性軟疣病毒感染所致,屬於痘病毒類,是一種大病毒,在普通顯微鏡下可見到。組織培養和動物實驗均未成功。
傳染性軟疣的傳染途徑主要是直接接觸傳染,也可自體接種。往往在公共浴池或游泳池傳染,成人多通過性傳播。有人認為有家族性遺傳過敏體質的人對此病毒比較敏感,易於泛發。兒童和青少年易發。感染後經2~3周潛伏期,初起為粟粒大,半球形丘疹,生長緩慢,可增至綠豆或豌豆大,呈淡紅、乳白或正常皮色,表面有蠟樣光澤,中心有臍窩,可從中擠出或挑出白色物質,損害可單發或多發,散在分布,好發於軀幹、四肢,少數發於生殖器部位及顏面、臉緣等。慢性病程,自覺微癢,搔抓後繼發感染則基底紅腫、疼痛,有膿性分泌物及結。
發病機理
引起本病的病毒系痘病毒科的一種DNA病毒,是人體最大的病原性病毒之一,大小約為300×200×100μm。電鏡研究,病毒的形成與胞質有密切關係,胞質基質濃縮,並出現嗜酸性顆粒,集聚成大顆粒,稱顆粒傳染性軟疣組合型病毒(初期型病毒);繼而形成細顆粒型病毒(中期型);最後形成一層砌樣外殼和啞鈴狀DNA核心,整個胞質基質變成病毒包涵體,又稱軟疣小體。形態學上與痘瘡、牛痘、羊痘及其他動物病毒相似。目前培養及動物試驗均尚未成功。曾報導傳染性軟疣能在原代人羊膜細胞、人包皮成纖維細胞、猴腎細胞及FL細胞中產生細胞病變效應(CPE)。不過,但因其不能通過脫膜階段而使該病毒難以在任何細胞中生長,故不能將細胞培養分離病毒作為常規。
傳染性軟疣病毒因不能在組織培養細胞中繁殖而妨礙了對其DNA的分析,有限的報導表明本病毒G+C含量高於痘苗病毒,它至少有兩個亞型。自生殖器分離的病毒定名為Ⅱ型,自身體其他部位分離的定名為Ⅰ型。但兩個型病毒的病灶不一定局限於某個部位。臨床標本中的傳染性軟疣病毒顆粒形態與正痘病毒相似,但其“M”顆粒表面有似雅塔痘病毒之突起管狀結構,有別於天花、猴痘及痘苗病毒。此外軟疣病毒無囊膜,有別於塔那痘病毒。傳染性軟疣病毒產生特徵性皮損在臨床上容易診斷,但出現在生殖器部位的皮炎及潰瘍處,則常與生殖器皰疹病毒混淆,此時只有通過電鏡才能作出診斷。
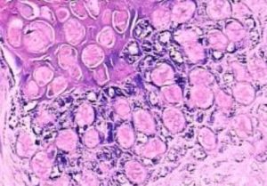
特徵性的是表皮細胞內出現多數細胞質內包涵體,稱為軟疣小體。其小體擠壓每個受損細胞的細胞核,使胞核呈彎月狀,位於細胞的邊緣;軟疣小體由嗜伊紅變成嗜鹼性,在角質層可見多數35μm直徑大小的嗜鹼性軟疣小體,若中心的角質層破裂,排出軟疣小體,形成有中心的火山口樣。毛囊性傳染性軟疣,真皮內有多數擴大的毛囊,其中充滿了軟疣小體。
臨床特點
傳染性軟疣(1)本病的潛伏期是2~3周,接觸傳染性軟疣的患者,經過一定的潛伏期後即可發病。
(2)以性傳播者發病初起多局限於會陰、小腹、肛門、腹股溝、乳房等處,然後全身播散。損害數目多少不等,散在不融合處。
(3)皮損為米粒至豌豆大小的半球形丘疹,中心微凹,表面有蠟樣光澤,呈淡紅、灰白、珍珠色或正常皮色。
(4)在軟疣頂端中央挑破後可擠出白色乳酪樣物質,此稱為“軟疣小體”,這是本病的特徵性損害。
(5)少數患者其損害偶爾可角化,而像小的皮角,此稱為“角化性傳染性軟疣”。損害有時可長大到10~15mm,此種巨大的損害多為單發,常常繼發細菌感染髮生炎症反Α。
(6)一般經過6~9個月即可消退,但也可持續3~4年,甚至個別皮損可持續5年以上。病程與數目無關,愈後不留疤痕。
(7)有的病人在發病幾個月以後,在某些皮損四周出現斑片狀濕疹樣損害。若眼瞼或其附近有皮損時,可引起慢性結膜炎,軟疣消退後,此種濕疹或結膜炎可自然消退。
(8)自覺輕度瘙癢,可由於搔抓等原因引起繼發感染,出現膿皰瘡樣損害,甚至引起更嚴重的疾病如腎炎等。
臨床表現
潛伏期1周至6個月。典型損害為受感染局部表皮細胞增生形成的丘疹,直徑2~8mm,單發或多發,圓形或半球形,有蠟樣光澤,中心臍凹狀,並含有乾酪樣栓塞物,丘疹呈肉色或粉紅色。初期質地堅硬,成熟變軟,可擠壓出乾酪樣物。臨床可分兩個類型:
①兒童型:通過皮膚直接接觸或經傳染媒介受感染,軟疣見於面部、軀幹及四肢。②成人型:可為性傳播,軟疣多見於外生殖器、臀部、下腹部、恥骨部及大腿內側區,肛交者發生於肛門。Lynch報導55例這樣的病例,是從越南和朝鮮回美國的軍人,他們在該國曾有嫖娼史。
皮損可發生於除掌跖外的任何接觸部位,也可出現於唇、舌及頰黏膜、結膜等,結膜損害可伴有反應性結膜炎或角膜炎。少數損害異常巨大,稱為巨型軟疣,有的可角化而像小的皮角,稱為角化性軟疣。一般無自覺症狀。
感染HIV的病例,傳染性軟疣的發病率增加,而且軟疣廣泛播散和出現大的損害,有報導AIDS病人面部有巨大的軟疣,易與基底細胞上皮瘤混淆。此外,曾報導兩例廣泛的、急性的、數百個軟疣的病人,有接受免疫抑制劑、強的松龍和氨甲喋呤台療史,認為發病與其免疫抑制有關。
本病屬自限性,一般持續數月至數年。
鑑別診斷
診斷:根據本病的臨床上有蠟樣光澤的圓形或半球形丘疹,中央臍凹狀,可擠出乾酪樣物與組織病理具有特徵樣,易於診斷。生殖器部位損害有性活躍年青者,應檢查有地性病。較大皮損應與基底細胞癌,角化棘皮瘤鑑別。
1、水痘:透明清亮的水庖,周邊有紅暈,頂端無臍窩,皮疹分批發生。
2、多發性角化棘皮瘤:青年男性多見,有家族史,質堅硬,消退後留輕度萎縮性疤痕。
治療方法
西醫
西醫治療傳染性軟疣的方法:
傳染性軟疣局部治療:
(1)在無菌條件下,挑破傳染性軟疣的頂端,可見到乳酪樣的軟疣小體,然後用鑷子輕輕擠出。或直接用小鑷子夾住疣體將其拔出,而後塗2%-2.5%碘酊,壓迫止血即可。數目多者,皮損消毒後,將軟疣刺破,塗以5%-10%碘酊,每日1次,可在7天內乾涸脫落。
(2)酞丁安霜具有抗病毒的作用,以之塗於疣體表面,每日2~3次,連用3周。如療程結束後軟疣仍不能消除,要刮除或拔出。
(3)1%的5-氟尿嘧啶溶液外用,每日2~3次,連用2周。用時以棉簽蘸藥液少許,直接點於疣體的頂端。
(4)0.1%的維生素A酸溶液外用,每日2次,連用2周。要注意保護周圍皮膚。
(5)70%苯酚酒精局部外用,用吸有藥液的小針管,對準皮損逐個點藥,點於疣體中央。一般一個疣體點2次即可,10天后皮損可自行脫落。
(6)液氮冷凍,用冷凍器將液氮噴於疣體表面,解熔3次即可。一般1周后疣體脫落。
(7)滅菌竹籤蘸少許濃來蘇水直接點塗軟疣表面。較大皮疹,夾出軟疣小體再行治療。10天后復點一次。
(8)99%冰乙酸15ml加入20g食用麵粉中,拌勻成糊狀,外塗於疣體。
一般不需全身用藥。若皮疹過多可採用以下辦法:
1、抗病毒:①病毒唑0.2,日2次肌注;②聚肌胞2mg,隔日1次肌注;③病毒靈0.2,甲氰咪胍0.2,口服每日3次。
2、促進免疫:左鏇咪唑50mg,1日3次口服,連用3天,間歇11天。
中醫
中醫的治療傳染性軟疣的方法:
(1)取雄黃少許,兌入白酒中,塗於疣體表面。每日1次,連用5天。
(2)百部酊。百部30g兌入75%的酒精100mL中浸泡1周后,用其液塗於疣體表面。每日2次,連用10天。
(3)紅花30g,補骨脂10g,乾薑10g,吳萸15g,樟腦10g,生半夏30g;用75%的酒精1000mL 浸泡1周,濾渣後即可外用於患處。每日2次,連用10天。
(4)馬齒莧30g,蒼朮10g,蜂房10g,苦參10g,雄黃10g;水煎液待溫,擦洗患處。這種方法適宜於皮損泛發有瘙癢者,或繼發濕疹化者。
(5)鴉膽子40g,連殼打碎,然後裝瓶加入80mL水,煮沸,取液40mL。用時以棉簽點於疣體上。
(6)板藍根30g,芒硝10g,紅花10g,生薏仁30g,馬齒莧30g,水煎服。本方有清熱解毒抗病毒的作用,對於皮損泛發者特別實用。
(7)馬齒莧30g,蒲公英30g,水煎洗浴患處。每日1次,每次20分鐘。
將損害中的軟疣小體用小鑷子夾住疣體,將之擠出或挑出,然後點入濃石炭酸或三氯醋酸,並壓迫止血;亦可用刮匙刮除,外塗2%碘酒;或0.1%維甲酸酒精局部塗搽。其他,可用電乾燥,液氮或乾冰冷凍,巨大疣可手術切除。性伴應同時治療。
預防保健
飲食保健
傳染性軟疣食療:薏苡仁粥:取新產薏苡仁50g,擇去雜質,淘洗乾淨,加水適量,用武火煮沸後,改文火煮熟成粥,調入白糖少許,空腹頓服。每日1次,10次為1療程,共2療程,治扁平疣。
苡仁綠豆粥:取薏苡仁、綠豆各30g,擇淨,洗去泥土,放入砂鍋內,加清水適量,用武火煎沸後,改文火熬至熟爛成粥,加入少許白糖調味,於早晨空腹頓服。每日1劑,15天為1療程,治扁平疣
涼拌蒲公英:取鮮蒲公英300g,洗淨,用開水燙後,放入香油、味素、細鹽,涼拌食用。每天1次,治扁平疣。
香附雞蛋:取制香附200g,研為細末,分裝成15份備用。雞蛋1枚,打碎,與1份香附攪勻;取花生油15mL,放鍋內燒熱後,放入拌勻的香附雞蛋,煎熟後,放入10ML米醋,趁熱吃下。每天1次,連服15天為1療程,治扁平疣。
紅花茶:取紅花9-10g,以沸水沖泡代茶飲,沖泡至色淡後棄之。每日1劑,連用10天為1療程,共4療程,治扁平疣。
預防方法
傳染性軟疣(1)杜絕不潔性交和其他性亂。
(2)潔具不混用。洗澡勿用搓澡巾搓澡,以免損傷皮膚,引起病毒的感染。
(3)患病後衣服要煮沸消毒。
(4)患病後禁止抓搔,以免抓破感染和傳染
在各種病毒疣中只有一種不是由人乳頭瘤病毒引起的,這就是傳染性軟疣,中醫稱為鼠乳,俗稱水瘊子。傳染性軟疣是由痘病毒中的傳染性軟疣病毒(MCV)引起的。痘病毒是最大的一種病毒,稍小於最小的細菌,在普通的顯微鏡下可以看到。
本病是直接接觸傳染,可自體接種,也可通過毛巾、搓澡巾、衣服等媒介物間接傳染。由於也可通過性接觸傳染,近年來被列為性傳播疾病(STD)之一。
本病多見於兒童及青年,潛伏期約2~3周。初起為米粒大的半球形丘疹,以後逐漸增大至豌豆大,中心微凹如臍窩,表面有蠟樣光澤,早期質地堅韌,後逐漸變軟,呈灰白色或正常膚色。頂端挑破後,可擠出白色乳酪樣物質,稱為軟疣小體。損害數目多少不定,少者幾個,多者可達幾十個甚至上百個。少時分散,多時成簇,但不融合。多有癢感,好發於軀幹、四肢、肩胛、陰囊等處,但全身任何部位皆可發生,有時可發生於唇、舌及頰黏膜。
少數病人的損害可角化而類似皮角,稱為角化性傳染性軟疣。
本病易繼發感染而出現局部紅腫或並發膿皰,或在損害周圍繼發濕疹樣損害。發於眼瞼者常可引起慢性結膜炎或角膜炎。當軟疣除去後,這些繼發損害會自然消退。
如果未經治療,傳染性軟疣一般約6~9個月可消退,但亦有持續3~4年者。病程與數目無關,愈後不留疤痕。
水瘊子或者說傳染性軟疣的經典治療方法有一個專有名詞——“擠疣”。目的是除去軟疣內容物,破壞兜囊。
具體方法是這樣的:在無菌情況下,用小鑷子或止血鉗將軟疣夾破,擠出其內容物,或直接拔除較小的疣體,然後塗以5%碘酊或純液體石碳酸或33%三氯醋酸(陰囊部損害禁用碘酊),同時壓迫止血。
但是,此法痛苦較大,患者難以接受,尤其是兒童,損害較多者甚至不能堅持治療。這時可不作擠疣治療,而以口服中藥湯劑為主。若發病時間較短者,當以清熱解毒祛風為主,藥用馬齒莧合劑:馬齒莧60g,大青葉15g,紫草、敗醬草各10g。水煎服,每日1劑。若患病日久者,以養血解毒化瘀為主,藥用治瘊湯:熟地15g,炒白芍、赤芍、丹皮、桃仁、牛膝、首烏、杜仲、赤小豆、炒白朮、穿山甲各12g,生苡仁30g。水煎服,每日1劑。
同時,疣體處直接塗以碘酊或用中藥煎湯外洗。外洗方:木賊草、香附、板藍根、山豆根各30g,煎濃湯擦洗。其他如苦參、蛇床子、蒼朮、馬齒莧等燥濕解毒,殺蟲止癢之中藥均可套用。
傳染途徑
直接接觸傳染
自身接種傳染
患者常因在病灶部位搔抓,而出現多處播散發病。
性接觸傳染
通過性接觸傳染的軟疣多見於外生殖器、臀部、下腹部、恥骨部及大腿內側區,肛交者發生於肛門。皮損可發生於除掌跖外的任何接觸部位,也可出現於唇、舌及頰黏膜、結膜等,結膜損害可伴有反應性結膜炎或角膜炎。少數損害異常巨大,稱為巨型軟疣,有的可角化而像小的皮角,稱為角化性軟疣。一般無自覺症狀。故世界衛生組織將其列入性傳播性疾病之中。
間接傳染
通過公共洗浴設備、游泳池、毛巾等,公共浴室、衛生條件差的賓館是傳染性軟疣的“集散地”。
併發症
傳染性軟疣併發症:常因自覺微癢,搔抓後並發感染或周圍繼發濕疹樣損害。疾病(三)
| 疾病是機體在一定的條件下,受病因損害作用後,因自穩調節紊亂而發生的異常生命活動過程。 |

