病因
(一)發病原因
厭氧菌通常有4大類:
1.厭氧球菌 包括革蘭陽性消化鏈球菌(peptostreptococcus),消化球菌(peptococcus),厭氧性鏈球菌(anaerobic streptococcus)和革蘭陰性韋榮菌屬(veillonella),消化鏈球菌在肺胸膜感染中尤為常見。
2.革蘭陰性厭氧桿菌 革蘭陰性厭氧桿菌在肺部厭氧菌感染中很常見,類桿菌屬占第一位,其次是梭桿菌屬,偶有纖毛菌屬,類桿菌屬(bacteroides)中最常見的是脆弱類桿菌(B.fragilis),產黑色素類桿菌(B.melaninogenicus),口腔類桿菌(B.oralis),梭桿菌屬(fusobacterium)有核粒梭菌(F.nucleatum),壞死梭桿菌(F.necrophrus),多變梭桿菌(F.varium)和死亡梭桿菌(F.mortifemm)。
厭氧菌肺炎3.革蘭陽性無芽孢桿菌 包括丙酸桿菌屬(propionibacterium),真桿菌屬(eubacterium),乳桿菌屬(lactobacillus),放線菌屬(actinomyces)和雙歧桿菌屬(bifidobacterium),在肺部厭氧菌感染中常見的有真桿菌,丙酸桿菌,遲緩優桿菌。
4.梭狀芽孢桿菌 包括肉毒梭菌,產氣莢膜梭菌,破傷風桿菌等,極少引起肺部感染。
(二)發病機制
在正常情況下,寄居於人體內的正常厭氧菌對人體有益無害,而當機體防禦功能減弱時,寄居的正常菌群發生變化,厭氧菌離開原處轉移到通常非寄居的組織器官,導致內源性感染,人體組織內氧化還原電勢可阻止厭氧菌繁殖,在低免疫球蛋白血症,補體缺乏,中性粒細胞缺乏,細胞介導免疫缺陷等免疫損害時,宿主對厭氧菌感染的機會增多,因而推測皮膚黏膜的防禦屏障損傷是厭氧菌感染和發病的關鍵。
厭氧菌肺炎的主要發病環節包括:上呼吸道菌群改變,異常定植,各種誘因導致吸入,以後者最為重要,牙周疾病(牙齦炎和牙周炎)是厭氧菌寄居的通常來源,牙齦腔電勢為-300mV時,厭氧菌量可達1012CFU/g牙垢,牙周疾病改變內源性菌群,增加厭氧菌寄殖,意識障礙,酗酒,腦血管意外,顱腦外傷,吸毒,全身麻醉,癲癇發作,吞咽困難,食管疾病,精神異常等為誘發吸入的常見原因,支氣管狹窄,支氣管新生物或其他原因的支氣管阻塞,支氣管擴張,肺栓塞等肺部疾病亦易並發厭氧菌感染,感染性血栓性靜脈炎引起血源性栓塞致肺部厭氧菌感染,隔下膿腫,並引起同側膿胸偶有所見。
一些研究表明,脆弱類桿菌的莢膜多糖在肺膿腫形成過程中起著重要作用,產黑色素類桿菌亦具有類似脆弱類桿菌某些特徵,動物實驗發現免疫調節性T細胞淋巴因子可與厭氧菌抗原發生特異性作用並調節膿腫形成,厭氧菌產生的揮發性的短鏈脂肪酸與肺部厭氧菌感染惡臭痰形成可能相關,在酸性環境下,短鏈脂肪酸還抑制肺泡巨噬細胞和中性粒細胞的吞噬殺菌作用,這種作用無選擇性,其他細菌因此也得到保護,故厭氧菌常與需氧革蘭陰性桿菌和葡萄球菌等形成混合感染。
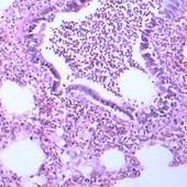
吸入性厭氧菌肺炎多呈葉段性分布,初期肺泡壁水腫和中性粒細胞等炎細胞浸潤,伴有肺間質炎症及輕中度單核細胞反應,其分布亦可沿細支氣管壁及其周圍組織,類似於支氣管肺炎的病理改變,一般經過7~16天炎症可發展為壞死性肺炎或肺膿腫,呈現多發性小空洞,大小1~1.5μm,壞死區有大量膿細胞或多核粒細胞浸潤及壞死肺組織,慢性肺膿腫一般壁較厚,多個或單個,較大,多位於肺胸膜下,破潰形成膿胸,肺部厭氧菌感染具有化膿性壞死,膿腫形成,並發膿胸(或支氣管胸膜瘺)的傾向性。
臨床表現
本病多見於50歲以上老年人和男性。單純性厭氧菌肺炎潛伏期為3~4.5天,肺膿腫或膿胸潛伏一般需2周。臨床表現差異甚大,可呈一般急性細菌性肺炎表現,患者通常有發熱,偶有寒戰,咳嗽,咳黃膿性惡臭痰,咯血,常伴有胸痛;也可以起病即呈亞急性、慢性經過或類似結核病的隱匿性感染。40%~60%肺膿腫或膿胸患者可有體重下降或貧血,其中慢性肺膿腫或膿胸幾乎都有消瘦、貧血,而在單純性厭氧菌肺炎則極少出現(5%),作為厭氧菌感染特徵的惡臭膿痰或胸液見於50%~70%的肺膿腫或膿胸,但單純厭氧菌肺炎僅有4%咳惡臭膿痰。
肺部體徵表現為實變或胸腔積液征。慢性肺膿腫常有杵狀指(趾)。
檢查
1.實驗室檢查
外周血細胞總數和中性粒細胞增高,其中以肺膿腫和膿胸升高尤為明顯,平均分別達1.5×109/L、2.2×109/L,單純肺炎者白細胞總數平均1.3×109/L,很少超過1.5×10/L。
2.其他輔助檢查
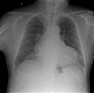
胸部X線攝片可見有沿肺段分布的均勻、濃密的實變影,多見於上葉後段、下葉背段。肺膿腫初形成時多呈圓形,內壁光滑。慢性肺膿腫時壁變厚、膿腔大小不一,小者直徑僅為1~1.5cm,大者可達13~15cm,膿腔形態不規則,大多伴有液平。血行感染常為雙側性,片狀、斑片實變影,下葉多見,可伴有膿胸或膿氣胸。
診斷
有誘發吸入的因素和(或)明確的口腔內容物吸入史,發熱,咳惡臭膿痰,胸部X線攝片顯示肺炎、肺膿腫改變,臨床診斷即可成立。但是,肺部厭氧菌感染可無明顯吸入誘因或吸入史;尚有30%~40%患者無咳惡臭膿痰;胸部X線攝片缺乏特異性;確診需要在儘量避免接觸空氣條件下採集無污染標本作厭氧菌培養。胸液、血液和套用防污染技術從下呼吸道採集分泌物是通常被推薦的有用標本,必要時可採用。經胸壁肺膿腫穿刺吸引物厭氧菌培養陽性率可達84.5%,而血培養陽性率僅為5%。外周血細胞總數和中性粒細胞增高,其中以肺膿腫和膿胸升高尤為明顯,平均分別達1.5×1010/L、2.2×1010/L,單純肺炎者白細胞總數平均1.3×1010/L,很少超過1.5×1010/L。
胸部X線攝片可見有沿肺段分布的均勻、濃密的實變影,多見於上葉後段、下葉背段。肺膿腫初形成時多呈圓形,內壁光滑。慢性肺膿腫時壁變厚、膿腔大小不一,小者直徑僅為1~1.5cm,大者可達13~15cm,膿腔形態不規則,大多伴有液平。血行感染常為雙側性,片狀、斑片實變影,下葉多見,可伴有膿胸或膿氣胸。
鑑別
厭氧菌肺部感染的臨床表現不具有鑑別意義的特徵,因此厭氧菌所致的肺炎,肺膿腫及膿胸要與其他細菌所致者相鑑別。
併發症
膿胸,支氣管胸膜瘺。神志模糊、煩躁、嗜睡、昏迷等。早期肺部體徵無明顯異常,重症者可有呼吸頻率加快,鼻翼煽動,發紺。肺實變時有典型的體徵,如叩診濁音、語顫增強和支氣管呼吸音等,也可聞及濕性羅音。並發胸腔積液者,患側肺部叩診濁音,語顫減弱,呼吸音減低。
治療
(一)治療
厭氧菌肺炎不同種屬厭氧菌對抗菌藥物的體外活性不同,而臨床上幾乎總是有效的抗厭氧菌藥物是甲硝唑(除外某些非產芽孢革蘭陽性球菌)、氯黴素、亞胺培南、β-內醯胺類/β-內醯胺酶抑制劑,而通常有效的主要有克林黴素、頭孢西丁、頭孢替坦、頭孢美唑、抗假單胞菌青黴素。目前,用於經驗性治療,青黴素仍被作為治療厭氧菌肺炎的首選藥物。採用大劑量600萬~1000萬U/d靜脈滴注。Levison就克林黴素與青黴素治療肺膿腫療效進行前瞻性研究,結果治療失敗人數、復發人數、平均發熱和咳膿臭痰的持續時間等方面,克林黴素均優於青黴素。因此,克林黴素亦可作為最初治療的首選藥物,特別是青黴素過敏或病原學確定為耐青黴素細菌感染時。甲硝唑(滅滴靈)對各種厭氧菌均有良好殺菌作用,MIC大多小0.2μg/ml。
甲硝唑0.4~0.6g, 3~4次/d,口服;或1.5g/d靜脈滴注,治療肺部厭氧菌感染效果良好。但在一組單用甲硝唑治療的28例患者中,12例(43%)治療失敗,故甲硝唑通常聯合其他藥物(青黴素、克林黴素)。頭黴素類和碳青黴烯類抗生素在重症患者可選用。抗菌治療療程在無併發症的厭氧菌肺炎為2~4周,壞死性肺炎或肺膿腫為6~12周。引流對於厭氧菌肺部感染出現化膿性併發症者十分重要。體位引流有助於痰液排出。纖維支氣管鏡有時亦被用於肺膿腫痰液吸引。內科保守治療無效或懷疑有腫瘤者為外科手術適應證,有10%~20%肺膿腫患者需手術治療。臨床中毒症狀明顯、外科手術危險性大或不能耐受者,可藉助介入放射學技術經皮膿腔穿刺引流。膿胸應作肋間切開引流,引流無效需行胸膜剝脫術。
(二)預後
肺部厭氧菌感染(包括膿胸經過合理引流),抗生素治療具有良好效果,病死率已從抗生素前年代的30%~60%,下降到目前的5%~12%。但值得注意的是存活者約有半數患者可出現支氣管擴張、反覆發作性肺炎或慢性膿胸後遺症。均與診斷治療延誤有關。
預防
厭氧菌肺炎預後:肺部厭氧菌感染(包括膿胸經過合理引流),抗生素治療具有良好效果,病死率已從抗生素前年代的30%~60%,下降到目前的5%~12%。但值得注意的是存活者約有半數患者可出現支氣管擴張、反覆發作性肺炎或慢性膿胸後遺症。均與診斷治療延誤有關。
預防:肺部厭氧菌感染,尤其吸入性肺炎,大多由誤吸所致。因此要儘量減少誤吸的危險性。當餵食虛弱、意識障礙和吞咽困難的患者時應特別小心,床頭適當抬高些。發現肉眼可見的誤吸時,應立即迅速體位引流或吸引清除氣道內的內容物,必要時用纖維支氣管鏡,去除大氣道的食物殘渣,以免阻塞支氣管。此外,保持口腔衛生和積極治療腹腔、盆腔內化膿性感染亦可減少肺部厭氧菌感染的發生。肺部厭氧菌感染的預後取決於患者的全身狀況、感染類型和治療是否及時。老年、全身衰竭、壞死性肺炎和支氣管阻塞均為預後不良的決定因素。在吸入性肺炎階段即開始治療的患者,3~4天即可顯示效果,7~10天退熱。治療7~10天后仍持續高熱,應行纖維支氣管鏡檢查明確原因和施行引流,如仍無效,則要考慮其他診斷和採用其他抗生素。如發生空洞性損害,常需數月才能吸收閉合。若空洞直徑大於6cm,空洞難以閉合,症狀亦常在治療8周后才能消失。如發生膿胸,即使在有效的引流下,亦需平均29天才能退熱。社會獲得吸入性肺炎,預後良好。一組報導因厭氧菌肺炎為死亡主因者占4%,為誘因者占7%;而相反,醫院獲得吸入性肺炎,病死率高達20%。可能與嚴重的基礎疾病以及革蘭陰性厭氧桿菌的致病性有關。肺膿腫的病死率在抗生素套用之前高達34%,僅50%患者存活,目前已降至5%~12%。

