內容概述
扁平苔蘚是一種復發性,瘙癢性,炎症性皮疹。特點是小的散在性多角形扁平紫紅色丘疹,其丘疹亦可融合成粗糙的鱗屑性斑片。常伴有口腔損害。病因不明。某些藥物(如砷、鉍、金)或接觸某些用於彩色照片顯影的化學物質可引起與扁平苔蘚相似的損害。長期口服阿的平或奎尼丁可產生下肢肥大性扁平苔蘚以及其他皮膚方面和系統性損害,其他因素有肝臟疾病和移植物抗宿主反應。
是一種可累及皮膚、黏膜、甲和毛髮的炎症性皮膚病
疾病分類
口腔科疾病描述扁平苔蘚是一種原因不明的非感染疾患,病損可同時或分別發生在皮膚和黏膜。口腔扁平苔蘚是多見病,男女均可發病,女性多於男性,好發年齡為中年人,但從十幾歲兒童到80歲老人都可發病。
症狀體徵
扁平苔蘚(2)皮膚病損扁平丘疹微高出皮膚表面,粟粒至綠豆大,多角形,邊界清楚。多為紫紅色,可有色素減退、色素沉著或正常皮色。有的丘疹可見到白色小斑點或淺的網狀白色條紋,稱為Wickham紋。病損發生於身體各部位,但四肢較軀幹更多見。患者感瘙癢,皮膚上可見抓痕。潰瘍性損害可有疼痛。發生在頭皮時,破壞毛囊可致禿髮。皮損痊癒合可遺留褐色色素沉著,並可因色素減少成為略萎縮的淡白色斑點。
(3)指(趾)甲病損甲部增厚或變薄。甲部扁平苔蘚最多見於拇趾,甲板常有縱溝及變形。甲部損害一般無自覺症狀,如有繼發感染,可引起周圍組織疼痛。
疾病病因
扁平苔蘚1、精神因素OLP發病與失眠、情緒波動、更年期或經前期精神緊張有關,這些因素去除後,病情即可緩解。
2、內分泌因素臨床可見有的女性OLP患者在妊娠期間病情緩解,哺乳後月經恢復時,病損又復出現。
3、免疫因素OLP是一種口腔黏膜以T細胞介導的炎症病變,T淋巴細胞由局部微血管外滲,後移行至口腔上皮,聚集在OLP病損內。用皮質類固醇及氯喹等免疫抑制劑有效,證明本病與免疫有關。
4、感染因素通過病理切片及電子顯微鏡檢查,發現病損內有可疑的病毒與細菌。
5、微循環障礙因素據國內多項調查提示,高黏血症及微循環障礙與扁平苔蘚的發生有關。
疾病檢查
1.詢問發病過程、自覺症狀、治療經過及消化道的幽門螺桿菌(HP)感染情況,詢問誘因,如精神因素、內分泌失調、自身免疫及感染等。
2.口腔病損的特徵是否由白色細紋或丘疹構成的網狀、環狀、樹枝狀或斑塊狀等損害。
3.檢查時應注意病損的部位、形狀、色澤及周圍黏膜有無充血、糜爛或水皰等,並注意有無皮膚病損同時存在。
4.必要時可做活檢,注意與紅斑的鑑別,對長期充血糜爛不愈的病損應嚴密觀察有無癌變。
臨床表現
1.特徵皮損為紫紅色多角形扁平丘疹,邊緣清楚,堅韌乾燥,表面光滑有蠟樣光澤,放大鏡下見灰白色斑點或網狀白色條紋-WickhAm紋;
2.好發於四肢屈側、國窩、踝部及脛前,也可泛發全身;
3.可有甲、黏膜損害;甲特徵性損害為甲帑肉樣改變;
4.自覺劇癢,病程慢性;
5.本病可有許多不同的臨床特殊類型,如色素性扁平苔蘚、肥厚扁平苔蘚、皰性扁平苔蘚、光化性扁平苔蘚、毛囊性扁平苔蘚、掌蹠扁平苔蘚等。
病理
病因不明,與精神因素、內分泌因素、免疫因素、感染因素等有關。
1、精神因素OLP發病與失眠、情緒波動、更年期或經前期精神緊張有關,這些因素去除後,病情即可緩解。
2、內分泌因素臨床可見有的女性OLP患者在妊娠期間病情緩解,哺乳後月經恢復時,病損又復出現。
3、免疫因素OLP是一種口腔黏膜以T細胞介導的炎症病變,T淋巴細胞由局部微血管外滲,後移行至口腔上皮,聚集在OLP病損內。用皮質類固醇及氯喹等免疫抑制劑有效,證明本病與免疫有關。
4、感染因素通過病理切片及電子顯微鏡檢查,發現病損內有可疑的病毒與細菌。
5、微循環障礙因素據國內多項調查提示,高黏血症及微循環障礙與扁平苔蘚的發生有關。
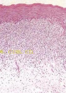
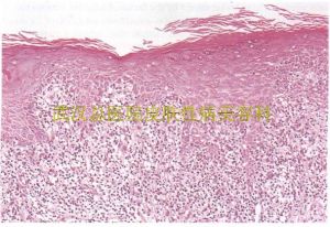
6、組織病理具有特徵性。表皮角化過度,顆粒層呈據灶性楔形增厚,棘細胞不規則增厚,表皮突呈鋸齒狀,基底細胞液化變性,真皮上部淋巴細胞呈帶狀浸潤,真皮乳頭層可見膠樣小體及嗜黑素細胞黑素細胞是一種動物細胞,帶有黑色素或其他類似的色素,通常位於皮膚的表層與眼鏡的葡萄膜中,恆溫動物的黑色素細胞又稱為黑素細胞。黑色素細胞的代謝若是受到破壞或抑制就會產生一些疾病,如遺傳疾病白化症與一種稱為黑色素細胞瘤的癌症。此外皮膚毛髮眼睛的顏色以及黑痣雀斑等皮膚上的斑點都與黑素細胞有關。
診斷要點
扁平苔蘚一、 起因雖還不甚清楚,但經研究發現,誘發扁平苔蘚的因素有全身因素:主要是精神壓力或抑鬱、失眠、憂慮等;系統性疾病如C型肝炎、胃或十二指腸潰瘍等的影響;免疫功能低下以及遺傳因素,均易誘發本病。局部因素如牙結石、殘冠、殘根的慢性刺激以及細菌、病毒感染也可導致扁平苔蘚。
二、多發於青壯年男女,常慢性經過。
三、皮疹多為三角形或多角形扁平丘疹群集,正常膚色或紫紅色,表面蠟樣光澤,排列成帶狀或環狀,有不同程度瘙癢。皮疹可發於任何部位皮膚,但以四肢尤以腕部屈側為多。
四、少數皮疹中央有角質栓,去除之可見似臍窩的中心凹陷。
五、少數病人可累及口腔或外陰黏膜,出現樹枝狀或網狀的白色細紋。
治療原則
扁平苔蘚糜爛性口腔損害和廣泛性,嚴重性瘙癢皮損常需用全身皮質類固醇激素治療(開始時口服強的松每晨40~60mg,每周約遞減1/3量)。然而,停藥後瘙癢又會復發,可試用小劑量皮質類固醇激素隔日晨服,如病人仍有瘙癢,可套用PU-VA治療。
其他可以用於治療嚴重病例獲得成功的全身療法包括維甲酸:依曲替酯和異維甲酸,環孢菌素,環磷醯胺以及PUVA等。口腔糜爛扁平苔蘚可以口服氨苯碸或環孢菌素含漱。本病傾向於自限性,但數年後又可復發。
編輯本段
治療方案
1、應詳細詢問病史,調理全身情況。
2、局部套用腎上腺皮質激素軟膏、凝膠和油膏,以及選用藥膜、含片、氣霧劑。也可選用10-25mg潑尼松龍、5-10mg曲安西龍、曲安奈德等加入2%普魯卡因等量作病損區基底部注射,7-10天1次。
3、昆明山海棠,每次0.5k,每天3次,可較長期服用;雷公藤多甙片0.5-1mg/(kg?d)。
4、刮治牙面結石,用棉簽洗拭代替刷牙,以避免刷毛刺傷損害區黏膜。
5、用氯喹每次125mg,每天2次,注意血象變化。可選用左鏇咪唑、轉移因子、聚肌胞、多抗甲素等
6、用氯已定漱口液或制黴菌素含漱液,局部還可用制黴菌毒藥膜或糊劑。
7、中醫中藥治療。中醫免疫平衡療法是經過多年的辯證、實驗研製而成的,是根據扁平苔蘚的臨床表現來採取對症治療的,三重免疫綠色療法也不錯。
治療措施
扁平苔蘚1.圍繞病史、臨床與實驗室檢查結果,針對有關因素予以治療:凡損害無糜爛且範圍局限時,可酌給2%~4%碳酸氫鈉溶液與0.2%洗必泰溶液交替含漱,每日數次。每月複查1次,著重對危險區域的檢查。
2.去除機械性刺激因子,刮除磨牙頰面的牙石。為避免牙刷毛刺傷損害區黏膜,最好用棉簽洗拭代替刷牙。
3.發生局部糜爛時可撒敷複方類固醇粉,每日數次。症狀明顯時可局部注射確炎舒松,每周2次,與(或)加用抗生素;唇紅部可塗膚輕鬆,但有痂皮時應先濕敷治療,待痂皮脫落再塗一薄層,每日數次。
4.腎上腺皮質類固醇全身套用應當慎重,效果並不理想,可試用小劑量與短程的方案,如強的松每日15mg,3次分服,約1~2周,服藥期間應作大便隱血與血壓檢查。
用腎上腺皮質類固醇局部注射的效果比全身套用更為有效。也可用昆明山海棠或雷公藤片口服。
昆明山海棠與雷公藤同屬衛矛科雷公藤科植物,適用於紅斑狼瘡等結締組織與自身免疫性疾病。前者能抑制遲髮型變態反應,降低毛細血管滲透性,減輕水腫,對炎症增生有較強的抑制作用。較大劑量可抑制特異抗體生成,副反應輕微,偶有噁心,腹脹、皮疹、白細胞減少,血小板減少等症狀。但雷公藤是劇毒製劑,主要是對心臟的影響,禁用於未婚或已婚未育男性患者與孕婦。
劑量一般為:昆明山海棠每日3次,每次2片,雷公藤每日2次,每次3~4片。
5.局部可用抗黴菌治療,對病情好轉有一定幫助。
6.口服維生素A或維生素A酸
口服維生素A,每日5萬U,或維甲酸35~50mg/d,初服時可能發生頭痛、頭暈,可酌減劑量,通常在幾天后即可適應。從第2~3周起,逐漸增加至每日30~60mg,3次分服,療程約1~2個月。常見的副反應有口唇乾燥、脫髮等。冠心病、肝腎功能異常與高血脂者忌用。
0.2%維甲酸溶液適用於局部塗布,但不適用於伴有充血、糜爛的損害。塗布時先拭乾唾液,以最細毛筆蘸少量溶液沿白色區域塗布,慎勿塗在唇紅黏膜。軟膏製劑因不能粘附於潤滑的口腔內側黏膜故不適用。新型製劑isotretinoin與arotinoid的作用基本上與維生素A酸相同,主要優點是劑量小(每日每公斤0.5mg)、毒性低、副反應少(唇紅乾燥、脫髮),但有致畸作用。
治療要點
一、找出可疑病因並去除之。
二、外用藥如皮質激素類或維甲酸軟膏。
三、內用藥可選用抗 過敏 藥,抗生素和皮質激素類藥物,必要時可用免疫抑制劑,乾攏素、維甲酸等藥物。
四、皮疹較小者可用冷凍雷射或手術切除療法等。
併發症
(1)神經系統症狀:由神經系統症狀者占20%~50%。表現為自主神經系統功能紊亂,精神緊張,失眠多夢,健忘等。從病史中多見精神創傷引起發病或使病情加重的病例。
(2)消化系統症狀:有消化系統症狀的病人占10%~30%。表現為消化功能紊亂,或伴有肝、腎及十二指腸潰瘍等疾病。
(3)高血壓:有高血壓的病人占5%~10%,國外有人認為口腔扁平苔蘚與高血壓關係密切。
(4)糖尿病:國外學者反響口腔扁平苔蘚病人中13%同時患有糖尿病。我國資料顯示患糖尿病的不超過5%,但臨床上往往見到當血糖及尿糖增多時口腔或皮膚的病情加重。反之,當血糖得到控制後口腔及皮膚的損害多會減輕或癒合。
(5)其他全身疾病:如心臟病、關節炎、泌尿系統疾病、女性月經不調、過敏、貧血等均有伴發,各在5%~10%。總之口腔扁平苔蘚病人不伴發全身疾病僅在少數,低於10%。國內學者報導65例口腔扁平苔蘚病人中有全身系統病163項,平均每人2~7種,少者1人1種,多的1人有9種全身病。只有5例無全身系統疾病。
(6)化驗檢查:一般化驗如學常規、血沉等均在正常範圍內。部分病人血清中免疫球蛋白IgG、IgM呈升高趨勢。用間接免疫螢光法檢查血清中的抗核抗體有小部分病人呈陽性反應。用直接法檢查活體組織可見部分病人呈炎性螢光反應。由上可知,口腔扁平苔蘚可能伴有身體其他系統的疾病,有些可能是口腔扁平苔蘚的根本原因。明確其伴隨疾病有助於口腔扁平苔蘚的全身對因治療。
