簡介
皮膚結核是由結核桿菌直接侵犯皮膚或其他臟器結核病灶內的結核桿菌經血液或淋巴液傳播到皮膚而引起的一種傳染性皮膚病。由於結核桿菌的數量、毒力、傳播途徑以及機體抵抗力的不同,可將之分為幾種不同的類型。
發病機制
結核的發生機制(二)感染途徑
1、自我感染極大多數皮膚結核病系由此途徑感染,其中包括:
①經血液循環傳播,如丘疹壞死性皮膚結核和硬紅斑。
②經淋巴液傳播,如繼發性瘰癧性皮膚結核。實際上淋巴和血液循環兩系統之間的關係甚為密切,故一般均經淋巴血液循環傳播。
③由鄰近的局部病灶直接傳播到皮膚,如尋常狼瘡。
④自我接種,通過自然腔道將病菌帶至腔口附近皮膚,如腸結核患者的病菌可被帶至肛周皮膚而引起結核性潰瘍。
2、外來感染少數病例由於皮膚本身有輕微損傷,如抓破、擦破或裂隙,結核菌可直接由患者或經為病菌污染的物質侵入皮膚而產生原發性感染。大多數患者已早受結核菌感染,此外感染實際上系再感染,如疣狀皮膚結核。
3、機體的抵抗力皮膚結核病的產生與機體的一般抵抗力有關。營養不良、疲乏、不衛生等可使抵抗力降低而增加發病。患其他感染性疾病,如麻疹、百日咳、流感等後,機體抵抗力每有減弱,亦易感染本病。
病理
本病的病理改變與其他部位結核病者完全一樣,在診斷上有
皮膚結核病臨床表現
皮膚結核病各型皮膚結核的臨床表現雖變化很大,但其皮膚損害有些共同的特點:
1、狼瘡結節 見於尋常狼瘡、顏面粟粒性狼瘡。狼瘡結節用玻片壓診,呈黃褐色或蘋果醬色,半透明狀。
2、潰瘍、疤痕 見於瘰癧性皮膚結核、潰瘍性皮膚結核、硬紅斑等。結核性潰瘍為蒼白易出血的肉芽組織,口小底大,呈火山口樣,且自覺症狀不明顯。
3、膿皰、小疤痕 見於顏面粟粒性狼瘡、丘疹壞死性結核疹、陰莖結核疹。
4、丘疹 見於顏面粟粒性狼瘡、丘疹壞死性結核疹、陰莖結核疹、瘰癧性苔癬、全身性粟粒性皮膚結核。
臨床分型
(一)尋常狼瘡占所有皮膚結核病的50%~75%。多見於青年及兒童,好侵及面部、臀部及四肢,亦可累及黏膜。基本損害為針頭至黃豆大小的結節,質地柔軟,呈褐紅色,
皮膚結核病黏膜損害:狼瘡不僅侵及皮膚,也可累及上呼吸道及口腔黏膜。基本損害亦為結節,但極易破潰形成潰瘍。潰瘍一般無明顯疼痛,表淺,易出血,基底有小顆粒。鼻腔狼瘡患者常訴"長期感冒",鼻中多痂,易出血,久後黏膜因浸潤而肥厚,鼻腔受阻,導致呼吸困難,患者多用口呼吸。口腔黏膜病變最常見於牙齦,其次為硬軟齶,再次為懸壅垂。
病程緩慢,如不治療,可多年不愈。一般無自覺症狀,偶可發生癌變。結素試驗陽性。
(二)瘰癧性皮膚結核占所有皮膚結核的10%~15%。多發生於兒童,常由淋巴結核、骨結核或關節結核繼發而來。好發於頸部,其次為腋下、腹股溝及上胸等處。初起為皮下結節,邊界清楚,質硬,可自由活動,無顯著壓痛,其上皮膚正常。數月後結節增多、增大,與皮膚粘連,呈深紅色,並逐漸軟化產生乾酪樣壞死。繼而穿破形成潰瘍及瘺管,有乾酪樣物質和稀薄膿液排出。潰瘍為帶形、狹長形或橢圓形,少數呈圓形。基底不平,帶蒼白色,有鬆弛的肉芽組織,柔軟或微帶堅實,其上的痂常甚薄而具韌性,呈紅色或褐色,其邊緣為潛行性,常不變色,有時則為瘺管內膿液所膨脹而呈紅色或紫紅色。損害不斷發生,有的已愈,有的初發,往往同時可見結節、膿腫、潰瘍、瘺管及疤痕等帶狀分布的多形性損害。疤痕亦呈帶狀,不規則形,束狀或橋狀,高低不平。病程緩慢,可多年不愈。結素試驗陽性。
疣狀皮膚結核(三)疣狀皮膚結核占所有皮膚結核的4%~5%。極大部分為成人,男性尤為多見。系直接接觸病菌所致。常見於暴露部位,以手背及手指背部最為多見,其次為足、臀、小腿等處。損害大多為單個,少數可為2~3個。初起為黃豆大小紫紅色丘疹,質硬,玻片壓診無蘋果醬現象。丘疹逐漸向周圍擴大,變成斑塊,中央角質層增厚,粗糙不平,以後呈疣狀增生,有較深的溝紋相互分開,加壓時常有膿液從縫中流出。在疣狀增生的外圍為浸潤帶,呈暗紫色,上覆以痂和鱗屑,再外圍為平滑紅暈區。病程極端慢性,常多年不愈。癒合時損害中央先開始,疣狀增生逐漸變平,鱗屑和痂皮脫落,有光滑柔軟而表淺的疤痕。結素試驗弱陽性。
(四)腔口結核性潰瘍有活動性內臟結核者,當機體抵抗力降低時,病菌可由自然腔道蔓延至皮膚黏膜(如口腔和肛門)。本病現已極罕見。初起為針頭大黃色或淡紅色顆粒性結節,逐漸增大,潰破形成潰瘍,潰瘍可達1cm直徑或更大,但很少超過2cm,呈圓形、橢圓形或不規則形。基底有蒼白色肉芽組織,常不平滑,其上有黃色小點。邊緣潛行性,質軟,周圍繞以紅暈。潰瘍較淺,但病菌甚多,有顯著疼痛。病程慢性,可伴有局部淋巴結腫大。本病患者內臟結核大多嚴重,故常伴發熱及中毒症狀,預後不佳。結素試驗陰性。
(五)硬紅斑為血原型中最常見的一種,多見於青年女性,常伴有周圍循環不良,如肢端發紺等。皮損慣發於小腿屈面,對稱分布。初起為櫻桃大或更大的皮下結節,質硬,此時表麵皮膚無顏色改變。以後逐漸擴大,可達2~3cm直徑,與皮膚粘連,呈暗紅色或青紫色。結節位置較深,不高出皮面。從2~3個至10餘個。有局部酸痛、燒灼等自覺症狀,並可有輕度壓痛。結節偶可破潰,形成潰瘍。潰瘍呈圓形或橢圓形,基底覆有黃綠色分泌物,數月後癒合,留有凹陷性疤痕,周圍有色素沉著。無潰瘍者一般數周至數月後消退,消退後皮膚略有萎縮。病程慢性,易復發。結素試驗強陽性。
(六)結節性結核性靜脈炎好發於青年四肢遠端,男子稍多見。沿表淺皮膚靜脈有豌豆到小指頭大小皮內或皮下結節,結節之間尚有索狀硬結可觸及。表麵皮膚顏色正常或淡紅色,無潰破傾向。常有壓痛、自覺痛,發疹前有時可有發熱、倦怠、不適等全身症狀。病程比較急性,有時稍慢性。預後較良好,然也有頑固的,常復發。結素試驗陽性。可伴發其他型皮膚結核。
丘疹壞死性結核本病可有下列變型:
1、陰莖結核疹發生於龜頭,皮損為丘疹或結節,以後壞死,潰破形成潰瘍,愈後留有萎縮性疤痕,有的未破潰而自行消失。病程慢性,反覆發作。好發於青年。無自覺症狀。
2、結核性痤瘡發生於小腿外側及臀部的痤瘡樣毛囊性丘疹膿皰損害,可發生壞死、結痂、疤痕等。病程慢性。
(八)瘰癧性苔蘚樣皮膚結核罕見,常發生在有淋巴結、骨或關節結核的兒童。損害為皮膚色、黃褐色或紫紅色的針頭大小粟粒形丘疹,扁平或尖頂,有時呈多角形如扁平苔蘚,呈毛囊性分布,有群集傾向,慣發於軀幹。病程3~6周或稍久,以後自行消失。結素試驗一般為強陽性。
症狀體徵
光滑皮膚部位的損害應注意病損的部位、形態,是否呈環形、弧形,炎症反應程度,鱗屑多寡,有無中央自愈傾向,有無水皰、膿皰或繼發性感染,手足有無浸漬、糜爛或角化過度。1.頭癬患者應注意頭髮光澤,有無斷髮、脫髮、發外白鞘、瘢痕、鱗屑、黃癬痂、膿皰、膿腫,引流淋巴結是否腫大,注意病變部位及大小,有無鼠尿臭味。
2.甲部損害,應了解病甲數目,甲板是否光滑,甲質色澤如何,有無增厚、碎裂、蛀空、分離或甲溝炎。
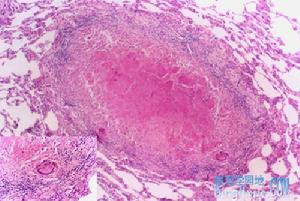
組織病理
主要病理變化發生在真皮淺層,表現為結核樣結節,浸潤細胞主要為淋巴細胞,上皮樣細胞及巨細胞,早期損害淋巴細胞占優勢,陳舊性損害上皮樣細胞及郎格罕細胞占優勢。淋巴細胞常圍繞在浸潤灶周圍,上皮樣細胞多呈同心圓形或不規則形排列。表皮變化常為繼發性的,可呈增生樣改變,也可呈萎縮性表現。診斷
1、皮膚損害:狼瘡結節、疣狀增殖斑塊、潰瘍及瘢痕形成;
2、皮損處分泌物塗片找到結核桿菌;
3、胸片可見肺及其他臟器結核感染;
4、組織病理見結核病變。
治療
(一)一般治療注意適當休息,增加營養,提高機體抵抗力,同時治療伴發疾病或間發感染。
(二)抗結核藥物治療本病主要用抗結核藥物治療。
皮膚結核病大部分皮膚結核用異煙肼100mg每日3次,每日3次治療有效,一般在2~6月皮損消失,少數病人需6個月以上,為鞏固療效和預防復發,在皮損消退後宜繼續治療2月。對硬紅斑和丘疹壞死性皮膚結核則在以後春秋季宜再給預防治療2個月,以防止復發。
異煙肼可與鏈黴素、利福平、對氨水楊酸等合用,鏈黴素每日1g,總量60~100g,以往認為對氨水楊酸對瘰癧性皮膚結核有作用,成人日服8~12g,分4次服用,療程60~90天。
維生素D對尋常狼瘡有效,劑量由每日5萬u開始,在1周內逐漸增至10萬u,以後每日10萬u,可連服4~6月或更久。有活動性內臟結核、肝腎疾患、高血壓、潰瘍病者禁用。另可選用乙胺丁醇15mg/kg·日,口服;吡嗪醯胺25mg/kg·日,口服。這些藥物毒副反應較多,宜慎用。
治療原則
1.加強支持療法:勞逸適度、增加營養以提高機體的抵抗力;2.注重系統治療:採用聯合化療,減少副作用及耐藥菌株的產生;
3.佐以局部治療:系統治療效果不佳時,應配合外科治療及物理療法。
治癒標準
皮膚結核病治癒1、治癒:症狀體徵消失,皮損全部消退;
2、好轉:症狀體徵改善,皮損潰瘍癒合;
3、未愈:症狀體徵未改善,皮損無變化。
