簡介
淋巴結結節病(sarcoidosis)是淋巴網狀系統的慢性肉芽腫性疾病,其原因不明.一般認為是免疫反應異常的表現。淋巴結結節病1889年首先由Besniers描述。淋巴結、脾、肺、皮膚、眼、肌肉、骨關節、腦膜、腦、脊性、內分泌腺、生殖器官、乳腺、腎、消化道、肝、心等處均可發生。病變可只局限於淋巴結或皮膚。本病按照第七次國際結節病和其他肉芽腫病會議的看法,認為是一種多系統的肉芽腫性疾病,原因不明。常發生於青年。多見於雙側肺門淋巴結、肺和眼瞼。
淋巴結結節病多見於北美和斯堪的那維亞半島,但也見於世界各地,原因不明.可能與松花粉有關。將松花粉注人豚鼠,可引起表皮樣細胞肉芽腫形成。在英國人們認為大多數結節病是結核性的。也可能是多種原因,包括黴菌、非感染性抗原因子、錯中毒等所致的一種異常的免疫反應。

淋巴結結節病(sarcoidosis )是一種全身性肉芽種性疾病.多見於皮膚和淋巴結.並表現為局限性損害。其他組織和器官也可發病如骨、眼、手、肺、肝、脾、腮睞等等。此病幾乎不雙及 枯膜、漿膜、腎上腺等。病因尚不明確,其組織形態.光鏡下觀察頗類似結核結節.兩者差異點在於結節病之結節。其結構之中心部不出現乾酷樣壞死區.結節周田淋巴細胞稀少.個別結節周圍梢多些。在類上皮細胞間雜有多核巨細胞.類似多核異物巨細胞.其胞質內含有包涵體包涵體常呈兩種形態:一是星形小體一是紹曼氏小體(球形層狀鈣化小體)。若多核巨細飽內出現一個透明區,其間有一小體具有放射性突起小棘.這種小體被命名為星形小體,它的形成可能與蛋白質和類脂質在胞質內沉著有關係.而紹曼氏小體(Schaurnann小體)被認為是方解石結晶被鈣質蛋白混合物包繞而成貝亮樣小體。這兩者不是結節病特有的特徵。例如結核結節多核巨細胞內可見星形小體,而被沉春病的肉芽腫異物巨細胞內可見紹受氏小體.結節A之報害可持續致月或數年後.傾向於纖維化而結節之結構消失.由纖維組織取代並常發生玻璃樣變。纖維化初期組織切片.銀浸滲方法染色見有大最嘴銀性纖維形成
症狀表現
肉眼觀察
淋巴結切面有多少不一的淡黃色的病灶,通常直徑小於1mm,與粟粒性結核相似,其輪廓較結核結節清楚。鏡下觀察
類上皮細胞形成結節,其中偶有多核巨細胞、巨噬細胞和啥酸性粒細胞。早期在淋巴結內廣泛形成小的表皮樣細胞團,往往不易與弓漿蟲性淋巴結炎、早期結核及被奇金病區別。晚期結節可達粟粒病灶大病灶增大.部分病灶也可融合,結節周圍無淋巴細胞浸潤,與周圍的分界特別明顯。類上皮細胞胞漿呈啥酸性顆拉狀,含大t溶菌醉.用免疫過氧化酶法可以證明。類上皮細胞呈向心性排列。多核巨細胞少,不像郎罕氏巨細胞核在周邊.而要分散在胞漿內。如果多核巨細胞量多,則可能不是結節病,而要考慮結核。結節不發生乾酪樣壞死,僅有少許細胞壞死,或小灶細胞和纖維組織纖維素樣變。網狀纖維染色,周圍有網狀纖維包繞氏體是一種特殊的向心性排列的貝殼狀鈣化小體。最長徑為20 -- 50納米,較小的小體位於多核巨細胞內,而較大的小體則位於間質內,部分圍著巨細胞,染色SI紫藍色,內含鐵和鈣,有雙摺光性,最小的小體亦可見於類上皮細胞內。一般認為是方解石結品被碳酸鈣和不溶性蛋白沉澱的複合物包繞而成的層狀小體.並不是結節病所特有的,亦可見於結核病,慢性被中毒等病。
星狀小體由中心小粒(直徑為2--4pm)和周圍放射狀的棘狀突起構成、呈嗜酸性,常位於多核巨細胞中央的泡沫狀空泡內,或在大的表皮樣細胞內。此種小體有折光性,彈力纖維染色可以著色,提示它可能來自崩解的彈力纖維。但也有人認為,可能是蛋白質和類脂質在胞漿內沉著所致。此種小體也非結節病特有,亦可見於結核和其他疾病。
結節病持續數月或數年後,可以消失而不留痕跡,或發生進行性硬化,結節內有大量嗜銀纖維形成。結節周邊有寬的膠原纖維包繞,結節也可融合而連成一片,逐漸為完全透明變性的旅痕組織代替。
病因
病因尚不明了。因病程中偶可見發熱和家族中同時有1人以上發病,故曾懷疑由感染所致,但未發現病原體.發病者體液免疫正常或增強,IgM, IgA及IgG均增高。這些現象提示病兒的細胞免疫功能低下。
病理特徵是沒有乾酷樣壞死的慢性肉芽腫炎症,和真菌病如組織胞漿菌病、麻風或結核引起的肉芽腫很相似。主要侵犯的器官是琳巴結、肺、皮膚、眼和骨,特別是手足的骨骼.病變器官可見多數粟粒大小的肉芽腫.從數毫米至1-2厘米,像結核性肉芽腫。病灶中央可見呈放射狀排列的上皮樣細胞和數目不等的多核巨細胞.
淋巴結結節病又稱類肉瘤病,是一種原因不明的、慢性的、可累及全身多種臟器的非乾酪性上皮樣肉芽腫病變.症狀多不明顯,進展緩慢,緩解與復發交替出現,可持續多年。
症狀輕重懸殊極大,主要取決於受累的臟器。起病緩慢,常缺乏發熱、厭食、盜汗和易倦等全身症狀,或僅
偶見。
1.淋巴結腫大。除縱隔淋巴結腫大外,可有全身淺表淋巴結腫大,無壓痛,不粘連。肝脾多增大,腮腺腫大是比較突出的症狀。
2.皮疹。約有1/3以上的病人有特殊的皮膚改變,可見各種肉瘤樣肉芽腫,多見於面部.皮疹可以是臘黃色的粟粒結節或較大的丘疹,有的可呈苔醉狀,凸起或平的光滑的紫紅色斑疹或丘疹.直徑可達l cm以上。結節樣紅斑也很常見,為此病的早期症狀。皮疹可出現搔癢。
3.眼症狀。角膜炎、虹膜炎、虹膜睫狀體炎、葡萄膜炎和青光眼比較多見。偶出現視網膜炎或視網膜出血。淚腺偶被侵犯,可有多汗等症狀。最終可致荀萄膜纖維化而致視力障礙。
4.唾液腺腫大。是腮腺和其他唾液腺的無痛性腫大,同時合併葡萄膜炎、面神經麻痹和發熱。
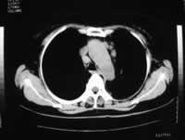
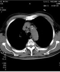
5.肺部病變。肺門和氣管周圍淋巴結腫大,肺野可見粟粒樣結節或網點狀陰影。肉芽腫滿布於肺泡內時雙肺可呈絮狀陰影。偶有咳嗽和胸痛症狀。
6.骨骼及關節病變.骨骼變化較多見於手足,有輕度疼痛和運動障礙.X線片呈多發性囊狀改變,關節滑膜增厚,鍵鞘受累。
診斷要點
多數病人血漿和Y球蛋白增高白蛋白與球蛋白比例倒置,血鈣增高。除嗜酸細胞增高外,無其他血象改變。血沉可增快。根據臨床症狀和X線檢查,可疑時應做周圍淋巴結、皮疹等組織活檢。從確診的結節病人取琳巴結的結節病
組織,注射後1周即可出現反應,4-6周達高峰,局部呈紅色丘疹,可漸增大至3-8mm。此時取局部組織活檢,可見結節痴變。
淋巴結結節病鑑別診斷
淋巴結結節病應注意和結核病區別。Van Den Oord等(1984)研究4例結節病淋巴結炎和5例結核性琳巴結炎,發現二者組成的細胞相似。其中心為OKM1陽性的表皮樣組織細胞和多核巨細胞,少數為OKT4陽性輔助T細胞和許多OKT8陽性的抑制T細胞構成。中央部分沒有B淋巴細胞.但結節的外套為館D陽性的B淋巴細胞。在結節和套之間有環狀分布的陽性的抑制T淋巴細胞。但按照HE切片結合其他檢查,二者有以下幾點可以區別
①結節小而散在,不像結核結節融合成較大的病灶,類上皮結節累及一個以上的器官。
②多核巨細胞少,核分散在胞漿內。
③結節周圍沒有淋巴細胞浸潤,常有纖維化,和周圍分界清楚。
④不發生乾酪樣壞死。
5結節病的類上皮細胞內血管緊張素轉移酶(ACE)陽性[Pertscnuk等(1981)]
⑥Kveim Siltzbach試驗陽性,由皮內注人用已知的結節病組織製備的抗原,接種部位發生肉芽腫反應。但此種試驗陽性也可見於結核病、組織胞漿菌病、球抱子菌病和Crohn' s病等。
其他病種
麻風性淋巴結炎(leprous lymphadenitis)各型麻風均可累及淋巴結。
1.結核樣型皮膚病變進展期時,約2/3以上的病例淋巴結內可見上皮樣細胞灶,外有淋巴細胞套,二者之間有OKD8陽性的淋巴細胞帶,病灶多位於副皮質區,量多者髓索內也可見到。病灶細小而分散,多山6-10個細胞構成,病灶不融合,偶見不同數量的多核巨細胞。常伴有副皮質增生和竇組織細胞增生。少數病例可以找到麻風桿菌。上皮細胞灶易發生纖維化和透明性變。與結節病很難區別。除尋找麻風桿菌外,麻風菌素皮試陽性有助於
診斷。
2.瘤型淋巴結內有不同程度的泡沫細胞浸潤,病變廣泛時遍及副皮質區及髓索,甚至可侵及或擠壓淋巴小結。蘇丹三脂肪染色強陽性。嗜銀纖維豐富,形成緻密的網狀。泡沫細胞的胞漿內有大量麻風桿菌。泡沫細胞大而圓,胞漿內有許多空泡,空泡融合,細胞育徑可達305m以上。在Ziehl-Neelson法染色可見成團的麻風桿菌,體積大的稱為麻風球。偶見多核麻風細胞,核散在於胞漿內或群集在中央。麻風細胞罕見於竇內,但可有竇組織細胞增生。
淋巴結嗜酸性淋巴肉芽腫
淋巴結啥酸性淋巴肉芽種(eosinophilic lymphoid granuloma)以往認為此病井非一種獨立性疾病.但金顯宅等認為此病系一種新的獨立性疾病,並命名為咭酸性細胞增多性淋巴母細胞腐,後於1957年又更名為嘴酸性細胞增生性淋巴肉芽腫。林叢把病名簡化稱之為淋巴結咐酸性淋巴肉芽腫。本病之特點.患者表淺部一處或多處淋巴結緩慢腫大無痛.並伴有血液中啥酸性粒細胞顯著增多,而中性拉細胞相應減少。病因尚未明確.與骨嗜酸性肉芽腫是兩種不同性質的疾病.不要混淆.最常見發病部位的淋巴結有頸部、腋窩、肘部和腹股溝等處的淋巴結群。多局限子一處.或累及數處。光鏡下觀察,組織切片內顯示病變新舊雜陳.顯示為慢性進行性、以咯酸性校細胞浸潤為主的炎性病變.淋巴組織增生,濾泡中心擴大.所含有的細胞.核分裂多。出現吞嗽細飽和大顯嗜酸性拉細胞。後者累及全淋巴組織結構,咭酸性拉細胞常密集形成局限性病讓.病灶大致可分為兩類,一類病灶內原組織結構尚保存.可見竇內皮細胞和網狀細胞顯著增生。另一類病灶其問原組織結構消失,形成嗜酸性細胞小膿腫。若採用啥銀纖維染色.兩種病灶區域網路狀構架井未遭破壞.其間可見少數漿細胞。有時在髓索內可見成片的漿細胞浸潤.小血管增生而內皮細胞增多而腫脹.其動脈壁增厚 .周田結締組織明顯增生。淋巴結被膜及小梁增厚增粗。其間有啥酸性杖細胞.漿細胞和淋巴細胞浸潤,被膜結締脂肪組織中也有上述細胞浸潤.本病應與變態反應性肉芽腫病(allergic granu-lomatosis )和壞死性喻酸性肉芽腫病(necrotizing eosinophil granulomatosis)鑒 別.因為這是兩種罕見的致死性病變。前者患者常出現嚴重哮啥和發熱等症狀,而後者可能與多動脈炎以及Wegener病有關係。而淋巴結咯酸性淋巴肉芽腫是一種良性病變的過程。本病預後良好,對放射線教感.放射治療效果故佳。
淋巴結節病伴竇組織細胞增生症
淋巴結病伴竇組織細胞增生症(sinus histiocytosis with lymphadenopathy)是一種淋 巴心樣性淋巴結病. Azoury和Reed(1966)首先報進此病。患者多為1L童或青年人。臨床上突出的症狀:頸淋巴結腫大無痛,同一淋巴結群可同時或先後發病.井Il彼此枯連成巨塊.常有發熱,白細胞增多症,血沉加速和丙種球蛋白增多症等。腋下和腹股溝淋巴結腫大也常見 。
在病程終了,種大的淋巴結可自行消失。光鏡下觀察顯示淋巴結皮質竇和伯竇極度擴張.竇膠內充盈增生的組織細胞和侵入的小淋巴細胞、漿細胞和少數中性較細胞.偶見類似‘巨細胞的多核巨細胞.Rossi和Dorfman指出竇組織細胞有吞噬淋巴紙胞現象.為本病特徵之一。偶爾可見組織細胞吞噬中性拉細胞或漿細胞現象。竇組織細胞若其胞質內出現多數細小空泡.形成泡沫細胞,可聚集成片。偶見有輕度異型組織細胞.其核大濃染.含有幾個較大的核仁。倪索減少與賓間界限參差不齊。翻索內幾乎全是成熟的漿細胞.或雜有少數淋巴細胞和中性拉細胞.濾泡減少或完全消失.淋巴結被膜纖維性姍厚.其間有淋巴細胞浸潤.損害內無壞死灶但可有纖維化.除腫大的淋巴結之外,損害也可發生在皮膚、扁桃體、睪丸、眼眼和眼瞼。PAS染色證明賓內增生的內皮細胞含有少盆撼原.用油紅歐證明竇泡沫狀組織細胞含有中性脂肪。組織相類似Whipplc's病。
治療方法
河南省鄭州市管城中醫院結節病,結節硬化症治療中心是河南省現代醫學研究院和鄭州市永康醫學研究所在中原河南設立的頗具規模、陣容強大、實力雄厚的各類結節病,結節硬化症專業診療機構,專門從事各類結節病及結節硬化症及相關疾病的科學研究及臨床診療。多年來,在繼承和發揚我國傳統醫學的基礎上,結合現代醫學的理論、觀點和方法,堅持走中醫治療的道路,在推動我國結節病,結節硬化症及相關疾病診療事業發展和學術研究方面發揮了重要作用,成為我國中醫治療各類結節病,結節硬化症及相關疾病的龍頭單位,在全國享有較高的聲譽。也是全國及省市結節病,結節硬化症及相關疾病繼續教育培訓基地。據我們調查,隨著人們生活水平的不斷改善,周圍環境的不斷惡化,我們傳統的中醫中藥正在遭受前所未有的打擊。很多藥物受到環境的影響,藥理藥性都發生了改變,一些效果極佳的藥物聖品入藥後竟毫無效果;大部分中藥由於炮製工藝的不當及落後導致藥物原有的藥性無法達到應具有的理想值,致使中醫中藥長期滯留不前,很多國人對中醫中藥失去了信心。面對這種狀況,作為結節硬化專業研究預防治療機構,我們深感責任重大!
現鄭州市管城中醫院結節病,結節硬化症治療中心李主任在同數十位博士級專家的共同努力下 , 根據各類結節病,結節硬化症及相關疾病的病因病機從中藥學的藥性藥理入手,科學的將傳統中藥與現代醫學進行了完美的結合,通過不斷的與國內國外的多位教授,博士,老中醫和資深的藥劑師的反覆交流探討及面對面的接觸,(其中 40% 的是專門進行研究結節硬化病及相關疾病)在國際,國內發表過多篇極具價值的學術論文, 終於發明了利用“微米中藥”治療各類結節病,結節硬化症及相關疾病,現已為數千名各類結節病,結節硬化症及相關疾病患者解決了痛苦,多年來積累了豐富的臨床經驗,取得了驚人的效果。

