合併圖冊結核結節的組成成分之一,因和朗格漢斯細胞的讀音相似而在各種權威醫學書籍中被誤寫,實屬誤人子弟!!朗格漢斯細胞(Langerhans cell,LC)是一種表皮抗原提呈細胞,屬於樹突狀細胞(Dendritic cell,DC)的一種,而朗罕巨細胞(也多寫為朗漢斯巨細胞)則是由上皮樣細胞聚集而成。

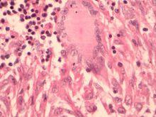
經過瑞氏染色的朗罕氏巨細胞,是多核巨細胞的一種,體積大,胞漿寬,漿著粉紅色,胞核從十幾個可達近百個,如類上皮的核,核染色質較疏鬆,核膜較厚,著紫紅色。核常沿邊緣分布。朗罕氏巨細胞是結核病中的典型細胞。
合併圖冊結核結節的組成成分之一,因和朗格漢斯細胞的讀音相似而在各種權威醫學書籍中被誤寫,實屬誤人子弟!!朗格漢斯細胞(Langerhans cell,LC)是一種表皮抗原提呈細胞,屬於樹突狀細胞(Dendritic cell,DC)的一種,而朗罕巨細胞(也多寫為朗漢斯巨細胞)則是由上皮樣細胞聚集而成。
郎格罕細胞組織細胞增生症(Langenhans cell histiocytosis,LCH),原稱組織細胞增生症X,是一組原因未明的組織細胞增殖性疾患...
發病機理 臨床表現 輔助檢查 治療措施 相關詞條郎格罕斯細胞增生症指過去的“組織細胞增生症X”和少見的“郎格罕斯細胞肉芽腫病”。臨床的亞型指“Letterer-Siwe病”和實性“嗜酸性粒細胞肉芽腫”...
【定義】 【流行病學】 【病因學】 【遺傳學】 【病理學】郎格細胞組織細胞增生症(LCH)以前稱組織細胞增生症X,是一組病因不明、臨床表現多樣、多發於小兒的疾病,男多於女。過去根據臨床主要表現將本症分為三型:勒...
症狀體徵 病理生理 診斷檢查 治療方案 相關條目郎格罕細胞性組織細胞增生症(Langerhans cell histiocytosis,LCH),發病率為1/20萬~1/200萬。主要發生在嬰兒和兒童...
病因 臨床表現 檢查 診斷 治療郎格漢斯細胞病(Langerhans cell disease)亦稱朗格漢斯細胞肉芽腫(Langerhans cell granuloma)。以前常用的...
症狀體徵 用藥治療 飲食保健 預防護理 病理病因概念炎症是指具有血管系統的活體組織對各種損傷因子的刺激所發生的一種以防禦反應為主的基本病理過程。局部的血管反應是炎症過程的主要特...
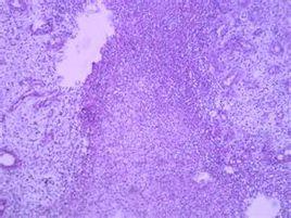
概念 概述 機制和分類 主要原因 局部基本病理變化。類上皮細胞呈向心性排列。多核巨細胞少,不像郎罕氏巨細胞核在周邊.而要分散...周圍梢多些。在類上皮細胞間雜有多核巨細胞.類似多核異物巨細胞.其胞質內含有...巨細胞、巨噬細胞和啥酸性粒細胞。早期在淋巴結內廣泛形成小的表皮樣細胞團...
簡介 症狀表現 病因 診斷 其他病種原因本病主要由增生的郎格罕斯細胞、嗜酸粒細胞及其他炎症細胞組成,還可...(fig.3)。郎格罕斯細胞多呈灶狀、片狀聚集,細胞體積較大,胞漿豐富,弱嗜酸性...周圍,而嗜酸粒細胞較少。勒雪病中,郎格罕斯細胞大量增生,出現較多異形核...
原因 檢查 鑑別診斷 緩解方法砼性細胞、嗜酸性細胞和巨細胞。早期的病灶內富含郎罕氏細胞和嗜酸性細胞...。嗜酸性肉芽腫是郎罕氏細胞增多症的一種表現,以前稱為組織細胞增多症X。嗜酸性肉芽腫多發生於5-10歲的兒童,侵犯部位為骨骼和肺。這占郎罕氏細胞增多...
簡介 臨床表現