病因
結核性胸膜炎少數病人由乾性胸膜炎進展為滲出性胸膜炎,胸膜炎症早期先有胸膜充血、水腫和白細胞浸潤占優勢,隨後淋巴細胞轉為多數,胸膜內皮細胞脫落,其表面有纖維蛋白滲出,繼而槳液滲出,形成胸腔積液,胸膜常有結核性結節形成。
結核性胸腔積液的發病機制目前尚無定論,主要有兩種觀點:
1、是遲髮型超敏反應學說。認為胸腔積液的產生主要與已致敏的機體再次感染結核菌或其代謝產物從而引發遲髮型超敏反應有關,參與超敏反應的主要細胞CD4+Th1細胞聚集於已致敏的胸膜內,釋放炎性介質引起組織損傷,胸膜毛細血管通透性增加,促進血管中白細胞、蛋白及液體大量滲入胸膜腔;胸液中蛋白的增加,進一步促進胸腔積液增多。
2、是結核菌直接感染胸膜組織導致胸膜炎,進而引起胸腔積液的理論。
分類
結核性胸膜炎可發生於胸膜腔的任何部分。其症狀輕重不一,有些病人很少或完全沒有症狀,而且可以自愈。有的人起病較急,有畏寒,輕度或中度低燒,但主要症狀是局限性針刺樣胸痛。胸痛系因壁層和髒層胸膜互相貼近摩擦所致,故胸痛多位於胸廓呼吸運動幅度最大的腋前線或腋後線下方,深呼吸和咳嗽時胸痛更甚。如病變發生於肺尖胸膜,胸痛可沿臂叢放射,使手疼痛和知覺障礙,如在膈肌中心部,疼痛可放射到同側肩部;病變在膈肌周邊部,疼痛可放射至上腹部和心窩部。由於胸痛病人多不敢深吸氣,故呼吸急促而表淺,當刺激迷走神經時可引起頑固性咳嗽。查體可見呼吸運動受限,局部有壓痛,呼吸音減低,觸到或聽到胸膜摩擦音,此音不論呼氣或吸氣時均可聽到而咳嗽後不變為其特點。此時, 胸膜摩擦音為重要體徵。
2、結核性滲出性胸膜炎:
病變多為單側,胸膜腔內有數量不等的滲出液,一般為漿液性,偶見血性或化膿性。
按其發生部位可分為:肋胸膜炎(又稱典型胸膜炎)包裹性胸膜炎,葉間胸膜炎,縱膈胸膜炎,膈胸膜炎,肺尖胸膜炎。
典型滲出性胸膜炎起病多較急,有中度或高度發燒、乏力、盜汗等結核中毒症狀,發病初期有胸痛,多為刺激性劇痛,隨胸液出現和增多,因阻礙壁層和髒層胸膜的互相摩擦,胸痛反而減輕或消失。但可出現不同程度的氣短和呼吸困難。
病初多有刺激性咳嗽,痰量通常較少,轉移體位因胸液刺激胸膜可引起反射性乾咳。體徵隨胸液多少而異,少量胸液可無明顯體徵。積液吸收後,往往遺留胸膜粘連或增厚。
併發症
1、滲出性胸膜炎治療不及時或治療不當,會很快發展為包裹性積液。
2、單純性結核性胸膜炎治療不當或未完成規定的療程,5年內約2/3的患者發生其他部位結核或重癥結核,如播散性結核,肺結核、胸壁結核等。
3、肺內空洞及乾酪樣病變靠近胸膜部位破潰時,可引起結核性膿氣胸。
4、滲出性胸膜炎的胸水,如未及時治療,亦可逐漸乾酪化甚至變為膿性,成為結核性膿胸。
5、一側胸膜肥厚形成纖維板束縛肺功能可並發對側肺氣腫,亦可導致慢性肺源性心臟病,甚至心肺功能衰竭。
臨床表現
結核性胸膜炎乾性胸膜炎患側呼吸運動受限,局部有壓痛,可觸及胸膜摩擦感,聽診有胸膜摩擦音。滲出性胸膜炎胸腔積液較多時,患側胸廓飽滿,肋間隙增寬,呼吸動度、語顫減弱,氣管和心臟向健側移位,液平面以下扣診濁音,呼吸音減弱或消失,液平面上方可有支氣管肺泡呼吸音,偶有小水泡音。右側胸腔積液時肝濁音界消失。如有胸膜粘連肥厚局部胸廓下陷,呼吸運動受限扣診濁音,呼吸音減弱。
檢查診斷
結核性胸膜炎1、病史、症狀:起病似感冒,伴發熱、咳嗽、胸痛,積液較多時有呼吸困難及氣短,有的有盜汗、乏力、食慾減退等症狀。
2、體檢發現:乾性胸膜炎患側呼吸運動受限,局部有壓痛,可觸及胸膜摩擦感,聽診有胸膜摩擦音。滲出性胸膜炎胸腔積液較多時,患側胸廓飽滿,肋間隙增寬,呼吸動度、語顫減弱,氣管和心臟向健側移位,液平面以下扣診濁音,呼吸音減弱或消失,液平面上方可有支氣管肺泡呼吸音,偶有小水泡音。右側胸腔積液時肝濁音界消失。如有胸膜粘連肥厚局部胸廓下陷,呼吸運動受限扣診濁音,呼吸音減弱。
輔助檢查:
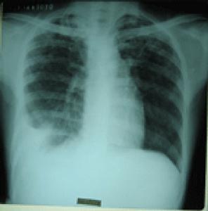
(1)X線胸片:乾性胸膜炎患側僅肋膈角變頓,滲出性胸膜炎中等量以上積液可見大片均勻緻密影,其上緣呈從外上向內下的弧形,肋膈角消失,膈影及心影不清。大量積液時縱膈向健側移位,肋間隙變寬,膈肌下降。
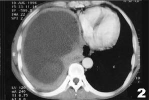
(2)超音波檢查:可了解胸水數量,確定胸腔穿刺部位,鑑別胸腔積液與胸膜肥厚。
(3)其他檢查:血白細胞計數和中性粒細胞可增高,血沉多增快。胸液檢查多為草黃色滲出液,少數可為血性積液。
鑑別診斷
結核性胸膜炎2、滲出性胸液要與以下疾病鑑別:
(1)感染性疾病所致胸水:包括細菌、病毒、支原體、真菌、寄生蟲等引起胸腔積液。
(2)腫瘤性:如支所氣管肺癌、惡性腫瘤胸膜轉移及胸膜間皮瘤等。
(3)結締組織性疾病:如系統性紅斑狼瘡、類風濕性胸膜炎等。
(4)其它原因致胸液、如美格氏綜合症、乳摩胸、布卡氏綜合徵等。
治療措施
強地松1、原則是治療和預防後發的肺結核,消除症狀防止胸膜粘連,抗癆治療可按初染結核方案如INH0.3/d、RFP0.45/d、EMB0.253次/d或PZA0.53次/d。
2、中等量以上胸腔積液每周抽胸液2~3次,每次600~1000ml但抽液速度不宜過快,防止復張性肺水腫的發生。
3、中毒症狀嚴重、胸水滲出過快者可加用強地松20~30mg/d,胸水減少症狀減輕後每周減少2.5~5.0mg。
治癒標準:
1、治癒:症狀、異常體徵消失,血沉正常,X線檢查胸腔積液完全吸收。
2、好轉:症狀、異常體徵基本消失,血沉正常或接近正常,X線檢查胸腔積液明顯吸收或僅有少量積液。
3、未愈:症狀、體徵及X線檢查無改變或加重。
飲食注意
1、飲食要富於營養,宜吃高蛋白、高維生素飲食,要多食含維生素多的蔬菜和水果。富含蛋白質的食物有:動物類食品,如雞、鴨、鵝肉,瘦豬牛羊肉;植物類食品,如麵粉、豆類食物及大豆製品,食用時要煮熟煮爛,切忌生硬不易消化,不利於人體吸收。
2、忌食辛辣。
3、有菸酒嗜好者應堅決戒除。
4、儘量少吃或不吃海鮮,因為抗癆藥有增高血尿酸的副作用,而海鮮會加劇血尿酸增高作用。
5、每日按時、按量服用抗結核藥物,7-14天左右複查血常規、肝腎功能。
6、注意休息,加強營養,調節免疫,避免受涼;
7、抗結核治療要規範,在醫生指導下治療用藥要足量、足療程,不能過早停藥,一般療程應在9-12個月左右,以免發生遠期肺內和肺外結核,或在機體的抵抗力下降時有引起復發的可能。
疾病護理
1、避風寒、慎起居、怡情志、戒菸酒、不恣食生冷。
2、有發熱時,要給予退熱治療。觀察胸痛與咳嗽、呼吸的關係。若咳嗽、呼吸時胸痛加劇,則避免過多側轉翻身,增加痛苦。大量積液,呼吸困難者,取半臥位,酌情給氧。
3、有胸腔積液要及時抽液,抽液後要注意觀察呼吸、心率。
4、生活起居要有規律,根據病情最好能全休息2-3個月,再適當安排工作。注意不要過於疲勞。平時應保持精神舒暢,心情愉快,適當的身體鍛鍊。
5、飲食宜清淡而富有營養,積液量過多時,以素半流飲食為宜。積液減少時,宜逐漸增加牛奶、雞蛋、瘦肉等營養食品。
6、病趨好轉,可逐漸增加活動量,但不可過勞。
預防
1、在預防上首先要切斷傳染途徑,儘量減少與結核病患者的接觸。
2、生活起居要有規律,適當安排工作與休息,不要過於疲勞。
3、飲食要富於營養,忌食辛辣、動火生痰之品,有菸酒嗜好者應堅決戒除。
4、平時應保持精神舒暢,心情愉快,參加一些自己喜歡的文娛活動。

