臨床表現
慢性肺源性心臟病功能代償期
患者都有慢性咳嗽、咳痰或哮喘史,逐步出現乏力、呼吸困難。體檢示明顯肺氣腫表現,包括桶狀胸、肺部叩診呈過度清音、肝濁音上界下降、心濁音界縮小,甚至消失。聽診呼吸音低,可有乾濕羅音,心音輕,有時只能在劍突下處聽到。肺動脈區第二音亢進,上腹部劍突?有明顯心臟搏動,是病變累及心臟的主要表現。頸靜脈可有輕度怒張,但靜脈壓並不明顯增高。功能失代償期
肺組織損害嚴重引起缺氧,二氧化碳瀦留,可導致呼吸和(或)心力衰竭。
1.呼吸衰竭 缺氧早期主要表現為紫紺、心悸和胸悶等,病變進一步發展時發生低氧血症和高碳酸血症,可出現各種精神神經障礙症狀,稱為肺性腦病。表現為頭痛、頭脹、煩躁不安、語言障礙,並有幻覺、精神錯亂、抽搐或震顫等。動脈血氧分壓低於3.3kPa(25mmHg)時,動脈血二氧化碳分壓超過9.3kPa(70mmHg)時,中樞神經系統症狀更明顯,出現神志淡漠、嗜睡,從而昏迷以至死亡。
2.心力衰竭 多發生在急性呼吸道感染後,因此常合併有呼吸衰竭,患者出現氣喘、心悸、少尿、紫紺加重,上腹脹痛、食欲不振、噁心甚至嘔吐等右心衰竭症狀。體檢示頸靜脈怒張、心率增快、心前區可聞奔馬律或有相對性三尖瓣關閉不全引起的收縮期雜音,雜音可隨病情好轉而消失。可出現各種心律失常,特別是房性心律失常,肝腫大伴壓痛,肝頸反液壓征陽性,水腫和腹水,病情嚴重者可發生休克。
此外,由於肺心病是以心、肺病變為基礎的多臟器受損害的疾病,因此在重症患者中,可有腎功能不全、彌散性血管內凝血、腎上腺皮質功能減退所致面頰色素沉著等表現。
診斷依據
慢性支氣管炎1.有慢性支氣管炎、肺氣腫及其他引起肺的結構或功能損害而導致肺動脈高壓、右心肥大的疾病。
2.有慢性咳嗽、咯痰症狀及肺氣腫體徵,劍突下有增強的收縮期搏動和(或)三尖瓣區心音明顯增強或出現收縮期雜音,肺動脈瓣區第二心音明顯亢進(心肺功能代償期)。在急性呼吸道感染或較劇烈活動後出現心悸、氣短及紫紺等症狀及右心功能不全的表現(心肺功能失代償期)。
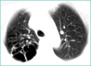
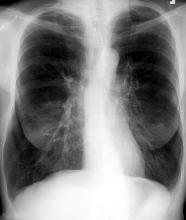
3.胸部X線診斷
(1)右下肺動脈乾擴張:橫徑>=1.5cm。經動態觀察後動脈乾橫徑增寬達2mm以上。
(2)肺動脈段凸出,高度>=3mm。
(3)中心肺動脈擴張與外周分支纖細兩者形成鮮明對比,呈“殘根狀”。
(4)右前斜位圓錐部凸出高度>=7mm。
(5)右心室增大(結合不同體位判斷)。具有(1)至(4)項中兩項以上或(5)1項者可診斷。
4.心電圖檢查
(1)主要條件:額面平均電軸>=+90°;重度順鐘向轉位V5R/S=1;aVRR/S或R/Q>=1(陽性率較低);V1-V3呈現QS、Qr、qr(須除外心肌梗塞);RV1+SV5〉1.05mv;肺型P波:P波電壓>=0.22mv;或電壓>=0.2mv,呈尖峰型;或低電壓時P波電壓〉1/2R波呈尖峰型;P電軸>=+80°。
(2)次要條件:肢體導聯普遍低電壓;完全或不完全性右束支傳導阻滯。具有1項主要條件即可診斷,兩項次要條件者為可疑。
超聲心電圖5.超聲心電圖檢查
(1)主要條件右心室流出道內徑>=30mm。右心室內徑>=20mm。右心室前壁的厚度>=5.0mm,或者前壁搏動幅度增強者。左/右心室內徑比值〈2。右肺動脈內徑>=18mm,或肺動脈乾>=20mm。右心室流出道/左心房內徑比值〉1.4。肺動脈瓣曲線出現肺動脈高壓徵象者(a波低平或〈2mm,有收縮中期關閉征等)。
(2)參考條件室間隔厚度>=12mm,搏幅〈5mm或呈矛盾運動徵象者。右心房增大>=25mm(劍突下區)。三尖瓣前葉曲線DE、EF速度增快,E峰呈尖高型,或有AC間期延長者。二尖瓣前葉曲線幅度低,CE〈18mm,CD段上升緩慢,延長;呈水平位元或有EF下降速度減慢,〈90mm/秒。凡有胸肺慢性疾病的患者,具有上述二項條件者(其中必具一項主要條件)均可診斷肺心病。
6.右心導管檢查有條件時可作漂浮導管檢查,靜息狀態下肺動脈收縮壓〉4kPa(30mmHg),平均壓〉2.6kPa(20mmHg)作為早期肺心病診斷依據;平均肺動脈壓〉4kPa(30mmHg)則應考慮肺動脈高壓伴右心室肥厚。
7.心電向量圖檢查顯示右心室及右心房增大圖形。
8.放射性核素檢查:用99mTc-MAA做肺灌注檢查,出現肺上部血流增加,下部減少,示肺動脈高壓存在。
9.肺功能檢查:顯示通氣和換氣功能障礙。
10.動脈血氣測定:絕大多數晚期肺心病患者低氧血症與高碳酸血症同時存在。
11.化驗檢查:紅細胞計數和血紅蛋白含量可增高;白細胞計數及中性粒細胞在感染時增高;痰培養可見病原菌;血沉一般偏慢;谷丙轉氨酶和血漿尿素氮、血及尿的β2-微球蛋白(β2-M)、血漿腎素活性(PRA)、血漿血管緊張素(PATⅡ)等含量增高。
12.其他檢查:肺阻抗血流圖檢查、血液流變學檢查、甲皺微循環檢查等亦有助於診斷。
治療措施
肺氣腫緩解期治療
是防止肺心病發展的關鍵。可採用①冷水擦身和膈式呼吸及縮唇呼氣以改善肺臟通氣等耐寒及康復鍛鍊。②鎮咳、祛痰、平喘和抗感染等對症治療。③提高機體免疫力藥物如核酸酪素注射液(或過期麻疹減毒疫苗)皮下或肌肉注射和(或)霧化吸入,每次2~4ml,每周二次,或核酸酪素口服液10ml/支,3次/d,3~6月為一療程。氣管炎菌苗皮下注射、免疫核糖核酸、胎盤脂多糖肌肉注射、人參、轉移因子、左鏇咪唑口服等。④中醫中藥治療,中醫認為本病主要證候為肺氣虛,其主要表現為肺功能不全。治療上宜扶正固本、活血化瘀,以提高機體抵抗力,改善肺循環情況。可選用黨參、黃芪、沙參、麥冬、丹參、紅花等。對緩解期中患者進行康復治療及開展家庭病床工作能明顯降低急性期的發作。急性期治療
1.控制呼吸道感染,呼吸道感染是發生呼吸衰竭和心力衰竭的常見誘因,故需積極套用藥物予以控制。目前主張聯合用藥。宜根據痰培養和致病菌對藥物敏感的測定結果選用,但不要受痰菌藥物試驗的約束。未能明確何種致病菌時,可選用青黴素160萬~600萬u/d,肌肉注射或慶大黴素12萬~24萬u/d,分次肌肉注射或靜脈滴注。一般需觀察2~3天,如果效果不明顯可考慮改用其他種類抗菌藥物,如氨苄青黴素2~6g/d,羧苄青黴素4~10g/d、林可黴素1.2~2.4g/d等肌肉或靜脈滴注或羧胺苄青黴素2~4g/d,分次口服。頭孢噻吩、頭孢羧唑、頭孢哌酮2~4g/d,分次肌內注射或頭
慢性肺源性心臟病2.改善呼吸功能,搶救呼吸衰竭 採取綜合措施,包括緩解支氣管痙攣、清除痰液、暢通呼吸道,持續低濃度(24%~35%)給氧,套用呼吸興奮劑等。必要時施行氣管切開、氣管插管和機械呼吸器治療等。晚近有用肝素25~100mg或肝素50mg、654-210mg加於葡萄糖溶液中每日靜脈滴注,共7~10天,以降低痰及血液粘滯性,解除支氣管痙攣,抗過敏,但同時需測凝血酶原時間以免導致出血。
心力衰竭⑴利尿劑的套用除個別情況下需用強力快速作用製劑外,一般以間歇、小量交替使用緩慢製劑為妥。除能減少鈉、水瀦留外,並使血氣低含量異常可取得改善。但使用時應注意到可引起血液濃縮,使痰液粘稠,加重氣道阻塞;電解質紊亂尤其是低鉀、低氯、低鎂和鹼中毒,誘致難治性浮腫和心律失常。因此,套用雙氫氯噻嗪、丁苯氧酸、速尿等排鉀藥物時,應補充氯化鉀或加用保鉀利尿劑如氨苯喋啶或安體舒通等。
⑵在呼吸功能未改善前,洋地黃類藥物療效差,使用時劑量宜小,否則極易發生毒性反應,出現心律失常。最好採用作用快、排泄快的製劑如毛花丙甙(西地蘭)或毒毛鏇花子甙K。口服洋地黃類的劑量,通常採用每天口服地高辛0.25mg一次給藥法。套用小劑量地高辛後,心力衰竭未能滿意控制時,可加用卡托普利25~75mg/d,分次服用。要注意血壓、中性白細胞降低和蛋白尿等副作用。
⑶血管擴張劑如酚妥拉明是α-腎上腺素能受體阻滯劑,可用10~20mg加入5%葡萄糖液250~500ml中,或再加入肝素50mg緩慢靜脈滴注1次/d。此外如消普鈉、消心痛、多巴胺和多巴酚丁胺等藥物均有一定療效。
4.控制心律失常 除常規處理外,需注意治療病因,包括控制感染、糾正缺氧、糾正酸鹼和電解質平衡失調等。病因消除後心律失常往往會自行消失。此外,套用抗心律失常藥物時還要注意避免套用心得安等β腎上腺素能受體阻滯劑,以免引起支氣管痙攣。
5.套用腎上腺皮質激素 在有效控制感染的情況下,短期大劑量套用腎上腺皮質激素,對搶救早期呼吸衰竭和心力衰竭有一定作用。通常用氫化考的松100~300mg或地塞米松10~20mg加於5%葡萄糖溶液500ml中靜脈滴注,每日一次,後者亦可靜脈注射,病情好轉後2~3天停用。如胃腸道出血,腎上腺皮質激素的使用應十分慎重。
6.併發症的處理 併發症如酸鹼平衡失調和電解質紊亂、消化道出血、休克、彌散性血管內凝血等的治療。
4S清肺平喘療法治療
4S清肺平喘療法由軍事醫學科學研究院、國際科學研究院等多位專家歷經30多年聯合研發形成的一套全方位、多立體的綜合治療體系。療法包括清肺淨肺、PI活肺治療、植物神經綜合平衡和軍科細胞免疫技術四大步驟,其中軍科細胞免疫技術是多位專家在2008年諾貝爾醫學獎DC細胞技術基礎上獨創的治療手段,它直擊哮喘病的發病根源——炎症細胞,利用特定的靶向免疫激活技術抑制和清除哮喘發病根源,真真正正防止哮喘反覆發作。用藥原則
紅黴素1.輕度或中度感染病例可以口服複方新諾明片或紅黴素、氟呱酸等,也可肌注青黴素加慶大黴素及其他輔助藥治療。
2.重度感染病例使用抗生素應以早期足量、聯合、靜脈給藥為主輔以局部霧化吸入,並要採取綜合措施改善呼吸功能,包括緩解支氣管痙攣,清除痰液,持續低濃度給氧,套用呼吸興奮劑等。在有效控制感染後短期套用腎上腺皮質激素,對搶救早期呼吸衰竭和心力衰竭有一定作用。
3.輕度心力衰竭給予吸氧、改善呼吸功能、控制呼吸道感染後可好轉。
4.重度心力衰竭者可加用利尿劑,慎用強心劑。套用雙氫克尿塞、速尿等排鉀利尿劑時,可並用保鉀利尿劑如氨苯喋啶或安體舒通。使用血管擴張劑可以減輕心臟前、後負荷,降低肺動脈壓,如酚妥拉明、硝普鈉、心痛定、巰甲丙脯酸等。
慢性肺源性心臟病5.控制心律失常可用心律平。應注意避免套用心得安等β腎上腺素能受體阻滯劑,以免引起支氣管痙攣。
6.套用降低血粘度的藥物,如藻酸雙脂鈉(PSS)、肝素、川芎秦等對肺心病防治有一定療效。
7.治療併發症如酸鹼平衡失調和電解質紊亂、消化道出血、休克等。加強營養支持療法,如複方胺基酸、補血康、白蛋白等,提高機體抵抗力。
併發症
慢性肺源性心臟病常見有心力衰竭肺部感染呼吸衰竭肺性腦病及心律失常休克瀰漫性血管內凝血上消化道出血多器官功能障礙等併發症。
心力衰竭
慢性肺源性心臟病是慢性肺源性心臟病心功能失代償的主要臨床表現之一以右心衰為主其誘因絕大多數為急性呼吸道感染住院患者中慢性肺心病心力衰竭的發生率為25%~70%。
肺部感染
是慢性肺心病患者的常見併發症之一四季均可發生以冬春季節最多是慢性肺心病急性加重和致死的常見原因之一其中肺炎鏈球菌流感桿菌感染是慢性肺心病急性發作的主要病原體。
呼吸衰竭
是指由於多種疾病引起的肺通氣和(或)通氣功能障礙導致的缺氧和二氧化碳瀦留從而產生一系列的病理生理改變和臨床表現的綜合症可出現缺氧和二氧化碳瀦留引起高碳酸血症和低氧血症的表現。
肺性腦病
是呼吸衰竭發展到嚴重階段發生嚴重二氧化碳瀦留和缺氧所引起的以中樞神經系統功能障礙為主要表現的一種臨床綜合徵包括高碳酸血症和低氧血症及過度通氣所致的腦部症狀等在慢性肺心病呼吸衰竭患者中肺性腦病發生率為20%病死率高達46% 。
心律失常
慢性肺心病患者合併心律失常較常見其發生率約為17.2%~36.8%可有房性期前收縮室性期前收縮竇性心動過速心房顫動房室傳導阻滯等。
休克
肺心病發生休克者不多約占7.4%但一旦發生預後兇險病死率達72%。
彌散性血管內凝血
常在酸中毒低氧血症及並發細菌性感染時細菌毒素的作用引起毛細血管內皮受損和組織損傷。
上消化道出血
肺心病並發上消化道出血約占5.7%左右病死率高達92% 。
多器官功能障礙綜合徵
在肺心病的急性發作期由於肺部感染等因素導致呼吸功能不全或心功能不全可同時或相繼發生腦腎肝胃腸等多器官功能不全易產生多器官功能衰竭在肺心病患者中多器官功能衰竭的發病率為30%~50%此時病情多危重變化快其病死率約達50%以上是慢性肺心病的主要死亡原因。
輔助檢查
痰細菌血液檢查
紅細胞計數和血紅蛋白常增高,紅細胞壓積正常或偏高,全血粘度、血漿粘度和血小板聚集率常增高,紅細胞電泳時間延長,血沉一般偏快;動脈血氧飽和度常低於正常,二氧化碳分壓高於正常,呼吸衰竭時更為顯著。在心力衰竭期,可有丙氨酸氨基轉移酶和血漿尿素氮、肌酐、血及尿β2微球蛋白質β2-M)、血漿腎素活性(PRA)、血漿血管緊張素Ⅱ等含量增高等肝腎功能受損表現。合併呼吸道感染時,可有白細胞計數增高。在呼吸衰竭不同階段可出現高鉀、低鈉、低鉀或低氯、低鈣、低鎂等變化。痰細菌培養
以甲型鏈球菌、流感桿菌、肺炎球菌、葡萄球菌、奈瑟球菌,草綠色鏈球菌等多見,近年來革蘭陰性桿菌增多,如綠膿桿菌、大腸桿菌等。X線檢查
①肺部變化:隨病因而異,肺氣腫最常見。②肺動脈高壓表現:肺動脈總乾弧突出,肺門部肺動脈擴大延長及肺動脈第一分支。一般認為右肺動脈第一下分支橫徑≥15mm,或右下肺動脈橫徑與氣管橫徑比值≥0.17,或動態觀察較原右肺下動脈乾增寬2mm以上,可認為有該支擴張。肺動脈高壓顯著時,中心肺動脈擴張,搏動增強而外周動脈驟然變細呈截斷或鼠尾狀。③心臟變化:心臟呈垂直位,故早期心臟都不見增大。右心室流出道增大時,表現為肺動脈圓錐部顯著凸出。此後右心室流入道也肥厚增大,心尖上翹。有時還可見右心房擴大。心力衰竭時可有全心擴大,但在心力衰竭控制後,心臟可恢復到原來大小。左心一般不大,偶見左心室增大。心電圖查
慢性肺源性心臟病檢查與治療右心室肥大及(或)右心房肥大是肺心病心電圖的特徵性改變。並有一定易變性急性發作期由於缺氧、酸中毒、鹼中毒、電解質紊亂等可引起ST段與T波改變和各種心律失常,當解除誘因,病情緩解後常可有所恢復及心律失常等消失,常見改變為:
1.P波變化 額向P波電軸右偏在+70°~+90°之間。Ⅱ、Ⅲ、aVF導聯中P波高尖,振幅可達0.22mV或以上、稱“肺型P波”。如P>0.25mV,則診斷肺心病的敏感性、特異性和準確性均增高。
2.QRS波群和T波變化 額面QRS波群平均電軸右偏≥+90°。有時電軸極度右偏呈SⅠ、SⅡ、SⅢ的電軸左偏假象。右側胸導聯出現高R波。V5呈深S波,顯著右心室肥大。有時在V3R、V1導聯可出現q波,或在V1?V5導聯都呈QS與rS波形。重度肺氣患者如心電圖從正常轉至出現不全性右束支傳導阻滯,往往表示有右心負荷過重,具有一定診斷價值。極少數患者有左心室肥大的心電圖改變,這可能由於合併高血壓、冠心病或支氣管動脈分支擴張有左到右分流,左室泵出比右室更多血流而肥厚所致。Ⅱ、Ⅲ、aVF導聯和右側胸導聯的T波可倒置。可出現各種心律失常。此外,肺心病常出現肢體導聯低電壓、順鐘向轉位等心電圖改變,這類表現也見於肺氣腫,因此不能作為診斷肺心病的心電圖改變。
專家提示
肺源性心臟病,絕大多數是慢性支氣管炎、支氣管哮喘並發肺氣腫的後果,因此積極防治這些疾病是避免肺心病發生的根本措施。應講究衛生和增強體質,提高全身抵抗力,減少感冒和各種呼吸道疾病的發生。對已發生肺心病的患者,應針對緩解期和急性期分別加以處理。本病易反覆發作,使病情日益加重,但肺心病病程中多數環節是可逆的,如能及時積極控制感染,改善心、肺功能,對病情的轉歸具有積極的意義。緩解期間宜採用中西醫結合的綜合措施進行防治,如鼓勵患者進行呼吸鍛鍊,耐寒鍛鍊,提倡戒菸等,防止或減少、減輕急性發作,延緩病情的進一步發展。近年提倡家庭長期氧療,能改善預後。
