臨床表現
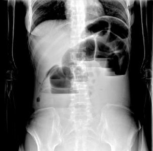
液氣平面
液氣平面是指腸內積存液體、氣體。腸炎、腹瀉、腸激惹時可見多發小液氣平面,此點臨床上常見誤診為腸梗阻,尤其腹瀉一段時間時,停止腹瀉時,放射科只要看見液氣平面,不管大小均提示符合腸梗阻,此點是其職責,故應結合病史、體徵,確定是否存在梗阻,但如出現較寬大液氣平面或階梯狀分布者應考慮存在梗阻,尤其可聞及金屬音腸鳴時。
液氣平面上氣道梗阻(upperairwayobstruction,UAO)是一種由多種原因所致的上氣道氣流嚴重受阻的臨床急症,其臨床表現不具特異性,易與支氣管哮...
描述 症狀體徵 疾病病因 病理生理 診斷檢查Goodcrete DPS永凝液是一種永久性的混凝土防水保護劑,其無色、無味、環保、不燃、使用簡單,在防水抗滲性和持久性方面達到或已超美國進口產品。它是...
液相:均勻的溶液也是一個相,稱為液相。液相是物質呈現液體的狀態,且在這個系統里只有液體,沒有固相(即固體),也沒有氣體(即氣相:通常任何氣體均能無限混合...
液相合成 舉例說明 經典液相色譜 液相燒結耐腐蝕液下排污泵的使用範圍非常廣泛,如蝕刻線、廢水處理設備、洗滌塔...最廣。耐腐蝕液下排污泵 耐腐蝕液下排污泵特點: 1.泵浦本體所採用...式液封,可確保防止馬達及軸承被化學氣體侵蝕,延長馬達及泵浦之使用壽命...
液氣胸(hydropneumothorax),指胸膜腔內同時有積液和積氣。液氣胸常發生於自發性氣胸並發胸水;胸腔積液並發氣胸。患者可無明顯症狀,或者呼吸...
病因及常見疾病 檢查 鑑別診斷 治療原則暴氣池是對污水進行生化處理的裝置。污水進入暴氣池後,與池內的活性泥進行有機反應,有害物質被分解成無害物質,待水澄清後排放。
曝氣池活性污泥法 曝氣池曝氣方法 曝氣池聯合工藝久保田液中膜技術是由久保田公司九十年初在世界上首次開發並成功套用於污水生物處理領域的新型技術。久保田膜的材料為氯化聚乙烯,氯化聚乙烯是一種氯化聚合物。此...
1. 前言 2. 久保田液中膜的特點 3. 久保田液中膜的功能離子氣幕air curtain 壓縮空氣進入風刀後,通過科恩達效應原理及風刀特殊的構造,以一面氣流薄片高速吹出。
簡介 特點 套用 相關詞條 參考資料