疾病病因
肺結構圖1.極端厭氧菌 這類厭氧菌對氧極端敏感,在0.5%的氧濃度下,或在空氣中暴露不到10min 即死亡。
2.中度厭氧菌 這類厭氧菌能在2%~8%氧濃度中生長,在空氣中暴露60~90min 還能夠分離出來。導致肺部感染的常見厭氧菌,如脆弱擬桿菌、產氣莢膜梭菌等均屬此類,為臨床最常見的一類厭氧菌。
3.耐氧厭氧菌 這類厭氧菌在無氧件下生長最好,而在有氧條件下生長較差。第2 梭菌和溶組織梭菌即屬此類。其中肺部感染的常見厭氧菌有:
(1)革蘭陰性厭氧桿菌:為肺部厭氧菌感染的常見菌。文獻報導在吸入性肺炎、壞死性肺炎、肺膿腫和膿胸,分離到革蘭陰性厭氧桿菌分別約占53.67%,56.45%,50.87%和39.29%,其中擬桿菌屬占第1 位,其次為梭桿菌屬。
厭氧菌性肺炎①擬桿菌屬:為革蘭陰性無芽孢桿菌。少數菌株有莢膜或鞭毛。專性厭氧。能利用糖和蛋白質的中間代謝產物。模式菌為脆弱擬桿菌。菌體形態為短桿狀,染色不勻,中間染色淺或不著色,使菌體呈空泡狀。兩端圓而濃染。在固體培養基上不規則,表現長短不一。在培養條件稍有改變,如厭氧條件不足、營養不良或酸性產物堆積時,菌體出現多形態性。引起肺部感染的擬桿菌以脆弱擬桿菌和產黑色素擬桿菌最多見。
②梭桿菌屬:可能為革蘭陰性無芽孢桿菌,專性厭氧,無鞭毛,能利用糖和蛋白腖。模式菌種為核梭桿菌,該菌中間膨大,兩端尖,菌體內有革蘭陽性顆粒,長短不等,形態較規則。菌體呈雙,尖端對尖端。引起肺部感染的梭桿菌屬以核梭桿菌和壞死梭桿菌多見。
(2)革蘭陽性厭氧球菌:革蘭陽性厭氧球菌在肺部感染中僅次於革蘭陰性厭氧桿菌。文獻報導在上述肺部感染中均約占1/4~1/3,其中以消化鏈球菌屬和消化球菌屬為常見。
①消化鏈球菌屬:消化鏈球菌菌體較小,直徑0.5~0.6μm,排列成雙或成鏈,形成針尖大小直徑1mm 的圓形、光滑、凸起、灰白色、不透明、不溶血的菌落,為肺部感染最常見的革蘭陽性厭氧球菌。
②消化球菌屬:消化球菌的菌體圓形,直徑0.3~1.3μm,排列成雙、短鏈或成堆。生長緩慢,培養2~4 天形成小菌落,為肺部厭氧菌感染較常見的細菌。
(3)革蘭陰性厭氧球菌:革蘭陰性厭氧球菌中的韋榮球菌,也是肺部厭氧菌感染的病原菌,在肺部厭氧菌感染中約占3.7%。該菌菌體較小,0.3~0.6μm 直徑,有時成短鏈,在培養初期為革蘭陽性,過夜即變為革蘭陰性。
(4)革蘭陽性厭氧桿菌:革蘭陽性厭氧桿菌約占肺部感染厭氧菌的1/5,其中真桿菌屬、丙酸桿菌屬和梭菌屬最為常見。
①真桿菌屬:真桿菌屬為革蘭陽性無芽孢桿菌,形態規則,菌體大小為(0.6~1)μm×(2~4)μm。常排列成單、雙、短鏈,革蘭染色陽性菌落小圓而扁,半透明,灰色,不溶血。模式菌為黏性真桿菌。約占肺部革蘭陽性桿菌感染的1/4。
②丙酸桿菌屬:為革蘭陽性無芽孢多形性桿菌。直或微彎,呈棒狀,大小為(0.5~0.8)μm×(1~5)μm,染色不均。排列呈X、Y、V 及柵狀。無莢膜,無鞭毛.菌落小,圓形,灰白或其他顏色,不透明。模式菌為弗勞地丙酸桿菌。亦為肺部感染的常見菌。
③梭菌屬:菌體中部膨大呈梭形,模式菌為酪酸梭菌。菌體形態直或微彎,長短或寬度不變,兩端尖或圓,排列呈單、雙、短鏈或多樣。高齡是發病的重要因素,常有口腔衛生不良、牙周炎、顱腦損傷、腦血管疾病、癲癇、酗酒、全身麻醉等誘因病史。另外,支氣管狹窄、支氣管新生物、阻塞性肺炎、支氣管擴張、肺栓塞等基礎疾病也易引發厭氧菌感染。
症狀體徵
厭氧菌性肺炎發病位置1.典型表現 ①吸入性肺炎:均有原發病和誤吸病史,起病急驟,突然畏寒高熱,體溫達39℃以上,伴咳嗽、咳黏液或黏液膿痰,咳惡臭痰雖為厭氧菌感染的特徵,但文獻報導本病咳惡臭痰僅占37.8%。因此,膿痰不臭亦不能排除厭氧菌感染的可能性。炎症累及胸膜可引起胸痛,隨著病變範圍擴大,出現進行性呼吸困難。中毒症狀嚴重者可伴有噁心、嘔吐、腹脹和腹瀉。體徵:病變較小者,可無異常體徵。病變範圍大,可有發紺、鼻翼扇動和呼吸困難。肺部聽診呈濁音或實音,聽診呼吸音減低,有時可聞及囉音。②壞死性肺炎:本病特點是形成許多直徑在2cm 以下的膿腫和壞死,嚴重者迅速蔓延使肺實質產生大片壞死和脫落,甚至形成肺膿腫。約75%患者有誤吸病史,患者病情較重,體溫高達40℃,咳嗽劇烈,咳痰量多,61%患者咳惡臭痰。肺膿腫時,咳出大量膿臭痰,每天可達數百毫升。患者有氣急、發紺。肺部檢查多數聽診呈濁音,呼吸音減弱,病死率較高。慢性肺膿腫患者有慢性咳嗽、咳膿痰、反覆咯血,常呈貧血、消瘦等慢性消耗狀態。體檢時可見患側胸部略塌陷,叩診呈濁音,呼吸音減低。血行播散性肺膿腫多先有原發病灶引起的畏寒、高熱等全身膿毒血症的症狀。經數天至2周后才出現肺部症狀,如咳嗽、咳痰等,通常痰量不多,極少咯血,體徵大多陰性。③膿胸:起病緩慢,常於發病1 周至幾周后症狀才明顯。熱度較高,可達40℃,熱期較長。半數病例體重明顯下降。如系肺膿腫繼發,咳嗽明顯,咳大量膿痰。如系膈下膿腫直接蔓延,乾咳、胸痛明顯。膿胸的分泌物為膿性、惡臭、黏稠,形成許多小膿腔,較難吸出。
2.非典型表現 起病隱匿,症狀多不典型,常無發熱、咳嗽、咳痰、胸痛症狀。較常見的症狀有:呼吸頻率增加、呼吸急促以及周身不適、體重減輕、食慾減退、倦怠、急性意識模糊、精神萎靡等全身中毒症狀。也可出現基礎疾病的突然惡化,或疾病恢復緩慢,例如:心衰在治療中復發或加重。少數病人以胃腸道症狀較為突出,常表現為噁心、嘔吐、腹痛、腹瀉、厭食、消化不良等,與呼吸道症狀伴隨發生。
體徵:典型實變體徵少,半數患者在肺部聽不到囉音,1/4 患者肺部無異常聽診。即使聽到囉音,也易與慢支炎、心力衰竭相混淆。
病理生理
厭氧菌性肺炎剖視圖1.機體的防禦能力降低
(1)全身免疫機能下降:在一些慢性疾病患者,如糖尿病、肝硬化、腎臟疾病的終末階段,除易引起普通細菌感染外,尚易引起厭氧菌感染。腫瘤患者接受放療和化療、器官移植及結締組織疾病患者套用抗代謝藥物、血液病患者接受類固醇激素治療、慢性酒精中毒都可以引起嚴重的免疫機能下降,易於導致厭氧菌感染。
(2)局部防禦能力障礙:包括局部黏膜的屏障機能減退、局部組織的氧化還原電勢降低和吞噬細胞和殺菌系統的活力受損三方面。局部黏膜屏障機能減退多見於諸如支氣管擴張、支氣管肺癌、慢阻肺等肺部疾患,其受損不僅有利於厭氧菌入侵,而且有利於細菌繁殖和擴散。組織氧化還原電勢下降常由局部組織的血管疾病、休克、水腫、外傷、手術、癌腫和需氧菌生長等所致。在正常情況下,厭氧菌雖然能進入下呼吸道,但由於呼吸道黏膜組織血供正常,維持150mV 的氧化還原電勢,不利於其生長。但因上述原因使氧化還原電勢降至150mV 以下時,厭氧菌就能進入組織生長繁殖。吞噬細胞和殺菌系統活力在缺氧、缺血、酸中毒及細菌代謝物存在的情況下常常降低,也有利於厭氧菌的生長和繁殖。
2.細菌的致病作用
(1)附著和黏附:為厭氧菌感染過程的第一步。不同菌屬的厭氧菌,憑藉自身的某些特殊結構,通過不同的機制附著於靶細胞表面。如脆弱擬桿菌主要利用菌毛和芽孢附於黏膜上皮細胞,核梭桿菌經植物血凝素介導的機制通過精氨酸附著於含有半乳糖的靶細胞受體上,齒齦丙酸桿菌等利用蛋白酶水解免疫球蛋白和補體,減少細菌表面受體受免疫球蛋白和補體成分的阻斷而增加附著。
(2)侵入組織:倘若黏膜上皮結構完整,除壞死梭桿菌外,大多數厭氧菌不能直接侵入組織,但在黏膜完整性受損的情況下,附在靶細胞的厭氧菌,依靠自身產生的蛋白酶、磷脂酶C 溶解黏膜上皮細胞進入組織。
(3)生長繁殖:細菌進入組織後,能否在局部形成感染灶,取決於局部代謝、細菌營養以及細菌抵抗宿主的防禦能力。若組織因缺血、缺氧造成碳水化合物降解和蛋白酶激活及釋放胺基酸增加,一方面使組織局部pH 和氧化還原電勢降低,另一方面為厭氧菌提供了豐富的營養物質,促進其在局部生長和繁殖。此外,進入組織的細菌還可產生許多物質抵抗宿主的防禦機制。如脆弱擬桿菌除產生芽孢保護自身不被吞噬細胞吞噬外,還可產生一些可溶性物質如琥珀酸及其他短鏈脂肪酸抑制多形核白細胞和巨噬細胞對細菌的趨化、吞噬和殺滅。許多厭氧菌還可產生一些物質抑制和破壞宿主的體液免疫。如脆弱擬桿菌脂多糖能減弱補體的調理作用,產黑色素擬桿菌產生的蛋白水解酶降解補體和免疫球蛋白等。
(4)組織損傷:厭氧菌在感染過程中產生毒素、酶類和可溶住物質,除在各個階段發揮作用外,還可直接損傷組織和細胞的結構。如產氣莢膜梭菌產生的甲型毒素能溶解紅細胞和組織細胞,引起溶血和組織壞死,擬桿菌屬產生的肝素酶分解肝素,促進凝血,並發血栓性靜脈炎可能,產黑色素擬桿菌產生膠原酶,破壞結締組織,擬桿菌產生透明質酸酶、神經氨酸酶、DNA 酶等均與致病和感染擴散有關。
病理改變
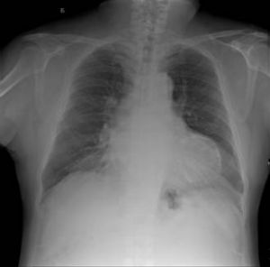
厭氧菌性肺炎X線圖診斷檢查
厭氧菌性肺炎影像圖實驗室檢查:
1.周圍血象 血液白細胞計數和中性粒細胞均顯著增加,總數可達(20~30)×10E9/L;中性粒細胞在80%~90%以上。慢性起病者,白細胞總數可無明顯改變,但有不同程度的貧血。
2.纖維支氣管鏡檢查 纖維支氣管鏡行雙套管取樣進行細菌培養,還可吸引膿液和病變部位注入抗生素,促進支氣管引流和膿腔的癒合。並有助於發現基礎病變。
3.細菌學檢查
(1)厭氧菌培養:為最可靠的診斷依據。由於咳出的痰液受口咽部正常寄居的厭氧菌污染,因此要特別注意標本的收集。常採用以下幾種方法:①經環甲膜穿刺:本法為減少口咽部污染所採取的一項措施,在檢出肺部厭氧菌感染時頗有價值。但不適用於正在進行的氣管插管患者。②經脾肺穿刺:文獻報導該法細菌檢出率達84%。③經纖支鏡雙套管法:該法用雙層聚四氟乙烯套管和套管前的聚乙烯乙醇塞頭以防止毛刷污染。在纖支鏡直視下將毛刷伸進有病變的氣管段內,刷取標本進行培養。文獻報導該法敏感性達70%。標本避免曝氧為厭氧菌培養另一重要的問題,選用下列方法轉送標本。①注射器轉送法:該法直接用采標本的注射器轉送各種液性標本,特別適用於環甲膜穿刺和經脾肺穿刺等量少的標本。方法為用無菌注射器抽取標本後,將針頭朝上,排出多餘的空氣,針頭插入橡皮塞,隔絕空氣,送至實驗室。②無氧小瓶轉送法:適用於注射器轉送法中的一切標本,用無菌青黴素小瓶作採樣瓶。用鋁蓋密封,抽去瓶中空氣,充以氮氣,連續充抽3 次,最後充以CO2,高壓滅菌備用。運送時,將標本用無菌注射器注入瓶中即可。③大量液體標本轉送法:主要用於膿胸膿液的轉送。將液體標本裝滿標本瓶,即可驅除瓶中的空氣,加蓋密封即可轉送。④厭氧菌培養袋轉送法:將預還原的血平板帶到病床旁接種,然後將平板放入厭氧菌培養袋帶回實驗室,也可放入無菌又不透氣的普通之塑膠袋,袋中裝進一周用酸化硫酸銅處理過的鋼絲絨以吸氧。常用的厭氧菌培養基有硫乙醇酸鈉溶液、碎肉肉湯、牛心腦浸出液製劑,可製成固體或液體培養基。在此培養基上,厭氧菌和兼性厭氧菌都能生長。如果加入卡那黴素100μg/ml,則大多數兼性厭氧菌被抑制,而能生長的細菌為專性厭氧菌。經厭氧培養後,挑取菌落作塗片染色鏡檢,並進一步作生化鑑定,即所謂厭氧菌的三級鑑定法。厭氧培養失敗的原因為:①標本的採集、轉送不妥;②標本未立即接種;③培養時間過短;④標本被正常菌群污染;⑤培養基中氧化還原電勢太高;⑥厭氧條件不夠,培養過程中有空氣進入;⑦培養基成分或pH 不適合;⑧二氧化碳濃度不恰當。
(2)快速診斷——氣相色譜檢測:厭氧菌的特點之一,是在其代謝過程中產生多種揮發性或非揮發性的短鏈脂肪酸和醇等產物,而厭氧菌各菌屬、種所產生的酸、醇的種類和數量可有所不同。因此,可用氣相色譜分析進行厭氧菌鑑定。
(3)免疫螢光法:直接將臨床標本離心棄上清,取表層沉澱物均勻地塗在載玻片上進行螢光抗體染色,++以上為螢光染色陽性。分為直接免疫螢光法和間接免疫螢光法。①直接免疫螢光法:用此法對16 種不同感染類型的140 份標本進行直接螢光抗體染色,並與細菌培養對照,兩者結果比較一致。對脆弱擬桿菌的診斷,其敏感性為100%,特異性為94.5%,陽性預計率83.5%,陰性預計率為100%。②間接免疫螢光法:用該法對臨床標本中的脆弱擬桿菌、產黑色素擬桿菌和核酸桿菌,並與細菌培養法比較,發現兩者的符合率分別為88.5%、89.84%和96%,但敏感性僅分別為44.4%、76.09%、68.75%,特異性則達89.59%、91.77%和91.20%。
(4)免疫酶標組化法:套用本法對產氣莢膜桿菌、8 種其他梭菌、8 種兼性厭氧菌和需氧菌,重複檢查10 次。除產氣莢膜桿菌外,其餘細菌均為陰性。將標本稀釋至每毫升2500 個細菌咳出大量膿臭痰,每天可達數百毫升。即可被檢出,每毫升5000 個細菌即可獲得穩定的陽性結果。因此,該法特異性強、敏感性高、方法簡便快速,2~3h 即可得結果,對早期診斷頗有價值。
(5)核酸探針:具有特異性和敏感性高、不受樣品放置及曝氧的影響等優點,適用於致病性強、培養困難、生長緩慢的厭氧菌檢測。由於從標本中提取DNA樣品的過程複雜費時、放射性污染、使用期短以及敏感性還不夠高等,尚未在臨床廣泛套用。近年發展了無放射性危害、保存期長和檢測程式簡單的非核素核酸探針技術,如生物素核酸探針、免疫核糖核酸探針和化學方法探針等。
(6)聚合酶鏈反應(PCR):以厭氧菌的某DNA 鏈上的特定序列為模板,利用引物合成互補序列,經過幾十個循環後,把DNA 的數量擴增到百萬倍,提高了檢測的靈敏度。國外用PCR 檢測的厭氧菌有艱難梭菌、齒齦丙酸梭菌和核梭桿菌等。
輔助檢查
厭氧菌性肺炎表現2.壞死性肺炎主要表現為在緻密肺段實變陰影中迅速形成空洞,直徑<2cm病變不只侵犯一葉肺。
3.急性肺膿腫表現在大片濃密的陰影中出現圓形透光區,空洞呈圓形,內壁光滑,其內見液氣平面。治療得當,實變陰影與空洞逐漸縮小、消失或殘留索條影。
4.慢性肺膿腫X 線差異較大,膿腔壁較厚,內壁不規則,空洞大小形態不一,可伴有液平面,周邊有纖維索條影,並有不同程度的肺葉收縮。治癒好轉者,有半數繼發支氣管擴張。
5.血行播散所致者,為在一肺或兩肺邊緣部多發的散在小片狀炎性陰影或邊緣較整齊的球形病灶,其中可見膿腔及液平面。
6.膿胸的表現依積膿量的多少而有所差異。患側胸部出現大片濃密陰影,若伴有膿氣胸可見液平面。
治療方案
厭氧菌性肺炎治療藥(1)青黴素類:青黴素對厭氧球菌、產氣莢膜桿菌等厭氧菌的作用強,而對脆弱擬桿菌和少數梭桿菌的作用弱。但有人發現,在混合肺部感染中,即使存在脆弱擬桿菌,用青黴素也能治癒,可能系其他細菌被消滅後,機體防禦機制就能清除脆弱擬桿菌。一股情況下,青黴素為所有厭氧菌(脆弱擬桿菌除外)感染的首選藥物。劑量要大些,最大劑量可用2000 萬U/d,分次靜滴。
①羧苄西林(羧苄青黴素):大劑量時對脆弱擬桿菌的作用較青黴素G 為強,且血藥濃度較高,臨床套用的療效較好。一般劑量5~20g/d,1~2 次/d;嚴重感染時可達20~40g/d。
②哌拉西林(氧哌嗪青黴素):抗菌作用較羧苄西林(羧苄青黴素)強,對革蘭陽性厭氧菌和脆弱擬桿菌均有抗菌活性,血藥濃度亦較高。在輕、中度腎功能損害時也無蓄積作用。成人每天4~8g,嚴重感染可加倍,分4 次套用。
③替卡西林(羧噻酚青黴素):抗菌作用與羧苄西林(羧苄青黴素)相似,但胸腔積液和痰液中濃度較低。成人2~4g,1~2 次/d,嚴重感染時,可達每天10~20g,分2~3 次靜滴。
④美洛西林(苯咪唑青黴素):耐β-內醯胺酶,對大多數厭氧菌具有抗菌活性,對脆弱擬桿菌的作用與氧哌嗪青黴素相似,但比羧苄西林(羧苄青黴素)強。成人每天12~16g,分3~4 次靜滴。
⑤萘啶青黴素:對大多數厭氧菌具有抗菌活性,但脆弱擬桿菌對本品耐藥。常用劑量每天1~2g,重症感染可達4g,分2~3 次肌注或靜滴。
⑥阿撲西林:對厭氧球菌和擬桿菌屬具有一定的抗菌作用。痰和胸腔積液中的濃度較高。對呼吸系統感染的有效率達89.4%。每天2~4g,分2~4 次靜滴或靜注,重症時可增至每天8g。
⑦侖氨西林:進入體內形成氨苄西林(氨苄青黴素)。對消化球菌屬具有較強的抗菌能力。吸收後痰液中濃度較高,主要用於輕症消化球菌感染,250mg/次,2~3 次/d。
(2)頭孢菌素類:頭孢菌素類中第1 代頭孢菌素(除頭孢噻啶外)對厭氧菌的抗菌作用均較青黴素G 弱。故在此不再贅述。第2 代頭孢菌素對厭氧菌有效的有:
①頭孢西丁:耐β-內醯胺酶,對包括消化球菌、消化鏈球菌、梭狀芽孢桿菌以及擬桿菌在內的大多數厭氧菌均有良好的作用。注射給藥後很快在胸腔積液中達到很高濃度。國外學者主張以本品作為治療厭氧菌感染的首選藥物。成人每天4~10g,分3~4 次肌注或靜滴。
②頭孢米諾:對擬桿菌屬具有較強的活性。但痰中濃度低。常用量成人每天2g,分2 次,敗血症時可達每天6g,分3~4 次。
③頭孢孟多:對多數厭氧菌有較強的活性。對厭氧菌感染臨床有效率和細菌清除率均在90%以上,臨床治癒率達89.8%,成人每天2~8g,最大量可達12g,分3~4 次肌注或靜滴。第3 代頭孢菌素中拉氧頭孢(拉他頭孢)羥羧氧醯胺黴素對脆弱擬桿菌、梭狀芽孢桿菌、厭氧陽性球菌均有高度殺菌活性。靜注1g 後,血和各種滲出液中濃度高且維持時間持久。成人每天1~4g,分2 次。頭孢曲松(頭孢三嗪):多數厭氧菌對本品敏感,但多數脆弱擬桿菌耐藥,肌注或靜注每天1~2g,每天用藥1 次。頭孢他啶:對厭氧菌活性較差,故不用於厭氧菌感染。頭孢哌酮:對厭氧菌有一定作用,對擬桿菌活性較哌拉西林為差,治療厭氧菌所致的敗血症,有效率僅73%。成人肌注或靜注用量每天2~8g,分2 次用。第4 代頭孢菌素於20 世紀80 年代後期開始研究開發並套用於臨床。此類產品抗菌譜特別廣,對厭氧菌有強大活性,對β-內醯胺酶高度穩定。大多均在試驗中,臨床開始套用者有頭孢唑南(cefuzonanm)及頭孢匹羅(cefpirome)及BMr-28142 等。
(3)氯黴素:常用於病原不明的重症厭氧菌感染,療效肯定。除少數產氣莢膜桿菌外,多數厭氧菌對其敏感。國外一組報導60 株厭氧菌在12.5μg/ml,藥敏測試均敏感。當其血清濃度為3.1~12.5μg/ml 時,對100%脆弱擬桿菌有抗菌作用。因此有人認為對青黴素耐藥的脆弱擬桿菌,氯黴素應為首選。但晚近曾有體外測試敏感而臨床治療失敗的少數病例報導。
(4)林可黴素和克林黴素(氯林可黴素):該兩藥特別適用於青黴素G 過敏的患者。林可黴素對脆弱擬桿菌的抗菌作用強,而對梭狀芽孢桿菌作用和梭形桿菌的作用則較弱。克林黴素(氯林可黴素)對各種厭氧菌的作用較林可黴素為強。97%以上的厭氧菌株對克林黴素(氯林可黴素)3.1μg/ml 的濃度敏感,口服即能達到該濃度。因此對絕大多數厭氧菌感染均有顯著療效。但有少量的消化鏈球菌、多變梭桿菌和梭菌對之耐藥。如能與青黴素G 合用,可彌補不足。用於較嚴重的肺部厭氧菌感染和膿胸。成人劑量一般600~900mg,每8 小時1 次。
(5)咪唑類:包括甲硝唑和替硝唑等。臨床常用的甲硝唑對大多數厭氧菌有效,對脆弱擬桿菌有殺菌作用。濃度≤8μg/ml 時能抑制95%的脆弱擬桿菌和幾乎100%的產黑色素桿菌;≤1μg/ml 時抑制全部梭形桿菌,≤μg/ml 對梭狀芽孢桿菌有抑制作用,厭氧球菌對其極為敏感,但不能對抗需氧菌和兼性厭氧菌。上述血藥濃度在靜注、肌注或口服500mg 後均能達到。因而國內外已將本品套用於重症厭氧菌感染如壞死性肺炎、膿胸和敗血症等。替硝唑(甲硝磺醚咪唑)為咪唑類抗菌藥,對厭氧菌及陰道滴蟲具有較高的活性。對脆弱擬桿菌、梭形桿菌及其他擬桿菌的活性較甲硝唑強,但對梭狀芽孢桿菌的抗菌活性較後者略遜。適用於厭氧菌所致的各種感染。用法:口服首劑2g,以後每天0.5~1g,分2 次服,靜滴每次800mg,1 次/d。
(6)大環內酯類:包括紅黴素、交沙黴素、紅黴素和羅沙米星(薔薇黴素),對大多數厭氧球菌均有抑制作用。特別是對消化球菌和消化鏈球菌有抗菌活性。
①紅黴素:血濃度>0.8μg/ml 時,40%~50%脆弱擬桿菌、梭形桿菌、產氣莢膜桿菌和消化球菌均可被抑制。該濃度在口服用藥時即可達到。靜滴給予常用量,血濃度可達3.1μg/ml,可抑制90%的脆弱擬桿菌和100%的梭狀芽孢桿菌。但近來報導耐藥菌株增多以及靜滴易發生靜脈炎,套用受到限制。
②交沙黴素:對專性厭氧菌有較強的作用,其中對腸球菌的作用明顯優於林可黴素,對脆弱擬桿菌的抑菌作用與甲硝唑和林可黴素相仿。但對韋容菌作用差,梭狀芽孢桿菌及梭形桿菌對本品耐藥。口服後,痰液濃度高。口服:成人每天0.8~1.2g,分3~4 次口服。
③吉他黴素(羅他黴素):對厭氧球菌的作用較交沙黴素為強。口服後吸收吸收,痰液和唾液中濃度高,幾乎不到達羊水和嬰兒血液。常用量200mg,3 次/d。
(7)氟喹諾酮類:氟喹諾酮類中的氧氟沙星、環丙沙星、洛美沙星、氟羅沙星(雙氟哌酸)和托氟沙星等對厭氧菌均有抗菌作用。
①環丙沙星、氧氟沙星(氟嗪酸):對脆弱擬桿菌療效差,但對其他擬桿菌呈中度敏感。對消化球菌和消化鏈球菌亦有抗菌活性。用量:環丙沙星250mg,2次/d,口服,或100~200mg,2 次/d,靜滴,氧氟沙星200mg,3 次/d。
②洛美沙星(羅氟嘛酸):對厭氧菌的抗菌活性較氧氟沙星(氟嗪酸)、環丙沙星(環丙氟哌酸)強2~3 倍,適用於厭氧菌的急慢性感染。常用量:100~200mg,2~3 次/d,口服。
③氟羅沙星(雙氟哌酸):對厭氧菌活性與氯黴素相似,具有抗菌活性強之特點。多氟啶酸對厭氧菌的抗菌活性比環丙氟哌酸強。
(8)亞胺培南(伊米配能):為新型的非典型β-內醯胺類抗生素。對革蘭陽性厭氧菌、梭狀芽孢桿菌的活性與克林黴素(氯林可黴素)、甲硝唑相仿,對脆弱擬桿菌的抗菌活性強於其他抗生素。靜滴以後,肺臟為濃度最高器官之一,痰液濃度次之。對包括厭氧菌在內所致的細菌性肺炎、肺化膿性疾病、慢性呼吸道及化膿性胸膜炎療效顯著。常用量:每次1g,2 次/d,靜滴或肌注。在吸入性肺炎階段即開始治療的患者,抗感染治療有效,3~4 天即可顯示效果,7~10 天退熱。治療7~10 天后仍持續高熱,應行纖維支氣管鏡檢查明確原因和施行引流,如仍無效,則要考慮其他診斷和採用其他抗生素。如發生空洞性損害,常需數月才能吸收閉合。若空洞直徑大於6cm,空洞難以閉合,症狀亦常在治療8 周后才能消失。如發生膿胸,即使在有效的引流下,亦需平均29 天才能退熱。
2.抗炎擇優方案 院外獲得性感染,以厭氧菌為主的炎症首選甲硝唑,0.2g每天2 次靜滴,或替硝唑0.4g,2 次/d,靜滴。混合感染可選用克林黴素(氯林可黴素)0.6g,1~2 次/d,或哌拉西林2.0g,3~4 次/d,靜滴。重症患者可用頭孢西丁2.0g,2~4 次/d,靜滴,必要時可加用甲硝唑或替硝唑靜滴。為實現更廣譜的涵蓋病原菌可用亞胺培南(伊米配能)0.5g,2~4 次/d,靜滴。
3.清除痰液
(1)痰液引流:如患者有具體感染部位,可將其患側處於高位,引流的支氣管開口在下方,拍背咳痰。長期臥床的病人應經常翻身,側身拍背咳痰。有延髓性麻痹的病人,可行吸痰治療。痰多不能咳出時,可行氣管插管或纖支鏡吸痰治療。
(3)支持治療:給予足夠的蛋白質、熱量和維生素,鼓勵病人多引水,並根據病情決定輸液量和種類,保持藥比重在1.020 為宜。一般病人均應給氧,若病情嚴重,PaCl2<8.0kPa,發紺明顯,並不斷惡化,可考慮氣管插管或氣管切開及機械輔助通氣。
預後預防
厭氧菌性肺炎護理肺部厭氧菌感染的預後取決於患者的全身狀況、感染類型和治療是否及時。老年、全身衰竭、壞死性肺炎和支氣管阻塞均為預後不良的決定因素。一般社區獲得性厭氧菌肺炎的預後是良好的。醫院內獲得性厭氧菌肺炎患者因多有基礎病,常繼發革蘭陰性菌感染,故預後不良,病死率可達5%~12%。
預防:
1.三級預防
(1)一級預防:老年人因肺部的衰老和退化,局部解剖結構的改變,更易患肺炎。其中厭氧菌肺炎多以吸入的形式患病,屬內源性感染,所以對老年人應加強護理。①患有腦卒中、腦萎縮的老年人、長期臥床的病人,其生活不能自理、吞咽困難、飲水反嗆。這就要求護理人員在進食時,特別小心,床頭適當抬高些。發現肉眼可見的誤吸時,應立即迅速體位引流或吸引清除氣道內的內容物,必要時用纖維支氣管鏡,去除大氣道的食物殘渣,以免阻塞支氣管,引發厭氧菌肺炎;②氣溫驟變時,應注意保暖,預防感冒,減少肺炎患病機會;③老年人儘量少飲酒,以減少誤咽機會;④積極治療扁桃體炎、急腹症如闌尾炎穿孔等化膿性感染,以減少肺部厭氧菌感染的發生。
(2)二級預防:老年肺炎起病隱匿,多不易被發現,如患者健康狀況惡化、食慾減退、厭食、倦怠、尿失禁、急性意識模糊、精神萎靡或基礎疾病突然惡化、病情恢復緩慢,都應注意為肺炎的非典型改變。應立即就醫,詳細查體,做“X”線檢查,查痰檢菌,以儘早發現肺炎,及時用藥治療。
(3)三級預防:因厭氧菌性肺炎為非單一細菌感染,多為混合感染,使用對厭氧菌有效抗生素的同時,根據藥敏實驗結果,聯合套用其他抗生素。病情好轉後,無發熱、咳嗽、咳痰、囉音消失的同時,觀察X 線結果,並應於X 線陰影基本消散後停藥,以減少演化成慢性肺炎的可能性,導致肺功能受損。
2.危險因素及預防措施 老年人患厭氧菌肺炎的危險因素有:吸菸可使氣道防禦機能降低,增加患肺炎的機會;口腔衛生不良,吞咽困難、嗆咳、長期臥床、昏迷是引發吸入性肺炎的常見原因;咽喉部手術和麻醉是醫源性誘發厭氧菌肺炎的常見原因;急性扁桃體炎、化膿性闌尾炎可血行播散至肺部,形成厭氧菌感染。干預措施如下:保持口腔衛生,加強口腔護理,及時治療齲齒、牙齦炎、扁桃體炎。對長期臥床、吞咽困難、嗆咳的患者應注意觀察,防止胃液反流至氣管。進食時應小心謹慎,擺好體位,緩慢進食,可多進流質食物,必要時,可用鼻飼飲食。
