尋常狼瘡尋常狼瘡是一種毛囊、皮脂腺的慢性炎症,好發於顏面,胸背部,可形成黑頭粉刺、丘疹、膿皰、結節、囊腫等損害。相當於中醫的“肺風粉刺”。其病因複雜,至今未完全明了,主要與以下四種因素有關,雄激素與皮脂腺功能亢進、毛囊皮脂導管的角化異常、毛囊皮脂單位中微生物的作用、炎症及宿主的免疫反應..
病理概述
尋常狼瘡懸雍垂常為首發部位,繼而擴散到前後齶弓、咽後壁,而扁桃體卻不受累。先發生棕黃色發亮的狼瘡小結,小結漸腐爛,彼此融合,形成較淺的潰瘍,覆以漿液性或膿性分泌物,潰瘍有自愈傾向,形成瘢痕,收縮後使咽腔變形。
經常小結、潰瘍、瘢痕同時存在,此起彼伏,但對組織破壞性小,預後良好。
病理病因
尋常狼瘡尋常狼瘡亦可由破潰的淋巴結、骨關節結核病灶直接或經淋巴管蔓延至皮膚,也可由內臟結核病灶經血流播散至皮膚。極少數病例可發生於卡介苗接種處,故認為在卡介苗接種後,如在接種處發生肉芽組織,久不消退,即應追蹤觀察。
此外,患者的營養、生活條件、衛生狀況、個人抵抗力等對尋常狼瘡的發生與發展皆有很大的關係。
病理生理
尋常狼瘡尋常狼瘡的病理變化主要發生在真皮的淺層,但亦有蔓延到真皮深層甚至皮下組織者,並可導致皮膚附屬器破壞。
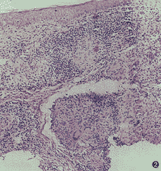
病理浸潤主要為結核樣結節,並很少見有乾酪樣壞死形成的結節,即使有亦很輕微。浸潤細胞主要為淋巴細胞、上皮樣細胞和巨細胞,巨細胞雖然通常是核呈邊緣排列的郎罕巨細胞形,但有些是核呈不規則排列的多核巨細胞。損害越早,淋巴細胞浸潤越多,圍繞在浸潤灶周圍。損害較久時則上皮樣細胞及郎罕巨細胞占優勢,上皮樣細胞大都呈同心圓形集簇或不規則排列。浸潤灶內無血管,其中膠原纖維變性,最後彈力纖維亦可變性破壞。病灶癒合時,邊緣部網狀纖維緻密和膠原化,有廣泛纖維組織增殖。彈力纖維不能恢復。表皮變化為繼發性的,在有些病例中可有棘層肥厚、角化過度或乳頭.
瘤樣增生,甚至假上皮瘤樣增生,偶或發生鱗狀細胞癌。但有些病例,可因真皮內的浸潤壓迫而使表皮萎縮變薄,甚至破壞形成潰瘍,並可因繼發感染而化膿,以致在浸潤中發現許多中性粒細胞、嗜酸性粒細胞及其它化膿性細菌。在尋常狼瘡的病理組織中,雖然可有結核桿菌的存在,但不易被發現,甚至培養和動物接種亦不能經常成功。
症狀體徵
尋常狼瘡在長期的過程中有的損害自愈形成瘢痕,有的結節往往破潰形成潰瘍,潰瘍開始時僅見於損害的一部分,以後可致整個損害全部潰爛。其潰瘍多淺表,呈圓形或不整形,潰瘍表面為紅褐色肉芽組織,有少量稀薄膿液,膿液乾燥後結污褐色厚痂。潰瘍邊緣不整齊,質柔軟,色暗紅,邊緣呈潛行性。在發展過程中,潰瘍中央或一側結疤治癒,但邊緣或另一側不斷向外擴展,可形成大片損害,亦可形成環狀、弧形或蛇行性等特殊形態。組織毀壞性大,愈後結成高低不平的條索狀瘢痕,嚴重者瘢痕收縮,發生畸形或功能障礙。尋常狼瘡的再一個特點為已愈之瘢痕組織上又可再生新的狼瘡結節,再破潰形成潰瘍,故本病常遷延數十年不愈。
除以上典型損害外,由於患者機體反應性的不同,又有以下幾種臨床類型:
(1)扁平尋常狼瘡:損害表面平滑,可有少許鱗屑,呈片狀浸潤斑片,由狼瘡結節構成,愈後有較扁平的萎縮瘢痕。
(2)增殖性尋常狼瘡:包括結節性狼瘡、瘤樣狼瘡、疣樣狼瘡、乳頭狀狼瘡等。此類狼瘡為狼瘡結節密集互相融合,高出於皮面呈明顯的浸潤狀腫塊或大小不等的乳頭狀增殖。
(3)潰瘍性狼瘡:常形成較大面積的潰瘍,可由狼瘡結節破潰而發生,亦可由皮膚下方淋巴結、骨骼或其它組織的結核感染時所繼發。
(4)播散性狼瘡:為身體內部結核病灶中之結核菌經血行播散至皮膚而發病。本病可見於患麻疹或猩紅熱等急性傳染病後的兒童,皮膚突然出現散在性的由狼瘡結節構成的小斑片,病損數多,互不融合。
尋常狼瘡解剖圖\尋常狼瘡也常侵犯黏膜,黏膜損害可為原發性,或由面部狼瘡擴展而來。鼻黏膜及口唇部較為多見,鼻黏膜損害可沿鼻淚管侵及淚囊甚至眼結膜,亦可向後伸延至鼻咽部,並可經齶前孔而至硬齶前面。咽部損害可經耳咽管蔓延至中耳。整個口腔黏膜及口唇發生黏膜狼瘡,但由於黏膜潮濕及其它細菌的污染,黏膜狼瘡可顯一片微高起的肉芽狀斑片,灰白色,表面不平呈顆粒狀,有時伴有微小潰瘍,表面結痂。齒齦可出現腫脹及潰瘍,牙齒亦可脫落,偶侵犯舌部發生乳頭肥大或疼痛的裂紋。由於口腔黏膜損害,飲食障礙,致使患者營養不良。
尋常狼瘡無明顯自覺症狀,在有繼發感染時可有疼痛,如不伴發其它結核病,全身症狀較輕。此類再感染性結核病,一般不累及局部淋巴結。尋常狼瘡往往由兒童或少年時期開始發病,半數以上的患者在10歲以內發病,20歲以前發病的約占80%。
併發症
1、繼發性感染尋常狼瘡患者常並發化膿菌感染,如膿皰瘡、癤及丹毒等。
2、象皮病肢體尋常狼瘡或可並發淋巴管炎或淋巴結炎,可因屢次發作,致使淋巴管或淋巴結破壞,淋巴回流障礙,而使肢體發生象皮病。
3、其它結核病尋常狼瘡患者可並發其它臟器的結核,如有人統計約25%病人可有活動性肺結核,30%病人可合併骨結核等。
4、癌在長期狼瘡病變處可並發鱗狀細胞癌,其發生率約為1%-2%。
臨床表現
1.初起為針尖大的丘疹,漸漸擴大到豌豆大或更大,呈圓形或多角形,表面粗糙,角化明顯,質堅硬,呈灰黃、污黃或污褐色。
2.好發於手指、手背、足緣等處。
3.數目不等,初起多為一個,以後可發展為數個到數十個。一般無自覺症狀,偶有壓痛。
4,病程慢性,部分可自愈。
5.跖疣是發生於足底的尋常疣。由於局部壓迫、摩擦,表面形成黃色肼胝狀,如以小刀削去此層,即可見白色軟刺狀疣體,表面常有散在小黑點.
皮損形態
皮損形態若炎症加劇,丘疹頂端可出現米粒至豌豆大的小膿皰,破潰或吸收後留下暫進性色素沉著或小凹坑狀疤痕;如果炎症繼續擴大深入,則於皮下形成大小不等淡紅色或暗紅色結節,或高出皮面。此結節可較長時間存在,或自然吸收,或化膿破潰形成疤痕。
有的損害呈黃豆至指端大小的橢圓開囊腫,暗紅色或呈正常膚色,按壓時有波動感,炎症反應往往不重,經久不愈,可化膿形成膿腫,附近數個膿腫匯合時,可形成聚合性痤瘡。
診斷檢查
盤狀尋常狼瘡(1)結節病:結節病之結節較狼瘡結節堅實,有浸潤感,一般不破潰。結核菌素試驗陰性。
(2)結節性梅毒疹:梅毒性結節發展較快,可成匐行狀排列,質硬如軟骨,銅紅色,常破潰,潰瘍呈穿鑿狀,愈後結疤。梅毒血清反應陽性。其病理改變主要為漿細胞浸潤及血管變化。
(3)盤狀紅斑狼瘡:紅斑呈蝶狀,常對稱分布於鼻及兩頰部,無狼瘡結節及潰瘍,紅斑上有粘著性鱗屑,底面附著毛囊角質栓。
(4)深部真菌病結節:常破潰、結疤,真菌培養陽性。組織病理學可查獲病原菌。
(5)結核樣型麻風結節:較狼瘡結節稍硬,患處感覺障礙為其特點,有周圍神經粗大及肢體麻木畸形,可出現營養性潰瘍。
治療方案
利福平(1)全身性用藥合理使用異煙肼、利福平、乙胺丁醇等抗結核藥,防止藥物不良反應;中醫藥方面可用補中益氣湯加減等。
(2)局部治療對小片尋常狼瘡,可在局部麻醉下,施行刮除術,術後壓迫止血,外敷10%次沒食子酸鉍。對範圍不大的皮膚損害可用1%普魯卡因液1mL加入2.5%異煙肼溶液2mL,在損害四周作環形皮下注射,或將5%異煙肼軟膏塗於損害處,亦可在局麻後,對皮損處塗布乳酸、鉻酸或純石炭酸腐蝕。
治療方法
根據臨床表現特徵,即可診斷。需與酒渣鼻鑑別,後者發病年齡較晚,中年人多見,僅發於面部,皮損常伴有毛細血管擴張。
1.西醫藥治療
(1)內服藥治療
①內分泌製劑:如己烯雌酚1n瑤,每日1次口服,10日為一療程,女性要在月經後5日開始服用;尼爾雌醇lmg,半月1次口服;安體舒通20mg,每日3次,連服1月。
②抗生素:可選用四環素、紅黴素、甲硝唑、美滿黴素(500mg,每日2次,口服)、氟嗪酸(200mg,每日1次口服)等,無論哪種抗生素均需堅持服藥2-3月,甚至更長。
③維甲酸類:如維胺脂25mg,每日3次口服;異維A酸(泰爾絲)10—20mg,每日3次口服。
④其他:維生素B族、維生素A、E,硫酸鋅,酮康唑,煙酸肌醇B8等亦可酌情套用。
(2)外用藥治療
①維甲酸類:0.025%-O.05%維甲酸霜或乳膏、o.3%維胺酯乳膏(痤瘡王)等。
②抗菌素類:如2%紅黴素軟膏、2甲。氯黴素溶劑、2%滅滴靈霜、3%紅黴素及5%過氧化苯甲醯凝膠(必麥森)劑等。
③其他:複方硫黃洗劑、5%過氧化苯甲醯(痤瘡平)、複方酮康唑霜、15%壬二酸霜等,均可酌情套用。
中藥治療(1)內治法
①肺胃血熱:皮疹以炎性丘疹為主,可伴膿皰,苔薄黃,脈滑數。
治法:宜肺清胃,涼血解毒。
方藥:枇杷葉15克、黃芩10克、桑白皮15克、生山梔10克、黃連10克、邊翹15克、丹皮10克、白花蛇舌草15克、生地10克、生甘草6克。
②濕阻血淤:皮疹以囊腫、結節、疤痕為主,舌紫暗,脈弦滑。
治法:祛濕化淤,兼以解毒。
方藥:茵陳15克、生苡仁15克、生山植10克、黃芩10克、連翹15克、丹參30克、川軍6克、桔梗6克、皂刺10克、夏枯草15克、赤芍15克、白花蛇舌草30克。
(2)外用中藥治療
①顛倒散(大黃、硫黃等份)涼茶調敷患處,每日2次。
②大黃紫草油(大黃、紫草等量研末,加入菜油浸泡3—6日),外搽患處,每日2次。
預防與調養
1.講究衛生,養成良好的衛生習慣。
2.注意飲食,少食脂肪及甜食,多吃蔬菜及水果,健全消化功能。
3.常用熱水肥皂洗滌患部,不宜用油脂類化妝晶,避免用手擠壓患部。
4.精神愉快,避免過度緊張和勞累。

